“잇몸이 많이 내려와 스트레스 받았는데…
잇몸성형은 실제 시술 전후 후기나 비용같은 정보가 너무 없더라구요.
생소한 시술이다보니 계속 고민하다가 시술을 미뤄왔는데
실제 잇몸성형후기나 사례를 확인할 수 있을까요?
부작용이나 통증, 출혈은 없을지 겁나요…”
반갑습니다! 디데이치과 오태훈 대표원장입니다.
일선에서 환자분들을 직접 만나 진료를 하고 있는 현직 치과의사로서 가장 보람찬 순간은
제가 최선을 다 해 해드린 치료에 만족하시고, 그 치료로 인해 평생의 컴플렉스가 해소되어
앞으로 삶의 질이 더 나아질 것이라는 자신감을 얻으실 때인 것 같습니다 ^^

특히 오늘 소개드리려고 하는 '잇몸성형'이 환자분들 만족도가 매우 높은 편인데요.
아무래도 20~30분이라는 짧은 시술 시간 내에 평생의 컴플렉스를 쉽게 해소할 수 있어서가 아닌가 싶습니다.
평생 스트레스였는데 진작 시술받을걸 괜히 망설였다는 말을 들을 때마다 치과의사가 되기를 잘했다고 생각하면서
오늘도 환자분께 정말 필요한 치료만, 최선을 다 해 해드려야겠다는 다짐을 하곤 합니다 ^^

잇몸성형에 대해 들어보셨는데, 실제로 진행한 사람들의 후기나 사례가 없어 선뜻 진행하기가 망설여지셨나요?
그렇다면 저희 블로그에 잘 오셨습니다!
오늘은 이렇게 잇몸성형후기나 사례가 궁금하신 분들을 위해 잇몸성형이 어떤 시술인지, 잇몸성형 비용은 얼마인지와 함께
실제로 저희 디데이치과에서 잇몸성형 진행하신 환자분들의 치료 사례를 소개해드리도록 하겠습니다.
후기가 없어 망설이셨던 분들께 많은 도움이 되었으면 합니다 ^^
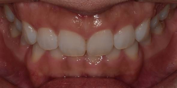
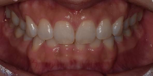
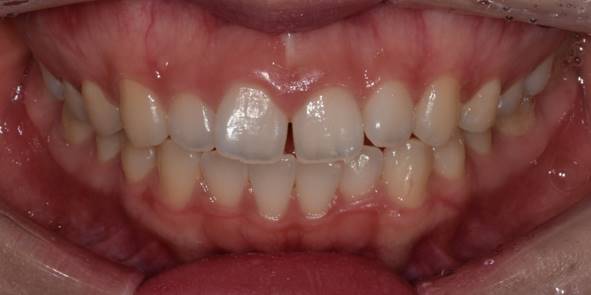
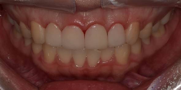
| 잇몸성형후기 - 사례 1. |


26세 여성
(전) 2022-08-23 (후) 2022 09-27
환자분은 전체적으로 잇몸라인이 플랫한 편이셔서 이를 라운드하게 만드는데 중점을 두고 시술 진행했습니다.
또한 대문니인 #11, 21번 치아쪽 잇몸 가운데 부분이 치아를 많이 덮어 전체적인 모양이 플랫해보이는 경향이 있어
이 부분을 위로 올리고 전체적인 라인을 맞춰 밸런스를 찾아주었습니다.
잇몸성형 시술 후 모습을 보시면 전보다 훨씬 잇몸라인이 둥글둥글 밸런스있게 개선된 점을 확인하실 수 있습니다 ^^
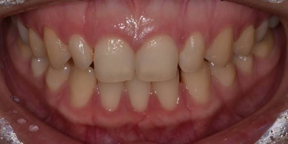
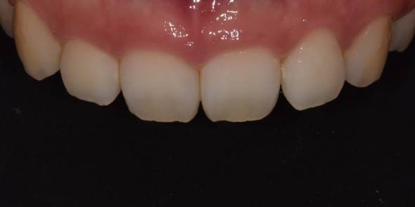
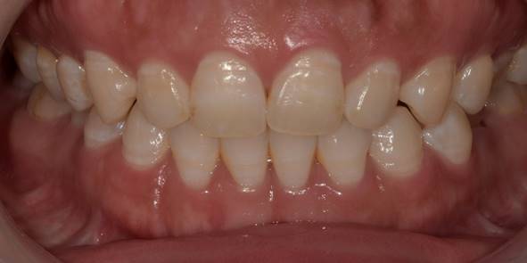
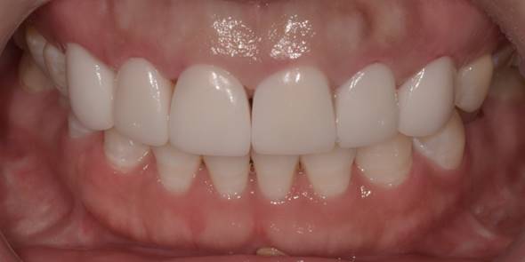
| 잇몸성형후기 - 사례 2. |


28세 여성
(전) 2022-08-31 (후) 2022-09-14
환자분도 앞선 사례의 환자분과 비슷하게 #11, 21번 치아쪽 잇몸이 치아를 많이 덮고 있어 치아 모양도 덜 예뻐보였습니다.
이 부분을 걷어내 위로 올려서 좀 더 치아가 트여보일 수 있도록 디자인했고, 전보다 치아 모양이 더 예뻐보이는 효과를 거두었습니다.
아울러 #12번 치아가 다른 인접치보다 다소 작은 왜소치이신 분이었는데, 이 부분의 잇몸도 위로 올려
상대적으로 치아의 크기가 좀 더 커보일 수 있도록 만들었습니다.
| 잇몸성형후기 - 사례 3. |


21세 여성
(전) 2022-10-11 (후) 2022-10-24
환자분은 특히 #11, 12, 21 치아쪽 잇몸이 많이 내려와 있고, 모양 역시 평평한 느낌이어서
해당 치아쪽 잇몸을 #22 잇몸의 높이와 유사하게 올려서 시술했습니다.
또한 시술 전에는 전체적인 잇몸의 라인이 뚜렷하지 않은 모습인데요.
시술 후 잇몸 라인이 전보다 훨씬 또렷하고 반듯하게 개선된 것을 확인하실 수 있습니다.
| 잇몸성형 + 라미네이트 후기 - 사례 4. |


23세 여성
(전) 2022-09-24 (후) 2022-11-11
이번에는 잇몸성형과 함께 라미네이트까지 시술하신 사례를 소개해드리고자 합니다.
라미네이트 진행을 원하시는 환자분들 중 잇몸성형도 함께 병행하시면 훨씬 더 예쁜 치아 모양을 만들 수 있는 환자분들이 계신데요.
이런 경우에는 환자분께 잇몸성형을 권유해드리고 있는데, 환자분께서 원하지 않으신다면 진행하지 않으셔도 무방하니 너무 부담갖지는 않으셨으면 좋겠습니다 ^^
이 환자분은 벌어진 앞니가 고민이셔서 라미네이트 시술을 원하셨는데요,
앞니 두개 쪽 잇몸은 물론, 그 양옆 인접치 역시 잇몸이 내려와있는 편이셔서 이를 위로 올리고 라미네이트를 부착해 치아 모양 및 사이즈가 더 커보일 수 있도록 했습니다.
시술 후 완전히 아물지 않아 약간의 출혈이 보이는데요 ^^;; (출혈과 상처는 수일 내로 괜찮아져서 크게 걱정하지 않으셔도 됩니다.)
확실히 시술 후에 전보다 치아 크기와 모양이 개선되었고, 전체적으로 고르고 깔끔한 스마일 라인을 확인하실 수 있습니다.
| 잇몸성형 + 라미네이트 후기 - 사례 5. |


48세 여성
(전) 2022-11-02 (후) 2022-11-09
잇몸성형과 라미네이트를 함께 병행하신 환자분 사례를 하나 더 소개해드리겠습니다.
환자분은 치아가 커보이기를 원하셨고, 얼룩덜룩한 치아를 개선하고 싶어하셨습니다.
그래서 잇몸성형으로 라인을 위로 올리고, 총 6개 라미네이트를 진행해 치아 모양과 색상을 개선했습니다.
#12, 22 치아를 보시면 전보다 사이즈가 커보이고 인접해있는 치아와 밸런스가 맞으면서 잘 어우러지는 모습을 보실 수 있습니다.
─
잇몸성형 시술 과정과
비용은 어떻게 되나요?
잇몸성형은 잇몸뼈의 위치를 확인하기 위해서 파노라마 엑스레이 사진을 찍으신 후
저 또는 김무진 원장님과의 상담을 통해 어떤 모양을 만드는 것이 좋을지 충분이 논의하는 상담 과정을 거쳐 시술 여부를 결정하시게 됩니다.
이어 시술하시는 부위에 마취를 하고 레이저를 이용해 상의한대로 잇몸 라인을 다듬습니다.
이 때 약간의 오징어 굽는 냄새(!)가 난다고들 많이 말씀해주시더라구요 ^^;;
시술 시간은 총 20~30분 정도 소요되고, 마취 후 진행하기 때문에 통증은 거의 없습니다.
비용은 저희 디데이치과를 기준으로 악당 (윗니 or 아랫니 6개 기준) 30만원정도이고요. (잇몸성형은 미용성형에 해당되어 10%의 부가세가 추가됩니다.)

가글마취용액
만약 마취가 무서우시다면 저희 스탭들에게 말씀해주세요! 가글마취나 마취크림을 통해 1차적으로 마취 후 마취주사를 놓을 수 있도록 조치하겠습니다.
출혈은 피부에 상처가 나는 정도로 약간 발생할 수 있으나 금방 멎으니 걱정하지 않으셔도 됩니다.
일상생활에 바로 복귀하실 수 있으며, 시술 직후에 뜨겁고 매운 음식 드시는 것만 피해주시고 양치질 살살 해주시면 다른 주의사항은 없습니다.
이렇게 비교적 짧은 시간에 시술이 가능한데 평소 신경쓰였던 부분을 해결할 수 있어 환자분들의 만족도가 높은 것 같습니다 ^^
어떠신가요? 잇몸성형은 하고싶은데 후기나 사례에 대한 정보가 없어 고민이셨다면
오늘 이 글이 많은 도움이 되셨을거라 생각합니다.
항상 말씀드리지만 환자분의 구강 상태에 따라 시술 가능여부는 달라질 수 있으니
시술 전 반드시 전문의와 상담해보시고 시술 여부를 결정하시기 바랍니다.
그럼 지금까지 디데이치과 오태훈 대표원장이었습니다. 감사합니다!
< 더 읽어보시면 좋은 글 >
| 환자를 돌려보내는 치과가 있다?디데이치과 네이버 예약 ✔ |
| 서울 디데이치과 진료 문의 |
|---|
| 대표전화 : 02-568-2877 (바로가기)네이버 톡톡 문의 (바로 가기) |
▲ 모바일에서 전화 버튼을 누르시면 병원으로 연결됩니다 ▲

| 본 게시물은 의료광고법 제56조 1항을 준수하여, 의료 정보 제공 및 병원 홍보를 목적으로 디데이치과의원에서 직접 작성하였습니다.다만, 블로그에서 제공해 드리는 정보는 참조용으로만 활용하시고, 정확한 개인의 증상 파악은 의료기관에 직접 내방하시어 의료진을 통해 확인하실 것을 권유 드립니다.치과에서 진행되는 잇몸성형(치은절제술)을 포함한 모든 시술 및 수술은 개인에 따라 부작용 (염증, 출혈, 부기, 신경 손상 등) 가능성이 있습니다. 따라서 사전에 의료진과 충분한 상담을 통해 결정하시길 바랍니다.게시물의 치료 사진은 실제 본원에서 모든 치료 과정을 마친 환자분의 동의하에 촬영되었습니다. 전후 사진은 동일인이며, 동일 조건하에 촬영되었음을 밝힙니다. |