안녕하세요. 디데이치과 김무진 대표원장입니다 ^^

얼마 전 저희 블로그를 보시고 저와 오태훈 원장님, 그리고 스탭들에 대한 믿음이 생겨
꼭 저희 디데이치과에서 치료를 받고 싶으시다며 강원도에서 올라오신 환자분이 계셨습니다.
사실 병원도 홍보하고, 또 긴 글을 통해 환자분들께 양질의 의료정보를 전달해드리려는 목적으로 시작한 블로그였는데
이렇게 글을 보시고 먼 길을 마다하지 않고 저희를 찾아주시는 환자분들이 계셔서 하루하루 감사한 마음으로 진료에 임하고 있습니다 ^^
지금 이 글을 보시는 분들이라면 아마 크라운 치료를 앞두고 올세라믹크라운과 지르코니아크라운 중 어떤 재료를 선택해야 하는지,
각 재료별로 어떤 차이가 있는지 정보를 얻고자 검색하는 중이실텐데요.
이런 분들을 위해 오늘은 올세라믹크라운과 지르코니아크라운 각각의 장단점과
어떤 치아에 적용하면 좋은지, 또 비용은 얼마나 되는지 소개해 드리고 실제 치료사례 역시 전달해 드리도록 하겠습니다.
─
올세라믹 vs 지르코니아
어떤 차이가 있나요?

라미네이트와 올세라믹크라운, 지르코니아크라운
위 사진은 라미네이트와 올세라믹, 지르코니아크라운을 바로 옆에서 비교한 사진입니다.
모형, 샘플임을 감안하고 보더라도 세가지 재료 사이에 큰 차이점이 느껴지지는 않죠? ^^

라미네이트와 올세라믹크라운 모형
우선 올세라믹크라운과 지르코니아크라운 모두 ‘크라운’ 이기 때문에
자연치아를 어느 정도 깎아낸 후 그 위에 왕관처럼 보철물을 씌우는 치료인데요.
올세라믹크라운은 지르코니아크라운에 비해 좀 더 투명도가 높아 자연스러운 색상을 만드는데 유리합니다.
그래서 심미적인 목적으로 앞니에 시술되는 경우가 많습니다. 라미네이트와 함께 시술되기도 하지요.
앞니에 아직 신경까지 침범하지 않은 충치가 있거나, 이미 여러번 레진 등의 재료로 앞니를 메꿔놓은 경우에는
라미네이트보다 올세라믹크라운으로 시술하는 경우도 있습니다.
올세라믹크라운의 단점이라고 하면 지르코니아크라운보다 강도가 약해 파절될 가능성이 좀 더 높다는 점입니다.
물론 이는 지르코니아크라운과 비교해서 강도가 약하다는 것이지, 올세라믹크라운 자체가 약하다는 말은 아니니 오해가 없으셨으면 합니다 ^^

지르코니아크라운
지르코니아크라운은 투명도면에서 올세라믹크라운보다는 덜하지만, 강도가 매우 강합니다.
거의 다이아몬드와 유사할 정도로 강도가 강하다고 알려져 있는데요.
그래서 주로 씹는 힘을 강하게 받는 어금니에 사용됩니다.
물론 요즘은 기술의 발전으로 지르코니아크라운의 투명도가 많이 좋아져 앞니에 시술하는 경우도 있습니다.
예를 들면, 앞니에 이미 크라운을 하신 상태였는데 이 크라운이 파절되어 다시 시술을 해야 한다거나
앞니에 충치가 심해 신경치료를 해야하는 경우에는 신경치료 후 지르코니아크라운으로 씌워줄 수 있습니다.
지르코니아크라운의 단점을 꼽자면 강도가 워낙 강해 맞닿는 치아(교합치)가 닳을 수 있다는 점인데요.
이는 시술할 때 담당 원장님께서 최대한 교합을 신경써서 봐주실 것이기 때문에 걱정하지 않으셔도 좋습니다 ^^
즉, 요약 정리하자면 올세라믹과 지르코니아 크라운의 장단점은 아래와 같습니다.
| | 올세라믹크라운 | 지르코니아크라운 |
|---|---|---|
| 장점 | 투명도가 높아서 심미적으로 유리 → 앞니에 적합 | 강도가 매우 강해 파절 가능성이 적다 → 어금니에 적합 (앞니에도 가능) |
| 단점 | 비교적 강도가 낮아서 파절될 가능성이 있다 | 강도가 너무 강해 교합치가 닳을 가능성이 있다. |
─
올세라믹 vs 지르코니아
비용은 얼마나 차이나나요?
항상 블로그 글에서 치료 비용에 대해 설명을 드릴 때 저희 디데이치과에서 책정하고 있는 수가를 기준으로 말씀드리는데요.
올세라믹이나 지르코니아 크라운 비용을 다르게 받는 치과도 있을 수 있지만, 저희는 현재 동일한 비용을 책정하고 있습니다.
저희 디데이치과를 기준으로 설명드리면 올세라믹, 지르코니아 관계 없이 40~45만원 정도입니다.
올세라믹과 지르코니아 모두 크라운이다보니 치아 안쪽에 보다 단단하게 보강하는 레진 코어가 필요한 경우 5만원정도 추가 비용이 발생할 수 있습니다.
환자분들께서 일일이 치과에 비용 문의하시는 불편함을 덜어드리고자
저희는 네이버와 홈페이지에 치료 비용을 투명하게 공개하고 있으니 크라운 뿐만 아니라 다른 치료 비용이 궁금하시다면 확인해보셔도 좋습니다 ^^
비용에 대해 안내드렸으니 이제 각 재료를 이용한 치료 사례를 보면서 더 자세히 설명드리도록 하겠습니다.
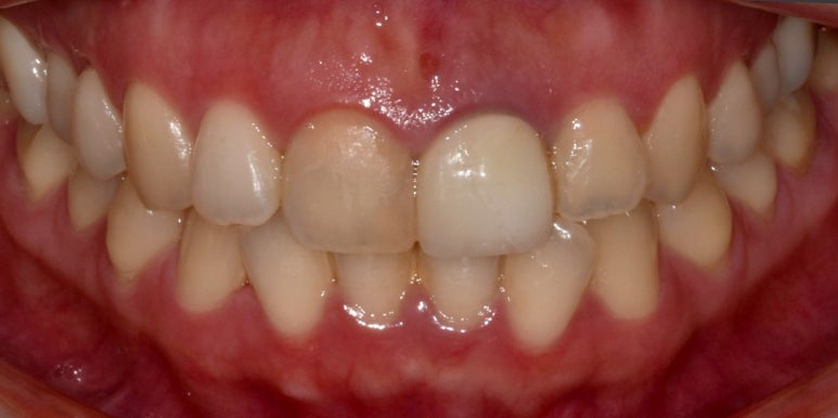
| 올세라믹크라운 치료 사례 |


27세 여성
(전) 2022-03-09 (후) 2022-04-06
환자분은 기존에 치료했던 크라운이 외력에 의해 일부 파절되어 교체를 위해 내원해주셨습니다.
기존 크라운 하신지 꽤 오래 되었기 때문에 올세라믹 크라운으로 교체하면서 안쪽을 더 단단하게 보강해줘야 할 필요가 있어 레진코어를 함께 진행했습니다.
치아의 투명도가 맞닿아 있는 다른 치아와 큰 차이가 없는 것을 확인하실 수 있습니다.
| 올세라믹크라운+라미네이트 치료 사례 |


57세 여성
(전) 2022-06-02 (후) 2022-06-17
환자분은 부식된 치아를 개선하기 위해 내원해주셨는데요.
앞니 4개는 치아 부식이 심하셔서 올세라믹 크라운으로, 양 옆 인접치아는 라미네이트로 시술했습니다.
보시면 라미네이트와 올세라믹 크라운의 차이가 느껴지시나요?
육안으로는 거의 차이가 없는 정도로 투명도와 색상이 유사하죠? ^^
| 지르코니아 크라운 치료 사례 |


27세 여성
(전) 2022-10-12 (후) 2022-10-28
환자분은 단단한 음식을 드시다가 기존의 크라운이 파절되셔서 내원하셨는데요.
앞니 3개(#11, 21, 22)는 이미 기존에 신경치료가 되어 있는 치아였기 때문에 보다 강도가 강한 지르코니아 크라운으로 시술했습니다.
아울러 #11, 21 치아는 보다 단단하게 보강할 필요성이 있어 레진코어도 함께 진행해주었습니다.
지르코니아 크라운도 올세라믹크라운 못지 않게 색상이나 투명도가 향상되어 이질감이 없는 모습이죠 ^^
앞니에는 무조건 올세라믹, 어금니에는 지르코니아가 맞다는 말이 아니라는 거 아시겠죠? ^^
환자분의 기호에 따라, 또 적용되는 치아의 부위에 따라 재료 선택은 달라질 수 있으니
담당 원장님과의 충분한 논의를 통해 환자분께서 원하는 방향으로 치료를 받으실 것을 권해드립니다.
오늘도 도움이 되는 정보를 전해드리려는 제 마음이 환자분들께 전해졌기를 바라며
긴 글 읽어주셔서 감사합니다! 지금까지 디데이치과 김무진 대표원장이었습니다 ^^
< 함께 보시면 좋은 글 >
| 디데이치과 네이버 예약 ✔ |
| 서울 디데이치과 진료 문의 |
|---|
| 대표전화 : 02-568-2877 (바로가기)네이버 톡톡 문의 (바로 가기) |
▲ 모바일에서 전화 버튼을 누르시면 병원으로 연결됩니다 ▲

| 본 게시물은 의료광고법 제56조 1항을 준수하여, 의료 정보 제공 및 병원 홍보를 목적으로 디데이치과의원에서 직접 작성하였습니다.다만, 블로그에서 제공해 드리는 정보는 참조용으로만 활용하시고, 정확한 개인의 증상 파악은 의료기관에 직접 내방하시어 의료진을 통해 확인하실 것을 권유 드립니다.치과에서 진행되는 크라운을 포함한 모든 시술 및 수술은 개인에 따라 부작용 (염증, 출혈, 부기, 신경 손상 등) 가능성이 있습니다. 따라서 사전에 의료진과 충분한 상담을 통해 결정하시길 바랍니다.게시물의 치료 사진은 실제 본원에서 모든 치료 과정을 마친 환자분의 동의하에 촬영되었습니다. 전후 사진은 동일인이며, 동일 조건하에 촬영되었음을 밝힙니다. |