반갑습니다. 디데이치과 김무진 대표원장입니다.
언제나 그렇듯 환자분들이 두려워하시는 통증을 줄여드리고자 신경쓰며 치료에 임하고 있는 현직 치과의사입니다 ^^

오늘 날씨가 정말 춥네요. 야간진료를 마치고 퇴근하기 전 블로그에 글을 올리고 있는데 퇴근길이 너무 걱정됩니다... ^^;;
혹시 오늘처럼 찬바람을 맞거나 차갑거나 뜨거운 음식을 먹을 때, 혹은 케이크같은 단 음식을 먹을 때 치아가 시리신가요?
거울로 치아를 살펴봤을 때 잇몸이 V자로 패여있지는 않으신가요?
그렇다면 ‘치경부마모증’을 의심해볼 수 있습니다.
치경부마모증이 있는 경우 앞서 말씀드린 시린이 증상이 나타날 수 있거든요.
만약 치경부마모증이 있다고 하더라도 시린 증상은 나타났다가 사라지기도 하기 때문에 치료하지 않고 방치하기 쉽습니다.
오늘은 추운 날씨의 힘을 빌려(?) 치경부마모증이 무엇인지, 왜 발생하는지와 함께 치료방법과 치료 비용에 대해서도 자세히 설명해 드리겠습니다 ^^
─
치경부마모증은 무엇이고
어떤 증상이 있나요?
우리 잇몸과 치아의 경계부분을 ‘치경부’라고 부르는데요, 이 부분이 V자 모양으로 패이는 현상을 치경부마모증이라고 합니다.
우리 치아의 가장 바깥쪽은 법랑질(에나멜)이 감싸고 있는데요.
이 법랑질이 마모되는 초기에는 큰 증상이 느껴지지 않다가 법랑질 안쪽의 상아질이 드러나 외부로 노출되면
차갑거나 뜨거운 온도와 같은 외부의 자극을 치아 안쪽 신경까지 더 빠르게 전달하기 때문에 통증과 시린 증상이 느껴지는 것이고요.


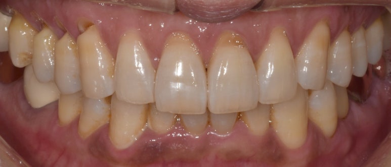
치경부마모증 실제 사례
53세 남성
촬영일자: 2022-09-30
위 사진은 치경부마모증이 심해진 환자분의 실제 사진인데요.
사진상으로 왼쪽 위 치아쪽(실제로는 오른쪽 위) 치경부 부분이 노출되고 패인 모습이 보이시죠?
아마 사진의 환자분께선 시린 증상을 많이 느끼셨을거예요.
─
치경부마모증 꼭 치료해야하나요?
앞서 말씀드렸듯이 치경부마모증의 경우 증상이 나타났다가 사라지기도 하기 때문에 치료하지 않고 방치하기 쉽습니다.
만약 치경부마모증을 계속해서 방치하면 어떻게 될까요?

치경부마모증_치아의 구조
위 사진은 치아의 구조를 나타낸 이미지인데요. 치아의 위보다 옆부분이 훨씬 더 신경과 가까운 것을 확인하실 수 있습니다.
이런 치경부가 계속해서 마모되면 신경이 노출되어 신경치료를 해야할 수도 있습니다.
그렇게 되면 당연히 크라운을 씌워서 치아를 보호해주어야겠지요. 몇 십 만원의 비용이 들게 됩니다.
또한 마모된 부위에는 잔여 음식물이 더 잘 쌓이기 때문에 치아가 잘 썩게 만들 수 있습니다.
만약 이로 인해 치아가 썩게 되면 부러질 가능성도 있습니다.
따라서 아직은 증상이 없다고 하더라도 만약 거울로 봤을 때 패인 부분이 관찰된다면 빠르게 치료하시는 것이 시간과 비용을 아끼는 지름길입니다.
─
치경부마모증은
왜 발생하나요?

치경부마모증의 원인, 잘못된 양치질
가장 많이 꼽는 원인은 잘못된 양치질입니다.
양치질을 좌우로만 너무 세게 한다든지, 너무 억센 칫솔모를 사용해 이를 닦는 경우에 발생할 가능성이 큽니다.
또한 탄산음료나 과일주스처럼 산성이 강한 음식을 자주 섭취하는 경우에도 치아의 바깥 면이 마모되면서 치경부마모증의 원인이 될 수 있습니다.
마지막으로 딱딱하고 질긴 음식을 많이 섭취하거나, 이를 악물거나 잘 때 이를 가는 등의 습관이 있는 경우에도 발생할 수 있습니다.
외부에서 물리적인 힘이 계속해서 가해지는 경우 치경부에 힘이 전달되고 약한 부분이 떨어져 나가게 되는것이죠.
따라서 양치질 습관을 다시 한번 점검해보고 가급적이면 산성이 많이 함유된 음식은 피하시는 것이 좋겠습니다.
이를 악물거나 이를 가는 습관이 있으시다면 치과에 방문하셔서 이를 방지하는 장치를 제작해 착용하시는 것도 방법이 될 수 있고요.
─
치경부마모증 치료방법과
치료비용은 어떻게 되나요?
치경부마모증은 레진으로 쉽게 치료할 수 있습니다. (치경부레진이라고 합니다)
위에서 보여드렸던 환자분 같은 경우에도 치경부레진으로 치료를 완료하셨지만, 아쉽게도 치료 후 사진이 없어 보여드리지 못하는 점 양해 부탁드립니다 ^^;;
치경부레진은 당일에도 치료가 가능하고, 비용 역시 개당 7~10만원 정도면 치료가 가능합니다.
저희 디데이치과를 기준으로 치경부레진의 경우 개당 6만원의 비용이 발생합니다.
앞서 말씀드렸듯이 증상이 없거나 있다가 사라진 경우라고 하더라도
치료하지 않고 방치하면 신경치료 후 크라운 수복이 필요할 수도 있기 때문에 최대한 빠른 시일 내에 치료해주시는 것이 가장 좋고,
마모의 원인을 파악해 다시 마모되지 않도록 주의해주실 것을 권장해 드립니다.
오늘은 찬바람이 불어오는 틈을 타(?) 치경부마모증에 대한 이야기를 해드렸는데요.
치과 치료는 빠른 시일 내에 받는 것이 시간과 비용을 아끼는 지름길인만큼
연말을 맞아 내 구강건강도 살필 겸 가까운 치과에 내원하셔서 검진 받아보시기를 바라겠습니다.
지금까지 디데이치과 김무진 대표원장이었습니다. 감사합니다 ^^
< 함께 읽어보면 좋은 글 >
| 번거롭게 전화할 필요없이 편리하게디데이치과 네이버 예약 ✔ |
| 서울 디데이치과 진료 문의 |
|---|
| 대표전화 : 02-568-2877 (바로가기)네이버 톡톡 문의 (바로 가기) |
▲ 모바일에서 전화 버튼을 누르시면 병원으로 연결됩니다 ▲

| 본 게시물은 의료광고법 제56조 1항을 준수하여, 의료 정보 제공 및 병원 홍보를 목적으로 디데이치과의원에서 직접 작성하였습니다.다만, 블로그에서 제공해 드리는 정보는 참조용으로만 활용하시고, 정확한 개인의 증상 파악은 의료기관에 직접 내방하시어 의료진을 통해 확인하실 것을 권유 드립니다.치과에서 진행되는 모든 시술 및 수술은 개인에 따라 부작용 (염증, 출혈, 부기, 신경 손상 등) 가능성이 있습니다. 따라서 사전에 의료진과 충분한 상담을 통해 결정하시길 바랍니다.게시물의 치료 사진은 실제 본원에서 모든 치료 과정을 마친 환자분의 동의하에 촬영되었습니다. 전후 사진은 동일인이며, 동일 조건하에 촬영되었음을 밝힙니다. |