반갑습니다. 디데이치과 오태훈 대표원장입니다.
오늘도 환자분들의 니즈에 맞춘 치료만을 아프지 않게 해드리고자 하는 신념으로 진료에 임하고 있습니다 ^^
저희 디데이치과에서는 보건복지부 인증 통합치의학과 전문의인 대표원장 2인이 직접 치료계획 수립, 치료, 사후관리까지 담당하고 있고요.


네비게이션임플란트_디데이치과 대표원장
요즘 네비게이션 안 써보신 분은 거의 없으시겠죠?
스마트폰이든, 차에 기본적으로 내장되어있는 네비게이션이든 목적지만 검색하면 최적의 경로를 알려주고 또 막히는 길은 우회할 수 있도록 도와주는 등 장점이 참 많습니다.
상실한 치아를 대신하는 인공치아인 임플란트에도 이런 네비게이션이 있다는 것 알고 계셨나요? 바로 네비게이션임플란트입니다.
오늘은 임플란트 시술을 앞두고 다양한 정보를 찾고 계시는 환자분들을 위해 네비게이션 임플란트의 장점 및 비용에 대한 설명까지 자세히 알려드리도록 하겠습니다 ^^
─
네비게이션임플란트란?

목적지를 입력하면 경로를 정확하게 알려주는 네비게이션처럼 임플란트 픽스처(인공치근) 식립 경로를 컴퓨터로 미리 시뮬레이션해 설정합니다.
CT 촬영한 3차원 데이터를 통해 뼈와 잇몸, 신경의 위치를 종합적으로 진단하고
컴퓨터 모의수술을 통해서 최적의 수술 위치를 정한 후 그대로 수술이 진행될 수 있도록 환자 개개인에게 맞춘 원가이드를 제작합니다.
수술 시에는 이 원가이드를 장착하고 수술을 진행해 미리 설정한 경로대로 안전하고 정확하게 수술이 가능하기 때문에 ‘네비게이션임플란트’라고 부르는 것이죠.
─
네비게이션임플란트의 장단점과 비용은?


위 사진은 네비게이션임플란트 원가이드를 착용한 모형을 촬영한 사진입니다. 보시면 수술 위치에 구멍이 뚫려있는 것이 보이실텐데요.
이 경로대로 임플란트 픽스처를 식립하게 되어 보다 더 정교하고 세밀한 시술이 가능하다는 장점이 있습니다.
네비게이션임플란트는 잇몸절개를 최소화하기 때문에 출혈이나 통증 역시 최소화할 수 있습니다.
실제 현장에서 환자분들께 가장 와닿는 장점이 아닐까 싶네요 ^^
이렇게 장점이 많은 네비게이션임플란트이지만 단점도 물론 존재하는데요.
장점만 알려드리기보다는 단점도 함께 알려드려야 환자분들의 올바른 선택에 도움을 드릴 수 있다고 생각하기 때문에 솔직하게 말씀드리도록 하겠습니다.
만약 네비게이션임플란트로 시술을 원하실 경우 미리 가이드를 제작해야 하기 때문에 시간과 비용이 조금 더 소요됩니다.
가이드 제작 기간은 약 1주일 정도 걸리고요, 비용은 임플란트 1개당 약 10만원 정도 추가될 수 있습니다.
임플란트 비용은 치과마다 조금씩 다르겠지만 저희 디데이치과에서 시술하고 있는 오스템 임플란트는 제품에 따라 69만원~79만원정도인 점 참고해주세요 ^^
| 디데이치과 네비게이션임플란트 사례 |


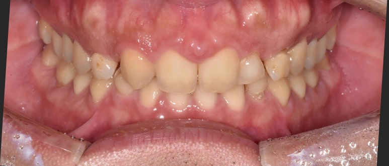
네비게이션임플란트 사례
26세 남성
(전) 2021-06-29 (후) 2021-12-01


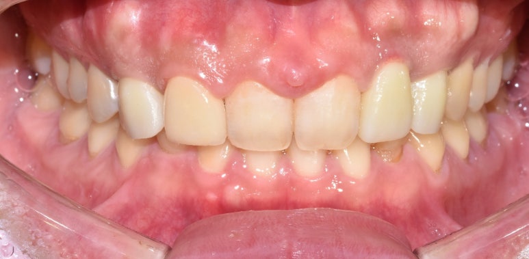
네비게이션임플란트 사례
26세 남성
(치료전) 2021-06-29 (픽스처 식립후) 2021-07-22
환자분은 앞니에 임플란트를 식립해야 하는 케이스이기 때문에 조금 더 정교한 수술이 필요하다고 판단되어 네비게이션임플란트를 선택하셨습니다.
앞니 중 하나가 영구치가 자라지 않은 상태로 유치를 계속 사용하고 계신 상태였는데요.
유치는 영구치에 비해 크기도 작고, 인접한 영구치들이 자라면서 유치 쪽의 뿌리를 녹여 치아 뿌리가 짧고 약해지기 때문에 오래 사용할 수 없습니다.
따라서 이 치아를 임플란트로 대체해준 것입니다.
앞니같은 경우 잇몸뼈 역시 다른 부분에 비해 얇고, 또 심미적인 요소가 중요하게 작용하는 부분이기 때문에 좀 더 정교하게 식립될 수 있도록 네비게이션 임플란트로 시술하게 되었습니다.
총 3개의 유치를 발치하고 임플란트 식립하였으며, 상실된 앞니 대신에 사용하고 있던 송곳니는 라미네이트를 진행해 보다 깔끔하고 고른 치아를 만들어주었습니다.
네비게이션임플란트와 라미네이트로 치아의 기능적인 부분과 심미적인 부분을 동시에 개선한 케이스입니다 ^^
─
네비게이션임플란트=무조건 식립 성공?
네비게이션 임플란트는 장점이 많은 시술이지만, 네비게이션임플란트가 곧 임플란트 성공을 의미하는 것은 아닙니다.
수술 단계에서 미리 임플란트 식립 위치와 각도 등을 정하고 들어가며, 잇몸절개가 적고 감염 위험성이 낮아지기 때문에 성공 확률이 높아지는 것은 사실입니다.
하지만 네비게이션임플란트 역시 시술하는 의료진의 노하우, 숙련도 등에 따라 차이가 있을 수 있는 만큼
시술받고자 하는 치과의 원장님과 충분한 상담을 통한 치료 계획 수립이 반드시 필요합니다.
네비게이션임플란트에 대해 더 궁금하신 분들을 위해 아래에 지난 글의 링크를 첨부해두겠습니다.
읽어보시고 더 도움이 필요하시거나 추가적인 상담을 원하신다면 언제든지 연락주셔도 좋습니다!
지금까지 디데이치과 오태훈 대표원장이었습니다. 감사합니다 ^^
< 네비게이션임플란트에 대해 더 궁금하다면? >
< 임플란트잘하는병원의 특징은? >
| 환자를 돌려보내는 치과가 있다?디데이치과 네이버 예약 ✔ |
| 서울 디데이치과 진료 문의 |
|---|
| 대표전화 : 02-568-2877 (바로가기)네이버 톡톡 문의 (바로 가기) |
▲ 모바일에서 전화 버튼을 누르시면 병원으로 연결됩니다 ▲

| 본 게시물은 의료광고법 제56조 1항을 준수하여, 의료 정보 제공 및 병원 홍보를 목적으로 디데이치과의원에서 직접 작성하였습니다.다만, 블로그에서 제공해 드리는 정보는 참조용으로만 활용하시고, 정확한 개인의 증상 파악은 의료기관에 직접 내방하시어 의료진을 통해 확인하실 것을 권유 드립니다.치과에서 진행되는 모든 시술 및 수술(임플란트 포함)은 개인에 따라 부작용 (치아시림, 염증, 출혈, 부기, 신경 손상 등) 가능성이 있습니다. 따라서 사전에 의료진과 충분한 상담을 통해 결정하시길 바랍니다.게시물의 치료 사진은 실제 본원에서 모든 치료 과정을 마친 환자분의 동의하에 촬영되었습니다. 전후 사진은 동일인이며, 동일 조건하에 촬영되었음을 밝힙니다. |