안녕하세요! 디데이치과 김무진 대표원장입니다.
저희 디데이치과가 아무래도 강남구 역삼동 선릉역에 있는 치과이니만큼
치아의 기능적인 문제뿐만 아니라 심미적인 문제를 개선하고자 하는 환자분들이 많이 찾아주시는 편입니다.
그래서 보다 자연스럽게, 더 정밀하고 예쁜 치아를 만들어드리고자 최신 장비도 적극적으로 활용하고 있고요 ^^

특히 치아의 심미적인 부분때문에 내원해주시는 분들은 평소 신경쓰였던 작은 부분만 개선하더라도
사람들을 대할 때나 웃을 때, 말할 때 자신감이 생기는 경우가 많습니다.
최근들어 유난히 작은 치아로 인해 스마일 라인의 밸런스가 맞지 않아 작은치아(왜소치)라미네이트 진행하고 자신감을 되찾으셨다는 환자분들이 많았는데요.
그래서 오늘은 작은치아(왜소치)라미네이트 치료사례와 비용에 대해 설명드리도록 하겠습니다.
한 분이라도 더 저희 디데이치과에서 치료를 받으실 수록 병원에는 당연히 도움이 되겠지만
환자분께 정말 이로운 치료가 아니라면 권해드리지 않겠다는 초심을 되새기며, 오늘도 글 시작해보도록 하겠습니다 ^^
─
작은치아(왜소치) 꼭 치료해야 하나요?


작은치아(왜소치) 예시
작은치아(왜소치)는 정상 치아보다 크기가 작은 치아를 의미합니다.
주로 우리가 대문니라고 부르는 앞니 두 개(상악 중절치)의 바로 양 옆 치아(상악 측절치)에 가장 많이 나타납니다.
사실 치아의 크기가 작다고 하더라도 살아가는데 큰 불편함은 없을 수도 있습니다.
그리고 큰 불편함이 없으시다면 굳이 치료하지 않으셔도 괜찮습니다.
다만 왜소치가 있는 경우 치아의 기능적인 측면 또는 심미적인 측면에서 문제가 생길 수 있는데요.
왜소치로 인해 씹거나 베어무는 부분에서 교합이 맞지 않는 기능적인 문제가 생길 수도 있고,
상악 중절치가 벌어지거나 치아 전체적인 밸런스가 맞지 않는 심미적인 문제가 있을 수도 있죠.
이런 경우에는 치료를 고려해보시는 것이 좋습니다.
─
작은치아(왜소치) 어떻게 치료할 수 있나요?
왜소치의 경우 가장 많이 사용되는 치료 방법이 라미네이트입니다.
사실 저 역시 현직 치과의사로서 무분별한 라미네이트 시술은 지양해야 한다고 생각하는 입장입니다.
하지만 블로그에서도 여러 번 말씀드렸듯이 라미네이트는 오남용되지 않는다면 환자의 심미적인 컴플렉스를 빠르게 개선할 수 있는 좋은 치료방법인데요.
왜소치가 있으신 경우 왜소치라미네이트를 통해 약 1주일이라는 빠른 시간 안에 작은 치아를 커버하고 전체적으로 치아 모양을 개선할 수 있어
왜소치로 인한 심미적인 불만족이 있으시다면 고려해보셔도 좋을 것 같습니다. 물론 기능적인 문제도 해소가 가능하고요.
| 작은치아(왜소치)라미네이트 치료 사례 |


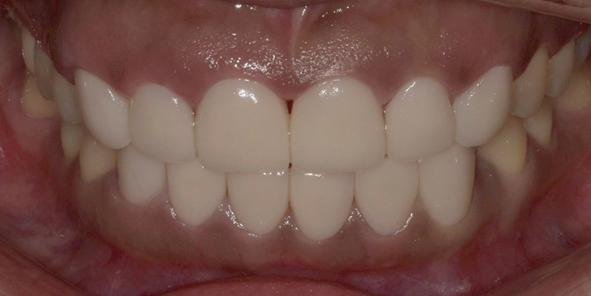
#12, 22 왜소치 라미네이트 치료 사례
23세 여성
(전) 2022-10-28 (후) 2022-11-11


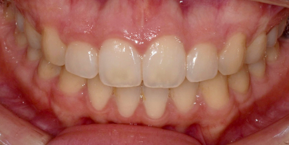
상악 측절치 작은치아라미네이트 치료 사례
20세 여성
(전) 2022-08-04 (후) 2022-08-12
상기 환자 두 분은 모두 상악 측절치에 왜소치가 있으셔서 라미네이트를 통해 치료하신 분들입니다.
치료 후에 확실히 전보다 왜소치의 크기가 커지고, 치아 사이 틈이 메워진 부분이 보이시죠? ^^


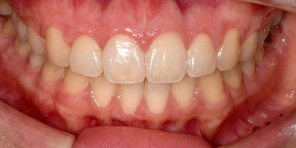
작은치아와 함께 상하악 동시 라미네이트 치료 사례
33세 여성
(전) 2022-09-24 (후) 2022-11-11
상기 환자분은 상악 측절치의 왜소치뿐만 아니라 중절치에서 약간의 벌어짐이 있으셔서 이를 라미네이트를 통해 개선하고자 하셨습니다.
왜소치뿐만 아니라 상,하악 라미네이트로 동시에 진행하셔서 치아의 전체적인 모양과 색상을 획기적으로 개선하신 케이스입니다.
가장 궁금하실 작은치아라미네이트 비용은 저희 디데이치과 기준으로 약 40~45만원 정도이며,
라미네이트 시술은 미용성형에 속하기에 부가세 10%가 별도로 부과됩니다.
왜소치라미네이트뿐만 아니라 치아교정을 통해 개선할 수도 있는데요.
실제로 환자분은 라미네이트를 원하셨지만, 전문의로서의 진단 결과 치아교정을 통해 치료하는 편이
장기적으로 봤을 때 환자분에게 더 낫다고 판단해 교정치료를 진행하는 치과 방문을 권해드린 경우도 있습니다.
| 잇몸성형을 통한 작은치아(왜소치) 치료 사례 |


라미네이트나 교정뿐만 아니라 잇몸성형으로도 어느 정도 왜소치를 치료할 수 있는데요.
상악 측절치 부분에 잇몸이 많이 내려와 치아를 덮고 있어 치아가 작아보이는 경우에 사용할 수 있는 방법입니다.
환자분의 사례를 보시면 잇몸성형 후 상악 측절치가 전보다 훨씬 시원하게 트여보이는 것을 확인하실 수 있습니다.
작은치아를 개선하기 위해 라미네이트나 치아교정 등 다양한 방법을 고려해볼 수 있지만
환자분의 경제적, 시간적 여유를 고려하고 보다 장기적으로 생각해 알맞은 치료방법을 결정하는 것이 좋은데요.
무조건 저렴한 치료만, 무조건 빠른 치료방법만 고집하는 것이 아니라
향후 5년, 10년을 생각했을 때도 환자분께 도움이 될 수 있는 치료를 선택하실 것을 추천해 드리고 싶습니다.
꼭 저희 디데이치과에서 치료하지 않으시더라도, 환자분 본인에게 장기적으로 이득이 되는 선택을 하시기를 바라며,
또 그 선택에 저희 블로그가 도움이 되었으면 좋겠습니다.
지금까지 디데이치과 김무진 대표원장이었습니다. 감사합니다!
< 벌어진 치아때문에 고민이라면? >
| 환자를 돌려보내는 치과가 있다?디데이치과 네이버 예약 ✔ |
| 서울 디데이치과 진료 문의 |
|---|
| 대표전화 : 02-568-2877 (바로가기)네이버 톡톡 문의 (바로 가기) |
▲ 모바일에서 전화 버튼을 누르시면 병원으로 연결됩니다 ▲

| 본 게시물은 의료광고법 제56조 1항을 준수하여, 의료 정보 제공 및 병원 홍보를 목적으로 디데이치과의원에서 직접 작성하였습니다.다만, 블로그에서 제공해 드리는 정보는 참조용으로만 활용하시고, 정확한 개인의 증상 파악은 의료기관에 직접 내방하시어 의료진을 통해 확인하실 것을 권유 드립니다.치과에서 진행되는 모든 시술 및 수술은 개인에 따라 부작용 (치아시림, 염증, 출혈, 부기, 신경 손상 등) 가능성이 있습니다. 따라서 사전에 의료진과 충분한 상담을 통해 결정하시길 바랍니다.게시물의 치료 사진은 실제 본원에서 모든 치료 과정을 마친 환자분의 동의하에 촬영되었습니다. 전후 사진은 동일인이며, 동일 조건하에 촬영되었음을 밝힙니다. |