안녕하세요! 디데이치과 오태훈 대표원장입니다.
저희 디데이치과가 라미네이트 등 앞니 심미보철 치료를 많이 하고있다보니
앞니브릿지와 앞니임플란트에 대한 문의들도 정말 많이 주시고 계십니다.
앞니는 아무래도 우리 구강 내에서 가장 눈에 잘 띄는 부분이기 때문에
앞니를 이미 상실하셨거나, 발치가 불가피하신 분들은 상실감과 걱정이 이만저만이 아니실텐데요…
앞니브릿지나 임플란트를 하자니 치료 기간 동안 앞니 없이 생활해야 한다는 걱정이 앞서실 것 같습니다.
그래서 여러분께서 가장 궁금하실 앞니브릿지 치료에 대해 설명드리고, 임플란트와의 비교설명과 함께 실제 치료사례까지 보여드리도록 하겠습니다.
─
앞니브릿지 하면
한동안 앞니 없이 생활해야 하나요?

앞니브릿지_모형예시
앞니브릿지를 진행하시게 된다면 치아의 본을 뜨고 위와 같이 보철물을 제작하는 기간이 약 1주일 정도 소요됩니다.
본 뜬 당일에 임시치아까지 제작해드리기 때문에 앞니 없이 생활할 걱정은 안 하셔도 됩니다 ^^
물론 임시로 손으로 만드는 치아이기 때문에 자연치아보다는 어색할 수 있고, 생활하는 과정에서 임시치아가 탈락할 수도 있습니다.
임시치아가 탈락하면 치아가 시리거나 통증이 있을 수도 있기 때문에 탈락되지 않도록 최대한 주의해주세요!
─
브릿지 vs 임플란트
어떤 차이인가요?
브릿지는 보철치료의 한 종류로 크라운을 연결해 상실한 치아 양 옆에 걸어주어 빈 부분을 대체하는 치료 방식입니다.

예시 사진은 어금니이지만 어금니뿐만 아니라 앞니브릿지도 충분히 적용이 가능합니다.
흔히 치아가 상실된 경우이거나 발치가 불가피한 경우에는 임플란트를 심어 치아 역할을 대신하게 되는데요.
임플란트는 아무래도 치료기간도 최소 3개월 정도로 오래 걸리고, 또 잇몸뼈가 튼튼하지 않은 경우 시술이 어렵거나 뼈이식이 필요할 수 있습니다.
따라서 임플란트 하시기에는 시간이 너무 없거나 치료를 시급하게 하셔야 하는 경우에는 앞니브릿지가 대안이 될 수 있습니다.
만약 상실하거나 발치해야 하는 치아가 딱 하나 뿐이고 인접한 다른 치아에 전혀 이상이 없다면
해당 치아만 임플란트를 하는 것이 경제적일 수 있습니다. 임플란트는 빠진 치아만 독립적으로 치료 가능하기 때문이지요.
아무리 좋은 보철물과 임플란트라도 자연치아를 계속 사용하는 것이 가장 좋은 방법일텐데요.
임플란트까지 하기엔 아직 아깝고, 양 옆 치아를 충분히 살려볼 수 있다면 앞니브릿지도 좋은 치료방법입니다.
─
앞니브릿지vs앞니임플란트
어느 것이 더 좋은가요?

앞니브릿지는 크라운을 연결한 보철물인만큼 저희 디데이치과 기준으로 크라운을 여러 개 하시는 것과 비용이 동일합니다.
만약 크라운 하나에 40만원이라고 가정한다면 앞니 3개를 브릿지로 하실 경우 120만원의 비용이 발생하게 되는것이죠.
반면 상실한 치아 하나만 임플란트를 하신다고 할 경우 저희 디데이치과를 기준으로 69~79만원의 비용이 발생합니다. 뼈이식 비용은 별도로 발생하지만요.
치아 3개 브릿지로 하는 것보다 임플란트 하나 하는게 더 저렴하다고 해서 무조건 임플란트가 맞는 것은 아닙니다.
상실한 치아와 인접 치아 그리고 잇몸의 상태에 따라 더 알맞은 치료법이 적용되어야 하기 때문입니다.
상실한 치아를 대체하는데 임플란트와 브릿지 모두 적합한 치료방법이기 때문에 담당 원장님과의 상담을 통해 적합한 치료 방법으로 치료 받으시기를 바랍니다.
─
앞니브릿지 치료 사례가 궁금합니다


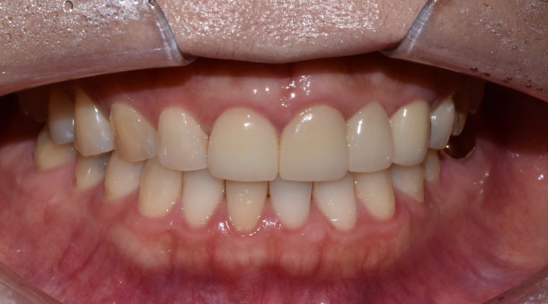
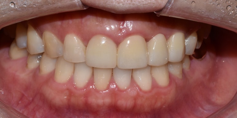
앞니브릿지 치료사례
36세 여성
(전) 2022-03-09 (후) 2022-03-29
환자분은 왼쪽(사진상 오른쪽)위 앞니 3개(#21~23)를 브릿지 치료하신 분입니다. #22 치아가 상실된 상태였거든요.
원래 브릿지로 치료하셨던지라 시린 증상이 있으시다고 해서 보철물을 제거하고 확인해봤는데요.
#21 치아 안쪽에 충치가 확인되어 신경치료하고, #23 안쪽으로는 치아를 좀 더 단단하게 보강해주는 레진 코어를 진행하여 브릿지를 다시 제작하기로 했습니다.
앞니브릿지도 티가 나거나 하지 않고 감쪽같죠? ^^
말하거나 웃을 때, 먹을 때 가장 눈에 띄는 앞니가 상실되었다면 그 상실감과 당황스러움은 이루 말할 수 없을 것 같습니다.
앞서 말씀드렸듯이 상실된 치아는 최대한 빠르게 대체해주는 것이 좋기 때문에
믿을 수 있는 치과에 방문하셔서 임플란트, 브릿지 등 다양한 치료 방법에 대해 충분히 설명을 들어보시고
나에게 꼭 알맞은 방법으로 상실된 치아를 대체하실 수 있기를 바라겠습니다.
긴 글 읽어주셔서 감사합니다. 지금까지 디데이치과 오태훈 대표원장이었습니다.
< 앞니임플란트에 대해 더 궁금하다면? >
< 디데이가 처음이신 분들을 위한 글 >
| 꼭 필요한 치료만 정직하게 권하는 곳디데이치과 네이버 예약 ✔ |
| 서울 디데이치과 진료 문의 |
|---|
| 대표전화 : 02-568-2877 (바로가기)네이버 톡톡 문의 (바로 가기) |
▲ 모바일에서 전화 버튼을 누르시면 병원으로 연결됩니다 ▲

| 본 게시물은 의료광고법 제56조 1항을 준수하여, 의료 정보 제공 및 병원 홍보를 목적으로 디데이치과의원에서 직접 작성하였습니다.다만, 블로그에서 제공해 드리는 정보는 참조용으로만 활용하시고, 정확한 개인의 증상 파악은 의료기관에 직접 내방하시어 의료진을 통해 확인하실 것을 권유 드립니다.치과에서 진행되는 모든 시술 및 수술은 개인에 따라 부작용 (염증, 출혈, 부기, 신경 손상 등) 가능성이 있습니다. 따라서 사전에 의료진과 충분한 상담을 통해 결정하시길 바랍니다.게시물의 치료 사진은 실제 본원에서 모든 치료 과정을 마친 환자분의 동의하에 촬영되었습니다. 전후 사진은 동일인이며, 동일 조건하에 촬영되었음을 밝힙니다. |