“임플란트는 엄마아빠 이야기인줄 알았는데...
저는 아직 20대밖에 안됐는데 벌써 임플란트를 해야한다고 합니다.
20대임플란트 수명은 얼마나 되나요? 한번 심으면 평생 쓸 수 있나요?
임플란트 수술할 때 통증이 심하지는 않을지 무섭고 걱정돼요…”
반갑습니다. 디데이치과 김무진 대표원장입니다 ^^
임플란트는 흔히 중장년층분들의 전유물로 인식되어있지만 요즘은 2030 젊은 세대 분들도 임플란트를 하시는 분들이 많은데요.
오늘 이 글을 보시는 분들도 아마 20대임플란트가 필요하다는 말을 듣고 관련 정보를 알아보고 계실 것 같습니다.
아직 나이도 어린데 벌써 임플란트를 해야하다니… 걱정이 앞서는 마음 충분히 이해합니다.
현직 치과의사로서 20대에 임플란트 하시는 분들을 뵙게 되면 동생같고 후배같은 마음에 안타깝기도 하고,
더 잘 치료해서 앞으로 사회생활하는데 지장이 없게 해드리고 싶은 마음이 큰데요.
이런 분들을 위해서 20대임플란트수명, 필요성, 통증에 대한 설명까지 전달드리도록 하겠습니다.
다소 긴 글이 되겠지만 소중한 내 치아 건강과 직결된 내용이니만큼 잠시만 집중해서 읽어주시기 바랍니다.
─
20대임플란트 수명,
평생 못 쓸 수도 있는 이유는?
가장 궁금하실 20대임플란트 수명에 대해 말씀드리자면 환자분의 관리에 따라 10년 이상을 쓸 수도 있고 그렇지 못할 수도 있습니다.
즉, 20대임플란트는 평생 가는 것이 아니고 환자분의 관리 여부에 따라 수명이 달라질 수 있다는 뜻입니다.




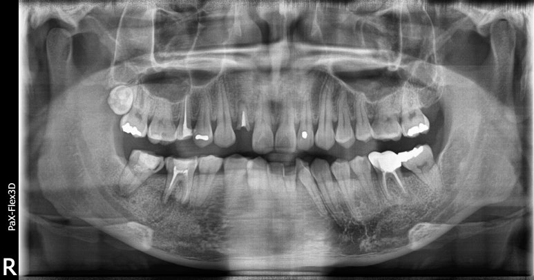
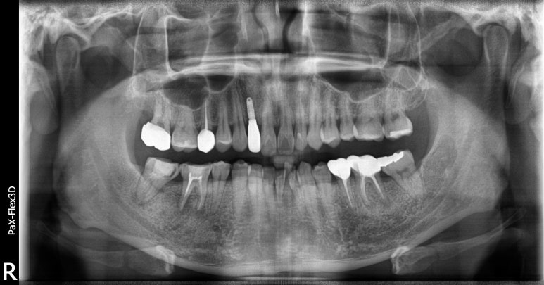
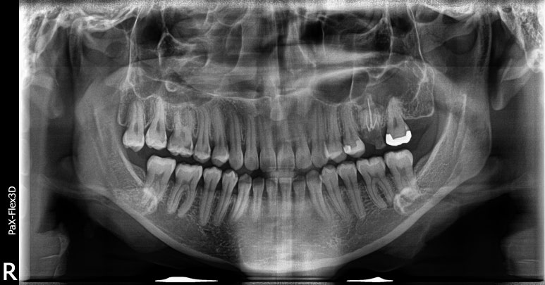
20대임플란트 실제 사례
28세 남성
(전) 2022-07-07 (후) 2022-09-02
임플란트는 금속 기둥과 크라운 보철물로 이루어진 인공 치아이기 때문에 충치가 생기지 않는 것은 맞습니다.
충치가 생기지 않는다고 해서 앞으로 평생 쓸 수 있다고 오해해 위생관리에 소홀한 경우도 있는데요.
만약 이런 경우 최악의 상태로 가면 임플란트가 흔들리거나 탈락할 수도 있습니다.
치태와 치석으로 인해 잇몸에 염증이 생기는 것은 임플란트를 심어도 똑같습니다. 이를 임플란트주위염이라고 하는데요.
임플란트주위염이 생긴 경우에는 잇몸뼈가 녹아내려 힘들게 심은 임플란트가 흔들리거나 빠질 수도 있습니다.
따라서 정기적인 구강검진과 스케일링은 물론, 치간칫솔과 치실 사용으로 보다 청결하게 관리해주는 것이 무엇보다 중요합니다.
─
20대임플란트 필요성
20대분들은 살아온 날보다 살아갈 날이 훨씬 더 많이 남았죠 ^^
당연히 자연치아를 최대한 오래 사용하는 것이 가장 좋지만, 피치 못할 상황으로 치아를 상실했다면
방치하지말고 20대임플란트 등의 치료를 통해 상실한 치아를 대체해주는 것이 중요합니다.
잇몸병이 심하거나 충치를 오랜 기간 방치해서 자연치아를 살릴 수 없는 경우, 사고나 외상으로 치아가 파절된 경우에는 임플란트가 불가피하죠.


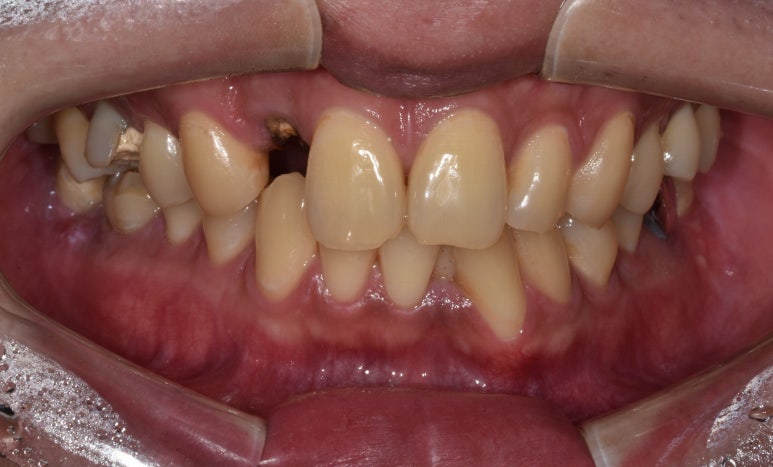
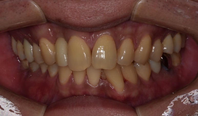
20대임플란트 실제 사례
25세 여성
(전) 2022-03-03 (후) 2022-10-11
우리 치아는 공간이 비게 되면 비어있는 쪽으로 이동하려는 성질이 있기 때문에 상실한 치아 대체가 늦어질수록 치열이 틀어질 가능성이 높습니다.
말하거나 웃거나 식사할 때도 불편함이 많아져 대인관계에 영향을 미칠 수도 있고요.
따라서 자연치아를 살리기 어려운 경우이거나 이미 상실한 경우에는 최대한 빨리, 그러나 신중하게 20대임플란트 시술을 알아보시는 것이 좋습니다.
물론 저나 오태훈 원장님 둘 다 내원하시는 환자분들께 무작정 임플란트를 권하지 않습니다.
자연치아를 아프지 않게 오래오래 보존하면서 사용하는 것이 환자분들께 가장 좋은 방법이기 때문에
치아를 살릴 수 있는 가능성이 있다면 최대한 살려 사용 기간을 늘려드리려고 노력하고 있습니다.
임플란트 환자가 많아지면 당연히 병원 운영에는 도움이 되겠지만,
환자분들께 장기적으로 더 유리한 치료, 앞으로 수십년 동안의 삶의 질을 높일 수 있는 치료를 제안해 드리자는 것이 개원할 때부터 지켜온 신념이기 때문입니다.

하지만 신경치료 후 크라운을 씌운다 하더라도 사용 기간이 길지 않을 가능성이 높거나, 이미 치아가 뿌리까지 손상되어 살릴 수 있는 가능성이 희박하다면
차라리 빠르게 발치하고 임플란트를 하시는 것이 오히려 시간과 비용을 아낄 수 있는 길이기 때문에 환자분의 상태를 파악하고 가장 이로운 방법을 제안드립니다.
─
20대임플란트 통증은?
젊은 분들이 임플란트를 한다고 해서 특별히 통증이 심하다거나 하지는 않습니다.
또한 임플란트 수술은 마취 후 진행되기 때문에 여태까지 제 경험에 비추어 봤을 때 수술 시 통증을 호소하시는 분들은 거의 없었습니다 ^^
환자분들께서는 오히려 마취할 때의 뻐근한 통증을 싫어하시는 경우가 많은데요.

이런 분들을 위해 저희 디데이치과에서는 마취 시 용액을 최대한 천천히 주입해 뻐근한 느낌이 들지 않도록 합니다.
원내에 무통마취기도 보유하고 있지만 워낙 신경써서 마취를 진행하기에 사용 빈도는 그리 높지 않은 것 같습니다 ^^;;
그래도 마취주사가 너무 무섭다 하시는 분들께서는 저희 의료진께 말씀해주시면 1차로 마취크림을 발라드린다거나
가글마취를 먼저 진행 후 마취주사를 놓는 방법을 통해 최대한 통증을 경감시켜드릴 수 있도록 하겠습니다.
그러니 통증때문에 지레 겁먹고 치과 내원을 기피하지 마시고 최대한 빨리 내원하셔서 치료받으셨으면 좋겠습니다 ^^
어린 나이에 임플란트를 해야 한다면 걱정과 후회가 남을 수도 있을 것 같습니다.
하지만 선천적으로 치아와 잇몸이 약한 사람도 있기 때문에
혼자 고민하고 괜히 부끄럽다고 생각하지 마시고 적극적으로 치료받으실 것을 권해드리고 싶습니다.
그럼 지금까지 디데이치과 김무진 대표원장이었습니다. 감사합니다!
< 임플란트통증이 겁난다면 추천하는 글 >
| 꼭 필요한 치료만 정직하게 권하는 곳디데이치과 네이버 예약 ✔ |
| 서울 디데이치과 진료 문의 |
|---|
| 대표전화 : 02-568-2877 (바로가기)네이버 톡톡 문의 (바로 가기) |
▲ 모바일에서 전화 버튼을 누르시면 병원으로 연결됩니다 ▲

| 본 게시물은 의료광고법 제56조 1항을 준수하여, 의료 정보 제공 및 병원 홍보를 목적으로 디데이치과의원에서 직접 작성하였습니다.다만, 블로그에서 제공해 드리는 정보는 참조용으로만 활용하시고, 정확한 개인의 증상 파악은 의료기관에 직접 내방하시어 의료진을 통해 확인하실 것을 권유 드립니다.치과에서 진행되는 모든 시술 및 수술은 개인에 따라 부작용 (염증, 출혈, 부기, 신경 손상 등) 가능성이 있습니다. 따라서 사전에 의료진과 충분한 상담을 통해 결정하시길 바랍니다.게시물의 치료 사진은 실제 본원에서 모든 치료 과정을 마친 환자분의 동의하에 촬영되었습니다. 전후 사진은 동일인이며, 동일 조건하에 촬영되었음을 밝힙니다. |