반갑습니다. 디데이치과 오태훈 대표원장입니다!
김무진 원장님과 함께 강남구 역삼동, 선릉역 인근에서 환자분들을 직접 대면하며
장기적으로 환자분들께 득이 되는 치료를, 최선을 다해 해드리고자 하는 마음으로 진료에 임하고 있습니다 ^^
지금 이 글을 보시는 분들이라면
아마 오래되었거나 파절되거나 또는 모양이 마음에 들지 않는 라미네이트교체를 위해 정보를 알아보고 계실 것 같습니다.
라미네이트교체는 재시술에 해당하기에 더욱 더 신중하게 생각해야 하는데요.
첫 라미네이트 시술 시 이미 치아를 어느 정도 삭제했을 가능성이 높은데
라미네이트교체를 위해 새로운 보철물을 제작하려면 똑같이 치아를 삭제해야 하기 때문입니다.
과도한 치아 삭제는 치아 시림이나 통증과 같은 부작용을 불러올 수 있어 보다 신중한 접근이 필요합니다.
자연치아는 한 번 삭제되면 절대 다시 돌이킬 수 없기 때문에 여러 이유로 라미네이트교체가 필요하시다면
반드시 풍부한 경험이 있는 의료진과 충분한 상담을 통해 치료 계획을 세우고 진행하시기를 강력히 권장해 드립니다.
─
라미네이트교체할 때 확인해야 할 점은?
라미네이트교체 시 가장 먼저 확인해야 할 사항은 아래와 같습니다.
| 현재 남아있는 치아의 양이 라미네이트교체를 위해 충분한지라미네이트교체가 가능한지만약 불가능하다면 다른 치료는 어떤 것이 있는지 |
물론 이 3가지 이외에도 확인해야 할 사항들이 많지만, 가장 중점적으로 확인해보셔야 할 내용들입니다.
또한 치과마다, 또 원장님마다 라미네이트교체 시 지향하는 치료의 방향성이 있으실 것이기 때문에
위 내용에 대해 충분히 상의해보시고 나에게 딱 맞는 치료 방법을 제안하는 치과 또는 원장님께 치료받으시면 좋은 결과를 기대할 수 있을 겁니다.
| 라미네이트교체 치료 사례 |


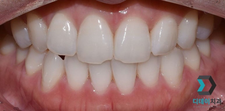
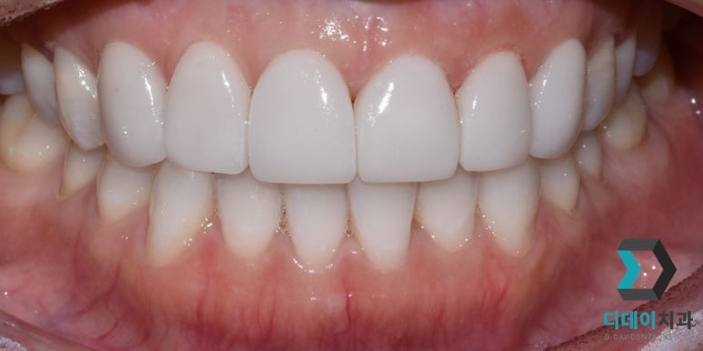
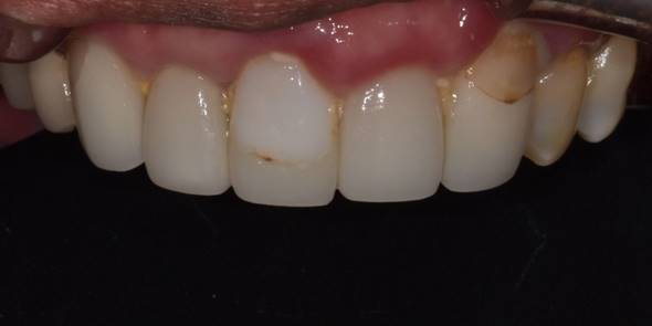
파절로 인한 라미네이트교체 시술 사례
35세 여성
(전) 2022-02-25 (후) 2022-03-04
라미네이트의 일부가 파절되어 전체적으로 라미네이트를 교체하신 환자분입니다.
라미네이트가 깨졌을 경우 깨진 틈 사이로 잔여 음식물이나 세균이 침투해 충치를 유발할 가능성이 높습니다.
환자분처럼 끝부분만 파절된 경우 이미 보철물에 미세한 크랙이 있을 수 있어 더 사용하다가 탈락하거나 완전히 깨질 수 있으므로 교체가 필요합니다.


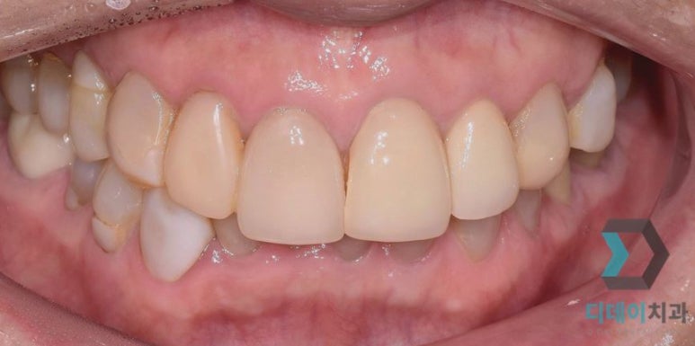
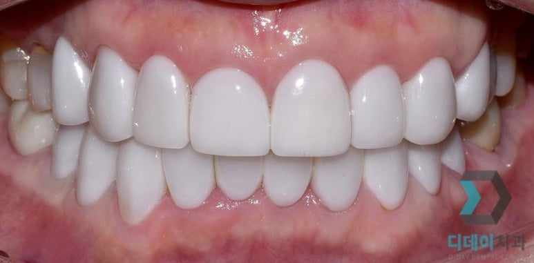
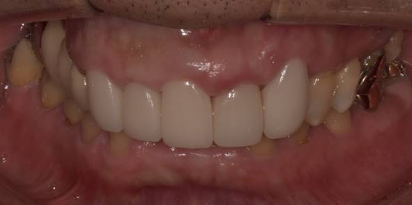
오래된 라미네이트교체 시술 사례
68세 여성
(전) 2021-12-24 (후) 2022-01-19
오래 전 시술하신 라미네이트교체를 원하신 환자분입니다.
보철물이 변색되고, 파절된 보철물도 보이네요. 치아 모양 역시 너무 길고 아랫니를 가리고 있어 답답해 보입니다.
상악 라미네이트의 길이를 전보다 짧게 만들어 이상적인 라인을 만들어주었으며, 보다 고르고 깔끔한 이미지로 개선되었습니다 ^^
─
만약 라미네이트교체가 어렵다면?
만약 이미 치아 삭제가 많이 되어있고, 추가로 삭제할 경우 이가 시릴 가능성이 있는 경우에는 라미네이트교체가 어려울 수 있는데요.
이런 경우에는 올세라믹크라운으로 대체할 수 있습니다.
라미네이트가 얇은 세라믹 보철물을 치아 표면에 부착하는 방식이라면, 올세라믹크라운은 치아 주변을 둘러싼 왕관을 씌워주는 방식입니다.
요즘은 기술이 좋아져서 올세라믹크라운도 투명도나 색상 등 심미적인 측면에서 굉장히 뛰어나기 때문에 걱정하지 않으셔도 좋습니다.
| 올세라믹크라운 치료 사례 |


라미네이트교체 -> 올세라믹크라운 치료 사례
55세 남성
(전) 2022-10-11 (후) 2022-10-18
환자분은 기존 라미네이트가 파절되고 변색도 있어 교체를 원하셨습니다.
오른쪽 위 대문니와 그 인접치 (#11, 12)는 삭제량이 많아 안쪽에 단단하게 코어로 보강하고 올세라믹크라운으로 치료한 케이스입니다.
다른 치아들은 다행히 라미네이트교체로 치료가 마무리 되었습니다 ^^
항상 말씀드리고 있지만 혹여나 라미네이트교체가 필요하신 경우 꼭 저희 치과가 아니더라도
2~3군데 치과에 방문하셔서 직접 상담받아보시고 나를 위한 맞춤 치료를 제안하는 치과에서 치료 받으시기를 권해드립니다.
장기적으로 나에게 꼭 필요한, 또 나에게 유리한 치료를 제안하는 치과에서 치료받으신다면 만족도를 높이실 수 있을 것이라고 확신합니다.
그럼 지금까지 디데이치과 오태훈 대표원장이었습니다. 감사합니다!
< 라미네이트재시술에 대해 더 궁금하다면? >
| 환자를 돌려보내는 치과가 있다?디데이치과 네이버 예약 ✔ |
| 서울 디데이치과 진료 문의 |
|---|
| 대표전화 : 02-568-2877 (바로가기)네이버 톡톡 문의 (바로 가기) |
▲ 모바일에서 전화 버튼을 누르시면 병원으로 연결됩니다 ▲

| 본 게시물은 의료광고법 제56조 1항을 준수하여, 의료 정보 제공 및 병원 홍보를 목적으로 디데이치과의원에서 직접 작성하였습니다.다만, 블로그에서 제공해 드리는 정보는 참조용으로만 활용하시고, 정확한 개인의 증상 파악은 의료기관에 직접 내방하시어 의료진을 통해 확인하실 것을 권유 드립니다.치과에서 진행되는 모든 시술 및 수술은 개인에 따라 부작용 (치아시림, 염증, 출혈, 부기, 신경 손상 등) 가능성이 있습니다. 따라서 사전에 의료진과 충분한 상담을 통해 결정하시길 바랍니다.게시물의 치료 사진은 실제 본원에서 모든 치료 과정을 마친 환자분의 동의하에 촬영되었습니다. 전후 사진은 동일인이며, 동일 조건하에 촬영되었음을 밝힙니다. |