라미네이트후기, 치료사례를 찾고 계시다면 잠시만 집중해서 읽어주세요!
전문의가 알려드리는 진짜 라미네이트후기, 치료사례만 엄선해서 보여드리겠습니다.
안녕하세요. 디데이치과 김무진 대표원장입니다 ^^
라미네이트후기를 검색하다가 저희 블로그까지 오신 분들은 아마 라미네이트 시술을 앞두셨거나,
평소 관심이 있어 실제 시술후기가 궁금해 여기까지 오셨을 것 같습니다.

시술 전에 걱정이 참 많으시죠?
라미네이트하면 치아가 시리다더라, 내 치아가 얼마 없어서 나중에 고생한다더라 등등…
라미네이트에 대한 걱정과 우려. 치과의사인 제가 가장 잘 알고있습니다.
제가 여러번 블로그에서 말씀드린 적이 있듯이 라미네이트는 오남용되지만 않는다면 빠르게 컴플렉스를 해결할 수 있는 좋은 시술입니다.

저 역시 자연치아는 가능한 한 끝까지 보존하면서 오래오래 사용하는 것이 가장 좋다는 입장인데요.
하지만 벌어진치아, 왜소치, 나비치아, 치아배열 등 다양한 고민으로 라미네이트를 원하시는 환자분들께 진실된 정보를 전해드리는 것도 저의 몫이라 생각합니다.
그래서 거짓없이 제가 실제로 집도한 라미네이트후기들을 모아 보여드리려고 합니다.
라미네이트 고민중이시라면 오늘 보여드리는 사례를 참고하셔서 내 치아도 이렇게 변할 수 있겠구나하고 예상해보실 수 있겠죠? ^^
물론, 다른 사람이 드라마틱하게 개선되었다 하더라도 나 역시 그렇게 될 것이란 보장은 없습니다.
따라서 오늘 보여드리는 라미네이트후기, 시술사례는 참고만 하시고 치료받고자 하는 치과에 가셔서 전문의와 충분한 상담을 통해 시술여부를 결정하시기 바랍니다.
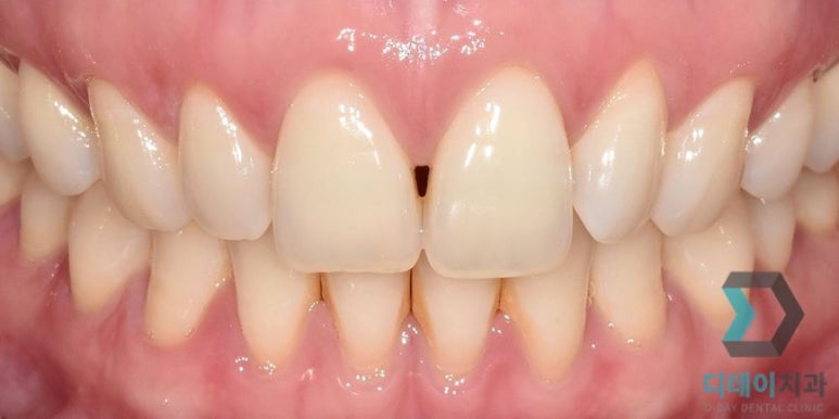
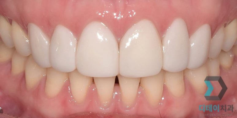
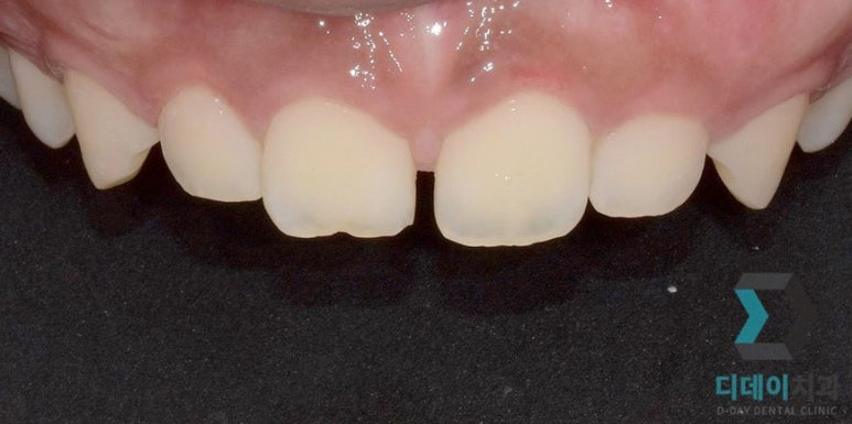
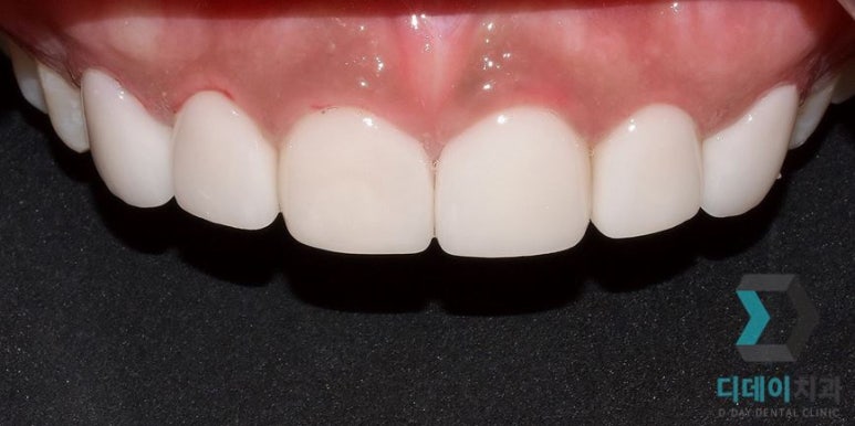
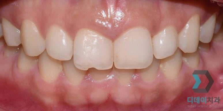
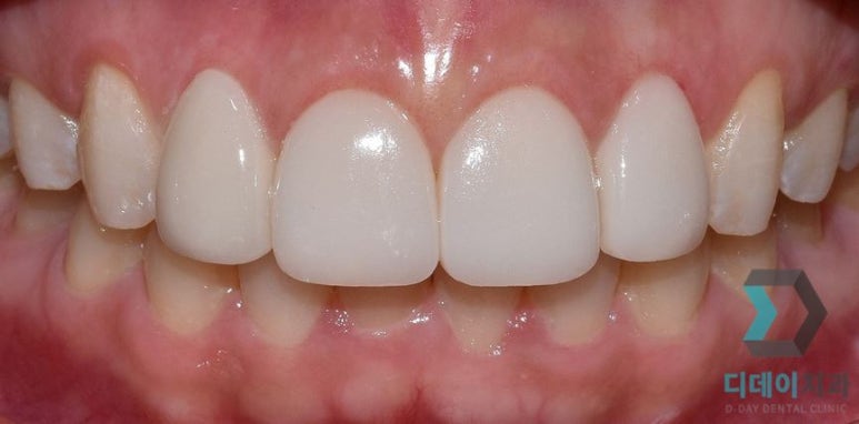
| 무삭제라미네이트 치료 사례 |


무삭제라미네이트
37세 여성
(전) 2021-11-04 (후) 2022-01-28
치아 삭제 없이 앞니 6개의 치아 모양과 색상, 경미한 옥니를 개선한 케이스입니다.
무삭제라미네이트 치료 후 앞니 사이의 블랙트라이앵글도 사라졌네요 ^^
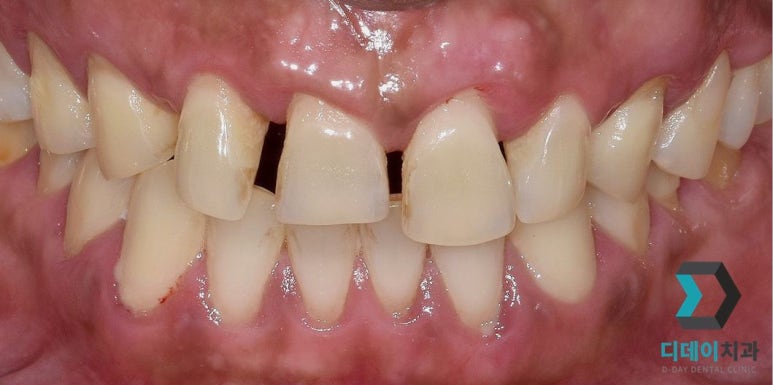
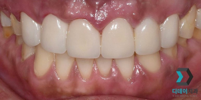
| 벌어진치아 라미네이트 치료 사례 |


벌어진치아(치간이개) 라미네이트
38세 남성
(전) 2022-05-30 (후) 2022-06-15


벌어진치아(치간이개) 라미네이트
18세 여성
(전) 2021-12-28 (후) 2022-01-12
치아 사이가 벌어진 경우 환자분들께 상당한 스트레스로 작용하기도 합니다.
위 환자분들은 벌어진치아를 라미네이트로 치료한 사례인데요. 어떤가요?
벌어진 부분이 완벽하게 메워진 것은 물론, 치아의 모양과 배열 역시 완벽하게 개선되었죠?
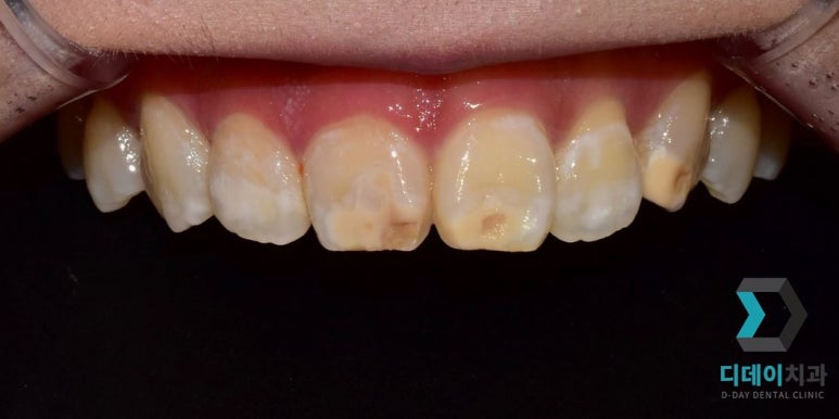
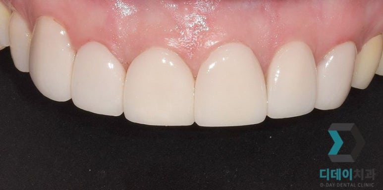
| 법랑질형성부전증 라미네이트 치료 사례 |


법랑질형성부전증 라미네이트
39세 남성
(전) 2021-09-07 (후) 2021-09-29


법랑질형성부전증 라미네이트
33세 여성
(전) 2022-04-27 (후) 2022-05-03
치아의 가장 바깥쪽 면을 법랑질이라고 하는데, 이유가 명확히 알려진 것은 아니지만 법랑질이 제대로 형성되지 않는 경우(법랑질형성부전증)도 있습니다.
이런 경우 심미적인 개선을 위해 라미네이트 치료가 가능한데요.
상기 케이스 환자분들도 법랑질형성부전증을 라미네이트로 치료해 심미적인 부분을 획기적으로 개선한 케이스입니다.
| 일반적인 라미네이트 치료 사례 |


28세 여성
(전) 2021-12-17 (후) 2021-12-24


32세 여성
(전) 2021-07-23 (후) 2021-08-10
치아에 큰 문제가 있지는 않더라도 모양이 마음에 들지 않아서, 혹은 배열을 개선하고자 라미네이트 치료를 하시는 환자분들도 계십니다.
이 환자분들 같은 경우에는 라미네이트를 통해 치아의 모양은 물론 삐뚤빼뚤했던 치아 배열도 개선되어 보이는 효과를 거두셨습니다.
| 라미네이트 + 잇몸성형 치료 사례 |


라미네이트+잇몸성형
24세 여성
(전) 2022-01-14 (후) 2022-02-18
잇몸이 많이 내려오거나 유난히 비대칭인 경우 라미네이트 시술 시 잇몸성형을 병행하여
잇몸 라인까지 함께 다듬은 후 보철물을 부착하면 시너지 효과로 인해 훨씬 더 정돈되고 고르고 가지런한 치아를 만들 수 있습니다.
노파심에 다시 한번 말씀드리지만, 오늘 보여드린 라미네이트후기들이 이 글을 보고계신 환자분의 미래 치료결과를 보장해주는 것은 아닙니다.
다만 오늘 보여드린 사례를 참고하시면 내 치료방향성을 잡는데 분명 도움이 되실거라 생각합니다.
오늘 보시고 궁금하신 점이 있으시다면 언제든지 저희 디데이치과로 연락주세요 ^^
그럼 긴 글 마치겠습니다. 읽어주셔서 감사합니다!
< 라미네이트 색상, 모양에 대해 궁금하다면? >
| 환자를 돌려보내는 치과가 있다?디데이치과 네이버 예약 ✔ |
| 저희 디데이치과는양질의 의료 서비스를 제공해드리기 위해월 신규 환자 인원을 제한하고 있습니다.간혹 예약 대기가 발생할 수 있음을 양해 부탁드리며,예약 후 내원하셔서 "블로그 보고 왔어요"라고말씀해 주시면, 보다 빠른 진료를 도와드리겠습니다. |
| 서울 디데이치과 진료 문의 |
|---|
| 진료 문의 : 02-568-2877 (바로가기)네이버 톡톡 문의 (바로 가기) |
▲ 모바일에서 전화 버튼을 누르시면 병원으로 연결됩니다 ▲

| 본 게시물은 의료광고법 제56조 1항을 준수하여, 의료 정보 제공 및 병원 홍보를 목적으로 디데이치과의원에서 직접 작성하였습니다.다만, 블로그에서 제공해 드리는 정보는 참조용으로만 활용하시고, 정확한 개인의 증상 파악은 의료기관에 직접 내방하시어 의료진을 통해 확인하실 것을 권유 드립니다.치과에서 진행되는 모든 시술 및 수술은 개인에 따라 부작용 (염증, 출혈, 부기, 신경 손상 등) 가능성이 있습니다. 따라서 사전에 의료진과 충분한 상담을 통해 결정하시길 바랍니다.라미네이트 시술은 치아의 표면을 일부 삭제하고, 보철물을 부착하는 치료로 보철물 탈락 및 치아손상 가능성이 있으며, 반영구적인 치료법입니다.게시물의 치료 사진은 실제 본원에서 모든 치료 과정을 마친 환자분의 동의하에 촬영되었습니다. 전후 사진은 동일인이며, 동일 조건하에 촬영되었음을 밝힙니다. |