안녕하세요. 디데이치과 김무진 대표원장입니다.
치과의사도 다른 일반 병원에 가면 똑같은 환자입니다.
저도 가끔씩 몸이 좋지 않을 때 병원에 가면 환자 입장이 되는데, 이 때마다 다시금 깨닫곤 합니다.
환자분들께서 이해하기 쉽게 설명하고, 꼭 필요한 치료만 아프지 않게 해드리자는 저의 초심을요 ^^

요즘 현대인들 참 바쁘죠?
아파서 치료를 받고 싶어도 병원에 갈 시간이 나지 않아 망설이게 되고,
조금이라도 치료 기간을 단축시키려고 노력하기도 하고요.
저 역시 다른 병원에 가면 똑같은 환자 입장이기에 되도록이면 적게 병원에 가고싶은 마음입니다 ^^;;
지금 여러분께서 찾고 계신 발치즉시임플란트는 보통 임플란트 치료가 필요하지만 치과에 내원할 시간이 많지 않으시거나
치료 기간을 단축하고 싶으신 분들께서 많이 선호하시는 치료 방법인데요.
지금 이 글을 보고 계신 분들도 아마 ‘나도 발치즉시임플란트가 가능하지 않을까?’ 궁금하실 것 같습니다.
하지만 발치즉시임플란트는 누구나 가능한 것이 아니기 때문에 가능한 조건을 잘 따져봐야 하는데요.
어떤 케이스에서 발치즉시임플란트가 가능한지 지금부터 찬찬히 설명드리도록 하겠습니다.
─
발치즉시임플란트 가능한 사람은?

치과의사의 입장에서 환자분들이 병원 내원하시는 횟수도 줄여드리고 싶고, 최대한 덜 고생하셨으면 좋겠습니다.
그러나 아무에게나 발치즉시임플란트를 권해드리지 않습니다.
충분한 양, 그리고 비교적 건강한 상태의 잇몸뼈를 가지신 분들에 한해 적용이 가능하기 때문입니다.
임플란트 수술에서 가장 중요한 요인이 잇몸뼈인데요.
잇몸뼈가 튼튼할수록, 두꺼울수록 임플란트 식립의 성공 확률도 높아지고 치료 기간도 단축시킬 수 있습니다.
여기서 말하는 건강한 잇몸뼈란 아무 질환도 없는 환자분들을 말씀드리는 건 아닙니다.
당연한 말이지만 이런 분들은 아예 임플란트를 할 필요가 없겠죠 ^^;;
‘비교적’ 튼튼한 잇몸뼈를 가지신 분들이 발치즉시임플란트가 가능합니다.
만약 잇몸에 염증이 있으셔도 그 상태가 경미하다면 가능할 수 있습니다.
해당 수술에 충분한 경험을 가지고 있는 전문의와의 충분한 상담을 통해 가능 여부를 확인 후 수술 여부를 결정하시기 바랍니다.
─
발치즉시임플란트 케이스
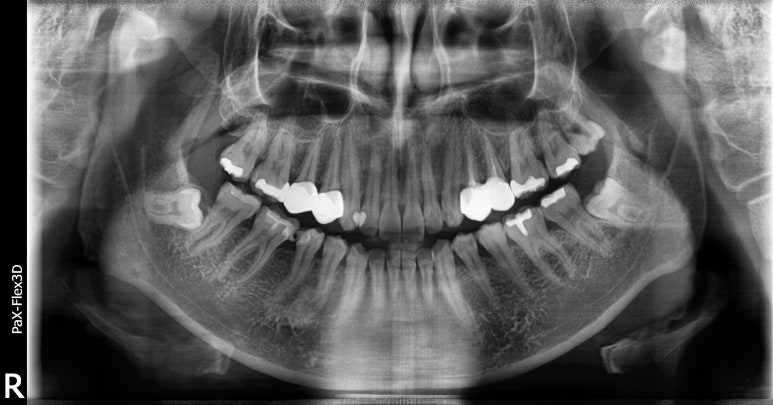
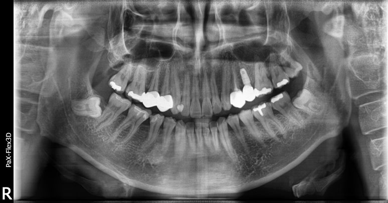
케이스를 통해 설명드리는 것이 이해가 빠르실 것 같아서 최근 보철물까지 완료하신 환자분 케이스를 소개해 드립니다.


발치즉시임플란트 케이스
32세 남성
(전, 후) 2022-07-27
환자분은 잇몸에 갑자기 뭐가 나서 저희 디데이치과로 내원해주셨는데요.
정확한 진단을 위해 파노라마 엑스레이와 CT를 촬영해보니 잇몸에 염증이 다소 있는 것을 확인했습니다.
해당 치아는 이미 신경치료 후 크라운을 씌운 후 사용하던 치아라 이미 염증이 생겼다면 발치가 불가피한 것으로 판단했습니다.
그래도 환자분은 잇몸에 염증은 있지만 심하지는 않아서 내원하신 당일 발치즉시임플란트 수술 진행했습니다.
다만, 잇몸뼈가 다소 녹아있어 당일식립하면서 뼈이식도 함께 진행해주었습니다.
발치즉시임플란트와 동시에 뼈이식을 진행하는 수술은 난이도가 굉장히 높은 수술인데요.
다행히 환자분은 수술이 잘 마무리되었고, 보철물까지 무사히 부착이 완료되었습니다.

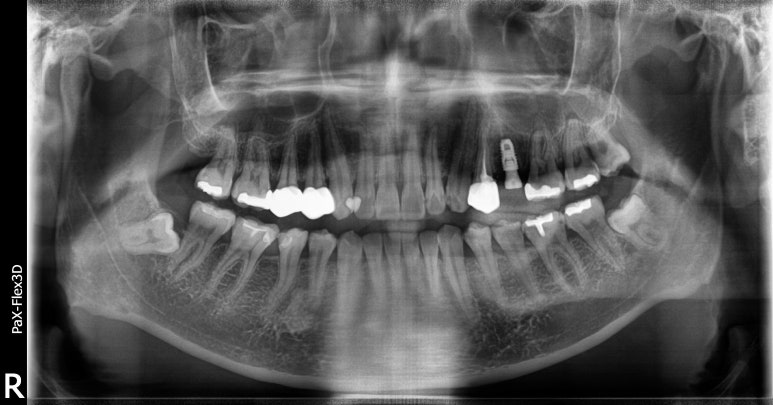
발치즉시임플란트 마무리
32세 남성
2022-11-30
만약 환자분께서 중간에 스케줄로 인해 출국하지 않으셨다면 완료 시점을 한 달 정도 앞당겨
총 3개월만에 모두 완료할 수 있었지만 아쉽게도 출장으로 인해 한 달 정도 딜레이가 되었네요.
─
임플란트잘하는치과의 조건은?
‘임플란트잘하는치과’라고 말할 수 있는 치과는 어떤 특징이 있을까요?
수술 시간이 빠른 치과? 발치즉시임플란트 해주는 치과?
아니면 가격이 파격적으로 저렴한 치과나 언론에 많이 보도된 치과일까요?
저는 이러한 기준으로 임플란트잘하는치과를 바라봐서는 안 된다고 생각합니다.
의술이 뛰어난 것은 치과의사가 당연히 가져야 할 역량이지만,
환자의 상태를 정확하게 진단하고 그에 맞는 치료 방법과 방향성을 제시할 수 있어야 합니다.
따라서 임플란트 수술을 빨리 하는것도 중요하지만 2~3군데 치과에 방문하셔서
직접 환자분을 치료해줄 원장님과 상담해보시고 충분히 이야기 나눠보신 후
장기적으로 나에게 맞는 치료 계획과 방향성을 말하는 곳에서 치료받으시기를 바랍니다.
오늘은 발치즉시임플란트 가능한 사람과 실제 시술 케이스에 대해 설명드렸습니다.
한 분의 환자라도 더 만족스럽고 더 지속 가능한 임플란트 치료를 받으시기를 바라며
더 궁금한 점이 있으시다면 병원으로 연락주시면 친절하게 상담해드리겠습니다.
지금까지 디데이치과 김무진 대표원장이었습니다. 감사합니다.
< 임플란트뼈이식비용이 궁금하다면 추천하는 글 >
< 의사가 말하는 임플란트유지기간 >
| 꼭 필요한 치료만 정직하게 권하는 곳디데이치과 네이버 예약 ✔ |
| 저희 디데이치과는양질의 의료 서비스를 제공해드리기 위해월 신규 환자 인원을 제한하고 있습니다.간혹 예약 대기가 발생할 수 있음을 양해 부탁드리며,예약 후 내원하셔서 "블로그 보고 왔어요"라고말씀해 주시면, 보다 빠른 진료를 도와드리겠습니다. |
| 서울 디데이치과 진료 문의 |
|---|
| 대표전화 : 02-568-2877 (바로가기)네이버 톡톡 문의 (바로 가기) |
▲ 모바일에서 전화 버튼을 누르시면 병원으로 연결됩니다 ▲

| 본 게시물은 의료광고법 제56조 1항을 준수하여, 의료 정보 제공 및 병원 홍보를 목적으로 디데이치과의원에서 직접 작성하였습니다.다만, 블로그에서 제공해 드리는 정보는 참조용으로만 활용하시고, 정확한 개인의 증상 파악은 의료기관에 직접 내방하시어 의료진을 통해 확인하실 것을 권유 드립니다.치과에서 진행되는 모든 시술 및 수술(임플란트 포함)은 개인에 따라 부작용 (염증, 출혈, 부기, 신경 손상 등) 가능성이 있습니다. 따라서 사전에 의료진과 충분한 상담을 통해 결정하시길 바랍니다.게시물의 치료 사진은 실제 본원에서 모든 치료 과정을 마친 환자분의 동의하에 촬영되었습니다. 전후 사진은 동일인이며, 동일 조건하에 촬영되었음을 밝힙니다. |