| 벌어진치아, 치아모양과 배열 등으로 라미네이트를 하고싶지만망설이는 가장 큰 이유가 바로 치아삭제량 때문입니다.라미네이트치아삭제 때문에 고민이셔서 정보를 검색중이시라면딱 5분만 투자하셔서 오늘 글을 집중해서 읽어주세요.라미네이트 시 치아삭제량에 대한 정보와 함께라미네이트 잘하는 치과 선택의 기준도 알려드리도록 하겠습니다. |
안녕하세요! 디데이치과 김무진 대표원장입니다.

오늘 이 글을 보시는 분이라면
벌어진 치아나 치아 모양에 대한 불만으로 라미네이트에 대해 관심은 많지만 치아삭제량 때문에 고민하고 계신 분들일텐데요.
치아의 심미적인 부분을 획기적으로 개선하고 싶은 마음은 굴뚝같지만
멀쩡한 치아를 갈아내야 한다는 것이 부담스러운 마음… 현직 치과의사인 제가 가장 잘 알고있습니다.

그리고 저희 디데이치과가 라미네이트를 비롯한 앞니 심미치료를 많이 진행하고 있다 보니
굉장히 많이 받는 질문 중 하나가 ‘라미네이트치아삭제는 얼마나 되나요?’ 이기 때문에
오늘 이 자리를 빌어 치아삭제가 많아지는 경우와 최소삭제 또는 무삭제로도 가능한 경우를 설명해 드리겠습니다.
물론 오늘 설명드리는 케이스는 환자분들을 직접 뵙고 1:1로 진단한 것이 아니기 때문에
참고만 하실 것을 강조드리면서 글 시작해보도록 하겠습니다.
─
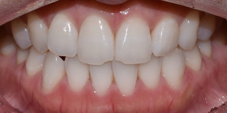
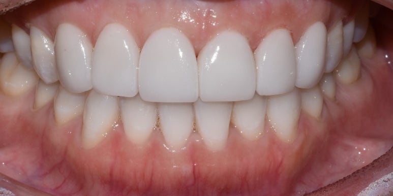
치아삭제가 거의 없는 경우
라미네이트치아삭제가 거의 없는 케이스도 존재합니다.


무삭제 라미네이트 시술 케이스
30대 여성
(전) 2021-10-07 (후) 2022-04-20
옥니라고 하죠. 치아 전체적으로 약간 안쪽을 향해있는 경우에는 라미네이트 진행 시 치아 삭제량이 적거나 거의 없이도 가능합니다.
아무래도 약간 안쪽으로 들어가있는 치아를 바깥으로 더 나오게 만드는 것이라 치아 삭제량은 많지 않을 수 있습니다.
아울러 치아 배열이 예쁘신 분들, 예를 들어 교정을 하셨다거나, 아니면 선천적으로 배열이 좋으신 분들은 라미네이트치아삭제가 거의 없이도 가능할 수 있습니다.
또한 오픈바이트라고 해서 치아가 맞물리도록 입을 다물었을 때 윗니와 아랫니 사이 공간이 보이는 경우가 있는데
이를 해소하기 위해 라미네이트를 진행할 경우에는 삭제량이 많지 않을 수 있습니다.
─
치아삭제가 많아지는 경우
반면 치아 배열이 다소 고르지 못한 경우이거나
앞니에 충치가 있어 이를 제거해야 하는 경우, 기존에 라미네이트가 되어 있어 이를 제거하고 다시 해야하는 경우
혹은 옥니와는 반대로 치아가 바깥을 향하고 있는 뻐드렁니를 해소하고자 하는 경우에는 라미네이트치아삭제량이 많아질 수 있습니다.
치아 배열이 고르지 못한 경우에는 치아를 많이 다듬어야 보철물을 가지런하게 부착할 수 있기 때문에 아무래도 삭제량이 많아질 수 있겠죠.
마찬가지로 앞니에 충치가 있는 경우에도 이 충치를 제거한 후 라미네이트를 해야하기 때문에 삭제가 많아질 수 있습니다.


라미네이트 재시술 케이스
30대 여성
(전) 2022-02-25 (후) 2022-03-04
더불어 라미네이트가 이미 되어있는 치아는 기존의 라미네이트 보철물을 제거하고 치아를 다듬은 후 새로운 라미네이트를 부착해야 하는데요.
이 과정에서 삭제량이 첫 라미네이트보다는 많을 수 있는 것입니다.
라미네이트 과정에서 치아삭제량이 많아질 경우 치아가 시릴 수 있고,
이런 증상이 계속되면 신경치료 후 크라운을 해야 하는 상황이 발생할 수 있습니다.


앞니 충치 제거 후 크라운 시술 케이스
20대 여성
(전) 2021-08-24 (후) 2021-09-18
따라서 내 치아의 상태가 라미네이트를 하기에 적절한지, 삭제량은 얼마나 되는지를
전문의와 함께 꼭! 상의하신 후 결정하셔야 후회없는 선택이 될 수 있습니다.
노파심에 다시 한번 말씀드리지만 나열한 조건에 해당한다고 하더라도
사람에 따라, 치아 상태에 따라 삭제량은 천차만별이기 때문에 상담받으러 가시기 전 참고만 해주시길 바라겠습니다.
─
라미네이트 잘하는 치과는
어떻게 고를 수 있을까요?
여러분은 어떤 치과에서 라미네이트를 하고 싶으신가요?
무조건 가격이 저렴한 치과? 아니면 연예인들이 많이 시술했다는 치과나 이름이 널리 알려진 치과?
저는 이런 기준으로 라미네이트치과를 선택하시기 보다는
자연치아의 손상을 최소화하면서 치아의 모양이나 색상, 배열을 개선해줄 수 있는 치과를 선택하셨으면 좋겠습니다.
말씀드렸듯이 우리 치아는 한 번 손상되면 절대로 회복되거나 재생되지 않습니다.
그래서 저는 환자분과 상담을 진행할 때 치아삭제가 너무 많을 것으로 예상되어
라미네이트가 적합하지 않다고 판단된다면 시술을 권하지 않습니다. 실제로 환자분을 돌려보낸 적도 많습니다.
병원을 운영하는 입장에서 한 분이라도 더 시술을 하면 좋겠지만, 그게 장기적으로 환자분께 좋은 일은 아니니까요.
반드시 저희 디데이치과에 오셔서 시술받으시라는 말이 아닙니다.
물론 저희에 대한 믿음이 생겨 오셔서 치료받고 싶으시다면 정말 감사한 마음으로 최선을 다해 진료하겠지만
그렇지 않다고 하더라도 환자분들께서 2~3군데 치과를 선정하셔서 직접 상담을 받아보시면
어떤 치과가 정말 환자의 입장에서 자연치아의 손상을 최소화하면서 치아를 개선해줄 수 있는지 느끼실 수 있을 거라고 확신합니다.
오늘은 정말 많이 받는 질문 중 하나인 라미네이트치아삭제에 대해 안내해 드렸는데요.
항상 드리는 말씀이라 지겨우시겠지만 ^^;; 라미네이트는 오남용되지 않는다면 개인의 콤플렉스를 빠르게 해소할 수 있는 좋은 시술입니다.
대신 무분별한 시술은 지양해야 하겠지요.
오늘 알려드린 라미네이트치아삭제 케이스별 사례와 라미네이트 잘하는 치과 고르는 팁을 통해
환자분들께 딱 알맞은 치과를 선택해 치아 모양을 개선하고 스트레스에서 벗어나시기를 기원하겠습니다.
지금까지 디데이치과 김무진 대표원장이었습니다. 감사합니다!
< 라미네이트 실제 후기가 궁금하다면? >
| 꼭 필요한 치료만 정직하게 권하는 곳디데이치과 네이버 예약 ✔ |
| 서울 디데이치과 진료 문의 |
|---|
| 대표전화 : 02-568-2877 (바로가기)네이버 톡톡 문의 (바로 가기) |
▲ 모바일에서 전화 버튼을 누르시면 병원으로 연결됩니다 ▲

| 본 게시물은 의료광고법 제56조 1항을 준수하여, 의료 정보 제공 및 병원 홍보를 목적으로 디데이치과의원에서 직접 작성하였습니다.다만, 블로그에서 제공해 드리는 정보는 참조용으로만 활용하시고, 정확한 개인의 증상 파악은 의료기관에 직접 내방하시어 의료진을 통해 확인하실 것을 권유 드립니다.치과에서 진행되는 모든 시술 및 수술(임플란트 포함)은 개인에 따라 부작용 (염증, 출혈, 부기, 신경 손상 등) 가능성이 있습니다. 따라서 사전에 의료진과 충분한 상담을 통해 결정하시길 바랍니다.게시물의 치료 사진은 실제 본원에서 모든 치료 과정을 마친 환자분의 동의하에 촬영되었습니다. 전후 사진은 동일인이며, 동일 조건하에 촬영되었음을 밝힙니다. |