“웃을 때 잇몸이 너무 많이 보여서 스트레스인데요…
잇몸성형이라는게 있다고 들었습니다.
저도 좋아질 수 있을까요?”
“잇몸라인이 삐뚤빼뚤한 잇몸비대칭이어서
거울을 볼 때마다 스트레스예요…
자신있게, 환하게 웃을 수 있는 방법을 알려주세요”
안녕하세요. 디데이치과 김무진 대표원장입니다.
유난히 잇몸라인이 고르지 않고 삐뚤빼뚤하거나, 잇몸이 많이 내려와 치아를 덮고 있는 분들이 계십니다.
타인은 잘 눈치채지 못할 수 있지만 환자 본인에게는 상당한 스트레스로 작용하는데요.
어떤 환자분은 저에게 오셔서 웃을 때 잇몸이 많이 보여서 30년 평생을 스트레스 받으셨다고 말씀하시기도 합니다.
이런 분들을 만날 때면,
조금이라도 빨리 개선해 환자분께 자신있는 미소를 되찾아 드리고 싶다는 생각이 많이 드는데요.
아마 지금 이 글을 보고 계신 분들께서도 비슷한 스트레스를 느껴 해소할 수 있는 방법을 찾고 계실거라 생각합니다.


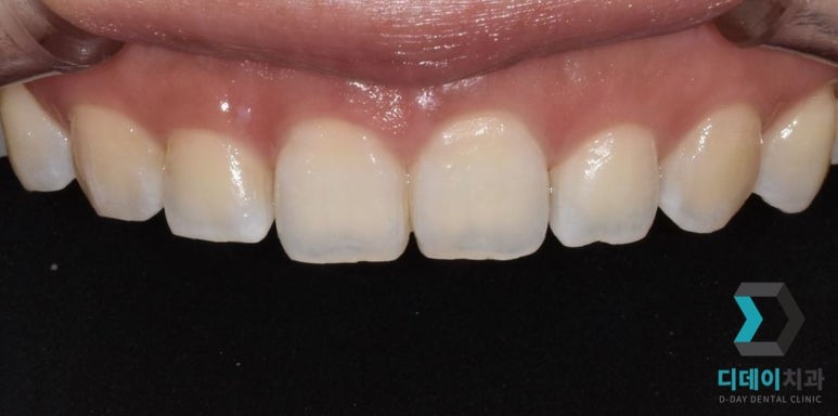
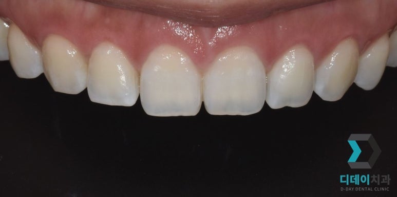
잇몸라인 개선 잇몸성형 치료사례
20대 여성
(전) 2021-08-30 (후) 2021-09-28
잇몸성형은 이렇게 고르지 못한 잇몸라인이나 웃을 때 많이 보이는 잇몸때문에
평생을 스트레스 받으셨던 환자분들의 고충을 빠르게 해소해드릴 수 있는 방법 중 하나인데요.
이런 시술이 있는지 몰라서 못 받는 분들이 거의 대부분입니다.
그래서 오늘은 잇몸성형에 대해 간단하게 설명해드리고, 잇몸성형을 통해 잇몸라인을 개선한 사례를 소개해드리도록 하겠습니다.
‘잇몸성형’이라는 단어 때문인지 환자분들께서 괜히 아플 것 같고, 회복하는데 시간도 오래 걸릴 거라고 생각하실 수 있습니다.
레이저 잇몸성형은 시술 시간도 약 30분 정도로 짧은 편이고, 마취 후 진행되기 때문에 통증도 거의 없는 편입니다.
물론 통증은 개인마다 조금씩 느끼는 부분이 다르지만, 제가 만나본 대부분의 환자분들은 통증을 호소하시지는 않았습니다 ^^
또 시술 직후에 바로 일상생활이 가능하기 때문에 회복기간도 상당히 짧습니다.


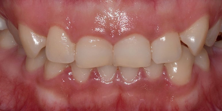
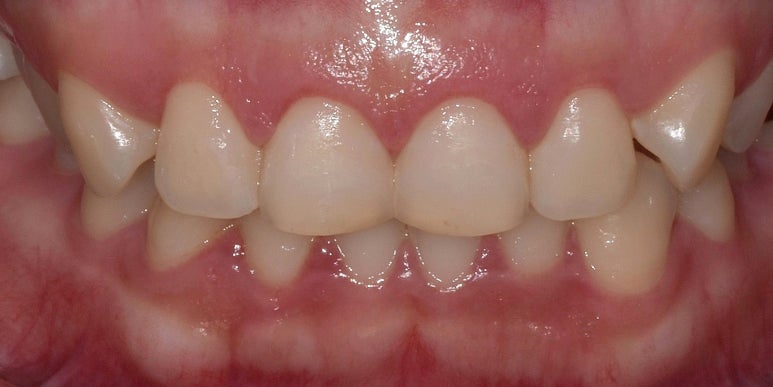
잇몸비대칭 잇몸성형 치료사례
20대 여성
(전) 2022-08-26 (후) 2022-09-12
이렇게 말씀드리면 잇몸성형이 아주 간단한 시술처럼 느껴지실텐데요.
그렇지는 않습니다.
잇몸성형은 잇몸뼈의 위치나 높이를 파악해 잇몸라인을 올릴 수 있는 범위를 설정하고,
또 주변 잇몸라인과 잘 어우러지게 디자인 하는 것이 중요한데요.
섬세하고 세밀한 시술이 가능한 노하우를 갖추는 것은 물론
심미안까지 겸비해야 환자분께 잘 어울리는 예쁜 잇몸라인을 만들 수 있습니다.
잇몸'성형'이 아니라 '잇몸'성형이기 때문에 보여지는 예쁜 라인은 물론,
치아의 건강과 기능까지 세심하게 신경써야 환자분의 치아 건강에 이로운 치료가 가능합니다.
| 잇몸비대칭 치료 사례 |


잇몸비대칭 잇몸성형 치료사례
20대 여성
(전) 2022-07-25 (후) 2022-08-05


잇몸비대칭 잇몸성형 치료사례
40대 여성
(전) 2022-04-21 (후) 2022-05-10
이런 케이스는 특정 치아 쪽 잇몸이 특히 많이 내려와 치아를 덮고 있어
치아도 작아보이고 잇몸라인이 고르지 못하게 보이는 케이스인데요.
잇몸성형을 통해 해당 치아 쪽 잇몸을 다른 치아의 높이와 유사하게 맞춰주어
고르고 가지런한 라인을 만들어주는 것이 핵심입니다.
| 잇몸성형을 통한 잇몸라인 개선 치료 사례 |


잇몸라인 개선 잇몸성형 치료사례
30대 여성
(전) 2022-06-17 (후) 2022-07-09


잇몸라인 개선 잇몸성형 치료사례
20대 여성
(전) 2022-06-11 (후) 2022-06-25
전체적인 라인을 다듬어주는 케이스도 있는데요.
보시는 것처럼 잇몸라인이 전체적으로 너무 플랫하거나 잇몸이 많이 내려와 치아를 덮고 있는 경우에는
가능한 한 잇몸라인을 높이 올리고, 둥글고 가지런하게 정돈해 깔끔하고 시원한 인상을 줄 수 있도록 합니다.
잇몸이 많이 보여서 고민이신 분들께 잇몸성형은 좋은 해결책이 될 수 있는데요.
하지만 말씀드렸던 것처럼 잇몸뼈의 위치와 높이, 그리고 전체적인 잇몸라인의 조화 등 의학적으로 신경써야 할 부분들이 많기 때문에
잇몸성형 시술 경험이 풍부한 병원과 원장님께 시술 받으시는 것이 안전한 시술을 위한 지름길입니다.
또한 개인의 치아 및 잇몸의 상태에 따라 시술 가능 여부가 달라질 수 있으므로 시술 전 반드시 전문의와의 충분한 상담이 필요하고요.
오늘 전달드린 잇몸성형 정보와 시술 사례가 잇몸이 많이 보여서 고민이신 분들께 도움이 되었다면 저는 더 바랄 것이 없을 것 같습니다 ^^
혹시나 잇몸성형 또는 치과치료 관련 문의사항이 있다면 언제든지 편하게 말씀해주세요!
그럼 지금까지 디데이치과 김무진 대표원장이었습니다. 감사합니다 ^^
< 잇몸성형 비용에 대해 더 알고싶다면? >
| 환자를 돌려보내는 치과가 있다?디데이치과 네이버 예약 ✔ |
| 서울 디데이치과 진료 문의 |
|---|
| 대표전화 : 02-568-2877 (바로가기)네이버 톡톡 문의 (바로 가기) |
▲ 모바일에서 전화 버튼을 누르시면 병원으로 연결됩니다 ▲

| 본 게시물은 의료광고법 제56조 1항을 준수하여, 의료 정보 제공 및 병원 홍보를 목적으로 디데이치과의원에서 직접 작성하였습니다.다만, 블로그에서 제공해 드리는 정보는 참조용으로만 활용하시고, 정확한 개인의 증상 파악은 의료기관에 직접 내방하시어 의료진을 통해 확인하실 것을 권유 드립니다.치과에서 진행되는 잇몸성형(치은절제술)을 포함한 모든 시술 및 수술은 개인에 따라 부작용 (염증, 출혈, 부기, 신경 손상 등) 가능성이 있습니다. 따라서 사전에 의료진과 충분한 상담을 통해 결정하시길 바랍니다.게시물의 치료 사진은 실제 본원에서 모든 치료 과정을 마친 환자분의 동의하에 촬영되었습니다. 전후 사진은 동일인이며, 동일 조건하에 촬영되었음을 밝힙니다. |