| 치아모양이 마음에 들지 않으셔서 모양 개선을 위해 치아성형비용에 대해 알아보고 계시다면 잠시만 주목해주세요.법랑질성형부터 라미네이트까지 치아성형비용을 이 한 글로 모두 정리해드리겠습니다.아울러 치아성형 시 꼭 고려해야 하는 점까지 함께 알려드릴테니 끝까지 집중해주세요 ^^ |
안녕하세요! 디데이치과 오태훈 대표원장입니다.
김무진 원장님과 함께 환자분들께 꼭 필요한 치료만, 아프지 않게 해드리자는 마음으로 진료에 임하고 있는 현직 치과의사입니다 ^^

지금 이 글을 보고 계시다면 아마 치아 모양에 대한 불만이 있어서 이를 개선하기를 원하시는 분들일텐데요.
가지런하고 하얀 치아는 사람의 인상을 밝고 깨끗하게 만들어주는데 큰 역할을 한다는 것을 잘 알고 계실겁니다.
그래서 치아성형을 하고는 싶은데 비용이 너무 많이 들까봐 망설이는 분들을 위해
치아 모양을 개선할 수 있는 방안과 비용에 대해 모두 말씀드리도록 하겠습니다.
우선 가장 궁금하실 치아성형비용부터 먼저 말씀드리자면 치아 개당 최소 5만원에서 최대 40만원 이상이 발생합니다.
어떤 시술을 했을 때 비용은 얼마나 나오는지 차근차근 설명드릴테니 잘 따라오세요 ^^
치아성형방법 1. 법랑질성형
우리 치아는 가장 바깥쪽에 법랑질(에나멜)이라고 하는 얇은 조직으로 둘러싸여 있는데요.
치아가 유난히 뾰족하다거나, 끝부분이 울퉁불퉁한 경우 이 바깥쪽 법랑질을 다듬어 치아 모양을 보다 예쁘고 가지런하게 만들 수 있습니다.


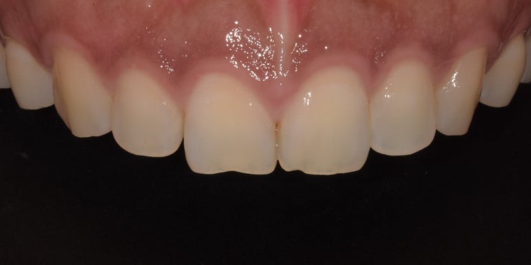
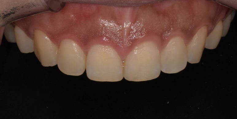
치아성형_법랑질성형 치료사례
(전) 2022-11-09 (후) 2022-11-23
다만 법랑질은 굉장히 얇은 부분이고, 많이 삭제할 경우 치아가 시릴 수 있기 때문에 섬세한 시술이 필수인데요.
해당 시술 경험이 풍부한 원장님과의 충분한 상담을 통해 시술을 진행하시는 것이 좋습니다.
저희 디데이치과를 기준으로 법랑질성형은 치아 개당 5만원에 진행되고, 부가세 10%가 별도로 발생합니다.
치아성형방법 2. 레진
치아성형의 두번째 방법은 레진치료입니다.
치아가 살짝 깨져나간 경우에 고려해볼 수 있는 치료 방법인데요. 가격이 비교적 합리적이어서 많은 분들이 고려하시는 방법 중 하나입니다.


앞니 레진치료 예시
더 많은 치료사례는 여기를 참고하세요
우선 비용부터 말씀드리면 앞니 한 면당 10만원 정도인데요.
치료가 필요한 부분이 여러 면이라면 그만큼 비용이 추가되는 것이라고 보시면 됩니다.
만약 앞니 사이에 틈이 있어 이를 메꾸고 싶으신 경우라면 다이아스테마(diastema)라고 해서 조금 다른 케이스이기 때문에 15만원의 비용이 발생합니다.
앞니 레진의 경우 비교적 저렴한 비용으로 치아성형이 가능하지만, 탈락이나 변색 가능성이 높은 점이 단점이라고 할 수 있습니다.
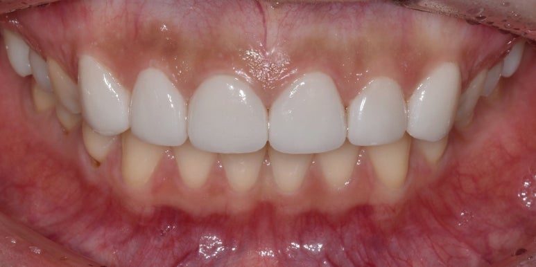
치아성형방법 3. 라미네이트
마지막으로 소개해드리는 치아성형은 라미네이트입니다.
아주 얇은 세라믹을 치아 표면에 부착해 치아의 모양을 바꿔주는 방법인데요.


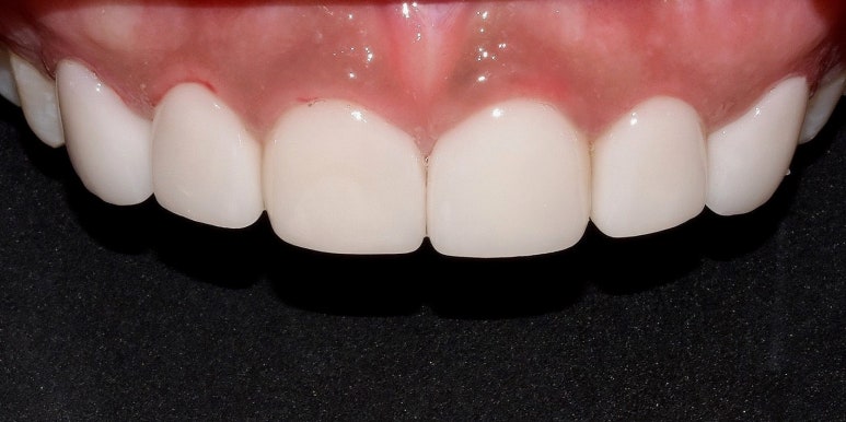
라미네이트 치료사례
(전) 2021-12-28 (후) 2022-01-12


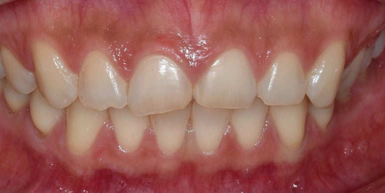
라미네이트 치료사례
(전) 2022-04-19 (후) 2022-05-03
라미네이트의 경우 개당 40~45만원 정도 비용이 발생(부가세 10% 별도)하기 때문에 다른 치료들보다 비용이 훨씬 높습니다.
하지만 치아의 모양을 보다 확실하게 바꿀 수 있고, 레진보다는 수명이 더 길다는 장점이 있습니다.
따라서 치아 모양을 확실하게 개선하고 싶으시거나, 기존에 레진으로 떼웠던 부분이 변색되거나 탈락되었다면 고려해볼 수 있는 방법입니다.
블로그를 통해 치과 관련 정보들을 전달드릴 때 꼭 드리는 말씀이지만, 우리 자연치아는 한번 손상되면 회복이 되지 않습니다.
따라서 치아성형을 고려하고 계시다면 꼭 몇 군데 치과에 내원하셔서 직접 원장님과 상담을 해보시고
너무 무분별하게 무작정 시술을 권하지는 않는지, 지금 나의 상태를 종합적으로 진단해 나에게 맞는 시술을 권하는지 꼭 확인해보시기 바랍니다.
무분별한 치료는 환자분의 치아 건강에 악영향을 미칠뿐만 아니라 시술에 대한 만족도 하락으로 또다른 스트레스를 유발할 수 있기 때문입니다.
또한 치아성형비용이 무조건 저렴하다고 해서 그것만으로 치과를 결정하지 마시고
나에게 맞는 치료는 무엇이며, 그 치료는 어떻게 진행되는지, 치료를 했을 때 어떻게 좋아질 수 있는지
치료 계획과 비전을 제시하는 치과에서 합리적이고 올바른 치료를 받으시기를 바랍니다.
긴 글 읽어주셔서 감사합니다. 지금까지 디데이치과 오태훈 대표원장이었습니다 ^^
< 라미네이트에 대해 더 궁금하다면? >
< 법랑질성형에 대한 자세한 설명 >
| 환자를 돌려보내는 치과가 있다?디데이치과 네이버 예약 ✔ |
| 서울 디데이치과 진료 문의 |
|---|
| 진료 문의 : 02-568-2877 (바로가기)네이버 톡톡 문의 (바로 가기) |
▲ 모바일에서 전화 버튼을 누르시면 병원으로 연결됩니다 ▲

| 본 게시물은 의료광고법 제56조 1항을 준수하여, 의료 정보 제공 및 병원 홍보를 목적으로 디데이치과의원에서 직접 작성하였습니다.다만, 블로그에서 제공해 드리는 정보는 참조용으로만 활용하시고, 정확한 개인의 증상 파악은 의료기관에 직접 내방하시어 의료진을 통해 확인하실 것을 권유 드립니다.치과에서 진행되는 모든 시술 및 수술은 개인에 따라 부작용 (염증, 출혈, 부기, 신경 손상 등) 가능성이 있습니다. 따라서 사전에 의료진과 충분한 상담을 통해 결정하시길 바랍니다.게시물의 치료 사진은 실제 본원에서 모든 치료 과정을 마친 환자분의 동의하에 촬영되었습니다. 전후 사진은 동일인이며, 동일 조건하에 촬영되었음을 밝힙니다. |