아카이브 요약
이 페이지의 역할
디데이치과의원의 네이버 블로그 원문을 보존한 아카이브 페이지입니다. 라미네이트 카테고리의 라미네이트올세라믹, 차이점과 치료사례까지 모두 공유합니다. 글을 통해 병원의 한국어 정보 제공 방식과 진료 관련 안내 톤을 확인할 수 있습니다.
원문 검증
필요하면 원문 블로그와 병원 프로필로 바로 이동해 문맥을 다시 확인할 수 있습니다.
출처 아카이브 열기아카이브된 블로그 글
디데이치과의원 · 통합치의학과 전문의 2명의 솔직한 치과 이야기
“앞니 라미네이트를 고민하고 있는데 누가 라미네이트보다 올세라믹크라운이 더 튼튼해서 좋다고 하더라구요... 정말 라미네이트보다 올세라믹크라운이 더 좋은건가요?” 안녕하세요. 디데이치과 김무진 대표원장입니다. 합리적인 비용으로, 아프지 않게, 꼭 필요한 치료만 권해드리자는 마음가짐으로 진료에 임하고 있는 현직...
게시일
2023년 1월 12일
원문 기준으로 확인된 발행일입니다.
카테고리
라미네이트
원문 블로그 카테고리를 정리해 함께 표시합니다.
이미지 수
11
현재 아카이브에 연결된 이미지 수입니다.
아카이브 요약
디데이치과의원의 네이버 블로그 원문을 보존한 아카이브 페이지입니다. 라미네이트 카테고리의 라미네이트올세라믹, 차이점과 치료사례까지 모두 공유합니다. 글을 통해 병원의 한국어 정보 제공 방식과 진료 관련 안내 톤을 확인할 수 있습니다.
원문 검증
필요하면 원문 블로그와 병원 프로필로 바로 이동해 문맥을 다시 확인할 수 있습니다.
출처 아카이브 열기“앞니 라미네이트를 고민하고 있는데
누가 라미네이트보다 올세라믹크라운이 더 튼튼해서 좋다고 하더라구요...
정말 라미네이트보다 올세라믹크라운이 더 좋은건가요?”
안녕하세요. 디데이치과 김무진 대표원장입니다.
합리적인 비용으로, 아프지 않게, 꼭 필요한 치료만 권해드리자는 마음가짐으로 진료에 임하고 있는 현직 치과의사입니다 ^^

정말 라미네이트보다 올세라믹크라운이 더 튼튼해서 좋은건가요?
얼마 전에 라미네이트 상담 차 내원하신 환자분께 위와 같은 질문을 받았습니다.
요즘은 환자분들도 인터넷을 통해서 정말 다양한 정보들을 많이 찾아보고 공부하고 오시는데요.
앞니 심미치료를 원하시는 분들이라면 궁금하실만한 내용이라 생각해 블로그를 통해 많은 분들과도 정보를 공유하고자 이렇게 글을 써봅니다 ^^
결론부터 말씀드리면 라미네이트보다 올세라믹크라운이 무조건 더 좋은 것은 아닙니다.
환자분의 치아 상태에 따라 라미네이트가 더 적합한 환자, 올세라믹크라운이 더 적합한 환자가 있을 수는 있겠지만
저라면 “올세라믹크라운이 더 튼튼하니까 라미네이트보다 크라운으로 하세요”라고 말씀드리기는 어려울 것 같습니다.
라미네이트보다 크라운이 튼튼한 것은 맞습니다. 구조적인 문제때문에 그런데요.
라미네이트가 아주 얇은 세라믹으로 이루어져 있는 반면에 올세라믹크라운은 치아 위에 씌울 수 있도록 왕관처럼 만들어지니까요.


(좌) 라미네이트 (우) 크라운
라미네이트를 부착하기 위해서는 자연치아의 표면을 아주 극소량 삭제할 수 있는 반면,
크라운을 부착하기 위해서는 치아의 둘레를 전체적으로 삭제해주어야 합니다.
즉, 크라운을 해야할 때 삭제량이 라미네이트 할 때의 삭제량보다 많아지게 되는 것이죠.
따라서 크라운이 더 튼튼하기 때문에 좋다라고 말하기는 어려운 부분입니다.
그렇다면 어떤 사람에게는 라미네이트가 적합하고 어떤 사람에겐 올세라믹크라운이 적합할까요?
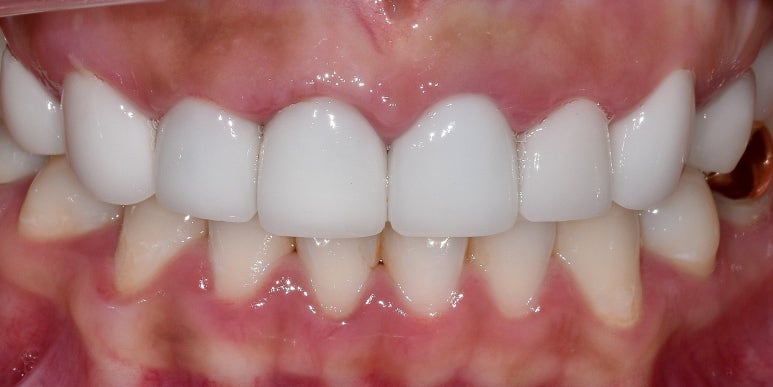
사실 올세라믹크라운은 워낙 투명도와 색상 구현이 좋은 편이라 라미네이트 혹은 자연치아와 큰 차이가 없습니다.

라미네이트와 올세라믹크라운 모형


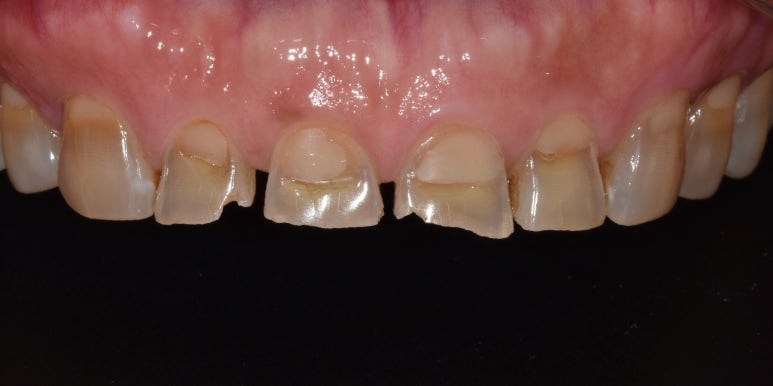
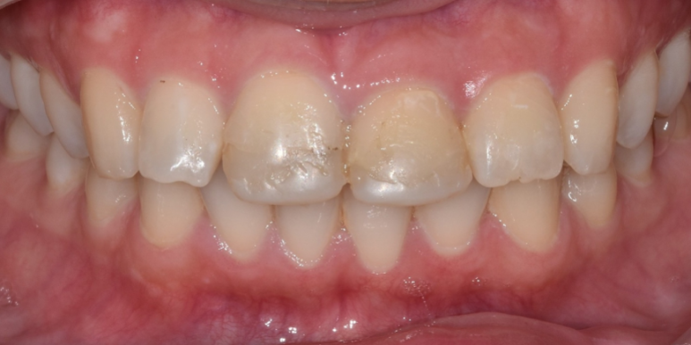
라미네이트와 올세라믹크라운 함께 시술
57세 여성
(전) 2022-06-02 (후) 2022-06-17
보시다시피 라미네이트와 함께 시술하더라도 두 재료 사이에 큰 차이를 느낄 수 없을 정도이죠.
따라서 심미적인 차이점보다는 환자분의 치아 상태에 따라 라미네이트 또는 올세라믹크라운 시술 여부를 결정하는 것이 좋습니다.
우선 기존에 라미네이트 시술을 이미 하셨고, 그 당시 치아 삭제량이 꽤 있으셨던 분들은 라미네이트보다는 올세라믹크라운이 적합할 수 있습니다.
기존에 부착되어있던 라미네이트를 제거하고 치아를 다듬은 뒤 새 보철물을 부착해야 하기 때문에
필연적으로 추가적인 삭제량이 있을 수밖에 없고, 삭제량이 많아지면 치아가 시릴 수 있습니다.
따라서 이런 경우에는 크라운으로 치아 전체를 감싸주는 것이 더 좋습니다.


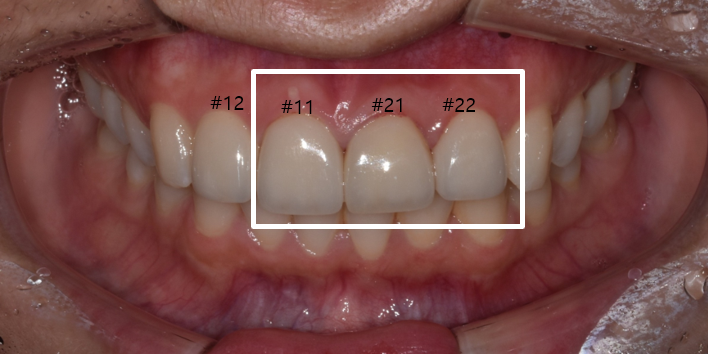
앞니 레진치료 받았던 부분을 제거하고 라미네이트와 크라운 진행하신 케이스
27세 여성
(전) 2022-05-06, (후) 2022-06-02
마찬가지로 예전에 치아 일부에 레진치료를 받은 적이 있다면 이를 제거하고 치아를 다듬은 후 보철물을 부착해야 하는데
이 경우 역시 치아 삭제량이 많아질 수 있어 라미네이트보다는 크라운을 권장해 드릴 수 있습니다.
또한 기존에 앞니크라운을 하신 경우이거나, 앞니에 충치가 깊어 이를 제거해야하는 경우에도 역시 올세라믹크라운이 더 적합합니다.


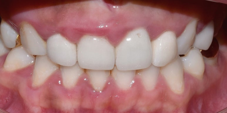
기존에 앞니 크라운을 하셨던 치아라서 올세라믹크라운으로 교체하신 케이스
27세 여성
(전) 2022-03-09 (후) 2022-04-06
이렇게 사례를 들어 설명해 드렸는데 이해가 잘 되셨나요?
하지만 어떤 재료가 적합한지 정해져 있는 것은 아니기 때문에 의사의 의학적 판단과 환자분의 상황과 선호도에 따라 사용하는 재료가 달라질 수 있습니다.
따라서 담당 의사와 충분한 상담을 거친 후, 여러분의 선호도에 따라 맞는 재료를 비교해 보시고 선택하시는 것이 가장 좋습니다.
이어서 보시면 좋은 글들을 아래 링크로 남겨드리니 찬찬히 읽어보시고
추가적인 설명이 필요하거나 나에게 맞춘 1:1 상담이 필요하시다면 언제든지 병원으로 연락주세요 ^^
지금까지 디데이치과 김무진 대표원장이었습니다. 긴 글 읽어주셔서 감사합니다!
< 함께 보시면 좋은 글 >
| 꼭 필요한 치료만 정직하게 권하는 곳디데이치과 네이버 예약 ✔ |
| 서울 디데이치과 진료 문의 |
|---|
| 대표전화 : 02-568-2877 (바로가기)네이버 톡톡 문의 (바로 가기) |
▲ 모바일에서 전화 버튼을 누르시면 병원으로 연결됩니다 ▲

| 본 게시물은 의료광고법 제56조 1항을 준수하여, 의료 정보 제공 및 병원 홍보를 목적으로 디데이치과의원에서 직접 작성하였습니다.다만, 블로그에서 제공해 드리는 정보는 참조용으로만 활용하시고, 정확한 개인의 증상 파악은 의료기관에 직접 내방하시어 의료진을 통해 확인하실 것을 권유 드립니다.치과에서 진행되는 크라운을 포함한 모든 시술 및 수술은 개인에 따라 부작용 (염증, 출혈, 부기, 신경 손상 등) 가능성이 있습니다. 따라서 사전에 의료진과 충분한 상담을 통해 결정하시길 바랍니다.게시물의 치료 사진은 실제 본원에서 모든 치료 과정을 마친 환자분의 동의하에 촬영되었습니다. 전후 사진은 동일인이며, 동일 조건하에 촬영되었음을 밝힙니다. |