아카이브 요약
이 페이지의 역할
디데이치과의원의 네이버 블로그 원문을 보존한 아카이브 페이지입니다. 잇몸/치아 성형 카테고리의 잇몸성형유지기간? 치과의사가 직접 알려드립니다. 글을 통해 병원의 한국어 정보 제공 방식과 진료 관련 안내 톤을 확인할 수 있습니다.
원문 검증
필요하면 원문 블로그와 병원 프로필로 바로 이동해 문맥을 다시 확인할 수 있습니다.
출처 아카이브 열기아카이브된 블로그 글
디데이치과의원 · Naver Blog
안녕하세요. 디데이치과 오태훈 대표원장입니다 ^^ 내 가족에게 추천해주고 싶은 치과를 만들기 위해 김무진 원장님을 비롯한 모든 의료진들과 항상 치료 계획은 친절하게 설명하고, 꼼꼼하게 치료하고자 노력하고 있습니다! 저희 디데이치과에서 앞니 라미네이트, 크라운을 비롯한 심미치료들도 많이 진행하고...
게시일
2023년 1월 13일
원문 기준으로 확인된 발행일입니다.
카테고리
잇몸/치아 성형
원문 블로그 카테고리를 정리해 함께 표시합니다.
이미지 수
9
현재 아카이브에 연결된 이미지 수입니다.
아카이브 요약
디데이치과의원의 네이버 블로그 원문을 보존한 아카이브 페이지입니다. 잇몸/치아 성형 카테고리의 잇몸성형유지기간? 치과의사가 직접 알려드립니다. 글을 통해 병원의 한국어 정보 제공 방식과 진료 관련 안내 톤을 확인할 수 있습니다.
원문 검증
필요하면 원문 블로그와 병원 프로필로 바로 이동해 문맥을 다시 확인할 수 있습니다.
출처 아카이브 열기안녕하세요. 디데이치과 오태훈 대표원장입니다 ^^
내 가족에게 추천해주고 싶은 치과를 만들기 위해 김무진 원장님을 비롯한 모든 의료진들과
항상 치료 계획은 친절하게 설명하고, 꼼꼼하게 치료하고자 노력하고 있습니다!


저희 디데이치과에서 앞니 라미네이트, 크라운을 비롯한 심미치료들도 많이 진행하고 있기에
잇몸이 많이 내려와 치아가 작아보이거나 웃을 때 잇몸이 많이 보이시는 분들의 잇몸성형에 대한 문의들도 굉장히 많은데요.
“잇몸성형유지기간은 얼마나 되나요?” 라는 질문도 그 중 하나입니다.
아마도 많이 보이는 잇몸으로 인해 계속 스트레스 받으시다가 잇몸성형을 결정하고 시술하셨는데
금방 다시 돌아온다거나 주기적으로 시술받아야 하면 불편하기 때문에 여쭤보시는 것 같습니다.


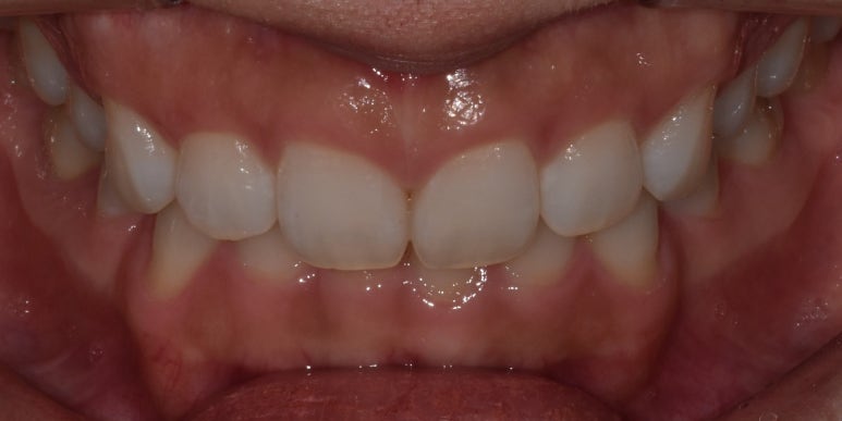
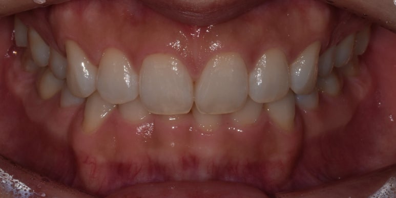
잇몸성형 시술 사례
(전) 2022-09-03 (후) 2022-09-16
결론부터 말씀드리면 잇몸성형은 반영구적이라고 보시면 됩니다.
잇몸성형 후 시간이 지나면 잇몸이 다소 자라날 수는 있지만, 잇몸성형 전 상태로 돌아가거나 하지는 않습니다.
예를 들자면 우리가 흔히 반영구 시술이라고 하는 눈썹문신 등은
시간이 지나면 흐릿해지기는 하지만 완전히 시술 이전으로 돌아가지는 않는 것과 비슷합니다.
따라서 완전히 시술 전 모습으로 돌아가면 어쩌나.. 하는 걱정 때문에 시술을 고민하셨다면
그런 걱정은 하지 않으셔도 좋을 것 같습니다 ^^


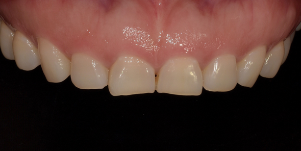
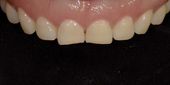
잇몸성형 시술 사례
(전) 2022-12-08 (후) 2022-12-22
특히나 저희 디데이치과의 경우 잇몸성형 1회 시술이 끝나고 2주 후에 리터치까지 진행해
개선된 잇몸라인이 더욱 더 확실하게 자리를 잡도록 도와드리고 있습니다.
그럼 더 예쁜 잇몸라인을 만들기 위한 잇몸성형 전후 유의사항에 대해 간단히 설명드리겠습니다.
우선 잇몸성형을 위해 치과에 내원해주시면 잇몸뼈의 위치를 확인하기 위해 파노라마 엑스레이 촬영을 하게 됩니다.

잇몸뼈 위치 확인을 위한 파노라마 엑스레이
잇몸성형을 할 때는 잇몸뼈(치조골)의 위치를 파악해 뼈에 영향이 없도록 해야하기 때문입니다.
또한 잇몸성형이 들어가는 부분의 치아에 대해 부분적으로 치석제거가 필요합니다.
치석은 잇몸에 염증을 유발하기 때문에 제거해주는 것이 좋을뿐더러,
또 치석이 있을 경우에는 잇몸이 예쁘게 아무는데 좋지 않기 때문에 치석제거를 시행하고 있습니다.
파노라마 엑스레이 촬영과 부분적인 치석제거는 건강보험 적용이 가능하기 때문에 약간의 비용만 추가되니 걱정하지 마세요 ^^
잇몸성형 시에는 마취가 필요한데요. 환자분들께서 마취를 무서워하시는 것 잘 알고 있습니다 ^^;;
그래서 마취주사를 놓기 전 해당 부위에 미리 마취크림을 발라서 마취주사가 들어가는 느낌과 통증을 줄여드리고 있고요

마취크림. 딸기향이 나서 거부감이 덜하실겁니다 ^^
마취주사도 천천히 주입해 최대한 이물감이나 뻐근한 느낌을 최소화하기 위해 노력하고 있습니다 ^^
마취가 다 되면 레이저로 잇몸라인을 성형하게 됩니다. 레이저로 진행되기 때문에 사람에 따라 다르지만 출혈이나 통증은 거의 없는 편입니다.
잇몸라인에 피가 살짝 배어나오는 정도의 출혈만 있다고 생각해주시면 될 것 같아요 ^^
잇몸성형은 약 30분 정도 시간이 소요되고, 시술이 끝나고 마취가 풀리고 난 이후에는 식사 등 일상생활이 바로 가능합니다.
다만 식사하실 때는 너무 뜨겁거나 맵거나 한 자극적인 음식들은 피해주시는 것이 좋고요.
흡연도 웬만하면 당분간은 피해주시는 것이 좋겠죠 ^^
상처가 아무는데 방해가 될 수 있고 염증을 유발할 수 있기 때문입니다.
오늘 잇몸성형영구적인가에 대한 답변을 드렸는데요. 도움이 되셨나요?
잇몸이 다소 자라날 수는 있겠지만 시술 이전으로 돌아가지는 않기 때문에
혹시라도 잇몸에 대한 컴플렉스로 잇몸성형을 원하시는 분들께서는 치과로 내원하셔서 전문의와의 상담 후 시술 여부를 결정하시기 바랍니다.
개인의 치아 및 잇몸의 상태에 따라 시술 가능 여부가 달라질 수 있기 때문에
시술 전 반드시 전문의와의 충분한 상담이 필요한 점 다시 한번 강조드립니다!
긴 글 읽어주셔서 감사합니다. 지금까지 디데이치과 오태훈 대표원장이었습니다 ^^
< 잇몸성형 비용에 대해 더 알고싶다면? >
| 환자를 돌려보내는 치과가 있다?디데이치과 네이버 예약 ✔ |
| 서울 디데이치과 진료 문의 |
|---|
| 대표전화 : 02-568-2877 (바로가기)네이버 톡톡 문의 (바로 가기) |
▲ 모바일에서 전화 버튼을 누르시면 병원으로 연결됩니다 ▲

| 본 게시물은 의료광고법 제56조 1항을 준수하여, 의료 정보 제공 및 병원 홍보를 목적으로 디데이치과의원에서 직접 작성하였습니다.다만, 블로그에서 제공해 드리는 정보는 참조용으로만 활용하시고, 정확한 개인의 증상 파악은 의료기관에 직접 내방하시어 의료진을 통해 확인하실 것을 권유 드립니다.치과에서 진행되는 잇몸성형(치은절제술)을 포함한 모든 시술 및 수술은 개인에 따라 부작용 (염증, 출혈, 부기, 신경 손상 등) 가능성이 있습니다. 따라서 사전에 의료진과 충분한 상담을 통해 결정하시길 바랍니다.게시물의 치료 사진은 실제 본원에서 모든 치료 과정을 마친 환자분의 동의하에 촬영되었습니다. 전후 사진은 동일인이며, 동일 조건하에 촬영되었음을 밝힙니다. |