아카이브 요약
이 페이지의 역할
디데이치과의원의 네이버 블로그 원문을 보존한 아카이브 페이지입니다. 잇몸/치아 성형 카테고리의 잇몸이까매요... 잇몸착색 치료방법, 사례, 비용 대공개 글을 통해 병원의 한국어 정보 제공 방식과 진료 관련 안내 톤을 확인할 수 있습니다.
원문 검증
필요하면 원문 블로그와 병원 프로필로 바로 이동해 문맥을 다시 확인할 수 있습니다.
출처 아카이브 열기아카이브된 블로그 글
디데이치과의원 · 통합치의학과 전문의 2명의 솔직한 치과 이야기
안녕하세요! 디데이치과 오태훈 대표원장입니다. 즐거운 설명절 보내셨나요? ^^ 저희 디데이치과는 대체휴일인 어제 1월 24일에도 정상적으로 진료를 마쳤는데요. 설 연휴에 정상적으로 진료를 볼 수 있는 치과를 찾기가 어려워서인지… 정말 많은 분들이 늦은 밤까지 찾아주셔서 눈코뜰새없이 바쁘게 진료...
게시일
2023년 1월 25일
원문 기준으로 확인된 발행일입니다.
카테고리
잇몸/치아 성형
원문 블로그 카테고리를 정리해 함께 표시합니다.
이미지 수
10
현재 아카이브에 연결된 이미지 수입니다.
아카이브 요약
디데이치과의원의 네이버 블로그 원문을 보존한 아카이브 페이지입니다. 잇몸/치아 성형 카테고리의 잇몸이까매요... 잇몸착색 치료방법, 사례, 비용 대공개 글을 통해 병원의 한국어 정보 제공 방식과 진료 관련 안내 톤을 확인할 수 있습니다.
원문 검증
필요하면 원문 블로그와 병원 프로필로 바로 이동해 문맥을 다시 확인할 수 있습니다.
출처 아카이브 열기안녕하세요! 디데이치과 오태훈 대표원장입니다.
즐거운 설명절 보내셨나요? ^^
저희 디데이치과는 대체휴일인 어제 1월 24일에도 정상적으로 진료를 마쳤는데요.
설 연휴에 정상적으로 진료를 볼 수 있는 치과를 찾기가 어려워서인지…
정말 많은 분들이 늦은 밤까지 찾아주셔서 눈코뜰새없이 바쁘게 진료했던 하루였습니다.
특히 네이버에서 검색해보시고 먼 길을 마다하지 않고 찾아주신 신규환자분들이 많았는데요.
저와 김무진 원장님을 믿고 찾아와주시고, 소중한 치아를 맡겨주셔서 진심으로 감사드린다는 말씀을 전해드리고 싶습니다 ^^
“잇몸이까매요 원장님…
다른 사람들은 분홍빛이던데 왜 저는 거뭇거뭇한 색상인가요?
잇몸이까만것도 치료할 수가 있는건가요?”

잇몸이까매요
지금 이 글을 보시는 분들이라면 아마 잇몸착색으로 인해 고민하다가 치료방법이 궁금하셔서 검색해보셨을거라 생각됩니다.
결론부터 말씀드리면 잇몸이까매서 고민이시라면 잇몸미백이라는 시술을 통해 착색된 잇몸을 분홍빛으로 만들 수 있습니다.
잇몸미백 시술 비용은 악당(윗니 or 아랫니) 44만원이며 부가세가 포함된 금액입니다.
─
잇몸이까매요...
왜 까매지는건가요?
잇몸이 착색되는 이유는 색소를 만드는 멜라닌세포의 과다침착 때문입니다.
멜라닌세포의 침착은 선천적인 요인일수도 있고, 세포의 활성을 유발하는 흡연이나 자외선으로 인해 과다 침착될 수도 있습니다.
사실 잇몸착색은 다른 사람이 봤을 땐 그렇게 티가 나지 않을 수 있지만, 내가 보기엔 굉장히 신경쓰이는데요.
혹시나 인상이 좋지 않아 보일까봐 움츠러들고 위축되는 경우들도 많습니다.
따라서 잇몸착색이 많이 신경쓰이신다면 잇몸미백을 통해 당당하고 환하게 웃을 수 있도록 개선하는 것도 추천해 드리고 있습니다.
─
잇몸미백은
어떻게 하는건가요?
잇몸미백은 잇몸에 존재하는 색소층을 바깥면부터 제거해 착색을 없애는 시술입니다.
저희 디데이치과는 레이저를 통해 잇몸미백을 진행해 통증과 출혈을 최소화하고 있습니다.
잇몸미백을 진행할 때는 마취를 한 후 시술이 진행되기 때문에 아플까봐 걱정하지는 않으셔도 될 것 같습니다.
물론 통증 여부는 사람에 따라 차이가 있기 때문에 절대 안아프다고 말씀드릴 수는 없지만요 ^^;;
만약 마취가 무서우시다면 저희 담당 선생님들께 말씀해주세요.
마취주사를 놓기 전 마취크림을 발라서 주사를 놓을 부분에 1차적으로 마취를 한 후에 진행하면
통증과 두려움을 조금은 더실 수 있을 것 같습니다.
잇몸미백 시술 시간은 30분 정도로 짧고, 한번 시술하고 2주 뒤에 리터치까지 진행하는 스케줄입니다.
시술 시간이 짧고 바로 일상생활이 가능해서 잇몸착색으로 고민하시는 여러분께 좋은 해결책이 되리라 생각합니다.
잇몸미백 시술 이후에는 뜨겁고 매운 음식 섭취는 2시간 정도 자제해주시는 것이 좋고, 이후에는 드셔도 전혀 관계 없습니다.
아무래도 흡연은 삼가해주시는 것이 좋겠죠? ^^
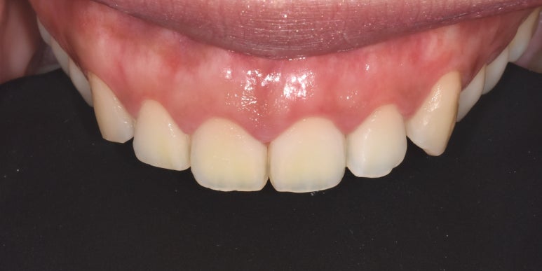
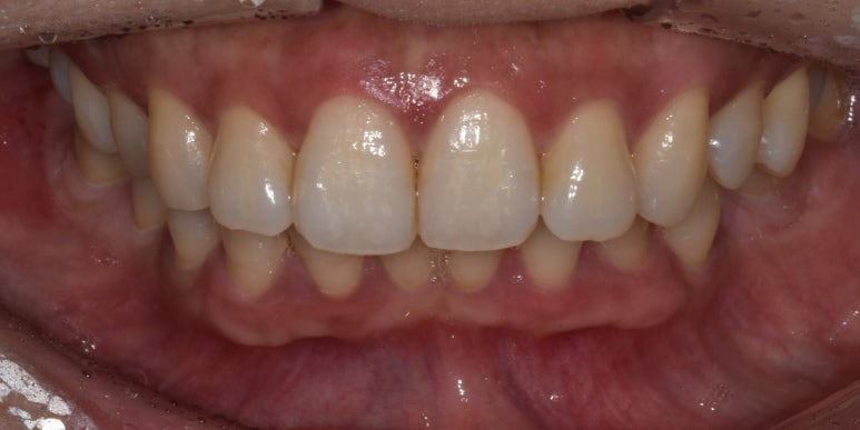
| 잇몸미백 치료 사례 |


(전) 2021-09-13 (후) 2021-10-12


(전) 2022-01-04 (후) 2022-06-24
위 환자분들의 잇몸에만 집중해서 사진을 봐주시기 바랍니다.
잇몸미백 전 거뭇거뭇했던 잇몸이 미백 후 상당히 분홍빛으로 변한 것이 보이시나요?
이처럼 잇몸미백을 통해 착색된 잇몸을 밝고 환하게 개선하고, 환자분들께 자신감을 되찾아드릴 수 있습니다.
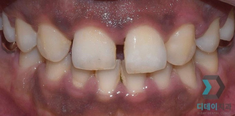
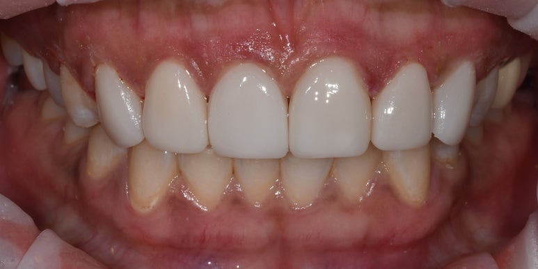
| 잇몸미백 & 라미네이트 치료 사례 |


(전) 2022-01-22 (후) 2022-02-05


(전) 2022-05-11 (후) 2022-05-25
이번에는 잇몸미백과 함께 라미네이트까지 진행하신 사례인데요.
라미네이트로 치아 색상이 밝아지신데다가 잇몸착색도 상당히 개선되어 시너지효과를 낸 케이스입니다.
치아만 클로즈업해서 촬영한 사진이기 때문에 전후의 인상 비교가 되지 않는 점이 아쉬운데요.
이렇게 치아와 잇몸 색상이 전체적으로 밝아지면 얼굴색이 좋아지고 인상도 밝아보이는 효과를 거두실 수 있을 겁니다 ^^
사실 잇몸미백이 널리 알려진 시술이 아니기 때문에 이런 시술이 가능한지 몰라서 혼자 끙끙 앓고 계시는 분들도 많으실거라 생각합니다.
저희 디데이치과에서 잇몸미백을 받으신다면 최선을 다해 리터치까지 책임지겠지만
만약 거리나 시간상의 여건으로 내원하지 못하시더라도
잇몸미백이라는 치료 방법이 있다는 것. 즉, 잇몸착색은 얼마든지 치료 가능하다는 사실을 알게 되셨다면 저는 그것으로도 만족할 것 같습니다 ^^
그럼 지금까지 긴 글 읽어주셔서 감사드리며, 지금까지 디데이치과 오태훈 대표원장이었습니다!
< 디테일한 잇몸미백 치료사례가 궁금하다면? >
| 환자를 돌려보내는 치과가 있다?디데이치과 네이버 예약 ✔ |
| 서울 디데이치과 진료 문의 |
|---|
| 진료 문의 : 02-568-2877 (바로가기)네이버 톡톡 문의 (바로 가기) |
▲ 모바일에서 전화 버튼을 누르시면 병원으로 연결됩니다 ▲

| 본 게시물은 의료광고법 제56조 1항을 준수하여, 의료 정보 제공 및 병원 홍보를 목적으로 디데이치과의원에서 직접 작성하였습니다.다만, 블로그에서 제공해 드리는 정보는 참조용으로만 활용하시고, 정확한 개인의 증상 파악은 의료기관에 직접 내방하시어 의료진을 통해 확인하실 것을 권유 드립니다.치과에서 진행되는 모든 시술 및 수술은 개인에 따라 부작용 (염증, 출혈, 부기, 신경 손상 등) 가능성이 있습니다. 따라서 사전에 의료진과 충분한 상담을 통해 결정하시길 바랍니다.게시물의 치료 사진은 실제 본원에서 모든 치료 과정을 마친 환자분의 동의하에 촬영되었습니다. 전후 사진은 동일인이며, 동일 조건하에 촬영되었음을 밝힙니다. |