아카이브 요약
이 페이지의 역할
디데이치과의원의 네이버 블로그 원문을 보존한 아카이브 페이지입니다. 라미네이트 카테고리의 라미네이트통증, 아플까봐 걱정된다면? 확인해보세요 글을 통해 병원의 한국어 정보 제공 방식과 진료 관련 안내 톤을 확인할 수 있습니다.
원문 검증
필요하면 원문 블로그와 병원 프로필로 바로 이동해 문맥을 다시 확인할 수 있습니다.
출처 아카이브 열기아카이브된 블로그 글
디데이치과의원 · Naver Blog
안녕하세요. 디데이치과 김무진 대표원장입니다. 저희 디데이치과를 찾아주시는 많은 환자분들이 장기적으로 더 만족스럽고 유익한 치료를 받으실 수 있도록 노력하는 현직 치과의사이자 직접 저희 치과를 찾기 어려운 환자분들께 비대면으로나마 유익한 정보를 전해드리고자 노력하는 블로거(!)입니다 ^^ 아마...
게시일
2023년 1월 27일
원문 기준으로 확인된 발행일입니다.
카테고리
라미네이트
원문 블로그 카테고리를 정리해 함께 표시합니다.
이미지 수
9
현재 아카이브에 연결된 이미지 수입니다.
아카이브 요약
디데이치과의원의 네이버 블로그 원문을 보존한 아카이브 페이지입니다. 라미네이트 카테고리의 라미네이트통증, 아플까봐 걱정된다면? 확인해보세요 글을 통해 병원의 한국어 정보 제공 방식과 진료 관련 안내 톤을 확인할 수 있습니다.
원문 검증
필요하면 원문 블로그와 병원 프로필로 바로 이동해 문맥을 다시 확인할 수 있습니다.
출처 아카이브 열기안녕하세요. 디데이치과 김무진 대표원장입니다.
저희 디데이치과를 찾아주시는 많은 환자분들이 장기적으로 더 만족스럽고 유익한 치료를 받으실 수 있도록 노력하는 현직 치과의사이자
직접 저희 치과를 찾기 어려운 환자분들께 비대면으로나마 유익한 정보를 전해드리고자 노력하는 블로거(!)입니다 ^^

아마 지금 이 글을 보고 계신다면 라미네이트 시술 전, 또는 시술 후
라미네이트통증때문에 겁이 나거나 궁금하셔서 관련 정보를 찾아보고 계실 것 같은데요.
찬바람만 불어도 이가 시리고 통증이 있다더라… 제대로 음식을 못 먹는다더라… 등등 정말 많은 말들이 있어
시술을 앞두시거나 관심이 있더라도 망설이게 되는 마음.. 라미네이트를 시술하는 의사로서 충분히 이해합니다 ^^
이런 분들을 위해서 오늘은 라미네이트통증에 대해 꼼꼼히, 또 자세히 말씀드려보도록 하겠습니다.
라미네이트에 관심이 있으시다면 조금만 집중해서 따라와주세요 ^^
─
라미네이트 시술할 때 아픈가요?
사실 라미네이트 시술 시에는 마취를 하고 진행하기 때문에 통증을 느끼지는 못하실겁니다.
하지만 마취를 한다고 하더라도 마취 자체를 힘들어하거나 아플까봐 걱정이 되시는 분들도 많으실텐데요.
저희 디데이치과에서는 저와 오태훈 원장님 모두 라미네이트 뿐만 아니라
마취가 필요한 모든 시술, 수술 진행 시 통증을 최소화한 무통마취를 지향하고 있습니다.

흔히 치과를 두려워하시는 요인 중에 하나가 마취라는 점을 잘 알고있기 때문에
마취 주사를 놓기 전 해당 부위에 먼저 마취크림을 발라 마취 주사가 들어갈 때의 따끔함까지 줄여드리려고 하고있고요.
마취 주사를 놓을 때는 최대한 천천히 용액을 주입해 뻐근한 느낌과 이질감도 덜 느끼실 수 있도록 노력하고 있습니다.
그래서 라미네이트 시술을 진행하실 때 통증은 걱정하지 않으셔도 좋겠다고 감히 말씀드리고 싶습니다 ^^
─
라미네이트 시술 후에
통증이 있을 수도 있나요?
라미네이트통증이 시술 후에 느껴질 수도 있는데요.
원래 치신경이 예민하거나, 시술 과정에서 치아를 과도하게 삭제하게 되면 치아가 시리거나 통증이 느껴질 수 있습니다.

처음엔 시린 증상이나 통증을 느끼지 못하다가 라미네이트를 교체한 후에 통증이 느껴지는 분들도 계십니다.
교체할 때 역시 치아를 미세하게 다듬고 갈아내기 때문입니다.
라미네이트 부착 후 적응이 될 때까지 보철물을 사용해 보시다가
계속해서 통증이 있거나 통증의 강도가 점점 세진다면 신경치료 후 크라운을 씌우는 방법이 있습니다.
이렇게 시린 증상이나 통증을 방지하기 위해서 가능하면 치아 삭제량을 최소화하는 것이 좋고,
라미네이트 시술 경험이 풍부한 전문의와의 상담을 충분히 거치신 후 시술을 결정하실 것을 권장해드리고 있습니다.
─
라미네이트를 하고 싶은데
치아삭제때문에 고민이예요
사실 멀쩡한 생니를 갈아내고 보철물을 붙인다는 것이 쉬운 결정은 아닙니다.
라미네이트가 그렇게 만만한 시술이 아니기도 하고요 ^^

만약 치아 삭제량때문에 고민이시라면 본인이 치아삭제량이 적은 경우와 많은 경우 중 어떤 케이스에 속하는지 확인해보세요.
하지만 무엇보다 명심하셔야 할 것은 현재 환자분의 치아 상태는 전문의가 다양한 조건을
다각도로 고려해 진단을 내려야만 정확하게 알 수 있다는 점입니다.
따라서 오늘 알려드리는 케이스는 참고용으로만 활용하시고, 정확한 진단은 3~4군데 치과에 방문하셔서 직접 상담해보시기를 권해드립니다.
치아삭제량이 비교적 적을 가능성이 있는 경우


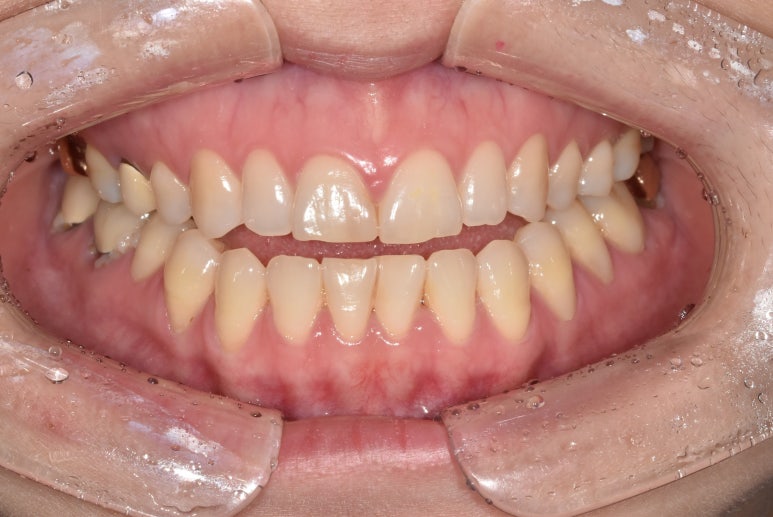
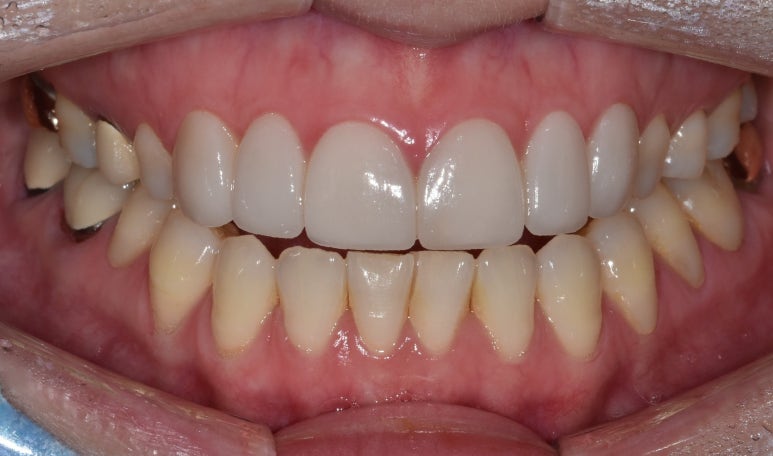
무삭제라미네이트 사례
(전) 2021-10-07 (후) 2022-04-20
치아 배열이 가지런한 경우
옥니(치아가 안쪽을 향해 약간 들어가있는 경우)
교정을 마친 후에 라미네이트 진행을 원하는 경우
사진과 같이 오픈바이트(치아를 다물었을 때 위아랫니 사이에 공간이 생기는 경우)를 해소하고 싶을 때
치아삭제량이 비교적 많을 가능성이 있는 경우


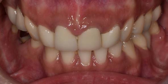
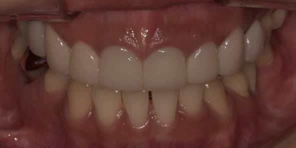
라미네이트 교체 케이스
(전) 2022-09-14 (후) 2022-10-18
치아 배열이 가지런하지 못한 경우
뻐드렁니(치아가 바깥쪽을 향해 나와있는 경우)
라미네이트하고자 하는 치아에 충치가 있는 경우
위 사진과 같이 기존에 라미네이트를 했던 치아인 경우
라미네이트통증때문에 망설이시거나, 라미네이트 시술 후 통증을 느끼시는 분들을 위해 관련 정보들을 전해드렸는데요.
최대한 이해가 쉽게 설명해 드리려고 노력했는데 이해가 잘 되셨는지 모르겠네요 ^^
혹시 더 궁금한 점이 있으시다면 보다 자세하게 정리된 글을 이어서 소개드리니 한번 읽어보시는 것을 추천드립니다.
만약 추가적인 문의사항이 있으신 경우 저희 디데이치과로 문의주시면 자세하고 친절하게 상담 도와드리겠습니다.
그럼 지금까지 디데이치과 김무진 대표원장이었습니다. 감사합니다!
< 라미네이트치아삭제때문에 고민이라면? >
< 라미네이트 실제 후기가 궁금하다면? >
| 꼭 필요한 치료만 정직하게 권하는 곳디데이치과 네이버 예약 ✔ |
| 서울 디데이치과 진료 문의 |
|---|
| 대표전화 : 02-568-2877 (바로가기)네이버 톡톡 문의 (바로 가기) |
▲ 모바일에서 전화 버튼을 누르시면 병원으로 연결됩니다 ▲

| 본 게시물은 의료광고법 제56조 1항을 준수하여, 의료 정보 제공 및 병원 홍보를 목적으로 디데이치과의원에서 직접 작성하였습니다.다만, 블로그에서 제공해 드리는 정보는 참조용으로만 활용하시고, 정확한 개인의 증상 파악은 의료기관에 직접 내방하시어 의료진을 통해 확인하실 것을 권유 드립니다.치과에서 진행되는 모든 시술 및 수술(임플란트 포함)은 개인에 따라 부작용 (염증, 출혈, 부기, 신경 손상 등) 가능성이 있습니다. 따라서 사전에 의료진과 충분한 상담을 통해 결정하시길 바랍니다.게시물의 치료 사진은 실제 본원에서 모든 치료 과정을 마친 환자분의 동의하에 촬영되었습니다. 전후 사진은 동일인이며, 동일 조건하에 촬영되었음을 밝힙니다. |