아카이브 요약
이 페이지의 역할
디데이치과의원의 네이버 블로그 원문을 보존한 아카이브 페이지입니다. 치아미백 카테고리의 누렁니치아미백, 치료 사례로 보여드리는 개선 효과 글을 통해 병원의 한국어 정보 제공 방식과 진료 관련 안내 톤을 확인할 수 있습니다.
원문 검증
필요하면 원문 블로그와 병원 프로필로 바로 이동해 문맥을 다시 확인할 수 있습니다.
출처 아카이브 열기아카이브된 블로그 글
디데이치과의원 · 통합치의학과 전문의 2명의 솔직한 치과 이야기
“커피를 좋아해서 하루에 2~3잔씩 꼭 마시는데요 그래서 그런치 누렁니때문에 스트레스 받습니다… 누렁니치아미백으로 바로 환하게 밝아지나요?” 안녕하세요! 디데이치과 오태훈 대표원장입니다. 혹시 커피 좋아하시나요? ‘카페인수혈’이라는 신조어가 생길 만큼 현대인들에게 하루 한 잔의 커피 섭취는 굉장히 자...
게시일
2023년 2월 1일
원문 기준으로 확인된 발행일입니다.
카테고리
치아미백
원문 블로그 카테고리를 정리해 함께 표시합니다.
이미지 수
11
현재 아카이브에 연결된 이미지 수입니다.
아카이브 요약
디데이치과의원의 네이버 블로그 원문을 보존한 아카이브 페이지입니다. 치아미백 카테고리의 누렁니치아미백, 치료 사례로 보여드리는 개선 효과 글을 통해 병원의 한국어 정보 제공 방식과 진료 관련 안내 톤을 확인할 수 있습니다.
원문 검증
필요하면 원문 블로그와 병원 프로필로 바로 이동해 문맥을 다시 확인할 수 있습니다.
출처 아카이브 열기“커피를 좋아해서 하루에 2~3잔씩 꼭 마시는데요
그래서 그런치 누렁니때문에 스트레스 받습니다…
누렁니치아미백으로 바로 환하게 밝아지나요?”
안녕하세요! 디데이치과 오태훈 대표원장입니다.
혹시 커피 좋아하시나요?
‘카페인수혈’이라는 신조어가 생길 만큼 현대인들에게 하루 한 잔의 커피 섭취는 굉장히 자연스러운 현상인데요.
저도 출근할 때마다 꼭 커피 한 잔씩을 사들고 들어오는 습관이 있습니다 ^^;;

커피나 콜라와 같은 음료를 많이 섭취하면 치아가 변색되는데 영향을 미칠 수 있다는 것을 잘 알고있는 치과의사이지만
출근길 커피 한 잔의 달콤함을 포기하기가 정말 쉽지 않네요 ^^;;
아마 저처럼 커피나 콜라같은 음료를 자주 섭취하시는 분들 정말 많으실 것 같은데요.
이 글을 보고 계신 여러분께서도 이로 인해 누렁니치아미백에 관심이 생겨 관련 정보를 찾아보고 계실 것 같습니다.

이런 치아 변색, 일명 ‘누렁니’는 치과에서 시행하는 전문가 치아미백으로 개선할 수 있는데요.
오늘은 누렁니치아미백의 치료사례를 위주로 환자분들께서 궁금해하시는 부분을 꼼꼼히 설명드리도록 하겠습니다.
─
치아는 왜 변색되나요?
커피를 많이 마셔서 그런가요?
치아가 착색되는 원인은 음식 섭취, 흡연, 노화, 유전적 원인 등으로 다양합니다.
가장 첫번째 원인은 흡연으로 알려져 있는데요.
담배에 포함되어 있는 니코틴 성분이 치아에 달라붙어 니코틴 착색이 생기는 것이죠.
두번째 원인은 음식 섭취입니다.
우리가 흔히 생각하는 커피뿐만 아니라 홍차, 카레, 김치, 콜라, 초콜릿 등의 음식을 섭취해도
치아가 변색되는데 영향을 준다는 연구 결과가 있을만큼 생각보다 다양한 음식이 누렁니를 만들어낸다고 할 수 있겠네요 ^^;;
이렇게 착색되어 일명 ‘누렁니’가 된 경우 환자 본인이 웃거나 말하는데 스스로 위축되고, 환하게 웃지 못하는 등 스트레스 요인이 될 수 있습니다.
따라서 매일 3번 이상 칫솔질로 구강 내 환경을 깨끗하게 관리해주시고, 스케일링도 6개월~1년에 한번씩 주기적으로 받아주시는 것이 좋습니다.
─
양치질과 스케일링만으로
치아가 하얘지나요?
양치질과 스케일링은 치아가 더 착색되는 것을 방지해줄 수는 있겠지만 치아가 하얘지게 만들기는 어렵습니다.
따라서 이미 착색된 치아를 하얗게 만들고 싶다면 미백 제품을 사용하거나, 치과에서 전문가의 지시 하에 미백치료를 받는 방법이 있습니다.
요즘은 깨끗하고 환한 인상을 주기 위해서 웨딩촬영이나 면접, 비즈니스 미팅 등 중요한 일이 있을 때 치아미백을 하시는 분들도 많은데요.
이렇게 바쁜 환자분들을 위해서 저희 디데이치과에서는 원데이 치아미백을 시행하고 있습니다.
미백을 위해 여러 번 병원에 왔다갔다 하시는 번거로움을 줄이기 위해
한 번 내원만으로 3회 치아미백을 진행하는 패키지를 만들어 내원 횟수를 단축시켰습니다.
이런 원데이 치아미백, 얼마나 효과가 있는지 궁금하시죠? 사례를 통해 바로 보여드리겠습니다.
*제시하는 사례는 환자분의 미래 치료 결과를 보장하는 것은 아니며, 개인에 따라 치료 효과가 달라질 수 있는 점 참고 부탁드립니다.


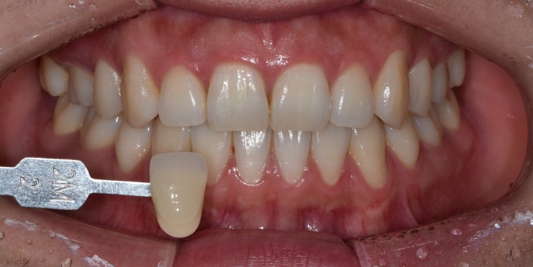
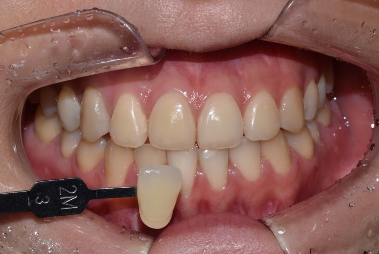
전문가 치아미백 예시
20대 여성
(전, 후) 2022-05-10


전문가 치아미백 시술 사례
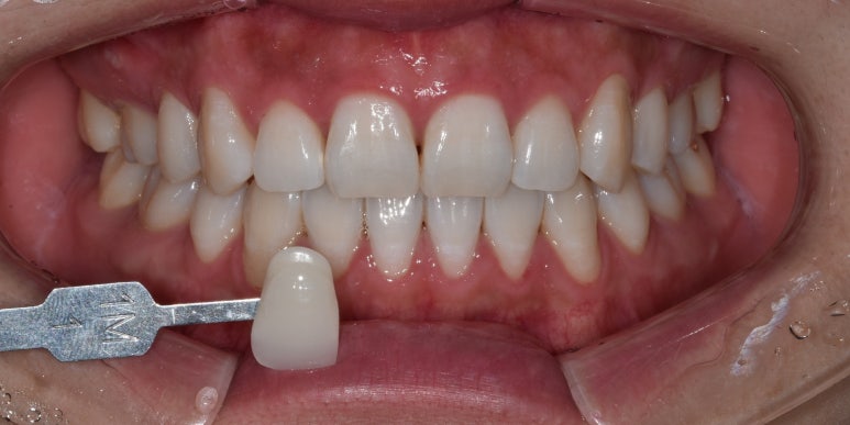
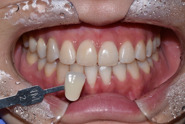
30대 남성
(전, 후) 2022-04-25


전문가 치아미백 시술 사례
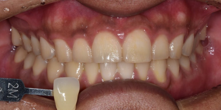
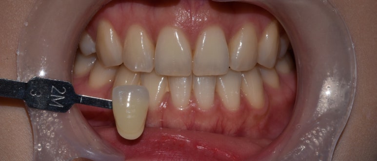
30대 여성
(전, 후) 2022-03-28


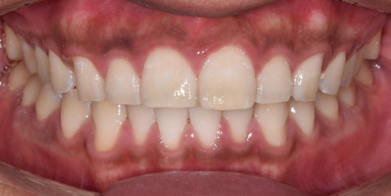
전문가 치아미백 시술 사례
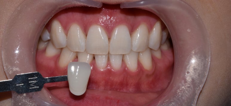
20대 여성
(전, 후) 2022-01-21
사례를 보시면 치아미백 전보다 후가 더 하얗게 밝아진 부분을 확인하실 수 있을겁니다.
다만 치아미백 전 몇 가지 확인하셔야 할 부분이 있는데요.
바로 충치치료 등으로 인해 레진, 라미네이트 등의 재료로 치료하신 부분이 있으시다면 해당 부분은 미백이 되지 않는다는 점입니다.
또한 치석이 있는 부분 역시 미백이 되지 않기 때문에 부분적인 치석제거가 필요할 수 있습니다.
오늘은 누렁니치아미백에 대해 사례를 위주로 소개해 드렸습니다.
요즘은 시중에 자가미백 제품들도 많이 나와 있는데요. 이 제품들을 사용하는 것과 전문가 미백에 어떤 차이가 있는지 궁금하신 분들도 계실 것 같습니다.
이런 분들은 전에 제가 작성했던 글을 이어서 링크로 연결해 놓을테니 확인해보시면 도움이 될 것 같네요 ^^
그럼 지금까지 디데이치과 오태훈 대표원장이었습니다. 감사합니다 ^^
< 함께 보시면 좋은 글 >
< 치아미백 자주묻는질문 >
| 환자를 돌려보내는 치과가 있다?디데이치과 네이버 예약 ✔ |
| 서울 디데이치과 진료 문의 |
|---|
| 대표전화 : 02-568-2877 (바로가기)네이버 톡톡 문의 (바로 가기) |
▲ 모바일에서 전화 버튼을 누르시면 병원으로 연결됩니다 ▲

| 본 게시물은 의료광고법 제56조 1항을 준수하여, 의료 정보 제공 및 병원 홍보를 목적으로 디데이치과의원에서 직접 작성하였습니다.다만, 블로그에서 제공해 드리는 정보는 참조용으로만 활용하시고, 정확한 개인의 증상 파악은 의료기관에 직접 내방하시어 의료진을 통해 확인하실 것을 권유 드립니다.치과에서 진행되는 모든 시술(치아미백 포함) 및 수술은 개인에 따라 부작용 (치아시림, 염증, 출혈, 부기, 신경 손상 등) 가능성이 있습니다. 따라서 사전에 의료진과 충분한 상담을 통해 결정하시길 바랍니다.게시물의 치료 사진은 실제 본원에서 모든 치료 과정을 마친 환자분의 동의하에 촬영되었습니다. 전후 사진은 동일인이며, 동일 조건하에 촬영되었음을 밝힙니다. |