아카이브 요약
이 페이지의 역할
디데이치과의원의 네이버 블로그 원문을 보존한 아카이브 페이지입니다. 라미네이트 카테고리의 라미네이트과정, 어떻게 진행되는지 궁금하다면? 글을 통해 병원의 한국어 정보 제공 방식과 진료 관련 안내 톤을 확인할 수 있습니다.
원문 검증
필요하면 원문 블로그와 병원 프로필로 바로 이동해 문맥을 다시 확인할 수 있습니다.
출처 아카이브 열기아카이브된 블로그 글
디데이치과의원 · 통합치의학과 전문의 2명의 솔직한 치과 이야기
안녕하세요. 디데이치과 김무진 대표원장입니다. 시간이 오래 지나도 ‘디데이치과에서 치료하길 잘했다’고 느끼고, 만족하실 수 있도록 오태훈 원장님, 그리고 모든 의료진들과 함께 노력하고 있는 현직 치과의사입니다 ^^ 저희 디데이치과가 라미네이트를 비롯한 앞니 심미치료를 전문적으로 진행하고 있다보...
게시일
2023년 2월 6일
원문 기준으로 확인된 발행일입니다.
카테고리
라미네이트
원문 블로그 카테고리를 정리해 함께 표시합니다.
이미지 수
7
현재 아카이브에 연결된 이미지 수입니다.
아카이브 요약
디데이치과의원의 네이버 블로그 원문을 보존한 아카이브 페이지입니다. 라미네이트 카테고리의 라미네이트과정, 어떻게 진행되는지 궁금하다면? 글을 통해 병원의 한국어 정보 제공 방식과 진료 관련 안내 톤을 확인할 수 있습니다.
원문 검증
필요하면 원문 블로그와 병원 프로필로 바로 이동해 문맥을 다시 확인할 수 있습니다.
출처 아카이브 열기안녕하세요. 디데이치과 김무진 대표원장입니다.
시간이 오래 지나도 ‘디데이치과에서 치료하길 잘했다’고 느끼고, 만족하실 수 있도록
오태훈 원장님, 그리고 모든 의료진들과 함께 노력하고 있는 현직 치과의사입니다 ^^

저희 디데이치과가 라미네이트를 비롯한 앞니 심미치료를 전문적으로 진행하고 있다보니
라미네이트과정이 어떻게 되는지 문의를 주시는 분들이 정말 많으신데요.
아무래도 내 소중한 치아를 깎아내고 새로운 보철물을 부착하는 일이니만큼 과정부터 하나하나 꼼꼼히 따져보시는 분들이 많은 것 같습니다.
오늘은 라미네이트과정에 대해 설명드리면서 첫 내원하셨을 때부터 마지막 마무리까지 어떻게 진행되는지 상세하게 설명해드리도록 하겠습니다.
혹시 보시면서 궁금한 점이 생기셨다면 언제든지 저희 디데이치과로 연락주세요 ^^
*오늘 설명드리는 라미네이트과정은 저희 디데이치과를 기준으로 설명드리는 것이므로 치과마다 조금씩 다를 수 있습니다.
라미네이트과정 1. 파노라마 촬영 및 치료계획 수립
우선 라미네이트를 위해 치과에 내원하시면 가장 먼저 전체적인 파노라마 엑스레이를 촬영하게 됩니다.

파노라마엑스레이 촬영 기기
라미네이트를 시술할 부분에 충치는 없는지, 혹시 예전에 레진으로 때운 부분이 있지는 않은지 체크하고
전체적인 치아와 잇몸의 상태도 확인하는 과정입니다.
파노라마 촬영 후 진료실 체어로 이동하시면 담당 원장님께서 전체적으로 치아 상태를 육안으로 확인하고
또 파노라마 엑스레이도 함께 확인하시면서 디테일한 치료 계획을 세웁니다.
원하는 치아의 모양이나 특별히 요청하고 싶은 부분이 있으시다면 담당 원장님께 상세히 설명해주시면 정말 도움이 많이 됩니다 ^^
환자분께서 원하는 바를 더 자세히 말씀해주시고, 의료진과의 충분한 소통이 이루어졌을 때
환자분과 의료진 모두가 만족할 수 있는 결과가 나올 수 있기 때문에 이 과정이 상당히 중요합니다.
라미네이트과정 2. 라미네이트 프렙 및 치아 본뜨기

담당 원장님과의 충분한 상담을 통해 라미네이트 시술을 결정하고, 바로 시술을 원하신다면 마취 후 라미네이트 프렙이 진행됩니다.
프렙이란 치과에서 많이 쓰는 용어인데요. 치료 전 준비단계를 의미합니다.
원하는 모양의 라미네이트를 만들기 위해 치아 표면을 다듬고 치아의 본을 떠야 합니다.


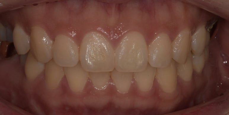
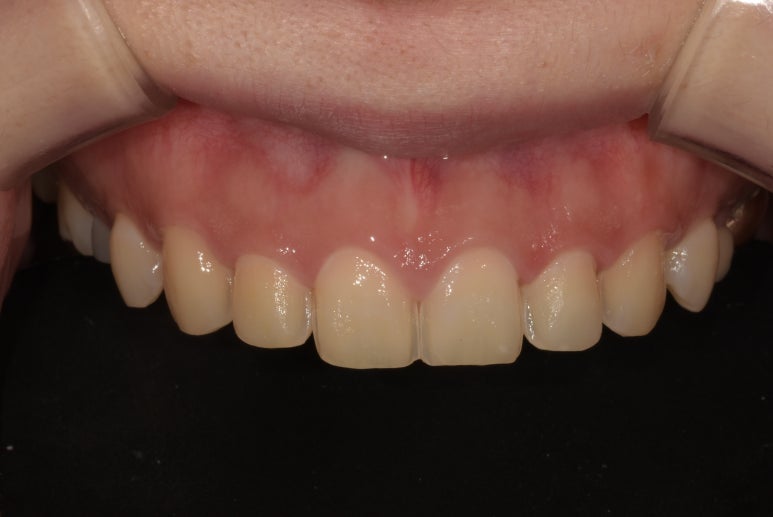
라미네이트 전과 프렙 후
(전) 2023-01-03 (프렙) 2023-01-11
보시는 것처럼 프렙 후에는 치아 표면이 다듬어져 있는데요.
이 케이스는 최소삭제 라미네이트라 삭제량이 많지는 않지만 사진을 보시면 치아 표면이 다듬어진 것을 확인하실 수 있습니다.
프렙 이후 본을 뜨고 보철물 부착 전까지 사용하실 임시치아를 만들어 드립니다.
임시치아까지 완료되면 돌아가셨다가 1주일 후 예약을 잡고 내원해주시면 됩니다.
임시치아를 사용하실 때는 앞니 사용을 최대한 자제해주시고, 마라탕이나 마라샹궈, 레드와인, 카레와 같이 착색되기 쉬운 음식 섭취는 피해주시는 것이 좋습니다.
임시치아까지 완성되고 환자분께서 돌아가시면 저희는 환자분과의 상담 내용을 바탕으로 라미네이트 보철물 제작을 위한 의뢰서를 작성,
외부 기공소에 보내 보철물을 제작하게 됩니다. 이 과정에서 1주일의 시간이 걸리게 되는 것이죠 ^^
라미네이트과정 3. 1주일 후 내원하여 보철물 부착
프렙 1주일 후에 내원하시게 되면 보철물이 완성되어 있을겁니다.
최종적으로 부착하기 전 모양이나 색상 등을 환자분께 보여드리고, 환자분께서 동의하시는 경우에는 최종적으로 부착하게 됩니다.

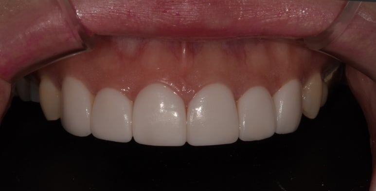
라미네이트 완전 부착 후
2023-02-02
만약 색상이나 모양 등이 마음에 들지 않아 재제작을 원하신다면 최종 부착 전에 말씀해주셔야 재제작이 가능합니다.
최종 보철물이 잘 나왔다면 완전히 부착하게 되고, 이제 완전히 새로워진 치아를 눈으로 확인하실 수 있습니다.
이렇게 라미네이트 상담부터 완전 부착까지는 최소 내원횟수 2회, 기간은 1주일 정도 소요됩니다.
만약 라미네이트와 함께 치아미백이나 잇몸성형 같은 추가적인 시술을 진행하신다거나,
다른 부분의 충치치료 등을 함께 병행하시는 경우는 내원 횟수나 치료 기간이 더 늘어날 수 있습니다.
이 모든 치료들을 어떻게 진행할지 순서와 계획은 담당 원장님께서 다양한 조건을 고려해 세워주실 것이라서 걱정하지 않으셔도 됩니다 ^^
라미네이트과정, 어떻게 진행되는지 이해하셨나요?
이렇게 간단하게 정리해서 설명드렸지만 사실 라미네이트는 굉장히 섬세한 시술이고
치아의 모양과 색상은 물론, 치아 배열, 맞물리는 치아와의 교합 등 고려해야 할 부분이 정말 많은 까다로운 시술입니다.
심미성과 기능성을 동시에 생각해서 시술해야 하기 때문이죠.
따라서 라미네이트 시술 경험이 풍부한 치과, 그리고 치과의사와의 충분한 커뮤니케이션을 거쳐 시술이 진행되는 것이 무엇보다 중요합니다.
아래에 여러분께서 관심있으실 라미네이트후기만 모아 쓴 글을 링크로 달아드리니
확인해보시고 궁금한 점이 있으시다면 저희 디데이치과로 연락주세요 ^^
그럼 지금까지 디데이치과 김무진 대표원장이었습니다. 감사합니다!
< 라미네이트후기가 궁금하다면? >
< 라미네이트 색상, 모양에 대해 궁금하다면? >
| 환자를 돌려보내는 치과가 있다?디데이치과 네이버 예약 ✔ |
| 디데이치과 진료 문의 |
|---|
| 진료 문의 : 02-568-2877 (바로가기)네이버 톡톡 문의 (바로 가기) |
▲ 모바일에서 전화 버튼을 누르시면 병원으로 연결됩니다 ▲

| 본 게시물은 의료광고법 제56조 1항을 준수하여, 의료 정보 제공 및 병원 홍보를 목적으로 디데이치과의원에서 직접 작성하였습니다.다만, 블로그에서 제공해 드리는 정보는 참조용으로만 활용하시고, 정확한 개인의 증상 파악은 의료기관에 직접 내방하시어 의료진을 통해 확인하실 것을 권유 드립니다.치과에서 진행되는 모든 시술 및 수술은 개인에 따라 부작용 (염증, 출혈, 부기, 신경 손상 등) 가능성이 있습니다. 따라서 사전에 의료진과 충분한 상담을 통해 결정하시길 바랍니다.라미네이트 시술은 치아의 표면을 일부 삭제하고, 보철물을 부착하는 치료로 보철물 탈락 및 치아손상 가능성이 있으며, 반영구적인 치료법입니다.게시물의 치료 사진은 실제 본원에서 모든 치료 과정을 마친 환자분의 동의하에 촬영되었습니다. 전후 사진은 동일인이며, 동일 조건하에 촬영되었음을 밝힙니다. |