아카이브 요약
이 페이지의 역할
디데이치과의원의 네이버 블로그 원문을 보존한 아카이브 페이지입니다. 일반치료 카테고리의 벌어진앞니 레진치료 사례, 비용 및 라미네이트와의 차이점 비교 글을 통해 병원의 한국어 정보 제공 방식과 진료 관련 안내 톤을 확인할 수 있습니다.
원문 검증
필요하면 원문 블로그와 병원 프로필로 바로 이동해 문맥을 다시 확인할 수 있습니다.
출처 아카이브 열기아카이브된 블로그 글
디데이치과의원 · 통합치의학과 전문의 2명의 솔직한 치과 이야기
반갑습니다. 디데이치과 김무진 대표원장입니다. 강남구 역삼동, 선릉역 앞에 위치한 저희 디데이치과는 심미적인 측면과 치아 본연의 기능적인 측면까지 다각도로 고려한 치료를 통해 ‘장기적으로 환자의 삶의 질을 높이는 것’을 1순위 진료 목표로 하고 있습니다. 이를 위해 보건복지부 인증 통합치의학...
게시일
2023년 2월 14일
원문 기준으로 확인된 발행일입니다.
카테고리
일반치료
원문 블로그 카테고리를 정리해 함께 표시합니다.
이미지 수
8
현재 아카이브에 연결된 이미지 수입니다.
아카이브 요약
디데이치과의원의 네이버 블로그 원문을 보존한 아카이브 페이지입니다. 일반치료 카테고리의 벌어진앞니 레진치료 사례, 비용 및 라미네이트와의 차이점 비교 글을 통해 병원의 한국어 정보 제공 방식과 진료 관련 안내 톤을 확인할 수 있습니다.
원문 검증
필요하면 원문 블로그와 병원 프로필로 바로 이동해 문맥을 다시 확인할 수 있습니다.
출처 아카이브 열기반갑습니다. 디데이치과 김무진 대표원장입니다.
강남구 역삼동, 선릉역 앞에 위치한 저희 디데이치과는
심미적인 측면과 치아 본연의 기능적인 측면까지 다각도로 고려한 치료를 통해
‘장기적으로 환자의 삶의 질을 높이는 것’을 1순위 진료 목표로 하고 있습니다.
이를 위해 보건복지부 인증 통합치의학과 전문의인 대표원장 2인이 직접 치료계획 수립, 치료, 사후관리까지 담당하고 있지요 ^^

충치치료, 신경치료, 임플란트와 같은 치료는 물론이고 치아미백이나 잇몸성형, 라미네이트와 같은 심미치료까지 진행하고 있기 때문에
선릉역 인근 직장인, 주민분들의 치료 문의가 정말 많으신데요.
특히 벌어진앞니(치간이개)로 인해 직장생활이나 사회생활 시 불편을 호소하시는 분들도 많이 내원해주고 계십니다.


벌어진 앞니 예시
(좌) 2022-06-29 (우) 2022-09-24
좌, 우 각각 다른 환자분입니다.
다이아스테마(치간이개, 치아틈, Diastema)는 앞니가 벌어져 틈이 있는 경우를 일컫는 치과 용어입니다.
이렇게 앞니가 벌어진 경우에는 심미적으로 좋지 않을 뿐더러 발음이 새거나 하는 문제점들도 나타날 수 있는데요.
따라서 많이 신경쓰이시는 경우에는 레진 또는 라미네이트로 치료하실 수 있습니다.
오늘은 벌어진앞니를 레진으로 치료한 다이아스테마 치료 사례부터 비용까지 소개해드리고 라미네이트와의 차이점까지 말씀드리도록 하겠습니다.
─
벌어진앞니 레진
치료 사례와 치료 비용은?
벌어진앞니는 치아색상과 유사한 치과 재료인 레진으로 앞니 중절치 옆면을 각각 메워
마치 치아 사이 틈새가 없는 것처럼 보이도록 만드는 과정을 통해 상당 부분 치료할 수 있습니다.


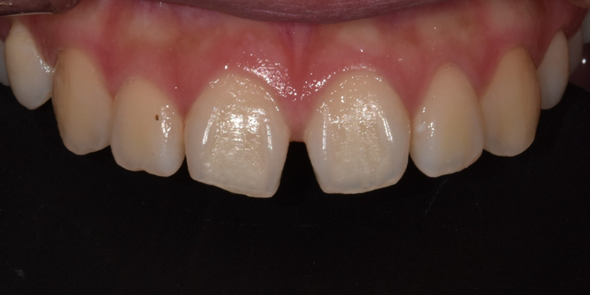
벌어진앞니 레진치료 사례
2023-02-08
위 사진의 환자분은 앞니 벌어짐으로 인해 스트레스를 받다가 레진으로 치료받기 위해 내원하셨는데요.
상악 중절치인 #11, #21 치아의 안쪽 옆면을 레진으로 채워 치아 사이 틈새를 없애고 마치 원래부터 틈이 없었던 것처럼 만들어주었습니다. 감쪽같죠? ^^
사실 이 과정이 간단한 것처럼 보이지만 벌어진앞니 레진치료를 위해서는 심미적인 부분은 물론
치아의 기능적인 부분까지 종합적으로 고려해야 할 점이 많기 때문에 간단한 시술은 아닙니다.
다이아스테마 레진은 저희 디데이치과를 기준으로 15만원의 비용이 발생합니다.
치아 하나 당 해당 금액이니 앞니 양쪽을 치료하기 위해서는 30만원의 비용이 발생하게 되는 것이죠.
─
벌어진앞니 치료
레진 VS 라미네이트 비교 분석
말씀드렸듯이 벌어진 앞니는 레진 또는 라미네이트로 치료할 수 있는데요.

우선 벌어진 앞니 레진치료의 장점은 라미네이트에 비해 비용이 저렴하다는 점입니다.
라미네이트가 치아 하나 당 40~45만원 정도의 비용이 발생하는 반면, 레진은 15만원 정도이니 훨씬 저렴한 금액에 시술이 가능하죠.
또한 레진 치료는 당일에도 가능하기 때문에 치료 기간이 짧다는 장점이 있습니다.
라미네이트는 보통 보철물이 제작되는 기간이 있기 때문에 일주일 정도 소요됩니다.
하지만 명확한 단점도 있는데요.

레진의 경우 변색, 착색, 탈락, 깨짐에 취약해 금방 떨어져나가거나 하는 경우가 잦습니다.
이 부분은 아쉽지만 사후 a/s도 불가능한 부분이고요.
햄버거나 샌드위치, 갈비 등 앞니에 힘이 가해지는 음식을 섭취한다거나 할 때 탈락할 가능성이 많고, 이렇게 떨어져서 오시는 분들도 많습니다 ㅠㅠ
따라서 한 번 시술하는데 들어가는 비용은 레진이 저렴할 수 있어도 여러번 시술하게 되면 오히려 더 비싸질 수도 있습니다.
또한 얇은 세라믹 보철물을 정교하게 제작해 치아 앞부분을 완전히 감싸 부착하는 라미네이트보다 심미적인 만족도가 다소 떨어질 수 있습니다.
모양을 잘 만들어주는 치과에서 진행하신다면 만족도가 높을 수는 있겠지만,
아무래도 라미네이트 보철물을 만들어 부착하는 것보다는 정교함이나 투명도 등이 떨어질 가능성이 높습니다.
설명드린 것처럼 앞니 벌어짐으로 인한 레진 또는 라미네이트 치료는 각 치료방법에 따라 장단점이 있으니
오늘 말씀드린 부분을 확인하시고 환자분께 알맞은 치료방법을 선택하시기를 바랍니다.
물론 치과에 방문하셔서 전문의와의 충분한 상담을 해보시면 담당해주시는 원장님께서
환자분의 치아 상태를 종합적으로 확인 후 어떤 치료가 적합한지 제안을 해주시니 걱정마시고 내원해주세요 ^^
혹시 오늘 설명드린 부분 중 이해가 잘 안되시거나 궁금한 점이 있으시다면
언제든지 저희 디데이치과로 연락주시면 친절하게 설명해 드리도록 하겠습니다.
그럼 지금까지 디데이치과 김무진 대표원장이었습니다. 긴 글 읽어주셔서 감사합니다 ^^
< 벌어진앞니 라미네이트 치료 사례와 비용은? >
< 벌어진치아, 교정없이 틈새를 메우는 법은? >
| 환자를 돌려보내는 치과가 있다?디데이치과 네이버 예약 ✔ |
| 서울 디데이치과 진료 문의 |
|---|
| 대표전화 : 02-568-2877 (바로가기)네이버 톡톡 문의 (바로 가기) |
▲ 모바일에서 전화 버튼을 누르시면 병원으로 연결됩니다 ▲

| 본 게시물은 의료광고법 제56조 1항을 준수하여, 의료 정보 제공 및 병원 홍보를 목적으로 디데이치과의원에서 직접 작성하였습니다.다만, 블로그에서 제공해 드리는 정보는 참조용으로만 활용하시고, 정확한 개인의 증상 파악은 의료기관에 직접 내방하시어 의료진을 통해 확인하실 것을 권유 드립니다.치과에서 진행되는 모든 시술 및 수술은 개인에 따라 부작용 (치아시림, 염증, 출혈, 부기, 신경 손상 등) 가능성이 있습니다. 따라서 사전에 의료진과 충분한 상담을 통해 결정하시길 바랍니다.게시물의 치료 사진은 실제 본원에서 모든 치료 과정을 마친 환자분의 동의하에 촬영되었습니다. 전후 사진은 동일인이며, 동일 조건하에 촬영되었음을 밝힙니다. |