아카이브 요약
이 페이지의 역할
디데이치과의원의 네이버 블로그 원문을 보존한 아카이브 페이지입니다. 치아미백 카테고리의 치과치아미백, 전후사진과 치료비용이 궁금하다면? 글을 통해 병원의 한국어 정보 제공 방식과 진료 관련 안내 톤을 확인할 수 있습니다.
원문 검증
필요하면 원문 블로그와 병원 프로필로 바로 이동해 문맥을 다시 확인할 수 있습니다.
출처 아카이브 열기아카이브된 블로그 글
디데이치과의원 · Naver Blog
반갑습니다. 디데이치과 김무진 대표원장입니다. 거의 3년동안 내 몸과 같이 늘 쓰고 다니던 마스크를 실내에서도 벗게 된지 한달 정도 된 것 같습니다. 저는 하루 일과의 거의 대부분을 선릉역치과인 저희 디데이치과에서 보내고 있기 때문에 마스크를 착용하는 것이 더 편하긴 한데요. 그래도 가끔 사람들이 별...
게시일
2023년 2월 22일
원문 기준으로 확인된 발행일입니다.
카테고리
치아미백
원문 블로그 카테고리를 정리해 함께 표시합니다.
이미지 수
9
현재 아카이브에 연결된 이미지 수입니다.
아카이브 요약
디데이치과의원의 네이버 블로그 원문을 보존한 아카이브 페이지입니다. 치아미백 카테고리의 치과치아미백, 전후사진과 치료비용이 궁금하다면? 글을 통해 병원의 한국어 정보 제공 방식과 진료 관련 안내 톤을 확인할 수 있습니다.
원문 검증
필요하면 원문 블로그와 병원 프로필로 바로 이동해 문맥을 다시 확인할 수 있습니다.
출처 아카이브 열기반갑습니다. 디데이치과 김무진 대표원장입니다.
거의 3년동안 내 몸과 같이 늘 쓰고 다니던 마스크를 실내에서도 벗게 된지 한달 정도 된 것 같습니다.
저는 하루 일과의 거의 대부분을 선릉역치과인 저희 디데이치과에서 보내고 있기 때문에 마스크를 착용하는 것이 더 편하긴 한데요.
그래도 가끔 사람들이 별로 없는 곳이나 탁 트인 야외에 나갈 때는 마스크를 벗고 겨울의 상쾌한 공기를 즐기기도 합니다 ^^

여러분께서는 마스크를 벗은 해방감을 충분히 즐기고 계신가요? ^^
실내 마스크 착용 의무가 해제된 이후 요즘 들어 치과치아미백 문의와 예약이 정말 많아졌습니다.
기존에는 마스크에 가려져 잘 보이지 않았던 착색되고 변색된 치아가 마스크 의무 해제 후 잘 보일 일이 많아서인 것 같은데요.
저희 디데이치과의 경우 하루에도 3~4분의 치아미백 환자분들이 내원해주고 계시고,
다음달까지도 예약이 밀려있을 만큼 치과치아미백을 원하시는 환자분들의 문의가 정말 많지만
장소의 한계로 인해 모두 다 모실 수 없음에 죄송하기도 합니다.

따라서 오늘은 치과치아미백에 관심있으실 여러분들을 위해서 치아미백 전후 모습과 함께
어떻게 진행되는지, 비용은 얼마인지 꼼꼼하게 설명드리도록 하겠습니다.
─
치아는 왜 착색되나요?
치아가 착색되는 원인은 굉장히 다양합니다. 현재까지 알려진 바로는 유전적 요인도 있지만
흡연이나, 착색을 유발하는 음식 섭취 등 후천적 요인도 있습니다.
흡연을 하시는 분들은 담배에 포함되어 있는 니코틴 성분이 치아에 붙어 착색이 생기는 경우가 많습니다.
흡연을 하지 않으시더라도 평소에 홍차, 커피, 레드 와인, 카레, 마라탕이나 마라샹궈와 같이
치아 착색을 유발하는 음식 섭취가 잦으신 분들은 치아가 변색되는 경우가 많습니다.
─
치과치아미백은 어떻게 진행되나요?
저희 디데이치과의 경우 원데이 치아미백이라고 해서 한 번 내원하셨을 때 미백 3회 진행하는 패키지를 운영하고 있습니다.


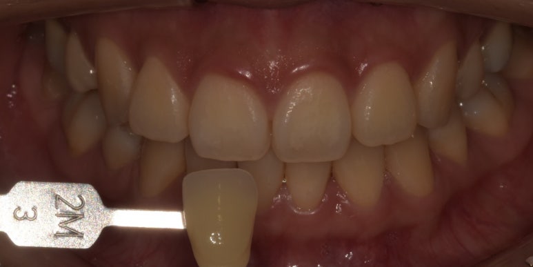
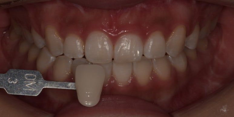
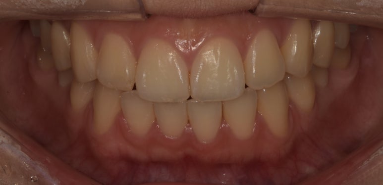
디데이치과 치과치아미백 시술 전후 사진
2023-02-17
치과 치아미백은 적어도 2~3회 이상 진행하셔야 효과를 보실 수 있기 때문에
내원 횟수와 치료 기간을 최소화해 환자분들의 번거로움을 조금이나마 덜어드리기 위해 패키지를 구성했는데요.
그래서인지 환자분들의 반응이 굉장히 좋은 편입니다!
치아미백을 위해 내원하시게 되면 전체적으로 파노라마 엑스레이를 촬영합니다.
이는 레진, 라미네이트 등의 재료로 치료하신 부분이 있으실 경우 해당 부분에는 미백이 되지 않기 때문에 먼저 확인하기 위해서입니다.
아울러 치석이 있으실 경우 해당 부분에는 미백이 되지 않을 수 있기 때문에 부분적인 치석제거도 함께 진행하게 됩니다.


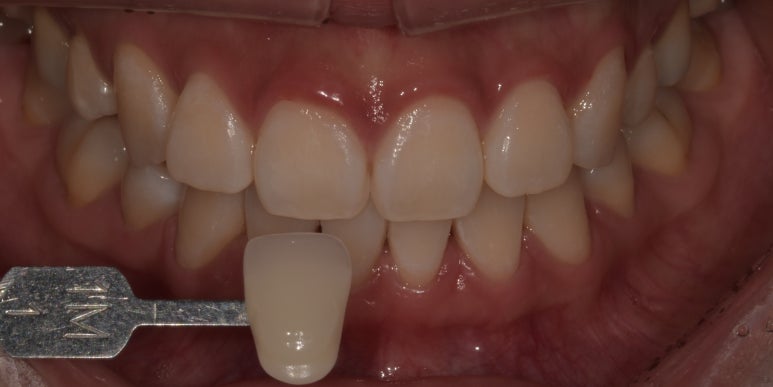
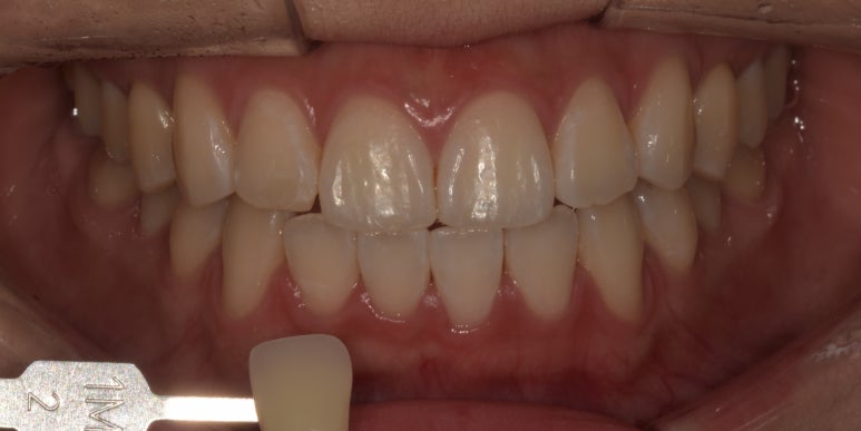
디데이치과 치과치아미백 시술 전후 사진
2023-02-14


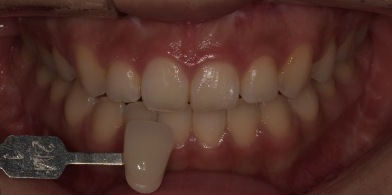
디데이치과 치과치아미백 시술 전후 사진
2023-02-16
이후에는 잇몸을 보호하기 위한 보호제와 과산화수소가 포함된 미백용제를 치아에 도포한 후
치과치아미백용 광선을 치아에 조사해 미백제가 치아에 작용하도록 만듭니다.
이렇게 15분씩 3회 치아미백을 진행하면 최종적으로 미백 과정이 완료됩니다.
─
치과치아미백 비용은 얼마인가요?
치아미백은 미용치료이고, 또 건강보험이 적용되지 않는 비급여 치료이므로 치과마다 비용이 각양각색입니다.
저희 디데이치과를 기준으로 원데이 치아미백 패키지는 부가세를 포함해 33만원의 비용이 발생합니다.
여기에 좀전에 설명드렸던 파노라마 엑스레이 촬영과 부분적인 치석제거 비용은 보험진료비용에 해당되어
약 2만원 내외의 비용이 추가로 발생할 수 있습니다.
아무래도 마스크를 벗고 나면 잘 보이는 누런 치아가 신경쓰이게 됩니다.
변색된 치아는 환자분들의 자신감을 떨어뜨리고 왠지 모르게 위축되게 만드는데요.
본격적으로 날씨가 풀리기 전, 치과치아미백을 통해 자신감을 회복하고
완전히 마스크를 벗을 수 있을 때는 환하고 자신있게 웃어보시는건 어떨까요?
지금까지 디데이치과 김무진 대표원장이었습니다. 감사합니다!
< 치아미백 vs 셀프미백 더 자세한 비교를 원한다면 >
< 치아미백 자주묻는 질문과 답변 >
| 환자를 돌려보내는 치과가 있다?디데이치과 네이버 예약 ✔ |
| 서울 디데이치과 진료 문의 |
|---|
| 대표전화 : 02-568-2877 (바로가기)네이버 톡톡 문의 (바로 가기) |
▲ 모바일에서 전화 버튼을 누르시면 병원으로 연결됩니다 ▲

| 본 게시물은 의료광고법 제56조 1항을 준수하여, 의료 정보 제공 및 병원 홍보를 목적으로 디데이치과의원에서 직접 작성하였습니다.다만, 블로그에서 제공해 드리는 정보는 참조용으로만 활용하시고, 정확한 개인의 증상 파악은 의료기관에 직접 내방하시어 의료진을 통해 확인하실 것을 권유 드립니다.치과에서 진행되는 모든 시술(치아미백 포함) 및 수술은 개인에 따라 부작용 (치아시림, 염증, 출혈, 부기, 신경 손상 등) 가능성이 있습니다. 따라서 사전에 의료진과 충분한 상담을 통해 결정하시길 바랍니다.게시물의 치료 사진은 실제 본원에서 모든 치료 과정을 마친 환자분의 동의하에 촬영되었습니다. 전후 사진은 동일인이며, 동일 조건하에 촬영되었음을 밝힙니다. |