아카이브 요약
이 페이지의 역할
디데이치과의원의 네이버 블로그 원문을 보존한 아카이브 페이지입니다. 잇몸/치아 성형 카테고리의 잇몸비대칭, 30분만에 개선하는 방법과 최근 치료사례 공유 글을 통해 병원의 한국어 정보 제공 방식과 진료 관련 안내 톤을 확인할 수 있습니다.
원문 검증
필요하면 원문 블로그와 병원 프로필로 바로 이동해 문맥을 다시 확인할 수 있습니다.
출처 아카이브 열기아카이브된 블로그 글
디데이치과의원 · 통합치의학과 전문의 2명의 솔직한 치과 이야기
“잇몸비대칭과 울퉁불퉁한 잇몸라인때문에 어렸을 때부터 스트레스였어요… 잇몸라인을 성형할 수도 있다던데 정말 가능한가요? 평생 스트레스에서 벗어나고 싶어요” 반갑습니다. 디데이치과 오태훈 대표원장입니다. 저와 김무진 원장님을 믿고 찾아와주시는 환자분들께서 치료를 잘 받으시고 평생 스트레스를 해소하셨...
게시일
2023년 2월 23일
원문 기준으로 확인된 발행일입니다.
카테고리
잇몸/치아 성형
원문 블로그 카테고리를 정리해 함께 표시합니다.
이미지 수
10
현재 아카이브에 연결된 이미지 수입니다.
아카이브 요약
디데이치과의원의 네이버 블로그 원문을 보존한 아카이브 페이지입니다. 잇몸/치아 성형 카테고리의 잇몸비대칭, 30분만에 개선하는 방법과 최근 치료사례 공유 글을 통해 병원의 한국어 정보 제공 방식과 진료 관련 안내 톤을 확인할 수 있습니다.
원문 검증
필요하면 원문 블로그와 병원 프로필로 바로 이동해 문맥을 다시 확인할 수 있습니다.
출처 아카이브 열기“잇몸비대칭과 울퉁불퉁한 잇몸라인때문에
어렸을 때부터 스트레스였어요…
잇몸라인을 성형할 수도 있다던데 정말 가능한가요?
평생 스트레스에서 벗어나고 싶어요”
반갑습니다. 디데이치과 오태훈 대표원장입니다.
저와 김무진 원장님을 믿고 찾아와주시는 환자분들께서 치료를 잘 받으시고
평생 스트레스를 해소하셨다거나, 자신감을 얻고 일상생활에 활력이 생겼다는 말을 들을 때마다
보람으로 생각하며 나름의 자부심을 갖고 진료에 임하고 있는 현직 치과의사입니다 ^^

어제 김무진 원장님께서 치아미백 관련 글을 업로드 하시면서
실내 마스크 의무가 해제된 이후에 마스크를 벗을 일이 많아지면서 치아미백 환자분들이 늘었다는 언급을 하셨었는데요.
마찬가지로 웃거나 말할 때 잇몸이 너무 많이 보이는 부분이라던지,
잇몸비대칭으로 인해 마스크 쓸 때보다 더 신경쓰여 잇몸성형에 대한 문의도 정말 많이 늘었습니다.

치아의 변색과 마찬가지로 잇몸비대칭 또는 잇몸이 많이 보이는 부분 역시
환자분 개개인에게 컴플렉스로 작용하며 대인관계에서의 위축이나 자신감 하락을 불러올 수 있습니다.
오늘은 이러한 잇몸비대칭으로 인한 스트레스를 단 30분만에 해소할 수 있는
잇몸성형에 대해 자세히 설명드리고 최근 치료사례까지 공유해드리도록 하겠습니다.
잇몸’성형’이라는 단어가 주는 느낌때문인지 잇몸성형이 아플거라고 지레 겁먹는 분들도 많으십니다.
하지만 잇몸성형은 먼저 잇몸에 마취를 한 후 레이저로 진행되기 때문에 시술 과정에서 통증 걱정은 거의 안하셔도 됩니다.

우선은 잇몸성형을 위해 치과에 내원하시면 가장 먼저 잇몸뼈의 위치를 확인하기 위해 전체적인 파노라마 엑스레이 촬영을 합니다.
잇몸뼈의 위치를 정확히 파악해야 잇몸 라인을 어디까지 올릴 수 있을지 판단이 가능하기 때문에 꼭 필요한 과정입니다.
이후 체어에 앉아 저 또는 김무진 원장님과 잇몸라인을 얼마나 올릴지, 어떻게 디자인할지 심층적으로 상담을 하게됩니다.

잇몸성형은 시간이 얼마 걸리지 않는 시술이다보니 간단한 시술이라고 오해하실 수 있지만
환자분의 잇몸상태, 잇몸뼈 위치, 치아 모양과 길이, 얼굴형 및 이미지 등 다양한 요소를 고려해야 하는 시술이기 때문에
시술자의 섬세한 술기와 노하우, 그리고 미적인 감각 또한 매우 중요합니다.
따라서 잇몸비대칭의 개선이나 잇몸이 많이 내려오는 거미스마일때문에 잇몸성형을 원하시는 분들이라면
시술하는 원장님께서 얼마나 해당 시술 경험이 많으신지 확인해보시는 것도 좋을 것 같네요 ^^

어떤 모양으로 디자인할지 환자분과 상의가 끝나면 마취를 진행하고 레이저로 잇몸을 다듬습니다.
이 때 마취 과정이 너무 무서워서 걱정이시라면 마취 주사를 놓기 전 마취 크림으로 1차적인 마취를 진행한 후
마취 주사를 놓고 있기 때문에 미리 저희 스탭 분들에게 말씀해주시면 처치해 드리고 있습니다.
첫번째 시술 후에는 약간의 출혈이 있을 수 있지만, 몸에 상처가 난 것과 유사하게 수일 내로 가라앉게 되니 걱정하지 않으셔도 됩니다.
시술 후에 식사 등 일상생활을 바로 하실 수 있지만 너무 맵거나 뜨겁고 자극적인 음식은 피해서 식사해주시는 것이 좋습니다.
또한 잇몸에 상처가 나있는 상태이니 양치질도 살살 해주시는 것이 좋고요 ^^
잇몸라인에 상처가 보일 수 있으나 수 일 내로 가라앉기 때문에 혹시 티가 나거나 할까봐 걱정하지 않으셔도 좋을 것 같습니다.
바로 최근 치료사례를 보여드리도록 하겠습니다. 제가 생각했을 때 정말 예쁘게 치료가 완료되어서 뿌듯했던 사례인데요.
인터넷 검색을 통해 저희 디데이치과를 알게되셔서 잇몸비대칭 개선을 위해 내원해주신 환자분입니다.

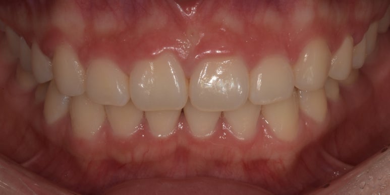
잇몸비대칭 케이스 (시술 전)
2023-02-10
전 모습을 보시면 특히 상악 중절치 부분의 잇몸라인이 울퉁불퉁하고 측절치 부분은 다른 부분보다 많이 내려와 있습니다.
따라서 상악 중절치 부분은 최대한 송곳니쪽 잇몸라인까지 위로 올리고 라운드하게 다듬고,
측절치 부분 역시 위로 살짝 올려 다른 치아들과 밸런스를 맞춰주는 것을 목표로 했습니다.

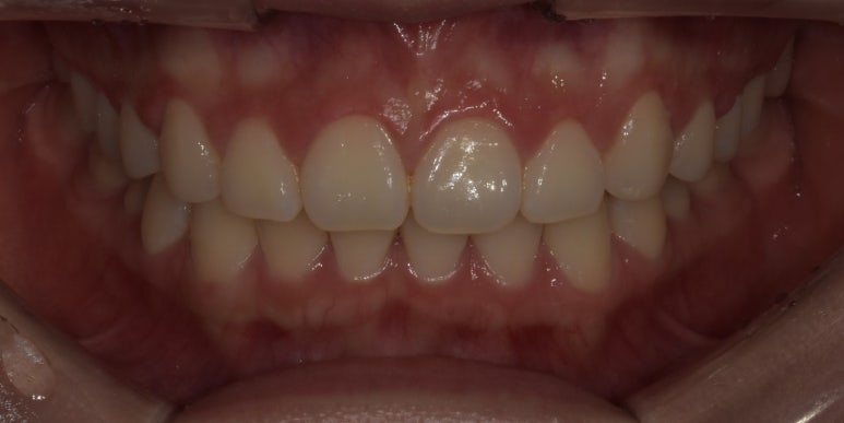
잇몸비대칭 케이스 (시술 후)
2023-02-22
시술 후 사진을 보시면 전보다 훨씬 더 라인이 라운드하고 고르게 만들어진 것을 확인하실 수 있습니다.


잇몸비대칭 잇몸성형 전후모습
(전) 2023-02-10 (후) 2023-02-22
전후사진을 같이 볼까요? 차이점이 확실하게 확인되시죠? ^^
이렇게 평생 스트레스 받았던 부분을 단시간에 해소할 수 있어 너무 좋았다며 만족스러운 표정의 환자분을 보니
저의 피로와 스트레스도 날아가는 기분이었습니다 ^^
유난히 웃을 때 잇몸이 많이 보인다거나(거미스마일), 잇몸비대칭으로 고민하고 계시다면
혼자 끙끙 앓지 마시고 가까운 치과에서 잇몸성형 상담 받아보실 것을 추천드립니다.
물론 저희 디데이치과를 선택해주신다면 최선을 다해, 환자분의 자신감 회복을 위해 환자분께 꼭 알맞은 디자인을 해드리겠지만
그렇지 않다고 하더라도 환자분께서 충분히 만족하실 수 있는 치과에서 후회없는 시술을 받으시기를 바라겠습니다.
그럼 지금까지 디데이치과 오태훈 대표원장이었습니다. 감사합니다!
< 잇몸성형 후기가 궁금하다면? >
< 잇몸성형 유지기간은? >
| 환자를 돌려보내는 치과가 있다?디데이치과 네이버 예약 ✔ |
| 서울 디데이치과 진료 문의 |
|---|
| 대표전화 : 02-568-2877 (바로가기)네이버 톡톡 문의 (바로 가기) |
▲ 모바일에서 전화 버튼을 누르시면 병원으로 연결됩니다 ▲

| 본 게시물은 의료광고법 제56조 1항을 준수하여, 의료 정보 제공 및 병원 홍보를 목적으로 디데이치과의원에서 직접 작성하였습니다.다만, 블로그에서 제공해 드리는 정보는 참조용으로만 활용하시고, 정확한 개인의 증상 파악은 의료기관에 직접 내방하시어 의료진을 통해 확인하실 것을 권유 드립니다.치과에서 진행되는 잇몸성형(치은절제술)을 포함한 모든 시술 및 수술은 개인에 따라 부작용 (염증, 출혈, 부기, 신경 손상 등) 가능성이 있습니다. 따라서 사전에 의료진과 충분한 상담을 통해 결정하시길 바랍니다.게시물의 치료 사진은 실제 본원에서 모든 치료 과정을 마친 환자분의 동의하에 촬영되었습니다. 전후 사진은 동일인이며, 동일 조건하에 촬영되었음을 밝힙니다. |