아카이브 요약
이 페이지의 역할
디데이치과의원의 네이버 블로그 원문을 보존한 아카이브 페이지입니다. 라미네이트 카테고리의 라미네이트 vs 레진 차이점 장단점 완벽 비교 글을 통해 병원의 한국어 정보 제공 방식과 진료 관련 안내 톤을 확인할 수 있습니다.
원문 검증
필요하면 원문 블로그와 병원 프로필로 바로 이동해 문맥을 다시 확인할 수 있습니다.
출처 아카이브 열기아카이브된 블로그 글
디데이치과의원 · Naver Blog
반갑습니다. 디데이치과 오태훈 대표원장입니다. 환자분께 적합하지 않은 치료는 권하지 말자는 신념으로 오늘도 환자분들과 만나고 있는 치과의사입니다 ^^ 저희 디데이치과가 강남구 역삼동 선릉역에 위치하고 있어 라미네이트, 잇몸성형, 치아미백 등 심미치료를 원하시는 분들께서 많이 내원해주고 계시는데...
게시일
2023년 2월 27일
원문 기준으로 확인된 발행일입니다.
카테고리
라미네이트
원문 블로그 카테고리를 정리해 함께 표시합니다.
이미지 수
9
현재 아카이브에 연결된 이미지 수입니다.
아카이브 요약
디데이치과의원의 네이버 블로그 원문을 보존한 아카이브 페이지입니다. 라미네이트 카테고리의 라미네이트 vs 레진 차이점 장단점 완벽 비교 글을 통해 병원의 한국어 정보 제공 방식과 진료 관련 안내 톤을 확인할 수 있습니다.
원문 검증
필요하면 원문 블로그와 병원 프로필로 바로 이동해 문맥을 다시 확인할 수 있습니다.
출처 아카이브 열기반갑습니다. 디데이치과 오태훈 대표원장입니다.
환자분께 적합하지 않은 치료는 권하지 말자는 신념으로 오늘도 환자분들과 만나고 있는 치과의사입니다 ^^

저희 디데이치과가 강남구 역삼동 선릉역에 위치하고 있어
라미네이트, 잇몸성형, 치아미백 등 심미치료를 원하시는 분들께서 많이 내원해주고 계시는데요.
라미네이트 혹은 레진을 통해 앞니의 모양을 개선하거나 치아 사이 틈새를 메꾸고자 하시는 분들의 문의도 참 많습니다.
지금 이 글을 보고 계신다면 아마 앞니 심미치료에 관심이 있으셔서 라미네이트 혹은 레진으로 치료하고 싶은데
각 치료별로 어떤 차이점과 장단점이 있는지 궁금하셔서 검색하시다가 저희 블로그까지 오신 것 같습니다 ^^

여기까지 오셨다면 라미네이트와 레진이 무엇인지는 이미 알고 계실 것이라는 전제하에
라미네이트와 레진에 어떤 차이가 있는지, 비용은 얼마인지와 함께 최신 치료사례까지 낱낱이 공개해드리도록 하겠습니다.
앞니 치료에 관심이 있으시다면 5분만 집중해서 읽어주세요 ^^
─
라미네이트 VS 레진
장단점과 차이점
앞니 사이가 벌어진 틈새를 메우고 싶거나, 치아의 일부분이 파절되어 떨어져 나간 경우 등
앞니를 좀 더 예쁘고 보기 좋게 만들고자 하는 경우에 라미네이트 또는 레진치료를 고려해볼 수 있는데요.
우선 라미네이트와 레진의 가장 큰 차이점은 치료 비용입니다.
라미네이트는 개당 40만원 정도의 치료비용이 발생하는 반면 레진은 면당 10~15만원 정도의 비용이라
거의 ¼ 정도 가격에 치료를 할 수 있다는 장점이 있습니다.

가격이 비교적 저렴하고 당일에 치료가 완료되기 때문에 간단하게 레진으로 치료를 원하시는 분들도 계십니다.
하지만 레진은 재료의 특성상 탈락과 파절, 착색과 변색에 취약합니다. 즉, 수명이 그렇게 길지 않다는 단점이 있죠.
처음에 치료를 할 때는 저렴한 금액에 진행했지만, 떨어지거나 깨질 가능성이 높아 몇 번 반복해 재치료를 하다보면
라미네이트 시술 비용과 거의 비슷해지는 일도 생길 수 있게 됩니다.

라미네이트는 얇은 두께의 세라믹으로 정교하게 만들어진 보철물을 치아 표면에 부착하는 것이기 때문에
심미적인 만족도가 레진보다 훨씬 높습니다.
새로운 치아 모양 보철물을 만들어 부착하는 것이기 때문에 치아 전체적인 모양을 획기적으로 개선할 수도 있고요.
하지만 라미네이트는 제작 기간이 있기 때문에 최종 치료기간이 약 일주일 정도 소요되고 치과에도 최소 2번 정도는 내원해주셔야 합니다.
또한 라미네이트 부착을 위해 치아 표면을 갈아낼 수밖에 없어 치아를 삭제해야 한다는 부담이 있기도 하고요.
앞서 말씀드렸듯이 레진보다 치료비용이 비싸다는 점도 단점이라고 할 수 있습니다.
즉, 정리하자면 심미적인 만족도를 높이고 전체적인 치아 배열이라든지 모양도 개선하고 싶으신 경우에는 라미네이트를,
심미적인 만족도는 조금 낮지만 치아의 일부 파절이나 치아 사이 틈새를 메꾸는 등 특정 포인트만을 개선하고 싶으시다면 레진치료를 고려해볼 수 있습니다.
이어서 라미네이트와 레진의 최신 치료사례를 공유해드리니 확인해보시고
‘나랑 비슷한데 나도 이렇게 치료할 수 있을까?’ 생각이 드신다면 언제든지 오셔서 상담하셔도 좋습니다 ^^
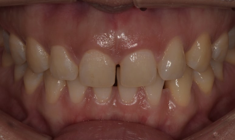
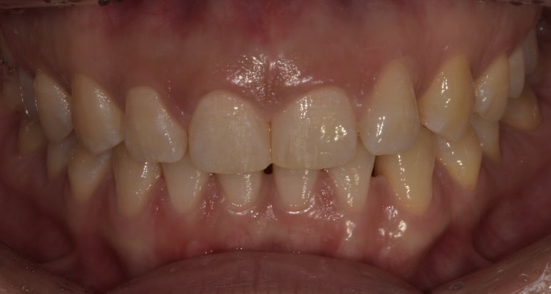
벌어진앞니 레진 치료사례


벌어진앞니 레진치료 사례
2023-02-08
앞니가 벌어져서 치아 사이에 틈새가 보이는 것이 고민이셨던 환자분입니다.
치아 삭제에 대한 부담으로 라미네이트는 원하지 않으셔서 레진으로 치료를 도와드렸습니다.
전후 모습을 보시면 레진치료 후 치아 사이 틈새가 매끄럽게 메워져 있는 모습을 확인하실 수 있습니다.
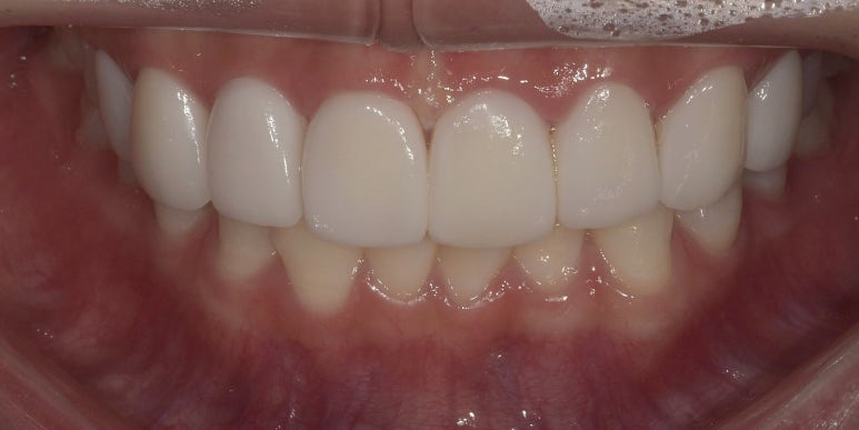
라미네이트 치료사례


라미네이트 치료사례
(전) 2022-05-16 (후) 2023-02-17
전체적인 치아 모양의 개선을 위해 라미네이트 시술하신 환자분입니다.
치료 전에는 배열과 스마일라인이 다소 삐뚤빼뚤한 느낌이었지만 치료 후 치아 모양과 전체적인 스마일 라인이 고르고 가지런해졌습니다.
라미네이트와 레진 중 어떤 치료가 맞나요? 혹은 어떤 치료가 더 좋은가요? 라고 질문하신다면
저는 단언컨대 대답해드릴 수 없다고 하겠습니다.
환자분의 치아 상태에 따라, 그리고 환자분께서 치료를 통해 얻고자 하는 효과와 목표가 무엇인지에 따라,
환자분의 경제적 상태나 치료를 위해 충분한 시간을 들일 수 있는지 등 다양한 요인에 따라 치료 방법은 달라질 수 있기 때문입니다.
따라서 치료 결정을 하시기 전 '나는 꼭 라미네이트 또는 레진으로만 치료할거야'라고 생각하지 마시고
전문의와의 상담을 통해 전문가의 조언을 충분히 생각해보시고 환자분께 딱 알맞은 치료 방법을 선택하시길 바라겠습니다.
그럼 지금까지 디데이치과 오태훈 대표원장이었습니다. 긴 글 읽어주셔서 감사합니다!
< 라미네이트 치료사례가 더 보고싶다면? >
| 환자를 돌려보내는 치과가 있다?디데이치과 네이버 예약 ✔ |
| 디데이치과 진료 문의 |
|---|
| 진료 문의 : 02-568-2877 (바로가기)네이버 톡톡 문의 (바로 가기) |
▲ 모바일에서 전화 버튼을 누르시면 병원으로 연결됩니다 ▲

| 본 게시물은 의료광고법 제56조 1항을 준수하여, 의료 정보 제공 및 병원 홍보를 목적으로 디데이치과의원에서 직접 작성하였습니다.다만, 블로그에서 제공해 드리는 정보는 참조용으로만 활용하시고, 정확한 개인의 증상 파악은 의료기관에 직접 내방하시어 의료진을 통해 확인하실 것을 권유 드립니다.치과에서 진행되는 모든 시술 및 수술은 개인에 따라 부작용 (염증, 출혈, 부기, 신경 손상 등) 가능성이 있습니다. 따라서 사전에 의료진과 충분한 상담을 통해 결정하시길 바랍니다.라미네이트 시술은 치아의 표면을 일부 삭제하고, 보철물을 부착하는 치료로 보철물 탈락 및 치아손상 가능성이 있으며, 반영구적인 치료법입니다.게시물의 치료 사진은 실제 본원에서 모든 치료 과정을 마친 환자분의 동의하에 촬영되었습니다. 전후 사진은 동일인이며, 동일 조건하에 촬영되었음을 밝힙니다. |