아카이브 요약
이 페이지의 역할
디데이치과의원의 네이버 블로그 원문을 보존한 아카이브 페이지입니다. 라미네이트 카테고리의 라미네이트, 치아보험 적용이 가능할까요? 글을 통해 병원의 한국어 정보 제공 방식과 진료 관련 안내 톤을 확인할 수 있습니다.
원문 검증
필요하면 원문 블로그와 병원 프로필로 바로 이동해 문맥을 다시 확인할 수 있습니다.
출처 아카이브 열기아카이브된 블로그 글
디데이치과의원 · 통합치의학과 전문의 2명의 솔직한 치과 이야기
반갑습니다. 디데이치과 김무진 대표원장입니다. 치아의 심미적인 측면과 기능적인 면까지 다각도로 고려한 치료를 통해 궁극적으로 환자의 삶의 질을 높이는 것을 목표로 보건복지부 인증 통합치의학과 전문의인 저와 오태훈 원장님 2인이 직접 치료계획 수립, 치료, 사후관리까지 담당하고 있습니다 ^^ 여...
게시일
2023년 2월 28일
원문 기준으로 확인된 발행일입니다.
카테고리
라미네이트
원문 블로그 카테고리를 정리해 함께 표시합니다.
이미지 수
13
현재 아카이브에 연결된 이미지 수입니다.
아카이브 요약
디데이치과의원의 네이버 블로그 원문을 보존한 아카이브 페이지입니다. 라미네이트 카테고리의 라미네이트, 치아보험 적용이 가능할까요? 글을 통해 병원의 한국어 정보 제공 방식과 진료 관련 안내 톤을 확인할 수 있습니다.
원문 검증
필요하면 원문 블로그와 병원 프로필로 바로 이동해 문맥을 다시 확인할 수 있습니다.
출처 아카이브 열기반갑습니다. 디데이치과 김무진 대표원장입니다.
치아의 심미적인 측면과 기능적인 면까지 다각도로 고려한 치료를 통해 궁극적으로 환자의 삶의 질을 높이는 것을 목표로
보건복지부 인증 통합치의학과 전문의인 저와 오태훈 원장님 2인이 직접 치료계획 수립, 치료, 사후관리까지 담당하고 있습니다 ^^


여러분께서 관심있으신 라미네이트의 경우 주로 치아가 더 예쁘게 보이기를 원하시는 분들께서 미용 목적으로 시술하는 경우가 많은데요.
따라서 보다 더 자연스럽게, 주변 치아와 잘 어우러지고 모양과 배열이 아름다우면서
치아의 원래 기능까지 할 수 있도록 세심하고 정교하게 보철물을 제작하는 것은 물론,
환자분의 치료 목표를 달성할 수 있도록 상담 과정에서부터 환자분에게 귀기울이고 있습니다.
라미네이트 시술을 원하는 환자분들 중에서는 간혹 ‘라미네이트도 치아보험이 적용되나요’라는 문의를 주시는 분들이 계십니다.
아마 라미네이트 치료를 받고 싶은데 비용적인 부분이 부담되셔서 보험적용 여부를 알아보고 계실 것 같은데요.

라미네이트는 저희 디데이치과를 기준으로 개당 가격이 40~45만원 정도로
가장 많이 진행하는 6개 시술 시 백만원대가 넘는 큰 비용이 드는 시술이다보니…
컴플렉스 해소를 위해 시술을 하고자 할 때 망설여지고 고민되는 것이 사실입니다.
하지만 안타깝게도 현재 치아보험은 미용 목적의 치료에 해당하는 수술 또는 시술을 받을 때는 보장이 불가합니다.
따라서 라미네이트는 미용 목적의 시술로 분류되기 때문에 치아보험이나 실비보험이 있으셔도 보장을 받으실 수 없습니다.

다만, 만약 앞니에 충치가 있어 충치를 제거한 후 라미네이트가 아닌
올세라믹크라운이나 지르코니아크라운으로 앞니 치료를 하신다면 크라운치료가 보장되는 보험에 가입하셨을 경우 보장이 가능할 수 있습니다.
하지만 이 부분은 가입한 보험의 약관이나 보장내용에 따라 가능 여부가 달라질 수 있기 때문에
시술을 하시기 전 반드시 확인해보셔야 합니다.
이어서 저희 디데이치과에서 라미네이트 또는 앞니 크라운 시술을 진행하신 환자분들의 다양한 케이스를 보여드리니
더 궁금하신 부분이 있으시거나 추가 문의사항이 있으시다면 언제든지 저희 디데이치과로 연락주시기 바랍니다 ^^
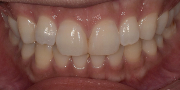
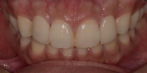
| 무삭제 라미네이트 치료 사례 |


디데이치과 무삭제라미네이트 시술 사례
(전) 2021-10-07 (후) 2022-04-20
디데이치과에서 무삭제 라미네이트 시술하신 환자분입니다.
윗니와 아랫니 사이 공간을 닫고, 치아의 모양을 좀 더 가지런하게 만들고 싶다고 하셨는데요.
치아의 삭제량이 거의 없이 라미네이트 치료가 성공적으로 완료되었습니다.
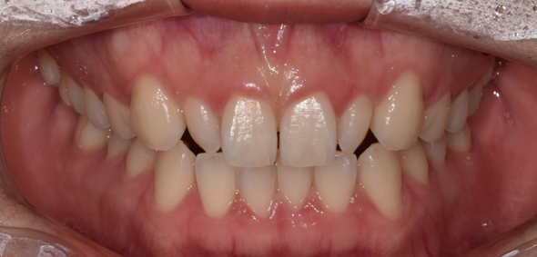
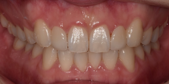
| 작은치아(왜소치)라미네이트 치료 사례 |


#12, 22 왜소치 라미네이트 치료 사례
23세 여성
(전) 2022-10-28 (후) 2022-11-11


상악 측절치 작은치아라미네이트 치료 사례
20세 여성
(전) 2022-08-04 (후) 2022-08-12
양쪽 측절치의 사이즈가 다른 치아보다 유난히 작은 왜소치 개선을 위해 라미네이트 시술하신 환자분입니다.
단 2개만 진행했음에도 불구하고 치아의 색상과 모양을 인접치아와 유사하게 제작하여
이질감 없고 전체적인 밸런스를 맞춘 라미네이트 시술이 완료되었습니다 ^^
| 레진 제거 후 라미네이트, 크라운 치료 사례 |


앞니 레진치료 받았던 부분을 제거하고 라미네이트와 크라운 진행하신 케이스
27세 여성
(전) 2022-05-06, (후) 2022-06-02
기존에 레진으로 치아 표면을 메꾸어 놓았던 부분을 제거하고 라미네이트와 크라운 진행하신 케이스입니다.
기존에 레진 등으로 치료하셨을 경우에는 라미네이트 치료가 어려울 수 있어 부득이하게 크라운으로 치료해야 할 수 있습니다.
따라서 라미네이트를 고려하시기 전 전문의와의 충분한 상담을 통해
환자분의 치아 상태와 치료 목적에 알맞은 치료가 무엇인지 확인 후 진행하실 것을 권장해드립니다.
블로그를 통해 여러번 말씀드렸지만 라미네이트는 환자 개인의 오랜 컴플렉스를 해소하고
자신감을 회복하며 더 나은 삶을 살 수 있도록 만들어주는 좋은 시술입니다.
많은 비용이 들지만 그만한 비용을 들여 나의 컴플렉스를 해소해 삶의 질을 높이겠다고 하시는 분들도 계시니까요.
따라서 무작정 라미네이트 시술을 권하는 것이 아니라 환자분의 현재 상태를 가장 잘 파악하고
그에 맞는 치료 계획을 세워주는 치과에서 장기적으로 환자분께 도움이 되는 시술을 받으시기를 바라며
이만 줄이겠습니다. 지금까지 디데이치과 김무진 대표원장이었습니다!
| 디데이치과 네이버 예약 ✔ |
| 서울 디데이치과 진료 문의 |
|---|
| 대표전화 : 02-568-2877 (바로가기)네이버 톡톡 문의 (바로 가기) |
▲ 모바일에서 전화 버튼을 누르시면 병원으로 연결됩니다 ▲

| 본 게시물은 의료광고법 제56조 1항을 준수하여, 의료 정보 제공 및 병원 홍보를 목적으로 디데이치과의원에서 직접 작성하였습니다.다만, 블로그에서 제공해 드리는 정보는 참조용으로만 활용하시고, 정확한 개인의 증상 파악은 의료기관에 직접 내방하시어 의료진을 통해 확인하실 것을 권유 드립니다.치과에서 진행되는 모든 시술 및 수술은 개인에 따라 부작용 (치아시림, 염증, 출혈, 부기, 신경 손상 등) 가능성이 있습니다. 따라서 사전에 의료진과 충분한 상담을 통해 결정하시길 바랍니다.게시물의 치료 사진은 실제 본원에서 모든 치료 과정을 마친 환자분의 동의하에 촬영되었습니다. 전후 사진은 동일인이며, 동일 조건하에 촬영되었음을 밝힙니다. |