아카이브 요약
이 페이지의 역할
디데이치과의원의 네이버 블로그 원문을 보존한 아카이브 페이지입니다. 임플란트 카테고리의 임플란트건강보험, 추가비용 없이 가능할까요? 글을 통해 병원의 한국어 정보 제공 방식과 진료 관련 안내 톤을 확인할 수 있습니다.
원문 검증
필요하면 원문 블로그와 병원 프로필로 바로 이동해 문맥을 다시 확인할 수 있습니다.
출처 아카이브 열기아카이브된 블로그 글
디데이치과의원 · Naver Blog
안녕하세요. 디데이치과 오태훈 대표원장입니다. 언제나 환자분께 꼭 필요한 치료만, 아프지 않게, 합리적인 비용으로 해드리자는 마음으로 진료에 임하고 있는 현직 치과의사입니다 ^^ 저희 디데이치과가 강남구 역삼동 선릉역 인근에 위치하고 있다보니 인근 주민 또는 직장인 분들이 많이 내원해주고 계시는데요....
게시일
2023년 3월 3일
원문 기준으로 확인된 발행일입니다.
카테고리
임플란트
원문 블로그 카테고리를 정리해 함께 표시합니다.
이미지 수
11
현재 아카이브에 연결된 이미지 수입니다.
아카이브 요약
디데이치과의원의 네이버 블로그 원문을 보존한 아카이브 페이지입니다. 임플란트 카테고리의 임플란트건강보험, 추가비용 없이 가능할까요? 글을 통해 병원의 한국어 정보 제공 방식과 진료 관련 안내 톤을 확인할 수 있습니다.
원문 검증
필요하면 원문 블로그와 병원 프로필로 바로 이동해 문맥을 다시 확인할 수 있습니다.
출처 아카이브 열기안녕하세요. 디데이치과 오태훈 대표원장입니다.
언제나 환자분께 꼭 필요한 치료만, 아프지 않게, 합리적인 비용으로 해드리자는 마음으로 진료에 임하고 있는 현직 치과의사입니다 ^^

저희 디데이치과가 강남구 역삼동 선릉역 인근에 위치하고 있다보니 인근 주민 또는 직장인 분들이 많이 내원해주고 계시는데요.
충치치료, 신경치료, 보철치료와 같은 일반적인 치료뿐만 아니라 임플란트, 뼈이식, 상악동거상술과 같은 난이도 높은 치료도 진행하고 있어
본인의 치료를 위해 내원해주셨던 환자분께서 부모님의 임플란트 시술을 위해 문의를 주시거나
부모님을 모시고 함께 내원해주시는 경우들도 정말 많습니다.
그만큼 저희 디데이치과를 믿고 부모님의 치아까지 맡겨주시는거겠죠? ^^
이 자리를 빌어 감사의 말씀을 드리고 싶습니다.

특히 부모님 임플란트 시술 또는 문의주시는 분들께서는 임플란트건강보험에 대해 알아보시는 분들도 많으실텐데요.
만 65세 이상이라면 평생에 걸쳐 2개의 임플란트를 본인부담금 30% 정도만 부담하고 시술할 수 있기 때문입니다.
정말 해당 비용만 부담하면 아무런 추가금액이 없이 임플란트 시술이 가능한지 여쭤보시는 분들도 많습니다.
오늘은 임플란트건강보험이 어떤 사람에게 적용되는지, 비용은 얼마 정도 발생하는지 꼼꼼히 안내해 드리고
임플란트건강보험 적용을 받아서 실제로 시술까지 완료하신 케이스도 살펴보도록 하겠습니다.
─
임플란트건강보험에 대해
자세히 알려주세요

국민건강보험 적용을 받는 가입자이고 만 65세 이상이라면 임플란트건강보험 적용이 가능합니다.
하지만 치아를 모두 상실한 완전 무치악 환자의 경우 적용을 받을 수 없으니 이 점 유의하시기 바랍니다.
임플란트건강보험 적용을 받는다면 임플란트 1개당 본인부담금 약 39만원(2023년 기준)만 지불하시면 시술이 가능합니다.
만약 시술받는 환자분께서 의료급여 1종, 2종 또는 차상위라면 본인부담금이 보다 감면되어
10~20%의 금액만 지불하셔도 시술이 가능한 점 참고 부탁드립니다.
또한 본인부담금은 환자분께서 시술하시는 병원 규모(의원급 또는 병원급 이상)에 따라 조금의 차이는 발생할 수 있습니다.
─
임플란트건강보험
추가비용은 없나요?

임플란트 뼈이식
건강보험이 적용되는 임플란트 수술을 하시더라도 뼈이식이나 상악동거상술 등
임플란트 식립에 필요한 부수적인 시술까지 진행하신다면 별도로 비용이 발생합니다.
뼈이식이나 상악동거상술의 경우 비급여진료에 해당하기 때문에 약 30~50만원, 경우에 따라 100만원 정도 비용이 추가될 수 있습니다.
아울러 건강보험 적용되는 임플란트는 치아 역할을 하는 보철물이 PFM 소재로 제작되는 것이 기본입니다.
PFM 크라운
PFM이란 금속 재질로 된 보철물 위에 도자기를 씌운 소재를 의미하는데요.
안과 밖이 모두 강도 높은 세라믹으로 만들어지는 지르코니아크라운보다 비용은 저렴하지만
시간이 오래 지날 경우 겉에 씌워진 도자기가 닳거나 탈락해 안쪽에 있는 금속 재질이 노출된다는 단점이 있습니다.
만약 임플란트건강보험 적용을 받으실 때 크라운을 PFM이 아닌 지르코니아로 제작을 원하시는 경우 별도의 추가금액이 발생할 수 있습니다.
또한 임플란트 수술 전 발치를 하시거나 신경치료 등의 선택진료를 진행하셔야 하는 경우에는 별도의 비용이 발생하는 점 참고해주시면 좋을 것 같네요 ^^
─
임플란트건강보험
시술 사례가 궁금합니다.
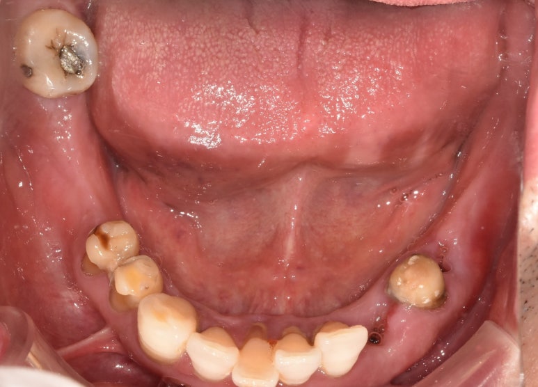
2021년 저희 디데이치과에 내원하셔서 임플란트건강보험 적용을 받으신 70세 환자분의 사례를 공유해 드리도록 하겠습니다.

임플란트건강보험 시술 전 엑스레이 사진
2021-11-05
환자분 시술 전 모습을 보시면 하악쪽 어금니 상당수를 상실하신 상태로 내원해주신 것을 확인하실 수 있는데요.
이대로 계속 방치하게 되면 우선 음식을 씹는데 문제가 많이 생기기 때문에 소화불량, 위장질환 등 다른 질병까지 불러올 수 있고
맞닿는 치아가 없는 상악쪽 치아들이 아래로 내려와 결국에는 윗니까지 문제가 발생할 수 있습니다.
따라서 우선 아직 잇몸뼈의 양이 남아있는 오른쪽 아래 어금니(사진상 왼쪽 아래)는 임플란트건강보험 적용을 받기로 하고
왼쪽 아래 어금니(사진상 오른쪽 아래)는 일반적인 임플란트 식립을 진행해 상실된 치아를 대체하기로 했습니다.

임플란트건강보험 시술 후 엑스레이 사진
2022-08-18
상실되었던 치아들이 임플란트로 빼곡하게 대체된 모습을 확인하실 수 있습니다.
특히 오른쪽 아래(사진상 왼쪽 아래)의 경우 뼈이식 없이 건강보험임플란트를 식립할 수 있었고,
인접한 치아의 크라운까지 교체해 음식을 씹는데 무리가 없으시도록 치료해 드렸습니다.
시술 전후 모습을 붙여서 비교해볼까요?


임플란트건강보험 시술 전후 엑스레이 사진
(전) 2021-11-05 (후) 2022-08-18
전후 사진을 보시면 정말 많은 변화가 있는 것을 알 수 있는데요. 실제 입 안을 촬영한 사진까지 보시면 느낌이 다르실 겁니다.


임플란트건강보험 시술 전후 모습
(전) 2021-11-05 (후) 2022-08-26
실제 사진을 보니 확실히 얼마나 달라졌는지 느낌이 오시죠? ^^
치아를 상실했던 부분이 완전히 채워진 것은 물론, 기존에 약했던 치아들도 모두 튼튼하게 교체해
음식을 씹을 때 전혀 지장이 없으시게끔 치료가 완료되었습니다.
환자분께서도 씹는 즐거움을 다시 느끼게 되셨다며 너무 좋아하셨던 모습이 눈에 선합니다 ^^
상실된 치아를 그대로 방치한다면 치열의 틀어짐, 잇몸뼈의 흡수 진행 등 치아 자체적인 문제는 물론
음식을 씹기 어려워 소화하는데 어려움을 느끼면서 위장질환을 유발할 수 있고, 영양소 섭취가 제대로 이루어지지 않을 가능성이 높습니다.
하지만 임플란트 자체가 치과 치료 중 가장 비용이 많이 드는 치료이다보니 아무래도 망설여지는 마음 잘 알고 있습니다.
임플란트건강보험 적용을 받으시면 비용 부담도 덜면서 상실한 치아 중 일부를 대체할 수 있으니
만약 본인 또는 부모님께서 임플란트 시술이 필요하시다면 적극적으로 활용해보시면 좋을 것 같습니다.
오늘 말씀드린 주제 관련해 궁금한 점이 있으시다면 언제든지 저희 디데이치과로 문의해주세요 ^^
지금까지 디데이치과 오태훈 대표원장이었습니다. 감사합니다!
< 임플란트 종류에 대해 더 궁금하다면? >
| 환자를 돌려보내는 치과가 있다?디데이치과 네이버 예약 ✔ |
| 서울 디데이치과 진료 문의 |
|---|
| 대표전화 : 02-568-2877 (바로가기)네이버 톡톡 문의 (바로 가기) |
▲ 모바일에서 전화 버튼을 누르시면 병원으로 연결됩니다 ▲

| 본 게시물은 의료광고법 제56조 1항을 준수하여, 의료 정보 제공 및 병원 홍보를 목적으로 디데이치과의원에서 직접 작성하였습니다.다만, 블로그에서 제공해 드리는 정보는 참조용으로만 활용하시고, 정확한 개인의 증상 파악은 의료기관에 직접 내방하시어 의료진을 통해 확인하실 것을 권유 드립니다.치과에서 진행되는 모든 시술 및 수술은 개인에 따라 부작용 (염증, 출혈, 부기, 신경 손상 등) 가능성이 있습니다. 따라서 사전에 의료진과 충분한 상담을 통해 결정하시길 바랍니다.게시물의 치료 사진은 실제 본원에서 모든 치료 과정을 마친 환자분의 동의하에 촬영되었습니다. 전후 사진은 동일인이며, 동일 조건하에 촬영되었음을 밝힙니다. |