아카이브 요약
이 페이지의 역할
디데이치과의원의 네이버 블로그 원문을 보존한 아카이브 페이지입니다. 잇몸/치아 성형 카테고리의 앞니모양 개선할 수 있는 2가지 치아성형방법 글을 통해 병원의 한국어 정보 제공 방식과 진료 관련 안내 톤을 확인할 수 있습니다.
원문 검증
필요하면 원문 블로그와 병원 프로필로 바로 이동해 문맥을 다시 확인할 수 있습니다.
출처 아카이브 열기아카이브된 블로그 글
디데이치과의원 · 통합치의학과 전문의 2명의 솔직한 치과 이야기
반갑습니다. 디데이치과 오태훈 대표원장입니다. 환자분께 아프지 않은 치료를 해드리고, 항상 최신의 의료기술과 장비를 적극적으로 도입하는데 진심인 현직 치과의사입니다 ^^ 최신 의료장비 3월들어 의료기관이나 대중교통 등 필수적인 곳만을 제외하고 실내 마스크 착용 의무가 사라졌는데요. 이어서 3월...
게시일
2023년 3월 13일
원문 기준으로 확인된 발행일입니다.
카테고리
잇몸/치아 성형
원문 블로그 카테고리를 정리해 함께 표시합니다.
이미지 수
12
현재 아카이브에 연결된 이미지 수입니다.
아카이브 요약
디데이치과의원의 네이버 블로그 원문을 보존한 아카이브 페이지입니다. 잇몸/치아 성형 카테고리의 앞니모양 개선할 수 있는 2가지 치아성형방법 글을 통해 병원의 한국어 정보 제공 방식과 진료 관련 안내 톤을 확인할 수 있습니다.
원문 검증
필요하면 원문 블로그와 병원 프로필로 바로 이동해 문맥을 다시 확인할 수 있습니다.
출처 아카이브 열기반갑습니다. 디데이치과 오태훈 대표원장입니다.
환자분께 아프지 않은 치료를 해드리고, 항상 최신의 의료기술과 장비를 적극적으로 도입하는데 진심인 현직 치과의사입니다 ^^


최신 의료장비
3월들어 의료기관이나 대중교통 등 필수적인 곳만을 제외하고 실내 마스크 착용 의무가 사라졌는데요.
이어서 3월 말부터는 대중교통에서도 마스크 착용 의무를 폐지하기 위한 논의가 이루어지고 있다고 합니다.
지난 글에서 실내 마스크 착용 의무 해제 이후 마스크에 가려졌던 치아가 눈에 잘 띄기 때문에
치아미백이나 잇몸성형 등 치아 관련 심미치료 환자분들께서 많이 내원해주고 계신다고 말씀드렸었는데요.

뿐만 아니라 앞니모양을 전반적으로 개선하기 위한 치아성형을 원하시는 환자분들도 요즘들어 부쩍 늘고 있는 것 같습니다.
따라서 오늘은 앞니모양 개선을 위한 2가지 방법인 법랑질성형과 라미네이트에 대해 설명드리고
시술사례와 비용까지 환자분들께서 가장 궁금해하시는 부분에 대해 안내드리도록 하겠습니다.
─
앞니모양개선을 위한 치아성형 방법
'법랑질성형'

우리 치아의 가장 겉면은 법랑질로 둘러싸여 있는데요.
이 법랑질이 치아 안쪽 상아질을 감싸고 있어 치아가 시리지 않도록 보호해줍니다.
만약 앞니 끝부분이 울퉁불퉁하다든지, 다른 치아보다 지나치게 뾰족하거나 날카로운 경우에는
법랑질을 살짝 다듬어 끝부분을 매끄럽게, 부드럽게 만들 수 있습니다.

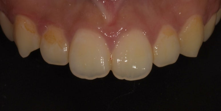
법랑질성형 환자 시술 전 모습
앞니 2개 끝부분이 울퉁불퉁한 모습을 확인하실 수 있습니다.
설명만 들어서는 별 것 아닌 것 같아보여도 막상 법랑질성형이 완료된 후에는 훨씬 더 라인이 부드럽고 깔끔하게 정돈된 모습을 확인하실 수 있습니다.
또한 치아를 살짝 갈아내는 것이기 때문에 간단한 시술이라고 생각하실 수 있지만
자칫 잘못해 삭제량이 많아질 경우 치아가 시리는 증상이 느껴지실 수 있어서 아주 섬세한 시술이 필요합니다.
따라서 법랑질성형에 충분한 경험을 갖추고 있는 전문의와의 상담을 통해 시술을 진행하시는 것이 좋습니다.
가장 궁금해하실 법랑질성형 비용은 저희 디데이치과를 기준으로 개당 5만원의 비용이 발생하고,
법랑질성형은 미용성형에 해당하기 때문에 10%의 부가세가 별도로 발생합니다.
그럼 법랑질성형 시술 사례를 보실까요?



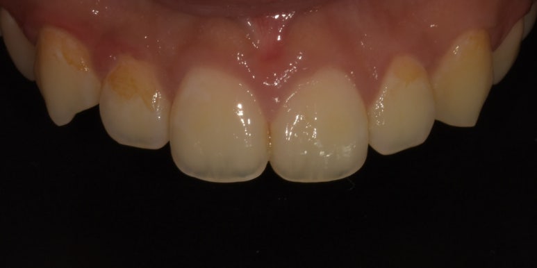
법랑질성형 시술사례
2023-03-03
사진을 보시면 법랑질성형 후 날카로웠던 부분 및 앞니 2개의 끝부분이 다듬어져
훨씬 깔끔하고 정돈된 느낌이 드는 것을 확인하실 수 있습니다.
─
앞니모양개선을 위한 치아성형 방법
'라미네이트'
법랑질성형은 비교적 합리적인 비용으로 앞니모양을 일부 개선할 수 있다는 장점이 있지만
앞니의 근본적인 모양까지 개선하기는 어렵다는 단점이 있습니다.
따라서 앞니모양을 대폭 개선해 전과 완전히 달라진 모양을 갖길 원하신다면 법랑질성형보다는 라미네이트가 만족도가 높습니다.

아무래도 원래 내 치아를 일부만 살짝 다듬는것과 아예 새로운 보철물을 제작해 부착하는 것은
심미적인 측면에서 당연히 차이가 발생할 수밖에 없겠죠 ^^
자연치아를 갈아낸다는 부분에 있어 부담감을 느끼시는 환자분들의 마음 충분히 이해합니다.
요즘은 무삭제 또는 최소삭제 라미네이트도 가능하기 때문에 관련하여 작성한 아래 게시물을 참고하셔서
나도 무삭제 라미네이트가 가능할지 예상해보시고 여러 군데 치과에 들러 상담해보신 후 시술을 결정하실 것을 권해드립니다.
라미네이트의 경우 비용은 개당 40~45만원정도이며, 마찬가지로 미용성형에 해당해 10%의 부가세가 붙습니다.
치아모양을 전체적으로 개선한 라미네이트 치료사례 역시 함께 보여드리도록 하겠습니다.

상대적으로 치아 크기가 작은 치아를 라미네이트를 통해 다른 치아와 비슷하게 맞춰주었고
치아 사이 틈새도 메워주어 앞니 4개만 진행했음에도 불구하고 고르고 가지런해진 모습입니다.

앞니가 벌어져있어 치아 사이 틈새를 채우고 들쭉날쭉한 치아 길이와 모양을 밸런스있게 개선한 사례입니다.
환자분께서 드라마틱하게 개선된 모습을 보고 아주 만족해하시던 기억이 나네요 ^^
활짝 웃는 미소는 사람의 인상을 밝고 환하게 만들고, 긍정적인 이미지를 심어줍니다.
이 때 치아의 모양과 색상이 사람의 인상과 이미지에 굉장히 중요한 영향을 미치는데요.
만약 앞니모양때문에 고민이시라면 마스크를 완전히 벗기 전 자신감을 얻기 위해
치아성형을 고려해보시는 것도 좋은 방법이 될 것 같습니다.
관련해서 더 궁금하신 점이 있으시다면 언제든지 저희 디데이치과로 연락주세요!
친절하고 자세한 상담 도와드릴 것을 약속하며 지금까지 디데이치과 오태훈 대표원장이었습니다.
< 치아 크기가 작아서 고민이라면? >
< 법랑질성형에 대해 더 궁금하다면? >
| 환자를 돌려보내는 치과가 있다?디데이치과 네이버 예약 ✔ |
| 서울 디데이치과 진료 문의 |
|---|
| 진료 문의 : 02-568-2877 (바로가기)네이버 톡톡 문의 (바로 가기) |
▲ 모바일에서 전화 버튼을 누르시면 병원으로 연결됩니다 ▲

| 본 게시물은 의료광고법 제56조 1항을 준수하여, 의료 정보 제공 및 병원 홍보를 목적으로 디데이치과의원에서 직접 작성하였습니다.다만, 블로그에서 제공해 드리는 정보는 참조용으로만 활용하시고, 정확한 개인의 증상 파악은 의료기관에 직접 내방하시어 의료진을 통해 확인하실 것을 권유 드립니다.치과에서 진행되는 모든 시술 및 수술은 개인에 따라 부작용 (염증, 출혈, 부기, 신경 손상 등) 가능성이 있습니다. 따라서 사전에 의료진과 충분한 상담을 통해 결정하시길 바랍니다.게시물의 치료 사진은 실제 본원에서 모든 치료 과정을 마친 환자분의 동의하에 촬영되었습니다. 전후 사진은 동일인이며, 동일 조건하에 촬영되었음을 밝힙니다. |