아카이브 요약
이 페이지의 역할
디데이치과의원의 네이버 블로그 원문을 보존한 아카이브 페이지입니다. 잇몸/치아 성형 카테고리의 잇몸착색, 변색되어 검은 잇몸 선홍빛으로 되돌리는 방법 글을 통해 병원의 한국어 정보 제공 방식과 진료 관련 안내 톤을 확인할 수 있습니다.
원문 검증
필요하면 원문 블로그와 병원 프로필로 바로 이동해 문맥을 다시 확인할 수 있습니다.
출처 아카이브 열기아카이브된 블로그 글
디데이치과의원 · Naver Blog
“원장님, 친구들이 잇몸이 왜 이렇게 까맣냐고 담배 좀 그만 피우라고 놀려서 너무 스트레스 받아요… 잇몸착색 해결할 수 있는 방법이 있나요?” 안녕하세요. 디데이치과 김무진 대표원장입니다. 내 가족에게 권할 수 있는 진료만 환자분들께 해드리자는 마음을 지켜가며 진료에 임하고 있고요. 치료에 대한 상담...
게시일
2023년 3월 16일
원문 기준으로 확인된 발행일입니다.
카테고리
잇몸/치아 성형
원문 블로그 카테고리를 정리해 함께 표시합니다.
이미지 수
8
현재 아카이브에 연결된 이미지 수입니다.
아카이브 요약
디데이치과의원의 네이버 블로그 원문을 보존한 아카이브 페이지입니다. 잇몸/치아 성형 카테고리의 잇몸착색, 변색되어 검은 잇몸 선홍빛으로 되돌리는 방법 글을 통해 병원의 한국어 정보 제공 방식과 진료 관련 안내 톤을 확인할 수 있습니다.
원문 검증
필요하면 원문 블로그와 병원 프로필로 바로 이동해 문맥을 다시 확인할 수 있습니다.
출처 아카이브 열기“원장님, 친구들이 잇몸이 왜 이렇게 까맣냐고
담배 좀 그만 피우라고 놀려서 너무 스트레스 받아요…
잇몸착색 해결할 수 있는 방법이 있나요?”
안녕하세요. 디데이치과 김무진 대표원장입니다.
내 가족에게 권할 수 있는 진료만 환자분들께 해드리자는 마음을 지켜가며 진료에 임하고 있고요.
치료에 대한 상담부터 치료 계획 수립, 치료와 사후관리까지 직접 진행하고자 노력하는 보건복지부 인증 통합치의학과 전문의입니다.

며칠 전 잇몸착색으로 인해 고민하시던 환자분께 위와 같은 말을 들었습니다.
환자분의 스트레스와 고민이 저에게도 절절하게 와닿아서
어서 빨리 환자분의 고민을 해결해 스트레스를 덜 받게 해드리고 싶더라구요 ^^
잇몸착색, 변색되어 유난히 거무스름한 잇몸으로 인해 고민하고 계신 분들이라면 잇몸미백이 큰 도움이 될 수 있습니다.



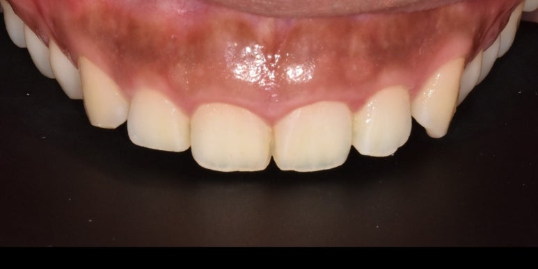
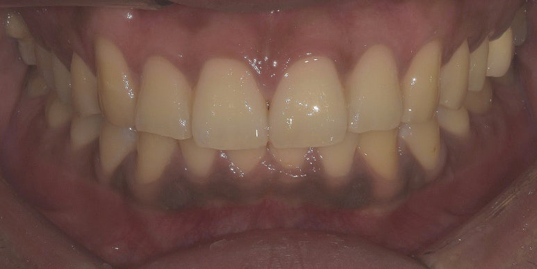
거뭇한 잇몸 예시 사진
실제 디데이치과에서 잇몸미백 치료받으신 환자분들의 시술 전 사진입니다.
(위 왼쪽) 2021-09-13 (위 오른쪽) 2022-05-11
(아래) 2022-01-04
‘치아도 아니고 잇몸도 미백이 가능해?’라고 생각하실 수 있을 것 같은데요.
잇몸도 충분히 미백이 가능합니다!
여기서 미백이란 잇몸을 하얗게 만드는 것이 아니라 본래의 선홍빛으로 만들어드리는 것을 의미합니다.
오늘은 위 환자분의 잇몸착색이 어떻게 개선되었는지 실제 사진으로 보여드리며
잇몸미백에 대해 자세히 설명드리고, 또 환자분들께서 궁금해하실 비용까지 안내드리도록 하겠습니다.
─
저는 담배도 안 피우는데 잇몸착색이 심합니다.
왜 그런가요?
잇몸이 착색되는 주요 원인에는 흡연도 있습니다. 담배에 함유된 타르가 잇몸에 달라붙어 잇몸이 착색되는 것이죠.

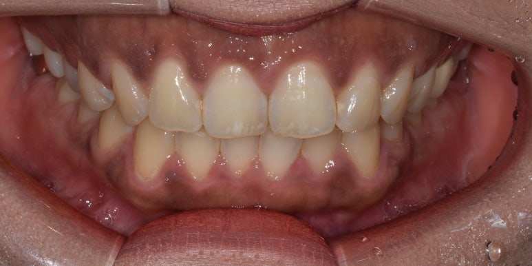
잇몸미백 치료 전
2023-02-28
하지만 잇몸착색 자체가 멜라닌 색소가 과다침착되어 생기는 것이기 때문에
흡연을 하지 않아도 잇몸이 착색되는 경우가 있습니다. 유전적인 요인도 있고요.
만약 앞니에 외상을 입으셨거나 크라운 등 보철치료를 받은 적이 있으시다면 해당 부위에 혈관이나 신경이 죽어 잇몸이 변색되는 경우도 있습니다.
따라서 거무스름한 잇몸으로 고민이시라면 우선 치과를 방문하셔서 원인이 무엇인지부터 확인하시고 치료를 진행하시는 것이 좋습니다.
─
잇몸은 어떻게 미백을 하는건가요?
저희 디데이치과에서는 잇몸미백 시 레이저를 사용하는데요.
레이저를 이용한 잇몸미백은 흔히 말하는 피부박피술과 비슷한 원리라고 생각해주시면 이해하기 쉬우실 것 같습니다.
다른 곳보다 검은 부분에 레이저를 조사해 상피조직에 분포한 멜라닌 색소를 제거하는 것인데요.
이렇게 되면 아래쪽에 있던 건강한 선홍빛 잇몸이 밖으로 드러나게 되어 전체적으로 잇몸 색상이 밝아지는 것이죠.
─
그럼 잇몸미백 비용은 어떻게 되나요?
잇몸미백을 시술하고 있는 치과에 따라 비용의 차이는 있을 수 있습니다만
저희 디데이치과를 기준으로 말씀드리면 잇몸미백은 44만원(부가세 포함, 악당 비용)에 진행되고 있습니다.
이 비용은 본 시술 1회와 리터치 1회를 포함한 금액인 점 참고 부탁드립니다.
본 시술 후 추가금액 없이 리터치를 한번 더 진행해드리는 이유는 환자분들의 시술 만족도를 조금 더 높이고
잇몸이 잘 치유되고 있는지, 혹시 이상은 없는지 한번 더 체크해드리기 위해서입니다 ^^
그럼 최근 잇몸미백을 진행하신 환자분 사진을 한번 살펴볼까요?


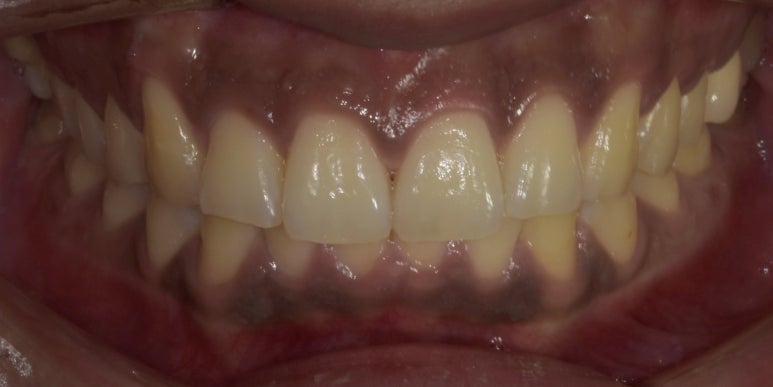
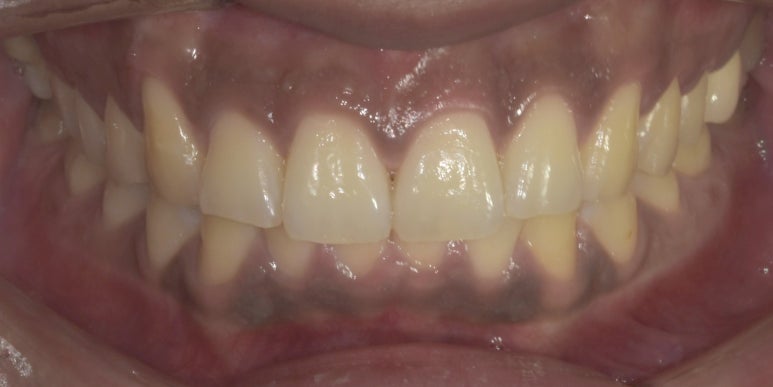
잇몸미백 시술 케이스
(전) 2023-02-28 (후) 2023-03-11
환자분 상악을 보시면 잇몸에 검게 착색된 부분을 확인하실 수 있는데요.
시술 후에는 해당 부분이 사라지고 보다 환한 선홍빛 잇몸이 드러난 모습입니다.
전보다 훨씬 깔끔하고 환해보이지 않나요?
시술 후 환자분께서도 훨씬 깔끔해보인다고 만족해하셔서 저희 역시 뿌듯한 순간이었습니다 ^^
잇몸미백은 아무래도 널리 알려진 시술이 아니다보니 환자분들께서 치료할 수 있는지 모르시고
혼자 끙끙 앓다가 스트레스 받고 계시는 경우가 많은 것 같아… 개인적으로 안타까운 마음이 들 때도 있습니다.
이런 분들께 이런 시술이 있다고 알려드림으로써 이런 치료도 가능하다는 정보를 환자분들께 알려드리는 것 또한
저의 사명이라고 생각하기에 오늘도 진료 후 힘을 내서 블로그 글도 작성하고 있네요 ^^
혹시 잇몸착색으로 인해 스트레스 받고 계신다면 언제든지 저희 디데이치과의 문을 두드려주세요.
환자분의 스트레스. 저희가 해소해드리겠습니다!
그럼 지금까지 디데이치과 김무진 대표원장이었습니다. 감사합니다.
< 더 읽어보시면 좋은 글 >
| 환자를 돌려보내는 치과가 있다?디데이치과 네이버 예약 ✔ |
| 서울 디데이치과 진료 문의 |
|---|
| 진료 문의 : 02-568-2877 (바로가기)네이버 톡톡 문의 (바로 가기) |
▲ 모바일에서 전화 버튼을 누르시면 병원으로 연결됩니다 ▲

| 본 게시물은 의료광고법 제56조 1항을 준수하여, 의료 정보 제공 및 병원 홍보를 목적으로 디데이치과의원에서 직접 작성하였습니다.다만, 블로그에서 제공해 드리는 정보는 참조용으로만 활용하시고, 정확한 개인의 증상 파악은 의료기관에 직접 내방하시어 의료진을 통해 확인하실 것을 권유 드립니다.치과에서 진행되는 모든 시술 및 수술은 개인에 따라 부작용 (염증, 출혈, 부기, 신경 손상 등) 가능성이 있습니다. 따라서 사전에 의료진과 충분한 상담을 통해 결정하시길 바랍니다.게시물의 치료 사진은 실제 본원에서 모든 치료 과정을 마친 환자분의 동의하에 촬영되었습니다. 전후 사진은 동일인이며, 동일 조건하에 촬영되었음을 밝힙니다. |