반갑습니다. 디데이치과 김무진 대표원장입니다.
환자분들의 치아 건강을 회복해드리고, 새로운 치아를 선물해 삶의 질을 높이는 데서 큰 보람을 느끼는 현직 치과의사입니다 ^^
그래서 치료계획 수립부터 상담, 시술과 수술은 물론 사후관리까지 직접 진행하고 있기도 하고요.

제가 처음 오태훈 원장님과 의기투합해 개원하면서 결심했던 궁극적인 목표가
치아 치료를 통해 장기적으로 환자의 삶의 질을 높이고자 하는 것이기 때문에 진심을 다해 진료에 임하고 있습니다.
아마 지금 이 글을 보고 계시다면 본인 또는 가족, 지인께서 임플란트 수술이 필요하신 분들일텐데요.
특히 조금 더 정교한 수술이 가능한 네비게이션임플란트에 대한 이야기를 듣고
네비게이션임플란트가격에 대해 알아보고 계실 것 같습니다.
여러분께서 가장 궁금해하실 네비게이션임플란트가격에 대해 먼저 말씀드리자면
저희 디데이치과 기준으로 일반적인 임플란트 수술 비용에 10만원 정도만 추가해주시면 됩니다.
저희 디데이치과에서 시술하고 있는 오스템 BA, SOI 임플란트가 개당 각각 69만원, 79만원이니
네비게이션임플란트가격은 개당 각각 79만원, 89만원이 되겠죠 ^^
그러면 네비게이션임플란트는 무엇이고, 왜 가격이 더 비싼걸까요?
지금부터 꼼꼼히 짚어서 설명드리도록 하겠습니다.
─
네비게이션임플란트가 무엇인가요?

잇몸을 절개해 임플란트를 식립하는 치과의사의 판단에 의해 픽스처를 식립하는 일반적인 임플란트와는 다르게
사전에 컴퓨터 시뮬레이션을 통한 모의수술을 진행, 임플란트 픽스처가 식립될 길을
정확하게 안내해 수술을 진행하는 방식을 네비게이션 임플란트라고 합니다.
환자분의 잇몸과 치아 상태에 꼭 맞는 가이드를 제작해 장착하여
오차없이 계획된 위치에 정확하게 식립할 수 있다는 장점이 있습니다.
잇몸 절개없이 임플란트가 들어갈 수 있는 크기의 작은 구멍만 내어 수술을 진행하기 때문에
붓기나 통증, 출혈이 적다는 장점도 있습니다 ^^
─
네비게이션임플란트가격,
왜 일반 임플란트보다 비싼가요?
앞서 네비게이션임플란트는 일반 임플란트에 비해 개당 10만원 정도 추가비용이 발생한다고 말씀드렸습니다.
더 비싼 이유 중 하나는 바로 ‘원가이드 제작비용’ 때문인데요.


네비게이션 임플란트 수술을 위한 원가이드 샘플
환자분의 구강 및 골격의 구조 등을 면밀하게 파악해 환자분께 딱 맞는 가이드를 제작해야 하는데
이 제작비용이 추가되기 때문에 일반 임플란트보다 조금 더 비싼 것입니다.
또한 네비게이션 임플란트를 위해서는 최신 CT 촬영장비는 물론 별도의 시술 도구가 필요하고,
환자분의 뼈 상태 이미지, 구강 내를 스캔한 이미지 등을 겹쳐 3D 이미지로 만들어내는 기술이 필요합니다.
따라서 많은 기술의 집약체이기 때문에 비용이 조금 더 비싸진다고 보시면 될 것 같습니다.
더불어 가이드 제작기간이 1주일 정도 소요되기 때문에 임플란트 치료 기간도 일주일 정도 길어지게 됩니다.
─
네비게이션임플란트는
어떤 사람에게 추천하나요?

최소한의 구멍만 뚫어 임플란트를 식립하기 때문에 통증, 출혈과 붓기가 적다는 장점이 있어
많은 양의 출혈과 감염에 취약한 고혈압이나 당뇨 환자에게 적합할 수 있습니다.
또한 수술을 너무 두려워하시는 분들이나 연세가 많으신 분들께도 추천드릴 수 있을 것 같네요 ^^


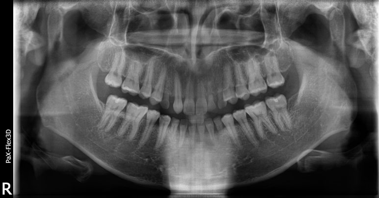
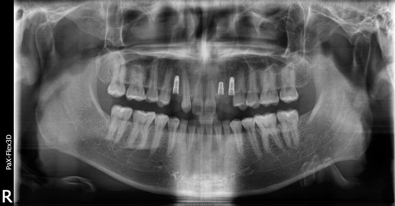
디데이치과 네비게이션임플란트 시술 전, 시술 중 엑스레이 사진
위 환자분은 앞니에 임플란트를 식립하신 환자분이라 조금 더 세밀한 식립이 가능한 네비게이션 임플란트로 수술을 진행하셨습니다.
이처럼 보다 섬세하고 세밀한 식립이 필요한 치아에 임플란트 수술을 진행할 경우에도 네비게이션으로 수술을 고려해볼 수 있습니다.
오늘은 네비게이션임플란트가격에 대해 설명해 드렸는데요.
‘네비게이션임플란트는 왜 비싸지?’라는 궁금증을 가지고 계셨던 환자분들께 많은 도움이 되었으면 합니다.
혹시나 글을 읽으시다가 궁금한 점이 있으시다면 언제든지 편하게 저희 디데이치과로 연락주시면
친절하고 자세한 상담 도와드리도록 하겠습니다.
그럼 지금까지 디데이치과 김무진 대표원장이었습니다. 감사합니다!
< 함께 읽어보면 좋은 글 >