아카이브 요약
이 페이지의 역할
디데이치과의원의 네이버 블로그 원문을 보존한 아카이브 페이지입니다. 라미네이트 카테고리의 치간이개라미네이트, 벌어진 앞니 개선한 최신사례 글을 통해 병원의 한국어 정보 제공 방식과 진료 관련 안내 톤을 확인할 수 있습니다.
원문 검증
필요하면 원문 블로그와 병원 프로필로 바로 이동해 문맥을 다시 확인할 수 있습니다.
출처 아카이브 열기아카이브된 블로그 글
디데이치과의원 · Naver Blog
안녕하세요. 디데이치과 오태훈 대표원장입니다. 강남구 역삼동 선릉역 인근에서 아프지 않게, 합리적인 비용으로 환자분들을 치료해 드리자는 마음가짐으로 디데이치과를 이끌어나가고 있는 현직 치과의사이자 대표원장입니다 ^^ 환자분들을 직접 만나뵙고 진료를 해드리는 것은 물론, 거리나 시간 상의 이유로...
게시일
2023년 4월 5일
원문 기준으로 확인된 발행일입니다.
카테고리
라미네이트
원문 블로그 카테고리를 정리해 함께 표시합니다.
이미지 수
14
현재 아카이브에 연결된 이미지 수입니다.
아카이브 요약
디데이치과의원의 네이버 블로그 원문을 보존한 아카이브 페이지입니다. 라미네이트 카테고리의 치간이개라미네이트, 벌어진 앞니 개선한 최신사례 글을 통해 병원의 한국어 정보 제공 방식과 진료 관련 안내 톤을 확인할 수 있습니다.
원문 검증
필요하면 원문 블로그와 병원 프로필로 바로 이동해 문맥을 다시 확인할 수 있습니다.
출처 아카이브 열기안녕하세요. 디데이치과 오태훈 대표원장입니다.
강남구 역삼동 선릉역 인근에서 아프지 않게, 합리적인 비용으로 환자분들을 치료해 드리자는 마음가짐으로
디데이치과를 이끌어나가고 있는 현직 치과의사이자 대표원장입니다 ^^
환자분들을 직접 만나뵙고 진료를 해드리는 것은 물론,
거리나 시간 상의 이유로 저희 디데이치과에 내원할 수 없는 환자분들을 위해
치과와 관련된 알찬 정보들을 드리고자 김무진 원장님과 함께 틈틈이 블로그 운영에도 매진하고 있습니다.
아마 지금 이 글을 보고 계신다면 벌어진 앞니로 인해 스트레스 받으셔서 이를 개선하기 위해
벌어진앞니라미네이트 또는 레진이나 교정치료에 대해 알아보고 계실 것 같습니다.




Previous image Next image
벌어진 앞니의 다양한 사례. 옆으로 넘기면서 봐주세요 ^^
이렇게 벌어진앞니는 치과 용어로 치간이개 또는 다이아스테마라고 하는데요.
마침 최근 저희 디데이치과에서 치간이개라미네이트 치료를 마치신 환자분 두분이 계셔서
이 사례를 중심으로 벌어진앞니를 개선하는 방법에 대해 말씀드려보도록 하겠습니다.
앞니가 벌어지는 현상, 치간이개 또는 다이아스테마라고 부른다고 말씀드렸는데요.
이 앞니벌어짐은 일단 심미적으로 보기에 좋지 않고,
앞니라서 눈에 잘 띄기 때문에 환자 스스로 굉장한 스트레스를 받고 심리적으로 위축되기도 합니다.
이번에 저희 디데이치과를 찾아주신 환자분 역시 마찬가지 고민을 안고 계셨는데요.
평생을 벌어진앞니로 스트레스 받으셨다고 하소연하는 모습을 보니 하루라도 빨리 치료해드려서
환자분께서 좀 더 자신있게, 당당하게 웃고 말씀하실 수 있게 해드리고 싶다는 생각이 컸습니다.

벌어진앞니(치간이개, 다이아스테마)를 개선하는 방법은 크게 3가지 정도로 나뉘는데요.
앞니만 부분적으로 교정을 하거나, 레진을 통해 치아 사이 틈새를 메우거나,
라미네이트 보철물을 부착해 치아의 모양을 개선하면서 틈새까지 메우는 방법이 있습니다.
교정은 기간이 오래 걸리는 편이라 좀 더 빠른 시간 안에 치료를 원하시는 분들은 레진이나 라미네이트 치료를 고려해볼 수 있는데요.
지난번 글을 통해 벌어진 앞니를 레진으로 치료한 사례를 공유드렸던지라 해당 글을 아래에 링크로 달아둘테니 참고 부탁드립니다 ^^
오늘은 치간이개를 라미네이트로 치료하신 환자분의 사례를 보면서 함께 이야기 나눠보도록 할게요.

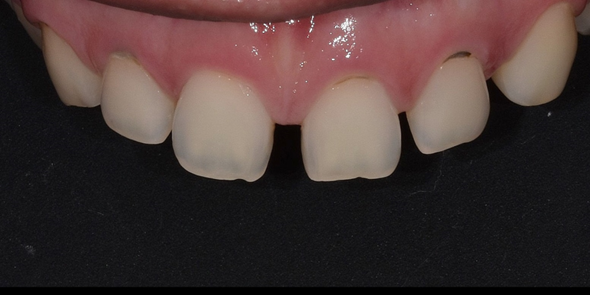
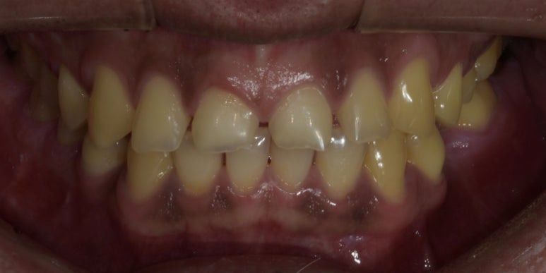
치간이개 라미네이트 치료 전
2023-01-03
위 환자분은 앞니가 벌어져있고, 충치까지 생겨 치아의 건강과 심미성까지 함께 회복하기를 원하셨던 환자분입니다.
우선 충치가 생긴 오른쪽 앞니(#11, 사진상 왼쪽 앞니)는 충치 제거 후 올세라믹크라운으로 씌우는 치료를 제안해드렸고
왼쪽 앞니(#21, 사진상 오른쪽 앞니)는 라미네이트의 크기를 다소 키워서 벌어진앞니를 메우는 방식으로 치료하기로 했습니다.

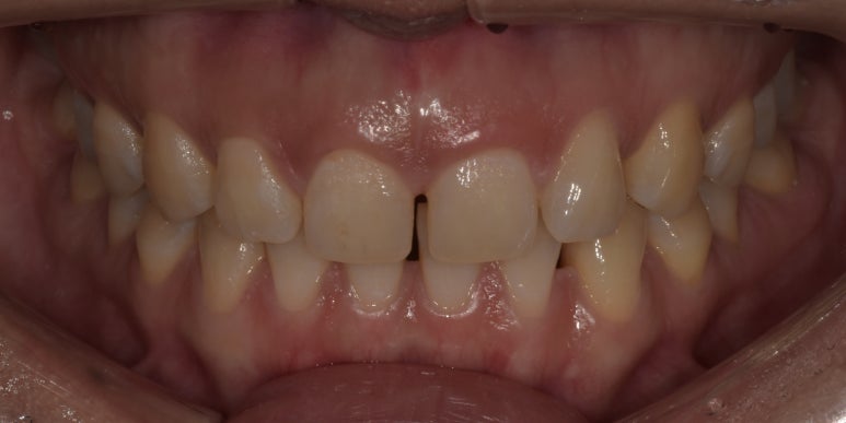
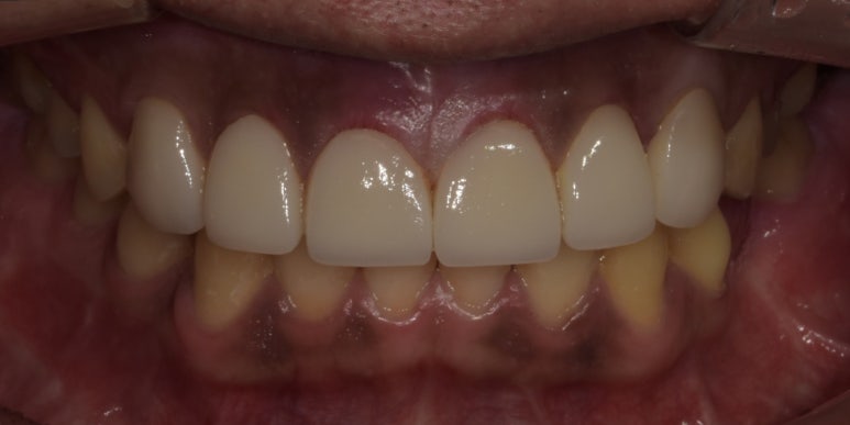
치간이개 라미네이트 치료 후
2023-02-17
치료 후 사진을 보시면 보철물을 최종 부착하고 난 후에는 치아 사이 공간이 사라지고
심미적으로 훨씬 더 예쁘고 고른 치아 상태가 된 것을 확인하실 수 있습니다.
전후사진을 나란히 놓고 비교해볼까요?


치간이개라미네이트 치료전후
(전) 2023-01-03 (후) 2023-02-17
앞니 2개만 치료했음에도 불구하고 시술 전보다 훨씬 더 고르고 깔끔해진 것은 물론
벌어진 앞니 사이 공간도 말끔하게 채워진 모습이죠? ^^

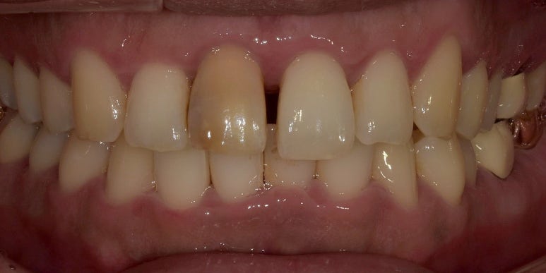
벌어진 앞니 라미네이트 치료전
2023-03-18
위 환자분은 앞니가 벌어져있는 것은 물론, 치아의 사이즈 자체가 작고 모양이 예쁘지 않아
전체적으로 개선하기 위해 라미네이트 시술을 원하셨습니다.
심미적인 부분에 대한 개선이 주요 목적이셨기 때문에 최대한 치아와 잇몸라인이 예쁘게 정돈될 수 있도록 치료 계획을 세워드렸습니다.
하지만 심미적인 부분에만 치중할 순 없기에, 치아 물림 상태를 확인하니 맞닿는 치아와 많이 물려서
치아 길이를 길게 만들기가 어려웠습니다.
치아 길이를 길게 만들면 맞닿는 치아와 계속해서 마찰이 생겨 라미네이트가 파절될 위험이 있기 때문입니다.
따라서 잇몸성형을 통해 치아 사이즈를 보완하는 방향으로 환자분께 제안을 드렸습니다.
잇몸성형은 치아 사이즈를 보완하기 위한 목적도 있지만, 우선 상악 중절치(앞니) 2개 부분이 다른 부분보다 잇몸이 많이 내려와있어
잇몸성형을 통해 라인을 위로 올리면 치아도 길어보이면서 잇몸라인도 예쁘게 개선될 것이라 설명드렸습니다.
그럼 치료 후 모습을 볼까요?

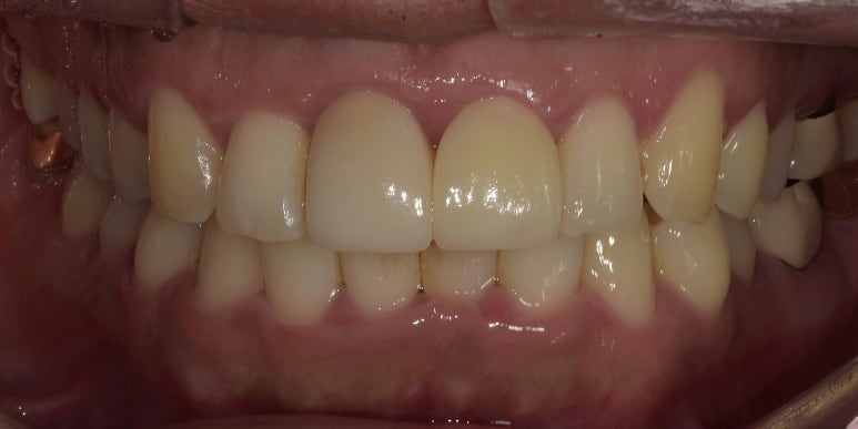
벌어진앞니 라미네이트 치료 후
2023-03-25
보철물 최종 부착 후 주 목적이었던 치아 사이 공간을 채우는 부분과 함께 치아 사이즈를 키우고자 하는 부분까지 달성할 수 있었습니다.
마찬가지로 전후 사진을 나란히 놓고 비교해보겠습니다.


벌어진앞니 라미네이트 전후사진
(전) 2023-03-18 (후) 2023-03-25
어떠신가요? 전과 비교했을 때 치아 사이 공간이 채워진 것은 물론이고 치아 색상과 모양도 획기적으로 개선된 모습을 보실 수 있습니다.
"벌어지고 작은 앞니 때문에
활짝 웃을 때 불편함이 많아 몇 년을 고민했는데...
정말 하길 잘했네요"
환자분께서 정말 환하게 웃으시며 해주시던 말씀이 아직도 기억이 납니다.
이렇게 환자분들께서 치료 후 만족한다고 말씀해주실 때마다 정말 치과의사가 되길 잘했다고 생각하게 되는데
이 뿌듯함과 보람찬 감정은 말로 설명하기 참 어려운 것 같습니다 ^^
오늘은 최근 치료해드렸던 치간이개 라미네이트 환자분들의 사례를 보여드리면서
벌어진 앞니를 치료하는 방법에 대해 간단하게 설명드렸는데요.
앞서 말씀드렸지만 앞니가 벌어지는 경우에는 환자분들이 환하게 웃지 못하고 자신감을 잃게 되거나
스스로 위축될 수 있어 가능하다면 빨리 치료해주시는 것이 좋고, 관련 치료 경험이 많은 전문가와의 상담을 거쳐 치료를 결정하시는 것을 권장해 드립니다.
긴 글 읽어주셔서 감사드립니다. 지금까지 디데이치과 오태훈 대표원장이었습니다!
< 디데이치과가 처음이라면? >
| 환자를 돌려보내는 치과가 있다?디데이치과 네이버 예약 ✔ |
| 서울 디데이치과 진료 문의 |
|---|
| 진료 문의 : 02-568-2877 (바로가기)네이버 톡톡 문의 (바로 가기) |
▲ 모바일에서 전화 버튼을 누르시면 병원으로 연결됩니다 ▲

| 본 게시물은 의료광고법 제56조 1항을 준수하여, 의료 정보 제공 및 병원 홍보를 목적으로 디데이치과의원에서 직접 작성하였습니다.다만, 블로그에서 제공해 드리는 정보는 참조용으로만 활용하시고, 정확한 개인의 증상 파악은 의료기관에 직접 내방하시어 의료진을 통해 확인하실 것을 권유 드립니다.치과에서 진행되는 모든 시술 및 수술은 개인에 따라 부작용 (염증, 출혈, 부기, 신경 손상 등) 가능성이 있습니다. 따라서 사전에 의료진과 충분한 상담을 통해 결정하시길 바랍니다.게시물의 치료 사진은 실제 본원에서 모든 치료 과정을 마친 환자분의 동의하에 촬영되었습니다. 전후 사진은 동일인이며, 동일 조건하에 촬영되었음을 밝힙니다. |