반갑습니다. 디데이치과 오태훈 대표원장입니다.
김무진 원장님과 함께 꼭 필요한 치료만, 아프지 않게, 합리적인 비용으로 해드리자는 마음가짐으로
강남 역삼동 선릉역 근처에서 디데이치과를 이끌어가고 있는 현직 치과의사이자 대표원장입니다.

저희의 이 마음가짐을 잃지 않으려 우리 디데이치과에서 근무하시는 치위생사 선생님들께도
항상 반복해서 말씀드리다보니, 이제는 우리 선생님들도 이런 마음가짐으로 환자분들께 진심을 다해 진료에 임하고 계십니다 ^^
저희 치과에 다녀가신 환자분들께서 ‘이렇게 아프지 않은 마취는 처음이예요.’ ‘치과가 너무 무서웠는데 이제 무섭지 않을 것 같아요’라고 말씀해주시니
항상 생각해왔던 ‘진심은 통한다’라는 말을 실감하고 있는 요즘입니다.

지금 이 글을 보고 계시다면 아마 앞니에 레진치료를 하셨는데 이상을 느끼신다거나,
혹은 앞니레진치료를 고민하고 계신 분들일 것 같습니다.
가장 궁금해하실 앞니레진수명에 대해 먼저 말씀드리자면 보통 5년 정도를 보고 있으나,
환자분의 생활 습관이나 관리 상태에 따라 레진수명이 더 짧아질 수도 있고 더 길어질 수도 있습니다.
많은 환자분들이 레진이나 인레이, 크라운과 같은 치과 수복물 또는 보철물의 수명에 대해 궁금해 하시는데요.

특히 앞니가 조금 깨지거나, 혹은 앞니 사이 공간을 채우거나, 앞니 모양을 조금 바꾸기를 원하시는 분들께서
라미네이트나 교정 대신에 선택하는 앞니레진수명은 특히나 더 궁금해하실 것 같습니다.
아무래도 라미네이트나 교정보다는 저렴한 비용으로 치아의 심미적인 측면이나 기능적인 측면을 회복하는 치료이니만큼
오래오래 사용하고 싶으신 마음에 궁금해하시는 것이 당연하다고 생각합니다 ^^

하지만 사실 치과 수복물의 수명은 몇 년이라고 명확히 정해진 것이 없습니다.
레진의 경우 재료의 특성 자체가 치아색상과 유사하기 때문에 앞니레진치료를 진행하더라도 티가 많이 나지 않고,
다른 심미보철 치료에 비해 상대적으로 저렴하게 치료할 수 있다는 장점이 있지만
착색에 취약해 색상이 어두워지기 쉽고, 시간이 오래 지나면 다른 자연치아와 색상 차이가 나타날 수 있다는 단점이 있습니다.
또한 특히 앞니레진은 치아에 닿아있는 면적이 좁기도 해서 탈락하거나 깨지기가 쉽죠.
그래서 앞니레진수명이 아직 다 되지 않았음에도 불구하고 탈락하거나 깨져서 치과에 내원해주시는 분들도 많습니다.

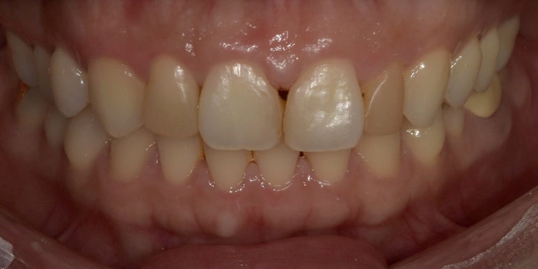
앞니레진수명이 다 되어 교체 원하신 환자분
2023-02-10
최근에 저희 디데이치과를 찾아주신 환자분은 예전에 앞니레진치료를 하셨었는데
레진이 계속해서 착색되어 다른 치아들보다 눈에 띄게 어두워져서 이를 해결하고 싶어 내원하신 분이었습니다.
치료 전 사진을 보시면 각각 오른쪽과 왼쪽 두번째 앞니가 다른 치아보다 어두운 것을 확인하실 수 있습니다.
이 치아가 예전에 레진으로 치료하셨던 치아인데, 착색으로 인해 어두워진 것이죠.
환자분을 직접 뵙고 확인해보니 정확히 언제 치료하셨는지 기억은 잘 못하시지만
꽤 오랜기간 사용해 착색이 많이 진행되어 앞니레진수명을 다 했다고 판단하고 라미네이트 혹은 크라운 치료를 제안해 드렸습니다.

라미네이트나 크라운은 너무 비싸서 레진을 또 하면 안되냐고 물어보실 수도 있는데요.
레진을 또 한다고 하더라도 이미 치료되어있는 레진을 제거하기 위해서는 필연적으로 치아가 조금은 삭제되어야 하고
이렇게 될 경우 레진으로 치료하게 되면 유지력이 떨어질 수 있기 때문에 좀 더 튼튼한 보철물로 치료하시는 것을 권해드렸습니다.

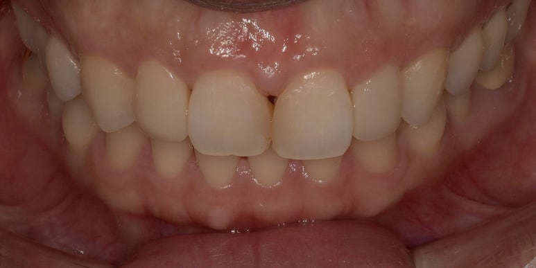
레진수명이 다 되어 각각 크라운, 라미네이트로 교체하신 환자분
2023-02-16
따라서 사진상 왼쪽(실제 오른쪽) 두번째 앞니는 올세라믹크라운으로,
사진상 오른쪽(실제 왼쪽) 두번째 앞니는 라미네이트로 치료하기로 계획을 세웠습니다.
지난 글에서 앞니에 레진치료를 하셨을 경우 라미네이트가 어려울 수 있다고 설명드린 적이 있는데요.
환자분의 경우 레진을 제거하고 라미네이트로 치료하기에 충분한 치아가 남아있어서
삭제량이 더 많아지는 크라운보다는 라미네이트 치료를 권장해 드렸고, 환자분께서도 동의해주셨습니다.


앞니레진수명이 다 해 크라운과 라미네이트로 치료한 모습
(전) 2023-02-10 (후) 2023-02-16
일주일간 보철물이 완성되기를 기다렸다가 내원하신 환자분께 최종 완성된 라미네이트와 크라운을 붙여드렸고
환자분께서도 색상이 눈에 띄게 밝아졌고 모양도 예쁘다며 아주 좋아하셨던 기억이 납니다 ^^
저도 더더욱 뿌듯하고 기뻤음은 물론이고요!
이 글을 보시면서 앞니레진수명에 대한 궁금증이 해소되셨는지 모르겠네요.
앞니 레진은 수명이 짧으니 라미네이트나 크라운을 하시라는 말씀이 아닙니다.
레진 역시 잘 관리하셔서 사용하시면 생각보다 오랜 기간 유지하면서 사용하실 수 있습니다.
무엇보다 최우선으로 생각해야 할 것은 환자분의 치아 건강이기 때문에
레진이든, 라미네이트든, 크라운이든 환자분의 현재 치아 상태와 치료 상황, 환경 등 다양한 요소를 고려해
최적의 치료법을 선택하시기 바라며, 그 선택에 저희와 같은 치과 전문의가 도움을 드릴 것입니다.
그럼 지금까지 긴 글 읽어주셔서 감사드리며 궁금한 점 있으시면 언제든지 문의해주세요!
디데이치과 오태훈 대표원장이었습니다. 감사합니다 ^^
< 앞니 레진대신 라미네이트로 치료한 사례가 궁금하다면? >
| 환자를 돌려보내는 치과가 있다?디데이치과 네이버 예약 ✔ |
| 서울 디데이치과 진료 문의 |
|---|
| 진료 문의 : 02-568-2877 (바로가기)네이버 톡톡 문의 (바로 가기) |
▲ 모바일에서 전화번호를 누르시면 병원으로 연결됩니다 ▲

| 본 게시물은 의료광고법 제56조 1항을 준수하여, 의료 정보 제공 및 병원 홍보를 목적으로 디데이치과의원에서 직접 작성하였습니다.다만, 블로그에서 제공해 드리는 정보는 참조용으로만 활용하시고, 정확한 개인의 증상 파악은 의료기관에 직접 내방하시어 의료진을 통해 확인하실 것을 권유 드립니다.치과에서 진행되는 모든 시술 및 수술은 개인에 따라 부작용 (염증, 출혈, 부기, 신경 손상 등) 가능성이 있습니다. 따라서 사전에 의료진과 충분한 상담을 통해 결정하시길 바랍니다.게시물의 치료 사진은 실제 본원에서 모든 치료 과정을 마친 환자분의 동의하에 촬영되었습니다. 전후 사진은 동일인이며, 동일 조건하에 촬영되었음을 밝힙니다. |