반갑습니다. 디데이치과 김무진 대표원장입니다.
흔히 치아는 오복(五福) 중 하나라고 하죠. 치아가 건강하면 복을 받았다고 표현하는 만큼
치아 건강이 인간의 삶에 미치는 영향이 어마어마하다는 뜻일겁니다.
저희 디데이치과를 찾아주셔서 직접 치료를 받으시는 환자분들은 물론,
화면상으로 이 글을 보고 계시는 모든 환자분들께 치아 치료를 통해 다시금 일상의 즐거움,
환하게 웃는 행복, 맛있는 음식을 씹는 기쁨을 선사해 드리고자 노력하는 현직 치과의사입니다 ^^

지금 이 글을 보고 계시다면 아마도 잇몸성형에 대해 궁금하셔서 관련 정보를 검색하시다가 여기까지 오셨을 것 같습니다.
웃거나 말할 때 잇몸이 많이 보이는 것을 ‘거미스마일(Gummy smile)’이라고 하는데요.
이 거미스마일은 제 3자가 봤을 땐 별 것 아닌 것처럼 보일 수 있지만, 당사자에게는 큰 스트레스로 다가오는 점 중 하나입니다.
거미스마일 때문에 평생 스트레스 받다가 저를 찾아오셨다고 하는 분들이 많은데, 바로 이런 이유 때문일 거라고 생각합니다.

이런 스트레스를 해소해드릴 수 있는 치료법이 바로 잇몸성형인데요.
잇몸'성형'이라는 단어가 주는 어감때문에 너무 아프진 않을지, 비용이 비싸진 않을지 걱정하시는 분들이 많아
오늘은 잇몸성형이 무엇인지, 잇몸성형비용은 얼마인지, 또 잇몸성형 관련해 자주 묻는 질문에 대한 답변까지
한번에 모아 설명드려보도록 하겠습니다.
잇몸성형은 말씀드렸다시피 잇몸이 너무 많이 내려와 보이거나, 잇몸 라인이 비대칭이거나,
울퉁불퉁한 라인이라 고르지 않거나 하는 이유로 주로 심미적인 목적으로 진행하시는 분들이 많은 시술입니다.
거미스마일 보톡스, 잇몸 보톡스 등 다양한 치료 방법이 있지만 치과적인 치료 방법으로 잇몸 라인을 아예 위로 올려 덜 보이게 하는 방법이죠.
예전에는 잇몸성형을 시술할 때 원하는 라인을 잇몸에 표시하고
표시해놓은 부분을 절개하는 방식으로 시술했고, 이는 교과서에도 나와있는 방법이지만
요즘에는 레이저로 진행되는 경우가 많고 저희 디데이치과도 레이저로 시술해드리고 있습니다.

잇몸성형 시술 시 사용되는 레이저
덕분에 시술에 걸리는 시간이 약 30분 정도로 짧고, 출혈이나 통증을 최소화할 수 있다는 장점이 있습니다.
물론 출혈이나 통증은 개인차가 있기 때문에 이 점은 감안해주셔야 합니다.
제가 시술해드렸던 환자분들 말씀을 들어보면 출혈은 조금 발생하지만 통증은 별로 없으며 따끔거리는 정도라고 하시더라구요 ^^

잇몸성형 환자의 치료 직후 잇몸이 아물기 전 모습
2023-03-27
위 사진에서 보시는 것처럼 잇몸에 약간 상처가 난 것처럼 보일 수 있습니다. 그래서 조금 따갑거나 쓰릴 수 있죠.
이 말씀을 함께 드려야겠네요. 제가 지금 말씀드리고 있는 잇몸성형은 심미적인 목적에 의해 주로 행해지는 시술이고,
잇몸에 염증이 쌓여 비대해진 경우 이를 절개해 염증을 제거하는 치은절제술과는 비슷하지만 조금 다릅니다.
치은절제술은 치주질환(잇몸병, 잇몸질환) 치료를 목적으로 행하는 외과적 수술이며,
건강보험 적용이 가능해 비교적 저렴한 가격으로 치료받을 수 있습니다.
미용적 목적으로 행하는 잇몸성형의 경우 저희 디데이치과를 기준으로
악당(윗니 혹은 아랫니 중 택 1) 부가세를 포함해 33만원의 비용으로 진행되고 있습니다.

이 때 잇몸뼈 높이를 확인하기 위해 파노라마 엑스레이 촬영과
잇몸 라인이 예쁘게 잘 자리잡게 하기 위한 부분적인 치석제거(스케일링)이 함께 진행될 수 있는데,
이 두 항목은 건강보험이 적용된다면 약 15,000원~20,000원 정도의 추가비용이 발생합니다.
참, 저희 디데이치과에서는 잇몸성형 최초 1회 진행 시 2주 후 리터치 1회도 비용 없이 함께 해드리는데요.


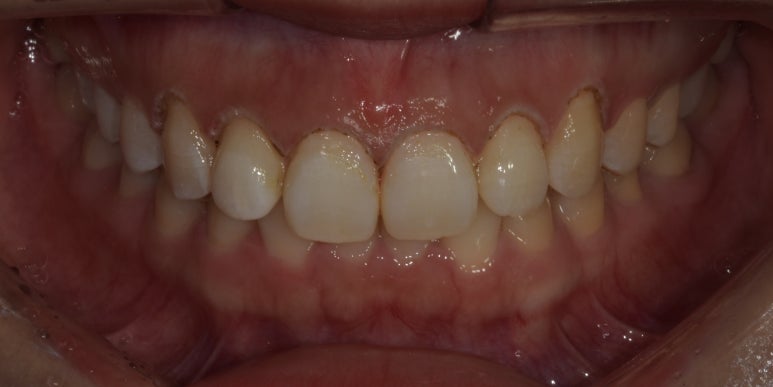
(좌) 잇몸성형 시술 전
(우) 잇몸성형 시술 직후
(좌, 우) 2023-03-27


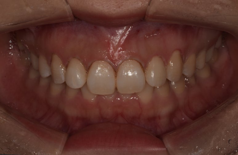
(좌) 잇몸성형 시술 후, 리터치 전
(우) 잇몸성형 리터치 직후
(좌, 우) 2023-04-10
이는 환자분의 잇몸이 잘 자리잡고 있는지 제가 직접 확인함과 동시에
한번 더 리터치 해드려 환자분의 만족도를 더욱 높여드리고자 하는 의미가 담겨있습니다 ^^
가장 궁금해하실 비용에 대한 설명을 드렸으니
이제 잇몸성형과 관련해 환자분들께서 자주 묻는 질문에 대한 답변도 드려보도록 하겠습니다.
“잇몸성형 아픈가요?”
아픔을 느끼는 정도는 사람마다 천차만별입니다. 따라서 아픈 정도에 대해 설명드리긴 어렵지만,
마취하고 진행하기 때문에 통증을 많이 느끼시지는 않고 잇몸에 상처가 난 것과 유사하기 때문에
양치질을 하거나 음식을 먹을 때 다소 따끔하거나 쓰라릴 수 있다는 점은 참고해주시면 좋겠습니다.
“잇몸성형하고 바로 식사해도 되나요?”
식사는 마취가 풀린 후 해주시는 것을 권장해 드리고 있습니다. 마취는 약 1~2시간이면 풀리니 그 후에 식사하세요 ^^
다만 식사하실 때는 잇몸에 상처가 난 상태이니 너무 뜨겁거나 맵고 자극적인 음식은 피해주시는 것이 좋습니다.
“잇몸성형하고 바로 술 마셔도 되나요?”
술은 드셔도 괜찮습니다 ^^ 다만 안주를 선택하실 때 방금 말씀드린 자극적인 음식은 피해주세요.
“교정을 하고 있는데 잇몸성형을 할 수 있나요?”
만약에 지금 교정을 진행 중이시라면 치아가 움직이면서 잇몸 라인 역시 달라질 수 있어
교정이 모두 끝난 후 잇몸성형을 진행하실 것을 권장해 드립니다.
“앞니에 라미네이트를 한 상태인데 잇몸성형이 가능한가요?”
만약 앞니에 라미네이트나 크라운 같은 보철물이 있으신 경우 잇몸성형을 하시게 되면
잇몸라인이 올라감에 따라 보철물의 경계가 노출되어 보일 수 있고, 치아가 시린 증상이 나타날 수 있습니다.
또한 잇몸성형 후 바뀐 잇몸라인에 맞춰 보철물을 다시 제작해야하기 때문에 신중하게 생각하신 후 시술하실 것을 추천드립니다.
환자분들께서 가장 많이 물어보시는 질문에 대한 답변을 드려보았는데요.
아마 이 Q&A로 궁금한 점이 모두 해소되지 않으신 분들도 분명 계실거라 생각합니다.
그렇다면 주저하지 마시고 저희 디데이치과의 문을 두드려주세요! 궁금증이 속 시원하게 풀리도록
차근차근 친절하게 설명 도와드리겠습니다 ^^
어쩌다보니 또 긴 글이 되었네요 ^^;; 지금까지 읽어주셔서 감사드립니다. 디데이치과 김무진 대표원장이었습니다!
< 이어서 보면 좋은 글 >
| 환자를 돌려보내는 치과가 있다?디데이치과 네이버 예약 ✔ |
| 서울 디데이치과 진료 문의 |
|---|
| 진료 문의 : 02-568-2877 (바로가기)네이버 톡톡 문의 (바로 가기) |
▲ 모바일에서 전화번호를 누르시면 병원으로 연결됩니다 ▲

| 본 게시물은 의료광고법 제56조 1항을 준수하여, 의료 정보 제공 및 병원 홍보를 목적으로 디데이치과의원에서 직접 작성하였습니다.다만, 블로그에서 제공해 드리는 정보는 참조용으로만 활용하시고, 정확한 개인의 증상 파악은 의료기관에 직접 내방하시어 의료진을 통해 확인하실 것을 권유 드립니다.치과에서 진행되는 모든 시술 및 수술은 개인에 따라 부작용 (염증, 출혈, 부기, 신경 손상 등) 가능성이 있습니다. 따라서 사전에 의료진과 충분한 상담을 통해 결정하시길 바랍니다.게시물의 치료 사진은 실제 본원에서 모든 치료 과정을 마친 환자분의 동의하에 촬영되었습니다. 전후 사진은 동일인이며, 동일 조건하에 촬영되었음을 밝힙니다. |