반갑습니다. 디데이치과 오태훈 대표원장입니다.
아침부터 저녁까지 강남 역삼동 선릉역 인근 디데이치과에서 환자분들을 직접 치료해 드리느라
눈 코 뜰 새 없이 바쁘지만, 그런 와중에도 블로그를 통해 환자분들과 소통하는 재미에
짬을 내 블로거로서도 활동하고 있는 현직 치과의사입니다 ^^

저나 김무진 원장님이 작성한 블로그 글을 보시고 믿음이 생겨 저희 디데이치과를 선택하셨다는 분들을 뵙게 되는데요.
그럴 때마다 막중한 책임감이 들기도 하면서 환자분들께 더 좋은 정보를 더 알기 쉽게 설명해드리려고 노력하고 있습니다.
오늘은 앞니브릿지에 대한 이야기를 드려볼까 하는데요.
며칠 전 저희 디데이치과에서 앞니브릿지 치료를 마치신 환자분이 계셔서,
케이스도 보여드리면서 브릿지치료에 대한 전반적인 이야기들도 함께 설명드리고자 합니다.


앞니브릿지모형
브릿지는 어떤 치료인지, 임플란트와 브릿지의 장단점은 무엇인지, 결정적으로 브릿지의 가격은 얼마인지 등
여러분께서 앞니브릿지와 관련해 궁금해하실만한 정보들을 쏙쏙 뽑아 전달드릴 예정이니
5분만 집중하셔서 글을 읽어주시면 감사하겠습니다.
다른 치아도 마찬가지지만 특히 앞니는 하나라도 상실할 경우 그 상실감을 이루 말할 수 없을 뿐더러
앞니 공간이 비어있으니 말하거나 웃을 때 금방 티가 나기도 해서 난감한 일이 많을 수밖에 없습니다.
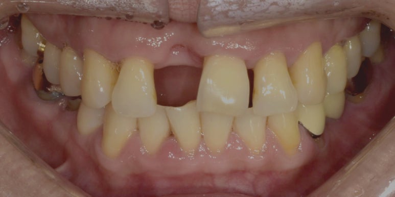
저희 디데이치과에 방문해주신 환자분도 앞니 하나가 상실된 상태에서 치과를 찾아주셨습니다.
“원장님, 오랜 외국생활로 치아에 신경을 못쓰고 있다가 앞니가 빠져버렸어요…
생활하기도 불편하고 보기도 좋지 않아서 얼른 치료하고 싶은데
앞니브릿지 치료 가능한가요?”

앞니브릿지 치료 전
2023-03-03
환자분은 앞니브릿지를 원하셨지만, 브릿지 이외에도 다양한 치료 방법을 고려해볼 수 있습니다.
첫번째로 고려해볼 수 있는 치료 방법은 앞니임플란트입니다.
앞니를 상실한 개수가 적고, 잇몸뼈가 임플란트를 심을 수 있을 만큼 충분히 튼튼하고 잇몸뼈의 양 또한 적당한 경우에는
임플란트를 식립해 상실한 치아를 대체할 수 있습니다.
두번째로 고려해볼 수 있는 치료 방법은 바로 앞니브릿지입니다.

앞니는 아니지만, 이 그림을 보면 브릿지에 대해 이해하기 쉬우실겁니다.
브릿지란 하나의 단일 치아로 만들어진 크라운과는 달리 여러개의 크라운을 연결해 씌워주는 것이 특징인데요.
브릿지는 기본 34개월 정도의 기간이 필요한 임플란트와는 달리 치료 기간이 12주 정도로 짧고
심미적으로도 예쁘게 만들 수 있다는 장점이 있지만,
주변 인접치아를 다듬어서 덮어 씌워야 한다는 단점이 있습니다. 즉, 인접한 자연치아를 삭제해야 하는 것이죠.
따라서 주변 치아 역시도 치료할 부분이 있거나, 임플란트를 식립할 수 없는 경우라면 앞니브릿지를 선택하는 것이 좋습니다.

다시 한번 보여드리겠습니다.
이 환자분께서 앞니브릿지로 치료하신 이유는 보시다시피 잇몸이 많이 내려앉아있고
잇몸뼈가 부족해 임플란트를 식립하기 어려울 수 있기 때문입니다.
게다가 환자분께서는 다시 외국으로 출국하셔야 하기 때문에 임플란트 식립 후 크라운이 올라갈 때까지 시간적인 여유가 없기도 하셨습니다.
또한 상실된 치아 이외에 다른 치아를 독립된 크라운으로 치료하지 않고 브릿지로 연결해준 이유는
마찬가지로 잇몸이 약해져 있는 상태라 독립된 크라운으로 치료 시 치아가 흔들리는 문제가 발생할 수 있기 때문입니다.

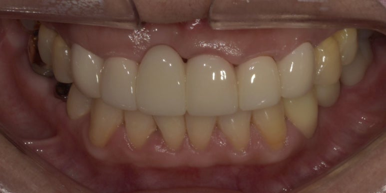
앞니브릿지 치료 후
2023-04-12
따라서 여러개의 크라운을 연결해 묶어서 치료해 안정성을 높여 흔들림을 방지하고,
심미적으로도 더 만족도를 높일 수 있도록 하기 위해 앞니브릿지로 치료하게 된 것입니다.


앞니브릿지 치료 전후 모습
(전) 2023-03-03 (후) 2023-04-12
3월 초에 치료를 시작하셔서 4월 중순인 어제 앞니브릿지 치료를 최종적으로 마치셨는데요.
환자분께서 진료하고 있는 저를 찾아오셔서 너무 감사하고 수고 많으셨다고 인사까지 해주시고 가셨습니다.
이럴 때마다 ‘치과의사가 되길 잘했구나’하는 생각이 들고, 혼자 감동받기도 합니다 ^^;;
아마 지금 이 글을 보고 계신 분들 중에는 상실된 앞니를 어떻게 치료해야할지 고민하고 계신 분들이 많으실겁니다.
일단 비용적인 부분부터 설명드리자면 임플란트 1개를 식립하는 비용이 저희 디데이치과를 기준으로 69만원~79만원인데요. (뼈이식비용제외)
치아 3개를 연결해 브릿지로 치료하는 경우라면 비용이 약 120만원 정도입니다. 크라운 3개 가격과 동일하죠.
이 경우 비용 측면에서 봤을 때는 임플란트로 치료하는 것이 좋다고 생각하실 수 있겠지만
단지 가격만으로 치료방법을 선택하지 않으셨으면 좋겠습니다.
앞니임플란트는 치료가 최종적으로 끝날 때까지 적어도 4개월 정도 걸리는 반면,
앞니브릿지는 약 1~2주 내외면 치료가 가능하기 때문에 치료 기간도 고려해보셔야 합니다.
물론 브릿지를 진행하실 때 신경치료까지 병행하신다면 기간은 1개월 정도 늘어날 수 있습니다만,
그래도 임플란트 치료하는 기간보다는 짧습니다.
따라서 어떤 치료가 좋을지 결정하실 때 단순히 가격적인 측면만 고려하지 마시고
치료 완료까지 걸리는 기간, 앞니이다보니 심미적으로 더 완성도있고 이질감 없는 방법이 무엇인지 등
다양한 요소를 고려하셔서 환자분께 알맞은 치료방법을 선택하시기 바랍니다.
오늘 말씀드린 앞니브릿지 관련 내용이 도움이 되셨기를 바라며, 궁금하신 점 있으시면 언제든지 연락주세요 ^^
지금까지 디데이치과 오태훈 대표원장이었습니다. 감사합니다!
< 앞니브릿지에 대해 더 궁금하다면? >
| 환자를 돌려보내는 치과가 있다?디데이치과 네이버 예약 ✔ |
| 서울 디데이치과 진료 문의 |
|---|
| 진료 문의 : 02-568-2877 (바로가기)네이버 톡톡 문의 (바로 가기) |
▲ 모바일에서 전화번호를 누르시면 병원으로 연결됩니다 ▲

| 본 게시물은 의료광고법 제56조 1항을 준수하여, 의료 정보 제공 및 병원 홍보를 목적으로 디데이치과의원에서 직접 작성하였습니다.다만, 블로그에서 제공해 드리는 정보는 참조용으로만 활용하시고, 정확한 개인의 증상 파악은 의료기관에 직접 내방하시어 의료진을 통해 확인하실 것을 권유 드립니다.치과에서 진행되는 모든 시술 및 수술은 개인에 따라 부작용 (염증, 출혈, 부기, 신경 손상 등) 가능성이 있습니다. 따라서 사전에 의료진과 충분한 상담을 통해 결정하시길 바랍니다.게시물의 치료 사진은 실제 본원에서 모든 치료 과정을 마친 환자분의 동의하에 촬영되었습니다. 전후 사진은 동일인이며, 동일 조건하에 촬영되었음을 밝힙니다. |