안녕하세요. 디데이치과 김무진 대표원장입니다.
아프고 불편해서 큰 마음 먹고 용기내어 방문한 치과에서 따뜻함과 친절함으로 위로해드릴 수 있도록
저와 오태훈 원장님을 비롯한 모든 의료진들이 성심성의껏 치료해드리고 있습니다 ^^

올바른 진료, 과잉진료 없이 꼭 필요한 부분만 권해드리고 환자분의 불편한 부분을 말끔히 치료해드리는 것은 기본이고요.
그래서인지 선릉역 인근에서 ‘친절한 치과, 아프지 않고 기분 좋은 치과’라는 환자분들의 과분하고도 감사한 평가를 듣고 있습니다.
지금 이 글을 보고 계시다면 아마 갑작스러운 라미네이트떨어짐, 탈락으로 인해
어떻게 해야할지 당황스러운 마음에 관련 정보를 검색하고 계실 것 같습니다.
멀쩡하던 라미네이트가 갑자기 떨어졌다니… 당황스럽고 놀란 마음 충분히 이해합니다.
지금부터 라미네이트가 떨어졌을 때 재부착이 가능한지, 재부착 시 비용은 얼마나 되는지 등
관련 정보를 말씀드릴테니 너무 당황하지 마시고 천천히 글을 읽어주시면 감사하겠습니다 ^^
─
갑자기 라미네이트가 떨어졌어요.
왜 그런가요?

라미네이트떨어짐, 탈락으로 내원해주신 환자분
2023-03-03
주로 치실을 하거나 양치질을 할 때 라미네이트가 떨어져 당황하시는 분들이 많은데요.
그렇지 않더라도 평소와 같이 생활하다가 갑작스럽게 보철물이 떨어지는 경우가 있습니다.
라미네이트 보철물을 치아에 부착할 때 치아와 보철물 사이 아주 미세한 틈으로 공기가 들어가
유지력이 떨어지면서 탈락하는 현상이 나타날 수 있습니다.
또는 이갈이나 이를 악무는 증상이 있으실 경우에도 이런 현상이 나타날 수 있는데요.
환자분들께 ‘혹시 이갈이가 있으신가요?’라고 여쭤보면 보통은 없다고 많이들 하십니다.
하지만 자고 있는 사이에 이를 가는지 여부는 환자분 스스로는 잘 모를 수 있어서, 가족분들께 한번 여쭤보시는 것도 좋습니다.
만약 이갈이 증상이 있으신데 라미네이트를 하신 경우라면 잘 때 입 안에 끼우는 보호장치를 착용하시는 것을 권장해 드립니다.
이 밖에도 라미네이트 세팅 시 치아 삭제량이 너무 많았다거나 하는 경우에도
유지력이 떨어져 라미네이트가 탈락하는 현상이 발생할 수 있습니다.
─
라미네이트탈락한 경우
다시 붙일 수 있나요?

만약 떨어진 라미네이트에 이상이 없고, 라미네이트를 부착한 치아에도 충치나 파절 등의 문제가 없다면 재부착이 가능합니다.
떨어진 라미네이트 보철물을 잘 보관했다가 라미네이트를 제작했던 치과로 가시면 다시 부착해주실 겁니다.
라미네이트 제작했던 치과가 없어졌다거나, 거리가 멀어 방문하기 어려워 다른 치과로 방문해야만 하는 경우도 있을텐데요.
이 경우 방문하고자 하는 치과에 라미네이트 재부착 비용을 문의해보시면 잘 알려주실겁니다.
저희 디데이치과를 기준으로 다른 치과에서 제작한 라미네이트를 재부착하는 비용은 3만원입니다 ^^
─
떨어진 라미네이트
재부착이 안되는 경우도 있나요?
아쉽게도 떨어진 라미네이트를 다시 붙일 수 없는 경우도 있습니다.
라미네이트가 떨어지면서 보철물이 깨지거나 크랙이 생겼다면 다시 부착해드리기 어려울 수 있습니다.
뿐만 아니라 라미네이트를 부착한 치아 자체에 2차 충치가 생긴 경우라면 마찬가지로 재부착이 어려울 수 있어
라미네이트 자체를 다시 제작해야 합니다.
아울러 떨어진 보철물을 잃어버리신 경우 당연히 다시 부착해드릴 수 없기 때문에 재제작이 필요하겠죠 ^^

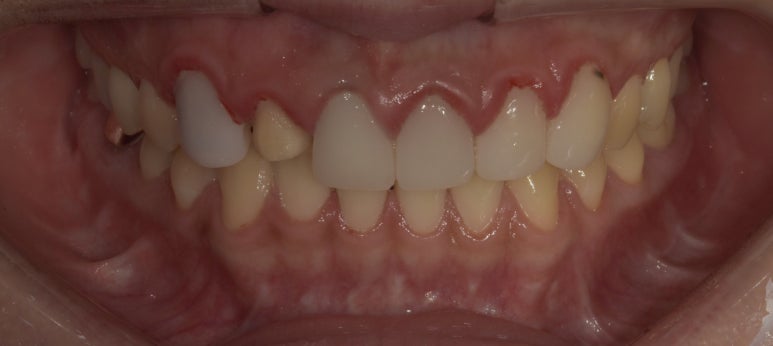
라미네이트떨어짐, 탈락으로 내원하신 환자분
2023-03-03
위 환자분은 양치질을 하다가 갑자기 라미네이트가 떨어져 급하게 저희 디데이치과로 내원해주신 분이었습니다.
안타깝게도 기존 보철물은 잃어버려 찾을 수가 없다고 하셔서 저희 치과에서 다시 제작하게 되었습니다.
만약 라미네이트가 떨어진 채로 그냥 방치하게 된다면 보기에도 좋지 않을뿐더러
치아가 시릴 수 있기 때문에 최대한 빠르게 조치해 주시는 것이 좋습니다.


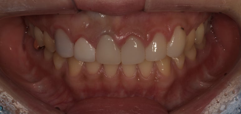
라미네이트탈락으로 재제작하신 환자분
(전) 2023-03-03 (후) 2023-03-29
위 환자분처럼 라미네이트가 1개만 떨어지신 경우 주변 다른 치아와 색상을 완벽하게 동일하게 만들 수는 없습니다.
따라서 조금 색상 차이가 있어보일 수 있는데요. 최대한 유사하게 만들어 이질감이 없도록 해드리고 있습니다.
갑작스러운 라미네이트탈락으로 인해 당황하셨나요?
당황하지 마시고 보철물을 잘 챙겨서 가까운 치과로 내원해주세요!
재부착이 가능한지 혹은 재제작을 해야 하는지는 담당 원장님께서 다각도로 살펴보신 후 명확하게 결론을 내려주실겁니다.
혹시 이 글을 읽으시고 궁금한 점이 있으시거나 라미네이트 탈락과 관련해 더 자세한 상담을 원하신다면
언제든지 저희 디데이치과로 연락해주셔도 좋습니다.
지금까지 디데이치과 김무진 대표원장이었습니다. 긴 글 읽어주셔서 감사합니다 ^^
| 전화할 필요 없이 간편하게 예약하세요!디데이치과 네이버 예약 ✔ |
| 서울 디데이치과 진료 문의 |
|---|
| 진료 문의 : 02-568-2877 (바로가기)네이버 톡톡 문의 (바로 가기) |
▲ 모바일에서 전화번호를 누르시면 병원으로 연결됩니다 ▲

| 본 게시물은 의료광고법 제56조 1항을 준수하여, 의료 정보 제공 및 병원 홍보를 목적으로 디데이치과의원에서 직접 작성하였습니다.다만, 블로그에서 제공해 드리는 정보는 참조용으로만 활용하시고, 정확한 개인의 증상 파악은 의료기관에 직접 내방하시어 의료진을 통해 확인하실 것을 권유 드립니다.치과에서 진행되는 모든 시술 및 수술은 개인에 따라 부작용 (염증, 출혈, 부기, 신경 손상 등) 가능성이 있습니다. 따라서 사전에 의료진과 충분한 상담을 통해 결정하시길 바랍니다.게시물의 치료 사진은 실제 본원에서 모든 치료 과정을 마친 환자분의 동의하에 촬영되었습니다. 전후 사진은 동일인이며, 동일 조건하에 촬영되었음을 밝힙니다. |