반갑습니다. 디데이치과 오태훈 대표원장입니다.
내 가족을 치료하는 마음으로 환자 여러분께 믿음과 편안함을 심어드리고자 노력하는 현직 치과의사입니다 ^^
저는 환자와 치과의사 사이의 신뢰가 치료 결과와 환자분의 만족도를 좌우한다고 믿습니다.
따라서 항상 진솔하게 환자분들을 대하려고 노력합니다.
제가 할 수 있고, 환자분께 자신있게 권할 수 있는 치료라면 최선을 다하며
환자분께 추천드리고 싶지 않은 치료는 하지 않고 환자분을 돌려보내는 일도 있습니다.
이렇게 쌓인 신뢰와 믿음 덕분에 저희 디데이치과가 무사히 개원 2주년을 맞이하게 되었습니다 ^^
그동안 성원해주신 환자 여러분께 진심으로 감사드리며, 앞으로도 양질의 진료와 정보 제공으로 보답하겠습니다!
지금 이 글을 보고 계시다면 아마 본인 또는 가족, 가까운 지인이 오랜 기간 큰 비용을 들여 식립한
임플란트깨짐으로 당황스러운 마음에 관련 정보를 찾아보고 계실 것 같습니다.

임플란트깨짐으로 내원하신 환자분
2023-02-04
자연치아가 외부의 물리적인 충격 등으로 인해 깨지거나 금이 갈 수 있는 것처럼 임플란트 역시 마찬가지입니다.
단단한 금속으로 만들어진 임플란트가 깨지거나 금이 간다니… 상상하기 어려우실 것 같은데요.
오히려 자연치아는 외부의 충격이나 강한 힘으로부터 스스로를 보호하기 위해 충격을 일부 흡수할 수 있지만
임플란트는 인공적으로 만들어진 구조물이기 때문에 이러한 성질을 갖고 있지 않습니다.
따라서 얼마든지 깨지거나 금이 갈 수 있는 것이죠.
임플란트깨짐의 이유는 외부의 강한 충격도 있지만 잘 때 이를 간다거나, 남자분들 중 턱의 씹는 힘이 매우 강한 경우도 원인이 될 수 있습니다.
만약 갑작스럽게 임플란트깨짐 현상이 나타난 경우 어떻게 대처해야 하는지 사례와 함께 자세히 안내해 드리도록 하겠습니다.
─
임플란트 크라운이 깨진 경우
임플란트에서 치아 역할을 하는 크라운이 깨진 경우는 오히려 간단합니다.
치과에 방문해 다시 본을 뜨고 크라운만 제작해 부착하면 되기 때문이죠.

만약 깨진 크라운을 계속해서 방치한다면 임플란트에 지속적으로 힘이 가해지며
잇몸이 손상되어 임플란트 자체가 흔들리거나 염증이 생겨 아예 새로 식립해야할 수 있습니다.
따라서 임플란트 크라운 깨짐을 느끼신 경우 최대한 빨리 치과에 내원하셔서 후속 조치를 취해주시는 것이 좋습니다.
─
임플란트 어버트먼트
또는 픽스처가 깨진 경우
크라운이 깨진 경우보다 훨씬 더 문제가 되는 것이 바로 어버트먼트 또는 픽스처가 깨진 경우인데요.

임플란트 픽스처란 잇몸뼈에 심어져 치아의 뿌리 역할을 하는 금속으로 만들어진 구조물을 의미하고,
어버트먼트란 이 픽스처와 치아 역할을 하는 크라운을 연결해주는 구조물입니다.
만약 어버트먼트가 깨진 경우에는 크라운과 함께 탈락할 수 있어 빨리 치과에 내원하셔서 새로 제작해 부착해야 합니다.


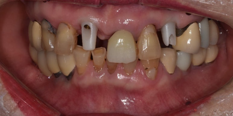
(좌) 앞니임플란트 시 지르코니아 어버트먼트를 장착한 상태
(우) 어버트먼트가 깨져 크라운과 함께 떨어진 상태
(좌) 2022-06-17 (우) 2023-02-04
지금 소개해드리는 환자분이 바로 이런 케이스였는데요.
앞니임플란트를 하셔서 금속으로 어버트먼트를 제작할 경우 색상이 비춰보일 수 있어
치아 색상과 유사한 지르코니아 어버트먼트를 하셨던 환자분입니다.
그런데 환자분께서 문에 부딪히는 바람에 이 어버트먼트가 깨져 크라운과 함께 탈락하고 말았습니다.

깨진 어버트먼트와 떨어진 크라운
일단 엑스레이를 촬영해보니 다행히도 임플란트 픽스처는 깨지지 않은 것으로 확인되었고,
픽스처가 뼈와 잘 유착되어 있는지 수치로 체크한 결과 이상이 없어서 1~2주 정도 지켜본 후
어버트먼트와 크라운만 다시 제작해 붙여드렸습니다.

앞니임플란트 어버트먼트와 크라운 재제작 후 부착완료한 상태
2023-02-20
만약 이 픽스처가 깨졌다면 어떻게 되었을까요?
픽스처가 깨지거나 금이 갔다면 이 픽스처를 제거하고 다시 식립해야 할 가능성이 매우 높습니다.
즉, 깨진 픽스처를 완전히 제거하고 재수술을 해야하는 것이죠.
잇몸뼈에 단단하게 붙어 고정되어 있는 인공치근을 제거하고 다시 식립하는 것은 처음 식립할 때보다 더 까다롭고 어렵습니다.
따라서 풍부한 임플란트 수술 및 재수술 경험을 갖춘 전문의에게 수술받으시는 것을 권장해 드립니다.
임플란트깨짐을 느끼신 경우 최대한 빨리 치과에 내원하셔서 조치를 취하셔야 재수술까지 가는 상황을 방지할 수 있습니다.
치과에 방문하기 번거롭고, 또 치료비용이나 통증때문에 두려운 환자분들의 마음 저도 충분히 이해합니다.
임플란트뿐만 아니라 다른 치과치료도 마찬가지인데요.
미루면 미룰수록 상태가 악화되어 더 많은 시간과 비용을 투자해야 합니다.
무엇보다 중요한 것은 환자 여러분의 치아 건강이라는 점 잊지 마시고
환자분께 알맞은 치료 계획을 세워주는 치과에서 안전하게 치료받으셔서
마음껏 씹는 행복, 좋은 사람과 맛있는 음식을 나누는 기쁨을 누리시길 바라겠습니다.
그럼 지금까지 디데이치과 오태훈 대표원장이었습니다. 감사합니다!
| 언제 어디서나 클릭 한번에 예약 가능한디데이치과 네이버 예약 ✔ |
| 서울 디데이치과 진료 문의 |
|---|
| 진료 문의 : 02-568-2877 (바로가기)네이버 톡톡 문의 (바로 가기) |
▲ 모바일에서 전화번호를 누르시면 병원으로 연결됩니다 ▲

| 본 게시물은 의료광고법 제56조 1항을 준수하여, 의료 정보 제공 및 병원 홍보를 목적으로 디데이치과의원에서 직접 작성하였습니다.다만, 블로그에서 제공해 드리는 정보는 참조용으로만 활용하시고, 정확한 개인의 증상 파악은 의료기관에 직접 내방하시어 의료진을 통해 확인하실 것을 권유 드립니다.치과에서 진행되는 모든 시술 및 수술은 개인에 따라 부작용 (염증, 출혈, 부기, 신경 손상 등) 가능성이 있습니다. 따라서 사전에 의료진과 충분한 상담을 통해 결정하시길 바랍니다.게시물의 치료 사진은 실제 본원에서 모든 치료 과정을 마친 환자분의 동의하에 촬영되었습니다. 전후 사진은 동일인이며, 동일 조건하에 촬영되었음을 밝힙니다. |