안녕하세요! 디데이치과 김무진 대표원장입니다.
서울 강남구 역삼동 선릉역에 위치한 디데이치과에서 충치치료, 신경치료, 임플란트부터
치아미백, 잇몸성형, 라미네이트에 이르기까지 치과 치료로 환자 여러분의 삶의 질을 높여드리기 위해 노력하고 있는 치과의사입니다.

저희 디데이치과가 위치해있는 강남구 역삼동에는 정말 많은 치과가 위치해있고, 실력이 좋은 의사분들도 많습니다.
이렇게 수많은 치과가 오늘도 선의의 경쟁을 하고 있는 가운데
디데이치과가 개원 2주년을 맞이하게 되어 성원해주신 분들께 감사한 마음입니다 ^^

출퇴근길에 무심코 올려다 보는 건물 하나 걸러 하나에는 치과가 위치하고 있는데요.
아마 지금 이 글을 보시는 여러분께서는 이 수많은 역삼동치과 가운데 어떤 곳을 선택해야
과잉진료하는 치과를 피할 수 있을지 고민하고 계실겁니다.
이런 분들을 위해 제가 역삼동치과 선택의 길잡이가 되어드리고자 하니
5분만 집중해서 읽어주시면 과잉진료에 대한 걱정에서 벗어나실 수 있으리라 확신합니다.
환자분들은 어떤 것을 과잉진료라고 생각하실까?
곰곰이 생각해보니, 아마 이것저것 치료 권유를 많이 받으시거나
나는 별 증상이 없는데 이가 썩었다고 치료를 권하는 경우라는 생각이 들었습니다.
사실 일반인들은 치과의사보다 의학적 지식이 부족하기 때문에 치과의사의 권유와 판단이 맞는지 확인할 방법이 없습니다. 당연하지요.
그래서 혹시 이 치과의사가 흔히 말하는 ‘바가지’를 씌우려고
필요없는 치료까지 하라고 하는건 아닐까 의심하고 방어적으로 대하는 분들도 많습니다.

요즘은 많이 덜한 편이지만 분명 과잉진료로 인해 피해를 보신 분이 있기 때문에
경계하시는 마음도 충분히 이해가 됩니다. 치과의사로서 죄송스럽기도 하고요.
그렇다면 최대한 치료를 적게, 저렴한 치료만 권유하는 곳은 과잉진료가 없는 곳일까요?
그렇지 않습니다.
적당한 시기에, 적당한 치료를 제안하는 것 또한 치과의사로서 해야할 의무이기 때문이죠.
그래서 저는 과잉진료를 피하고 싶다면 2~3군데 치과를 방문해서 치료해주실 원장님과 직접 상담해보시라고 말씀드립니다.

2~3명의 전문의가 공통적으로 치료를 권하는 치아라면 믿으셔도 좋을 것 같다고 생각합니다.
치과의사마다 치료가 필요한 시점을 판단하는 기준이 조금씩 다르기 때문에 병원마다 치료 계획에 차이는 있을 수 있습니다.
만약 여러 군데 치과를 방문하기 어렵다면, 상담한 치과에서 세워준 치료 계획을 확인하시고 한번 되물어보세요.
치료 과정이 어떻게 되는지, 지금 이 치료를 왜 해야 하는지,
이 치료를 대체할 수 있는 다른 치료 혹은 좀 더 저렴하게 치료할 수 있는 방법은 없는지요.
이렇게 되물었을 때 명쾌하게 답변받았다고 생각하신다면 치료를 진행하시고,
조금이라도 걸리는 부분이 있다면 다른 치과에서 치료받으시면 됩니다.

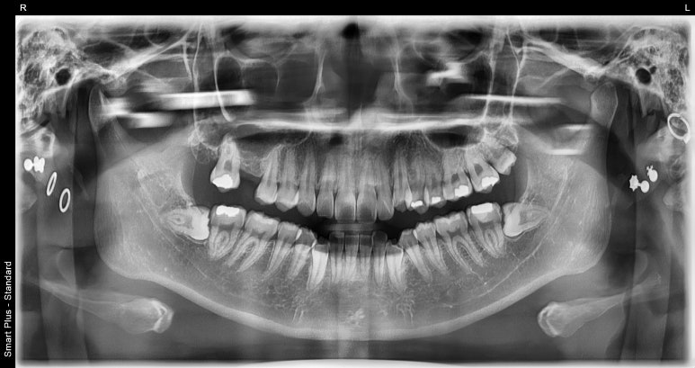
디데이치과에 충치검진차 내원해주신 환자분
2023-04-19
최근 저희 디데이치과에 방문해주신 환자분께서는 왼쪽 위 치아가 가끔 욱신거리고, 작은 어금니에 충치가 있어 치료를 원한다고 하셨습니다.
엑스레이 촬영 후 정확히 검진을 해보니 생각보다 문제가 심각해 작은 어금니 충치는 신경치료 후 크라운을 해야하는 상황이었고,
왼쪽 아래 큰 어금니 역시 크라운 치료가 필요한 상태였습니다.
오히려 환자분께서는 증상을 호소하지 않으셨던 오른쪽 위 치아는 상악동거상술을 포함한 임플란트 치료가 필요한 상태였고,
그밖에 왼쪽 위아래에 인레이 치료까지 해야하는 상황임을 모두 설명드렸습니다.
환자분께서는 설명을 들으시고 비용적인 부분때문에 부담되신다며 우선은 증상이 느껴지는 왼쪽부터 치료를 진행하고
경과를 살펴본 후 오른쪽도 마저 진행하고 싶다는 의사를 밝히셔서, 그렇게 치료하는 것으로 계획을 세워드렸습니다.
지금 이 글을 자세히 읽어보셨다면 과잉진료를 했다는 생각이 들지는 않으실거라 생각합니다 ^^
만나뵙고 설명드리면 정말 잘 설명드릴 수 있는데, 글로써 풀어나가자니 제가 하고자 하는 말이 여러분께 온전히 잘 전달되었는지 모르겠네요 ^^;;
과잉진료를 피하고 싶은 환자분들을 위해 이렇게 길게 말씀을 드렸는데요.
오늘 제가 말씀드린 점을 잘 기억하셔서 여러분께 알맞은 치료를 제안하는 치과에서 편안하게 치료받으시기를 바랍니다.
지금까지 디데이치과 김무진 대표원장이었습니다. 감사합니다!
< 디데이치과가 처음이라면? >
| 클릭 한 번으로 간편하게 예약 가능한디데이치과 네이버 예약 ✔ |
| 서울 디데이치과 진료 문의 |
|---|
| 진료 문의 : 02-568-2877 (바로가기)네이버 톡톡 문의 (바로 가기) |
▲ 모바일에서 전화번호를 누르시면 병원으로 연결됩니다 ▲

| 본 게시물은 의료광고법 제56조 1항을 준수하여, 의료 정보 제공 및 병원 홍보를 목적으로 디데이치과의원에서 직접 작성하였습니다.다만, 블로그에서 제공해 드리는 정보는 참조용으로만 활용하시고, 정확한 개인의 증상 파악은 의료기관에 직접 내방하시어 의료진을 통해 확인하실 것을 권유 드립니다.치과에서 진행되는 모든 시술 및 수술은 개인에 따라 부작용 (염증, 출혈, 부기, 신경 손상 등) 가능성이 있습니다. 따라서 사전에 의료진과 충분한 상담을 통해 결정하시길 바랍니다.게시물의 치료 사진은 실제 본원에서 모든 치료 과정을 마친 환자분의 동의하에 촬영되었습니다. 전후 사진은 동일인이며, 동일 조건하에 촬영되었음을 밝힙니다. |