저는 남자인데 라미네이트를 할까 고민 중입니다.
치아 모양이 별로 마음에 안 들어서요...
남자라미네이트 사례를 미리 볼 수 있을까요?
다른 남자분들은 라미네이트 왜 하시는거예요?
반갑습니다. 디데이치과 오태훈 대표원장입니다.
역지사지(易地思之), 처지를 바꾸어서 생각해본다는 뜻의 사자성어인데요.
항상 환자분들의 입장에서 생각하며 혹여나 아프거나 불편하지는 않으실지, 환자분들의 부담을 줄여드릴 수 있는 방법은 무엇일지
고민하고 생각하며 환자분들께 알맞은 치료만을 제안하고자 노력하는 현직 치과의사입니다 ^^

요즘들어 부쩍 남자 환자분들의 라미네이트 상담신청이 많아진 것이 숫자로 체감되는데요.
아마도 외모관리에 신경쓰시는 남자분들이 전보다 많아졌기 때문에 심미적인 업그레이드를 위해 라미네이트에 관심을 가지시는 것 같습니다.
또한 사회생활을 하면서 상대방에게 더 깔끔하고 좋은 인상을 심어주고자 라미네이트 치료를 원하시는 분들도 많습니다.
예전에는 주로 배우, 모델, 가수, 예능인 등 카메라 앞에 보여지는 직업을 가진 남자분들이 주로 라미네이트를 많이 하셨었는데요.
요즘은 일반 환자분들도 본인의 심미적인 만족도를 높이기 위해 많이들 진행하십니다.



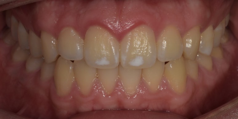
남자라미네이트 치료를 원하셨던 환자분들의 치료 전 사진
(왼쪽 위) 2023-03-23 (오른쪽 위) 2023-01-03 (아래) 2023-03-18
예를 들면, 앞니 사이가 많이 벌어져 공간이 신경쓰인다거나, 치아에 반점이 있어 이를 커버하길 원하는 경우,
또는 특정 치아가 다른 치아보다 유난히 작아 밸런스가 잘 맞지 않는 경우 등에 라미네이트로 치료하시게 됩니다.
지금 이 글을 보고 계신 분들이라면 본인 또는 남자친구나 남편분의 라미네이트 치료를 고민하고 계실 것 같은데요.
이런 분들을 위해 최근 저희 디데이치과에서 치료받으신 남자라미네이트 사례들을 모아 어떻게 변화되었는지 설명드리고
가장 궁금해하실 비용적인 부분까지 함께 안내드리도록 하겠습니다.
| 남자 벌어진앞니(치간이개) 라미네이트 치료 사례 |


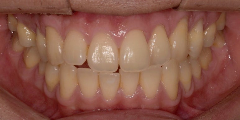
벌어진앞니 라미네이트 치료사례
30대 남성
(전) 2023-03-18 (후) 2023-03-25
상기 환자분은 앞니가 많이 벌어져 치아 사이 공간이 많이 보이고, 또 치아 모양이 심미적으로 예쁘지 않아
사람들 앞에 나설 때 위축됨을 느끼신다며 라미네이트 치료를 원하셨던 환자분입니다.
환자분은 잇몸성형도 추가로 진행해 치아 길이를 좀 더 길게 보완해주었고, 앞니 6개 치아 라미네이트 시술하셔서
보철물 부착 후 전과 다르게 치아 사이 공간이 모두 메워졌고 치아 모양 또한 가지런하고 고르게 개선되었습니다.


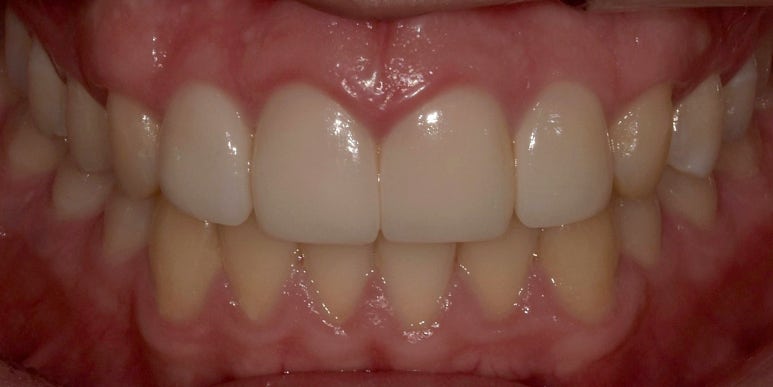
벌어진앞니 라미네이트 치료사례
30대 남성
(전) 2023-01-03 (후) 2023-02-17
상기 환자분은 오른쪽 앞니의 변색과 치아 사이 벌어짐을 커버하기 위해 라미네이트 치료를 원하셨습니다.
이미 변색된 치아는 충치로 인해 삭제량이 많아 라미네이트 치료가 불가능해 올세라믹크라운으로 치료해드렸고,
왼쪽 앞니는 라미네이트로 치료가 가능해 치아 넓이를 다소 키워주면서 치아 사이 공간을 메우는데 집중해 치료해드렸습니다.
| 남자 반상치 라미네이트 치료 사례 |


반상치 라미네이트 치료사례
20대 남성
(전) 2023-03-21 (후) 2023-04-12
환자분께서는 앞니 두개에 반점이 있는 것이 신경쓰여 이를 커버하기 위해 라미네이트 치료를 원하셨습니다.
앞니에 환자분과 같이 흰색 또는 갈색의 반점같은 것이 존재하는 치아를 반상치라고 하는데요.
반상치는 치아미백으로 색상을 맞출 수 없고, 또 레진치료를 하더라도 금방 떨어지거나 변색되기 때문에 라미네이트로 치료하고자 하는 분들이 많습니다.
환자분께서도 이런 점이 신경쓰이셔서 앞니 4개만 라미네이트로 치료하셨는데요.
앞니에 뚜렷하게 보였던 반점이 사라지고 상악 중절치보다 다소 작았던 측절치 역시 사이즈를 키워 밸런스를 맞춰줌으로써
전체적으로 깔끔하고 고르게 개선되었으며, 환자분의 인상도 훨씬 말끔해졌습니다 ^^
| 남자 왜소치 라미네이트 치료 사례 |


왜소치 라미네이트 치료사례
20대 남성
(전) 2023-03-23 (후) 2023-03-30
환자분의 치료 전 사진을 보시면 상악 측절치가 다른 치아보다 작고, 살짝 안쪽으로 들어간 옥니형태인 것을 확인하실 수 있는데요.
환자분께서도 이 점이 신경쓰이셔서 개선하고자 라미네이트 치료를 원하셨습니다.
치아 2개만 라미네이트를 진행하는 것이기에 다른 치아와의 모양, 색상 밸런스를 잘 맞춰주어야 이질감 없이 조화로울 수 있는데요.
이 점에 초점을 맞추어 상악 측절치의 사이즈를 키우고 맞닿는 치아와의 교합도 신경쓰면서 최종적으로 치료를 마쳤습니다.
원래 환자분의 치아였던 것처럼 자연스럽게 잘 어우러지는 모습이 보이시죠? ^^
| 남자 라미네이트 치료 사례 |


남자 라미네이트 치료사례
30대 남성
(전) 2023-03-07 (후) 2023-03-20
"어릴 때부터 하얗고 가지런한 치아를 동경해서 큰 마음먹고 라미네이트를 하고자 합니다."
환자분께선 이렇게 말씀하시며 라미네이트 상담을 요청하셨습니다. 평소에 워낙 하얗고 가지런한 치아가 좋아보이셨다고 해요.
상담을 할 때 라미네이트 진행 시 심미적인 만족도는 확실히 높아지겠지만,
아무래도 자연치아를 어느 정도는 삭제해야 하기 때문에 환자분께서 원하시는 바가 무엇인지
스스로 정확히 파악하고 시술 결정하실 것을 추천드렸습니다.
환자분께서 고민 끝에 위, 아래 8개씩 총 16개 라미네이트 시술을 결정하셨고, 환자분의 바람대로 하얗고 고른 치아로 만들어 드렸습니다.
이렇게 치아의 모양, 색상, 배열도 완전히 새롭게 개선할 수 있는 남자라미네이트는 비용이 얼마나 될까요?
저희 디데이치과를 기준으로 개당 약 40~45만원의 비용이 발생합니다.
여기에 라미네이트는 미용성형에 해당하기 때문에 부가가치세 10%가 추가로 붙게 되면 개당 비용은 약 44만원~49만 5천원이 되는 것이죠.
아마 조금만 찾아보시면 저희 디데이치과보다 훨씬 더 저렴한 가격으로 시술하는 치과도 많을 거라고 생각합니다.
제가 자신있게 말씀드릴 수 있는건, '가격만으로 라미네이트치과를 결정하지 마시라는 점'입니다.
물론 라미네이트가 비용 부담이 큰 시술이다보니 저렴한 가격에 진행할 수 있다면 솔깃한 환자분들의 마음도 충분히 이해합니다.
하지만 가격이 다른 곳보다 많이 저렴한 곳은 더 많은 치료를 권하거나, 혹은 상담 당일에 충분히 고민해 볼 시간적 여유 없이 치료 진행을 유도하거나,
저렴한 가격으로 인해 환자가 너무 많아 진료에 불편을 겪거나 원장을 만나기 어려운 경우도 있을겁니다.
가격보다 더 중요한 것은 여러분의 자연치아를 최대한 보존하면서 더 건강하게, 환자분께 맞도록 더 예쁘게 치료하는 것이라고 생각합니다.
따라서 비용적인 부분에만 집중하지 마시고, 전반적인 치료 환경이나 분위기,
상담의 전문성과 꼼꼼함, 사후관리 등 다양한 부분까지 비교해보시고 치료를 결정하시기 바랍니다.
지금까지 긴 글 읽어주셔서 감사합니다. 디데이치과 오태훈 대표원장이었습니다!
< 라미네이트, 어떻게 진행되는지 궁금하다면? >
| 클릭 한 번으로 간편하게 예약 가능한디데이치과 네이버 예약 ✔ |
| 서울 디데이치과 진료 문의 |
|---|
| 진료 문의 : 02-568-2877 (바로가기)네이버 톡톡 문의 (바로 가기) |
▲ 모바일에서 전화번호를 누르시면 병원으로 연결됩니다 ▲

| 본 게시물은 의료광고법 제56조 1항을 준수하여, 의료 정보 제공 및 병원 홍보를 목적으로 디데이치과의원에서 직접 작성하였습니다.다만, 블로그에서 제공해 드리는 정보는 참조용으로만 활용하시고, 정확한 개인의 증상 파악은 의료기관에 직접 내방하시어 의료진을 통해 확인하실 것을 권유 드립니다.치과에서 진행되는 모든 시술 및 수술은 개인에 따라 부작용 (염증, 출혈, 부기, 신경 손상 등) 가능성이 있습니다. 따라서 사전에 의료진과 충분한 상담을 통해 결정하시길 바랍니다.게시물의 치료 사진은 실제 본원에서 모든 치료 과정을 마친 환자분의 동의하에 촬영되었습니다. 전후 사진은 동일인이며, 동일 조건하에 촬영되었음을 밝힙니다. |