반갑습니다. 디데이치과 김무진 대표원장입니다.
저는 무엇보다 환자와 치과의사 사이의 신뢰가 치료의 만족도, 완성도를 높인다고 믿습니다.
따라서 어떤 치료가, 왜 지금 필요한지 제가 직접 차근차근히 설명해 드리고 궁금해하시는 부분에 대해 알기 쉽게 대답해 드리려고 노력합니다.
이런 부분때문에 환자분들께서 저와 오태훈 원장님, 그리고 디데이치과를 믿고 찾아주시는 것 같아 뿌듯한 마음입니다 ^^

혹시 본인이나 가족, 가까운 지인이 상악동거상술임플란트 해야한다는 말을 듣고 관련 정보를 찾고 계신가요?
그렇다면 저희 블로그에 잘 오셨다고 자신있게 말씀드리고 싶습니다.
상악동거상술임플란트란 무엇인지, 어떻게 진행되는지, 비용과 치료기간은 얼마나 되는지
실제 치료 사례와 함께 설명드릴테니 다소 길어지더라도 잘 따라와주시면 감사하겠습니다.
─
상악동거상술은 무엇이고
왜 필요한가요?

상악동이란 보시다시피 위턱뼈 아래 위치한 빈 공간인데요.
얼굴 중앙에서 좌우 한 쌍으로 이루어진 상악골의 모양 그대로 공간이 비어있고 계란 껍질을 벗기면 나오는 얇은 막으로 둘러싸여있습니다.
임플란트와 얼굴뼈가 무슨 상관이냐구요?

만약 윗니를 못쓰게 되어 그 자리에 임플란트를 식립해야 하는데 잇몸뼈가 부족한 경우라면
위 그림에서 보시는 것과 같이 상악동막을 올리고 뼈이식을 통해 더 단단하게 보강해주어야 합니다. 이를 상악동거상술이라고 하고요.

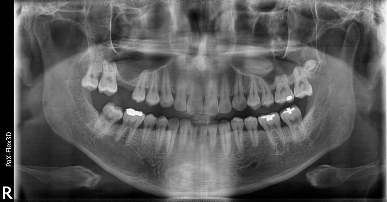
왼쪽 위(실제 오른쪽) 잇몸뼈가 부족하고 상악동막이 내려와있는 환자분 케이스
30대 남성
2022-10-22
위 사진을 보시면 왼쪽(실제로는 오른쪽) 치아가 결손되어 있는 부분에
무언가 까맣게 뼈 가까이 내려와 있는 모습을 보실 수 있습니다. 잇몸뼈도 얇고 부족한 것이 보이실겁니다.
만약 이 상태에서 임플란트를 식립한다면 어떻게 될까요?
뼈가 워낙 얇기 때문에 뼈와 임플란트가 잘 유착되기 어려울뿐더러 튼튼하게 지지하기도 어려울겁니다.
임플란트 인공치근이 상악동을 뚫고 들어가 구멍이 나거나 염증이 생길 수도 있고요.
따라서 임플란트 식립 시 부족한 뼈를 채워 보다 튼튼하게 유지될 수 있도록 돕기 위해 상악동거상술을 시행하는 것이라고 보시면 됩니다.
─
상악동거상술임플란트 하게 되면
비용과 치료 기간은 얼마나 되나요?
상악동거상술은 수직으로 접근하는 방법과 수평으로 접근하는 방법이 있는데요.
이 수술 방법에 대한 보다 자세한 설명은 지난번에 작성했던 글을 참고해주시면 좋습니다.
수직으로 접근하는 방법(Crestal approach)의 경우 저희 디데이치과에서는 개당 50만원,
수평으로 접근하는 방법(Lateral approach)의 경우 개당 100만원의 비용이 발생합니다.
이 비용은 단순히 상악동거상술만을 진행했을 때의 비용이기 때문에
만약 뼈이식이 추가되어야 한다면 개당 30만원의 비용이 추가로 발생합니다.
여기에 임플란트 자체 비용은 또 별도로 69~79만원 정도이니(디데이치과 기준) 정말 만만치 않은 비용이죠?
게다가 상악동거상술임플란트를 진행하실 경우에는 치료 기간이 일반적인 케이스보다 더 길어질 수 있습니다.
상악의 경우 하악에 비해 뼈가 무른 편이라 원래 하악보다 기간이 좀 더 걸리는데요.
여기에 상악동거상술과 뼈이식을 진행하면 충분히 단단해질 때까지 기다렸다가 임플란트를 식립하고,
이 임플란트가 뼈와 잘 유착되는지를 3~5개월간 지켜본 후 최종적으로 크라운까지 세팅해야 합니다.
따라서 일반 임플란트보다 기간이 배 이상 걸릴 수 있는 것이죠.
상악동거상술 임플란트는 일반적인 임플란트보다
비용과 시간이 훨씬 더 많이 들기 때문에
보다 더 신중하게 치과를 선택하셔야 안전하고 무탈하게 치료받으실 수 있습니다.
이 글을 읽고 상악동거상술이나 뼈이식, 임플란트 관련 궁금한 점이 있으시거나
환자분의 상태에 대해 상담 후 치료계획 수립을 원하신다면 언제든지 편하게 저희 디데이치과로 연락주세요 ^^
저나 오태훈 원장님, 그리고 모든 의료진분들께서 따뜻하고 친절하게 설명을 도와드리겠습니다.
그럼 지금까지 디데이치과 김무진 대표원장이었습니다. 긴 글 읽어주셔서 감사합니다!
| 빠르고 간편한 예약을 원한다면디데이치과 네이버 예약 ✔ |
| 서울 디데이치과 진료 문의 |
|---|
| 진료 문의 : 02-568-2877 (바로가기)네이버 톡톡 문의 (바로 가기) |
▲ 모바일에서 전화번호를 누르시면 병원으로 연결됩니다 ▲

| 본 게시물은 의료광고법 제56조 1항을 준수하여, 의료 정보 제공 및 병원 홍보를 목적으로 디데이치과의원에서 직접 작성하였습니다.다만, 블로그에서 제공해 드리는 정보는 참조용으로만 활용하시고, 정확한 개인의 증상 파악은 의료기관에 직접 내방하시어 의료진을 통해 확인하실 것을 권유 드립니다.치과에서 진행되는 모든 시술 및 수술은 개인에 따라 부작용 (염증, 출혈, 부기, 신경 손상 등) 가능성이 있습니다. 따라서 사전에 의료진과 충분한 상담을 통해 결정하시길 바랍니다.게시물의 치료 사진은 실제 본원에서 모든 치료 과정을 마친 환자분의 동의하에 촬영되었습니다. 전후 사진은 동일인이며, 동일 조건하에 촬영되었음을 밝힙니다. |