반갑습니다. 디데이치과 오태훈 대표원장입니다.
앞니라미네이트가격이 궁금하셔서 정보를 찾다가 저희 블로그에 오신 여러분, 환영합니다!
저희 블로그에 오신 것을 다행이라고 느끼실 수 있도록 앞니라미네이트가격에 대한 모든 정보를 탈탈 털어 전달드리도록 하겠습니다 ^^

앞서 제 소개를 잠깐 드리자면 서울 강남구 역삼동 선릉역에 위치한 디데이치과 대표원장직을 맡고 있으며
충치치료, 임플란트와 같은 일반적인 치료부터 라미네이트, 잇몸성형, 치아미백 등 심미적인 만족도 극대화를 위한 치료까지
치과의 모든 영역에 걸쳐 치료해드리면서 노하우를 쌓아나가고 있는 보건복지부 인증 통합치의학과 전문의입니다.

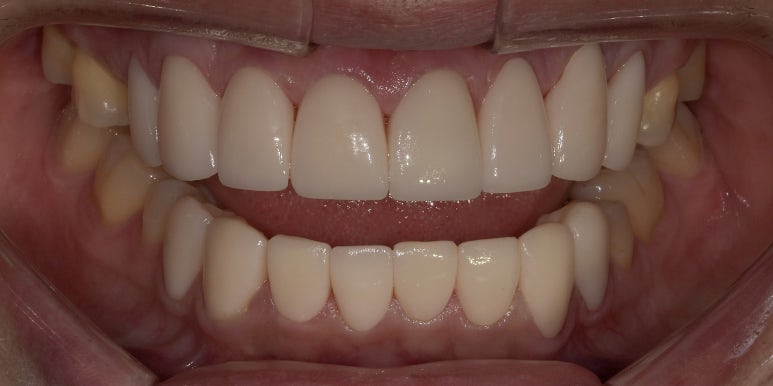
최소삭제 라미네이트 시술 케이스
2022-03-16

16전치 라미네이트 시술 케이스
2023-03-20
앞니라미네이트가격 궁금하셔서 이 글을 클릭하셨을 겁니다.
치아 개수에 따라 비용이 수십~수백만원 대에 달하는 시술인지라 부담되는 마음 충분히 이해합니다.
앞니라미네이트가격은 치과마다 차이가 있지만 평균적으로 35~60만원 정도로 형성되어 있는 것 같습니다.
저희 디데이치과에서는 무삭제, 최소삭제 여부에 관계 없이 동일하게 개당 40~45만원의 비용으로 진행하고 있고요.

물론 라미네이트는 미용치료에 해당하기 때문에 10%의 부가세가 별도로 붙습니다.
여기서 지금 글을 보고 계시는 분들은 궁금하실겁니다.
앞니라미네이트가격이 저렴하면 안 좋은 것이고 비싸면 좋은 것인가요?
그렇지 않습니다.
라미네이트를 만드는 재료나 기술은 크게 차이가 나는 부분은 아닙니다.
하지만 앞니라미네이트가격에는 보철물을 만들어내는 원가에 더해 치과의사, 치과위생사, 치기공사 등 전문 인력의 시간과 노력이 녹아있습니다.
따라서 치과에 방문하시면 라미네이트를 어떤 과정으로 만드는지, 부착할 때는 어떻게 하는지 등을 문의해보시고
다른 환자들의 치료 후기도 참고해보시면 가격 이외에 다른 정보를 토대로 치과를 결정하시는데 도움이 되실거라 생각합니다.
그럼 앞니라미네이트가격은 왜 비싼가요?
라미네이트라는 치료 자체가 매우 섬세한 치료입니다.

자연치아의 일부분을 삭제해 그 위에 0.1mm도 되지 않는 얇은 세라믹을 부착하는 방식이기 때문입니다.
또한 보철물만 예쁘게 만든다고 되는 것이 아니라
환자분의 전체적인 인상, 이미지, 치아 배열과 모양, 잇몸의 상태, 대합치와 얼마나 교합되는지 등 여러가지 요소들을 종합적으로 고려해
모양과 길이, 색상 등을 디자인해야 하는 것이기 때문에 전문가인 치과의사의 노하우와 기술이 필요하죠.
시술할 때는 0.01mm의 차이가 완전히 다른 결과를 낳을 수 있기 때문에 치료하는 치과의사 역시 치료시간 내내 온 신경을 집중하게 됩니다.

또한 보철물을 0.1mm 미만으로 얇게 만드는 과정도 매우 어렵겠죠?
따라서 환자분의 치아에 부착할 보철물을 만드는 것도 까다롭고, 또 부착하는 것도 까다로운 진료이기 때문에 비용이 비싸지게 되는 것입니다.
각 병원마다 소개하는 이름이 다른데 모두 다른 치료인건가요?
아마 인터넷을 통해 라미네이트에 대한 정보를 찾아보셨다면
다양한 치과에서 라미네이트를 소개하며 서로 다른 이름으로 표기하는 것을 보셨을겁니다.
저희 디데이치과에도 특정 이름의 치료가 다른 치료와는 다른 특별한 치료인지 여부에 대한 문의가 종종 들어오는데요.
이들 치료 모두 자기만의 방식으로, 기존의 단점은 보완하고 장점은 살리면서 진행하는 시술임을 강조하는 것은 맞지만
‘라미네이트’라는 치료의 본질은 동일합니다.
즉, 어떤 치료 방법이 우수하다고 말씀드리기는 어렵지만
분명한 것은 의료진의 섬세한 술기, 심미적인 감각 등에 따라 환자분들의 만족도가 달라진다는 것입니다.


한 가지 분명한 것은 라미네이트 치료 시 자연치아의 손상을 최소화해 건강하고 안전하면서
웃었을 때 자연스럽고 예쁘게, 오래 잘 사용할 수 있다면 환자분께 합리적이고 좋은 치료라는 사실입니다.
앞니라미네이트가격에 대해 최대한 많은 정보를 드리려다보니 너무 글이 길어진 것은 아닌지 걱정되네요 ^^;;
제가 여러분을 직접 만나뵈었을 때 많이 듣는 질문들이기도 해서 이 기회를 빌어 꼭 말씀드려보고 싶었습니다.
글을 읽고 더 궁금한 점이 있으시거나 치료에 대한 구체적인 상담을 원하신다면 언제든지 저희 디데이치과로 문의주세요.
항상 여러분을 향해 열려있는 디데이치과가 되겠습니다. 지금까지 디데이치과 오태훈 대표원장이었습니다!
| 빠르고 간편한 예약을 원한다면디데이치과 네이버 예약 ✔ |
| 서울 디데이치과 진료 문의 |
|---|
| 진료 문의 : 02-568-2877 (바로가기)네이버 톡톡 문의 (바로 가기) |
▲ 모바일에서 전화번호를 누르시면 병원으로 연결됩니다 ▲

| 본 게시물은 의료광고법 제56조 1항을 준수하여, 의료 정보 제공 및 병원 홍보를 목적으로 디데이치과의원에서 직접 작성하였습니다.다만, 블로그에서 제공해 드리는 정보는 참조용으로만 활용하시고, 정확한 개인의 증상 파악은 의료기관에 직접 내방하시어 의료진을 통해 확인하실 것을 권유 드립니다.치과에서 진행되는 모든 시술 및 수술은 개인에 따라 부작용 (염증, 출혈, 부기, 신경 손상 등) 가능성이 있습니다. 따라서 사전에 의료진과 충분한 상담을 통해 결정하시길 바랍니다.게시물의 치료 사진은 실제 본원에서 모든 치료 과정을 마친 환자분의 동의하에 촬영되었습니다. 전후 사진은 동일인이며, 동일 조건하에 촬영되었음을 밝힙니다. |