안녕하세요. 디데이치과 오태훈 대표원장입니다.
항상 환자분의 입장에서 생각하며 최대한 편안하게, 아프지 않도록 치료해드리려 노력하는 현직 치과의사입니다.
“치과가 너무 무서워서 망설였는데 마취 주사가 예술입니다.
저 이제 치과 다닐 수 있을 것 같아요”
라면서 엄지손가락을 치켜올려주시는 환자분들 덕분에 치과의사로서 보람을 느끼며 진료하고 있습니다 ^^

혹시 지금 이 글을 보고 계신 여러분께서는 문득 거울을 보다가 치아반점이 눈에 띄어 관련 정보를 찾고 계시지 않으셨나요?
치아반점으로 인해 치아에 이상이 있는 것은 아닌지, 치료를 해야하는지 궁금하실텐데요.
남들에게는 작은 반점으로 보일 수 있지만 나에게는 큰 스트레스로 다가온다는 점, 충분히 이해합니다.
그래서 오늘은 이 치아반점(반상치 혹은 반점치라고도 합니다)의 원인과 치료 방법까지 상세하게 설명해드리도록 하겠습니다.
치아반점(반상치)은 왜 생기는 건가요?

우리 치아의 가장 바깥면을 법랑질이라고 하는데요. 이 법랑질은 외부의 세균으로부터 치아를 보호하는 역할을 합니다.
이러한 법랑질이 정상적으로 형성되지 못해 조금 덜 단단해진 경우가 있는데 이를 법랑질형성부전증이라고 합니다.
법랑질형성부전증이 있으면 치아 표면에 흰색 또는 갈색의 반점이 생기는 경우가 있습니다.


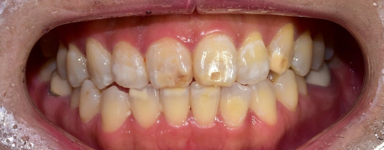
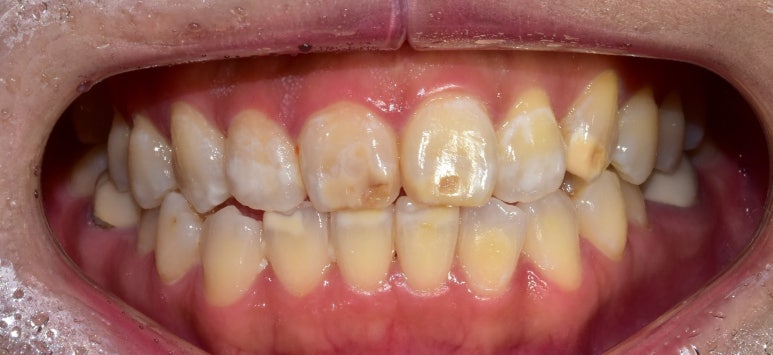
치아반점 환자 예시_디데이치과
(좌) 2021-12-15 (우) 2022-05-23
이런 치아반점은 불소의 과량 사용으로 인해 생기기도 하는데요.
특히 8세 이전 소아의 경우 영구치가 나기 전 충치 예방을 위해 불소가 함유된 치약을 사용하는 경우가 많은데
치약에 불소 함량이 지나치게 많은 경우 치아반점이 생길 수도 있습니다.
따라서 어린 자녀분들의 치약을 고르실 때는 불소 함량이 0.9~1ppm 인 것으로 선택하시면 좋을 것 같습니다.
치아반점은 어떻게 치료할 수 있나요?
- 레진
흰색 또는 갈색의 반점이 눈에 띄는 부분만 살짝 갈아내고
해당 부분에 치아 색상과 유사한 치과 재료인 레진으로 채워 원래 하나의 치아인 것처럼 보이도록 하여 치료할 수 있습니다.
이렇게 레진으로 치료하게 될 경우 비용이 비교적 저렴하고 빠른 시간 내에 치료가 완료된다는 장점이 있지만
아쉽게도 레진이라는 재료 자체의 특성 상 시간이 오래 지날 경우 착색되거나 변색되고 탈락할 가능성이 높다는 단점이 있습니다.
- 라미네이트

치아반점이 있는 치아 전체를 얇은 세라믹 보철물인 라미네이트로 덮어 아예 가리는 방식으로도 치료할 수 있습니다.
아쉽게도 반상치는 치아미백을 통해 개선되지 않기 때문에 심미적으로 만족도를 높이고 싶은 경우 선택하시는 치료 방법입니다.


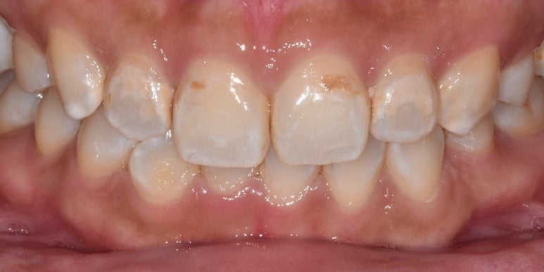
치아반점 라미네이트 치료 사례_디데이치과
(전) 2022-05-02 (후) 2022-06-02
이 환자분 역시 치아반점을 레진으로 채우기를 계속 반복하시다가
치아 표면이 거칠어지고 울퉁불퉁해지는 점이 마음에 들지 않아 결국 라미네이트로 치료하게 되었습니다.

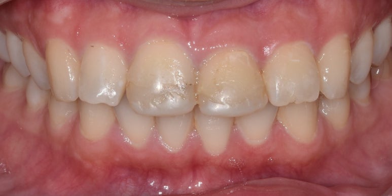
치아반점 치료 전 사진
2021-12-15
이 환자분은 법랑질형성부전증으로 인해 치아반점이 여러 개 존재하고,
그로 인해 굉장한 스트레스를 받으시다가 라미네이트를 통해 치료하셨습니다.
아쉽게도 스케일링 또는 치아미백으로는 치아반점을 눈에 띄게 개선할 수 없거나 효과가 미미해 추천드리지는 않습니다.
따라서 치아반점 치료를 원하신다면 레진 또는 라미네이트를 권장드리지만,
이는 반드시 전문의가 환자분의 치아 상태를 정확히 파악한 후
환자분과의 면밀한 상담을 통해 결정되어야 한다는 점 꼭 기억해주시기 바랍니다.
반상치라미네이트로 치료하신 여러 분들의 케이스는 제가 내일 별도의 글을 통해 좀 더 자세히 전해드리도록 하겠습니다 ^^
사람의 인상에서 중요한 요소 중 하나가 밝게 웃는 미소에서 보이는 환하고 고른 치아가 아닐까 싶은데요.
만약 치아반점으로 인해 신경쓰이시거나 스트레스받고 계신다면 충분히 치료가 가능한 부분이니 걱정마시고 치과로 내원해주세요!
그럼 지금까지 디데이치과 오태훈 대표원장이었습니다. 감사합니다.
| 환자를 돌려보내는 치과가 있다?디데이치과 네이버 예약 ✔ |
| 서울 디데이치과 진료 문의 |
|---|
| 진료 문의 : 02-568-2877 (바로가기)네이버 톡톡 문의 (바로 가기) |
▲ 모바일에서 전화번호를 누르시면 병원으로 연결됩니다 ▲

| 본 게시물은 의료광고법 제56조 1항을 준수하여, 의료 정보 제공 및 병원 홍보를 목적으로 디데이치과의원에서 직접 작성하였습니다.다만, 블로그에서 제공해 드리는 정보는 참조용으로만 활용하시고, 정확한 개인의 증상 파악은 의료기관에 직접 내방하시어 의료진을 통해 확인하실 것을 권유 드립니다.치과에서 진행되는 모든 시술 및 수술은 개인에 따라 부작용 (염증, 출혈, 부기, 신경 손상 등) 가능성이 있습니다. 따라서 사전에 의료진과 충분한 상담을 통해 결정하시길 바랍니다.게시물의 치료 사진은 실제 본원에서 모든 치료 과정을 마친 환자분의 동의하에 촬영되었습니다. 전후 사진은 동일인이며, 동일 조건하에 촬영되었음을 밝힙니다. |