안녕하세요. 디데이치과 김무진 대표원장입니다.
보기에 예쁜 치아를 만들어 드리는 것은 물론, 오래오래 건강하게 사용하실 수 있도록 치료해 드리려고 노력하는 치과의사입니다 ^^

저희 디데이치과에서 치아미백이나 잇몸성형, 라미네이트 등의 심미치료를 받으신 환자분들께서
입을 모아 칭찬해주시는 것을 보면 저희의 진료 철학이 틀리지 않았다는 생각이 들어 뿌듯하고 기쁜 요즘입니다.
어제 오태훈 원장님께서 치아반점에 대한 글을 작성해주셨는데요.
치아반점(반상치, 반점치)의 원인과 치료 방법에 대해 자세히 설명해주셔서
치아반점때문에 고민이신 환자분들께 많은 도움이 되었으리라 생각합니다.
오늘은 제가 이어서 치아반점을 라미네이트로 치료하신 반상치라미네이트 환자분들의 케이스를 보여드리면서
변화된 모습을 눈으로 확인시켜드리려고 합니다.
아울러 여러분들께서 가장 궁금해하실 비용에 대해서도 꼼꼼하게 설명해드릴 예정이니
5분만 집중하셔서 읽어주신다면 분명 큰 도움이 되실 거라 믿어 의심치 않습니다 ^^
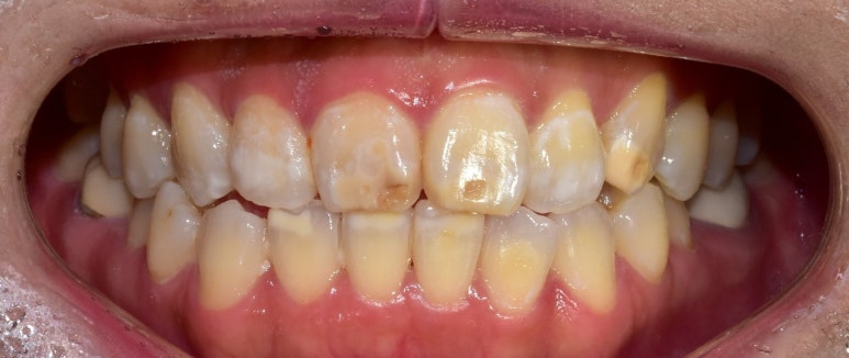
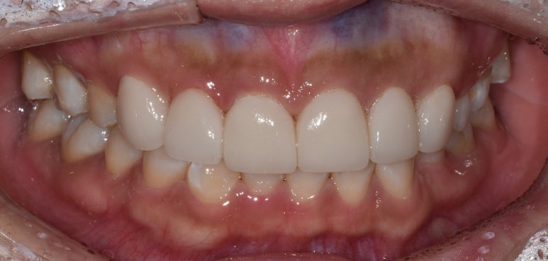
반상치라미네이트 케이스 1.


반상치 라미네이트 치료 케이스
(전) 2021-12-15 (후) 2022-05-03
“원장님, 치아반점이 너무 많아 얼룩덜룩하고
심지어 갈색 반점도 있어서 말할 때마다 신경쓰이고 스트레스 받아요”
위 환자분의 치료 전 사진을 보시면 앞니 전체적으로 흰색과 갈색의 반점이 분포해있어
이를 해결하기 위해 반상치라미네이트 치료를 원하셔서 저희 디데이치과에 내원해주셨습니다.
치아반점때문에 마음껏 웃기가 어렵고 괜히 의기소침해진다는 말씀을 들으니
안타까운 마음에 어서 빨리 치료해드려서 환하게, 자신있게 웃을 수 있도록 해드려야겠다는 생각이 들었습니다.
치료 후 사진을 보시면 전에 얼룩덜룩한 치아는 온데간데 없이 완전히 깨끗하게 개선된 모습을 보실 수 있는데요.
치료가 끝나고 거울을 보시면서 평생 꿈꿔왔던 하얗고 깨끗한 치아가 됐다며 좋아하시던 모습이 아직도 기억나네요 ^^
반상치라미네이트 케이스 2.


반상치라미네이트 치료 사례
(전) 2022-05-23 (후) 2022-05-30
이 환자분은 멀리 싱가폴에서 저희 디데이치과까지 찾아오신 외국인 환자분이었는데요.
처음에 소개해드렸던 환자분과 마찬가지로 앞니 전체적으로 반점이 분포해있어 얼룩덜룩한 치아를 개선하고 싶어하셨습니다.
다만 환자분께서는 상악 측절치(#12)가 아랫니와 반대교합(crossbite)이어서 이 부분도 함께 개선하는데 초점을 맞췄습니다.
치료 완료 후 사진을 보시면 치아가 전체적으로 밝고 깨끗해진 것은 물론,
#12 치아 아랫니와 반대로 물려있던 부분이 정상적인 교합으로 개선된 것을 확인하실 수 있습니다.
반상치라미네이트 케이스 3.


반상치 라미네이트 케이스
(전) 2022-05-06 (후) 2022-05-30
이 환자분께서는 한국에 거주 중인 프랑스인이셨는데요. (오늘따라 외국인 환자분들의 케이스를 많이 소개해 드리네요 ^^;;)
반상치로 인해 치아반점 부분을 살짝 갈아내고 레진으로 메우는 치료를 프랑스에서부터 여러번 반복해서 받으셨다고 합니다.
그 결과 치아 표면이 울퉁불퉁하고 거칠어짐은 물론, 변색도 눈에 띄어 모두 제거하고
앞니 4개를 라미네이트로 치료하기를 원하셨습니다.
전에 레진으로 메워놓은 치아라 레진을 제거하면서 치아 삭제량이 많아질 수밖에 없는 관계료
앞니 3개(사진상 상악 중절치 2개와 오른쪽 측절치)는 크라운으로 씌웠고,
상악 측절치는 라미네이트로 치료해드렸습니다. 치료 후 치아 표면이 고르고 깨끗해졌죠? ^^
이렇게 저희 디데이치과에서 반상치라미네이트 치료하신 환자분들의 사례를 소개해드렸는데요.
이제 비용 부분도 궁금하실거라 생각됩니다.
반상치라미네이트 역시 일반적인 라미네이트와 비용은 동일합니다.
저희 디데이치과 기준으로 개당 40~45만원인데요.(부가세 10% 별도)

앞서 소개해드린 환자분 사례처럼 치아 삭제량이 많을 것으로 예상되어 라미네이트로는 치료가 불가능해
앞니크라운을 하셔야 하는 경우에는 개당 45만원입니다.
여러 개의 치아를 치료하시게 되는 경우 꽤 큰 금액이 들어가는 치료인데요.
또한 눈에 잘 띄는 앞니인 만큼 심미성과 치아의 기능성을 다각도로 고려하는 곳에서 신중하게 치료받으셔야 합니다.
저희 디데이치과는 당장 예쁘게 보이는 치아를 만드는 것도 중요하지만
자연치아를 최대한 보존해 오래도록 쓸 수 있게 해드리는 것이 가장 좋은 치료라고 생각합니다.
5년, 10년 뒤에도 ‘디데이치과에서 치료받길 잘했어’라고 생각하실 수 있도록
저와 오태훈 원장님을 비롯한 저희 의료진들이 항상 최선을 다하겠습니다.
지금까지 디데이치과 김무진 대표원장이었습니다. 글 읽어주셔서 감사합니다!
| 환자를 돌려보내는 치과가 있다?디데이치과 네이버 예약 ✔ |
| 서울 디데이치과 진료 문의 |
|---|
| 진료 문의 : 02-568-2877 (바로가기)네이버 톡톡 문의 (바로 가기) |
▲ 모바일에서 전화번호를 누르시면 병원으로 연결됩니다 ▲

| 본 게시물은 의료광고법 제56조 1항을 준수하여, 의료 정보 제공 및 병원 홍보를 목적으로 디데이치과의원에서 직접 작성하였습니다.다만, 블로그에서 제공해 드리는 정보는 참조용으로만 활용하시고, 정확한 개인의 증상 파악은 의료기관에 직접 내방하시어 의료진을 통해 확인하실 것을 권유 드립니다.치과에서 진행되는 모든 시술 및 수술은 개인에 따라 부작용 (염증, 출혈, 부기, 신경 손상 등) 가능성이 있습니다. 따라서 사전에 의료진과 충분한 상담을 통해 결정하시길 바랍니다.게시물의 치료 사진은 실제 본원에서 모든 치료 과정을 마친 환자분의 동의하에 촬영되었습니다. 전후 사진은 동일인이며, 동일 조건하에 촬영되었음을 밝힙니다. |