안녕하세요. 디데이치과 오태훈 대표원장입니다.
블로그를 통해 인사드리면서 가장 자주 말씀드리는 말이라 다소 식상하시겠지만 ^^;; 한번 더 강조해 말씀드리겠습니다.
언제나 환자분의 입장에서 아프지 않게, 합리적으로 치료해드리고자 노력하는 치과의사입니다!


마취주사를 놓을 때도 환자분들께서 두려워하지 않도록 천천히 신경써서 주사하고 있죠.
덕분에 저희 디데이치과에 오셔서 치과 공포증을 잊고 치료받을 수 있었다고 말씀해주셔서
뿌듯하고 기쁜 마음으로 진료에 임하고 있습니다 🙂

아마 잇몸성형에 관심 있으셔서 검색하시다가 제목을 보고 놀라서 들어오신 분들 많으실텐데요.
저희 디데이치과에서 잇몸성형하신 환자분들은 시술 후 왜 후회하셨을까요?
“왜 진작에 빨리 받지 않았는지 후회한다”고 말씀해주신 분들이 정말 많았습니다 ^^;;
본의 아니게 낚인(?) 것 같은 느낌이 드신다면, 이 글에 잘 낚였다고 생각하실 수 있도록
잇몸성형에 대한 최신의 정보와 사례, 그리고 비용까지 자세히 안내해드리도록 하겠습니다.

보시는 것처럼 지금까지 300여명이 넘는 분들이 저희 디데이치과에서 잇몸성형 시술을 하셨는데요.
다들 하나같이 잇몸성형이 가능한지도 잘 몰랐고, 알게되고 난 후에도 여러 번 고민하다가 시술을 하게 되었는데
아프지 않고, 짧은 시간 안에 평소 고민을 해결할 수 있게 되어 왜 진작에 하지 않았는지 후회된다고 말씀해주시는 것이 참 인상깊었습니다.
치과의사로서 뿌듯하기도 하고, 더 많은 분들이 잇몸성형을 알게 되고 치료 받으셔서
오랜 스트레스가 해소되었으면 하는 마음에 더 열심히 블로그 활동을 해야겠다는 생각도 들었습니다.


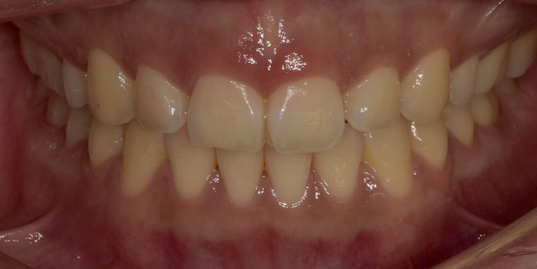
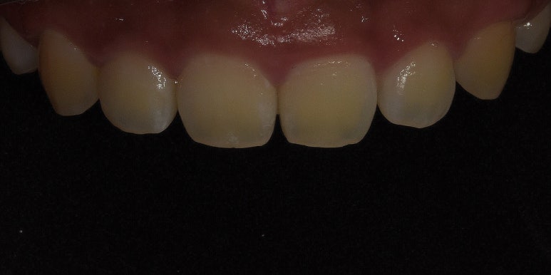
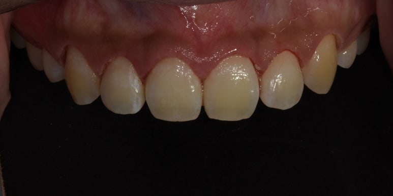
잇몸성형 전후사진
(전) 2023-05-08 (후) 2023-05-18
우선 300명 이상의 환자분들이 말씀해주시는 ‘더 일찍 하지 않아 후회되는 이유’는
통증이나 출혈을 최소화하고 평소 신경쓰였던 잇몸이 많이 보이거나 잇몸라인이 울퉁불퉁한 부분을 해소할 수 있어서입니다.
‘잇몸성형’이라는 단어가 주는 느낌때문인지 아플까봐, 또 오랜 시간이 걸릴까봐 두려워서
웃을 때마다 많이 보이는 잇몸이나 울퉁불퉁, 삐뚤빼뚤한 잇몸라인으로 스트레스만 받고 계신 분들이 많은데요.


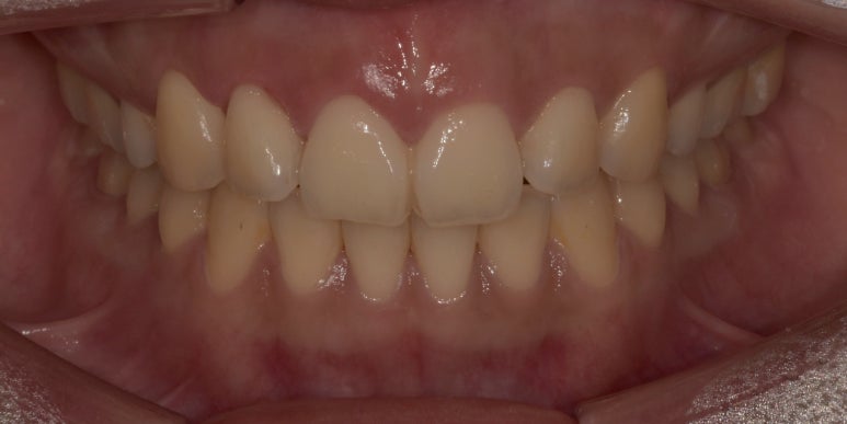
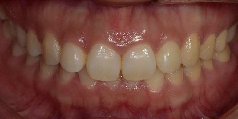
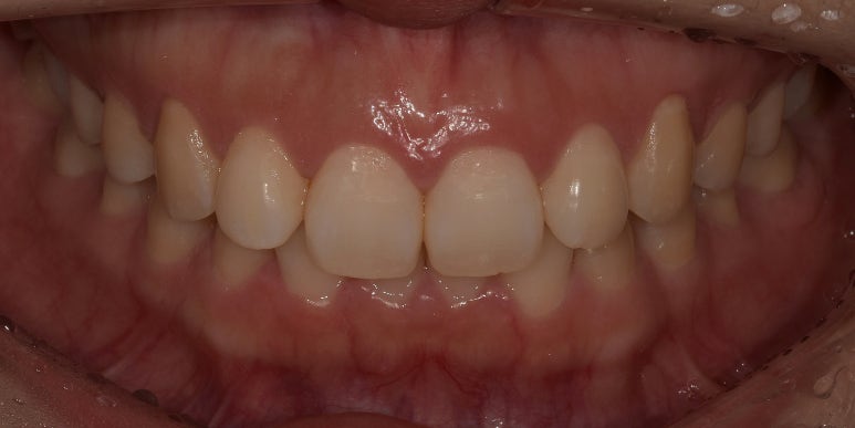
잇몸성형 전후사진
(전) 2023-04-24 (후) 2023-05-08
저희 디데이치과에서 진행하고 있는 잇몸성형은 레이저를 이용해 시술하고,
마취주사 역시 무통에 가까운 마취를 지향하고 있기 때문에 통증과 출혈을 최소화하고 있습니다.
물론 통증을 느끼는 정도는 개인차가 있어 ‘전혀 통증이 없습니다’라고 말씀드릴 수는 없지만
많은 분들께서 정말 별로 아프지 않았다고 해주시는 경우가 많아 말씀드려봅니다 ^^


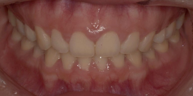
잇몸성형 전후사진
(전) 2023-03-04 (후) 2023-03-18
또 다른 이유는 바로 비교적 빠른 시간내에 치료가 가능하다는 점입니다.
잇몸성형은 진행 전 잇몸뼈의 높이와 전체적인 잇몸의 상태를 확인하기 위한 엑스레이 촬영,
잇몸이 더 고르게 자리잡게 하기 위한 부분적인 치석제거(스케일링) 과정을 포함해
약 30~40분 정도면 첫날 치료가 종료됩니다.
따라서 바쁜 직장인분들도 점심시간에 잠시 짬을 내거나 회사에 양해를 구하고 오셔서 치료받으시는 경우가 많습니다.


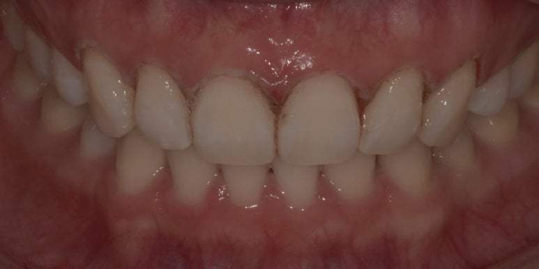
잇몸성형 전후사진
(전) 2023-03-27 (후) 2023-04-10
마지막으로는 부가세포함 33만원이라는 합리적인 치료 비용에 리터치까지 1회 포함된다는 점입니다.
합리적인 치료비용이라 만족스럽다는 분들도 계셨지만, 최초 시술 2주 후 리터치까지 포함되어
조금 더 다듬고 싶은 부분을 다듬을 수 있어 좋았다는 분들이 많았습니다.
사실 리터치는 꼭 진행하지 않아도 되지만, 저나 김무진 원장님께서 직접 시술한 환자분들 상태를 확인하고
조금 더 라인을 높이고 싶다거나하는 환자분들의 요청을 반영해드리기 위해 진행해드리고 있습니다.
어떠신가요? 오늘은 저희 디데이치과의 잇몸성형에 대해 자랑을 많이 한 것 같아서 괜히 부끄럽네요 ^^;;
하지만 모두 거짓없이 실제로 저희 치과에서 치료받으신 환자분들의 경험을 토대로 설명드린 점 참고 부탁드립니다.
다른 사람이 잇몸성형 후 만족을 느꼈다고 해서 나도 만족하리라는 보장은 없습니다.
또한 다른 분들의 치료 결과가 나의 치료 결과를 보장해주는 것도 아니고요.
따라서 신중하게 선택하셔야겠지만, 오늘 말씀드린 부분이 잇몸성형을 고민하고 계신 분들께 많은 도움이 되었으면 더 바랄 것이 없습니다.
그럼 지금까지 긴 글 읽어주셔서 감사합니다. 디데이치과 오태훈 대표원장이었습니다.
< 함께 읽으면 좋은 글 >
| 빠르고 간편한 예약을 원한다면디데이치과 네이버 예약 ✔ |
| 서울 디데이치과 진료 문의 |
|---|
| 진료 문의 : 02-568-2877 (바로가기)네이버 톡톡 문의 (바로 가기) |
▲ 모바일에서 전화번호를 누르시면 병원으로 연결됩니다 ▲

| 본 게시물은 의료광고법 제56조 1항을 준수하여, 의료 정보 제공 및 병원 홍보를 목적으로 디데이치과의원에서 직접 작성하였습니다.다만, 블로그에서 제공해 드리는 정보는 참조용으로만 활용하시고, 정확한 개인의 증상 파악은 의료기관에 직접 내방하시어 의료진을 통해 확인하실 것을 권유 드립니다.치과에서 진행되는 모든 시술 및 수술은 개인에 따라 부작용 (염증, 출혈, 부기, 신경 손상 등) 가능성이 있습니다. 따라서 사전에 의료진과 충분한 상담을 통해 결정하시길 바랍니다.게시물의 치료 사진은 실제 본원에서 모든 치료 과정을 마친 환자분의 동의하에 촬영되었습니다. 전후 사진은 동일인이며, 동일 조건하에 촬영되었음을 밝힙니다. |