안녕하세요. 디데이치과 김무진 대표원장입니다.
보여지는 부분은 물론, 치아가 제대로 기능할 수 있도록 고려하여 심미치료를 도와드리고 있는 현직 치과의사입니다 ^^

아마 지금 이 글을 보고 계신다면 앞니 모양이 마음에 들지 않거나 치아 길이가 너무 길게 느껴지거나
앞니가 살짝 깨지거나 날카로워 이런 부분을 개선하고자 앞니성형 관련 정보를 찾고 계실겁니다.
교정이나 라미네이트와 같이 대대적인 치료가 아니더라도 작은 변화만으로 치아 모양이 달라지게 할 수 있는데요.
법랑질성형(에나멜쉐이핑, enamel shaping)이라고 하는 치료 방법이 어떻게 치아 모양을 변화시키는지,
또 작은 차이가 얼마나 큰 효과를 나타내는지 지금부터 함께 알아보도록 하겠습니다.
물론 환자분들께서 가장 궁금해하실 비용에 대해서도 자세하게 설명드릴테니 잠시만 집중해주세요 ^^
라미네이트 없이 앞니성형? 어떻게 하는건가요?

말 그대로 앞니의 모양을 바꿔주는 치료를 통틀어 ‘앞니성형’이라고 말씀드리는데요.
오늘 말씀드릴 법랑질성형의 경우에는 치아의 가장 겉면에 위치해
안쪽의 상아질과 신경 등을 보호하는 역할을 하는 법랑질(에나멜)을 미세하게 갈아내는 치료를 의미합니다.
앞서 말씀드렸듯이 앞니 끝부분이 조금 깨졌다거나, 다른 치아에 비해 앞니가 너무 많이 길어보이거나
특정 치아가 너무 날카롭거나 아랫니와 닿는 경우에도 고려해볼 수 있는 치료 방법입니다.

또한 치료 비용이 치아당 5만원 선이어서(부가세 별도) 심미보철치료에 비해 매우 합리적인 편이라
치아 모양은 개선하고 싶지만 라미네이트와 같은 치료는 부담스러운 환자분들께서 많이 관심 가져주시는 치료입니다.
법랑질성형은 치과 재료나 보철물을 치아에 부착하거나 씌우는 방식이 아니라
순수하게 자연치아의 법랑질을 다듬는 치료 방법이기 때문에 치아 모양을 완전히 획기적으로 변화시키지는 못합니다.
하지만 생각보다 이 작은 변화가 큰 차이를 가져올 수 있습니다.


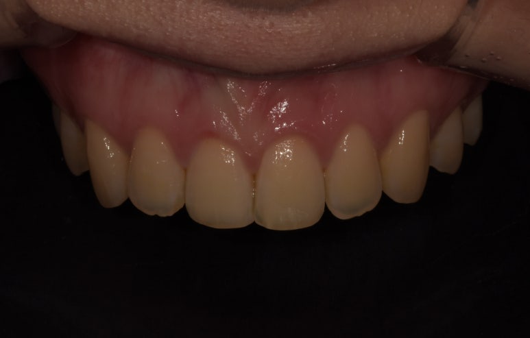
법랑질성형 전후사진
2023-05-20
이 환자분은 식사를 하시다가 젓가락을 잘못 깨무는 바람에 #11 치아 끝이 파절된 상태로 내원해주셨습니다.
끝이 깨진 부분을 다듬으면서 평소에 #11, 21 치아가 너무 길다고 생각하셔서 길이도 줄이기를 원하셨습니다.
법랑질성형을 통해 치아 길이를 다소 줄이면서 #11 치아의 깨진 부분도 적당히 다듬어 모양을 자연스럽게 만들었습니다.


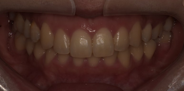
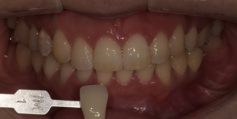
법랑질성형, 치아미백 치료전후
2023-05-23
이 환자분은 #11, 21 치아가 너무 크고 길어보이고, 송곳니인 #13, 23 치아가 뾰족한 부분이 마음에 들지 않아
법랑질 성형을 통해 개선하고 싶어하셨습니다.
환자분께서 원하신 부분 다듬어드린 결과 웃을 때 보이는 스마일 라인이 가지런하고 부드럽게 변화되었습니다 ^^
이렇게 설명드리니 법랑질성형이 굉장히 쉽고 간단한 치료처럼 느껴지실 수도 있을 것 같은데요.
사실은 그렇지 않습니다. 여러모로 신경써야 할 부분도 많고 섬세한 치료가 바로 법랑질성형입니다.
또한 우리의 자연치아는 한번 삭제하면 복구가 되지 않기 때문에 더욱 신중하게 생각해야 합니다.

우선 법랑질의 두께는 영구치의 경우 약 1~2mm인데요.
이 얇은 두께의 법랑질을 잘 다듬어야 치아가 시리지 않게 모양을 변화시킬 수 있습니다.
만약 법랑질을 너무 많이 다듬는다면 법랑질 안에 있는 상아질이 외부로 노출될 수 있습니다.
이런 경우 상아질에 있는 미세한 관들이 외부에 노출되면서 시리거나 통증을 느낄 수 있어 주의가 필요합니다.
만약 1~2mm 차이로는 환자분께서 원하는 만큼 치아 모양이 변하지 않을 것 같다거나,
지금 현 상태의 치아 모양을 유지하는 것이 아닌 완전히 새로운 모양으로 변하기를 원하신다면
법랑질성형이 아닌 라미네이트나 크라운 같은 보철치료가 더 적합할 수 있습니다.


법랑질성형과 라미네이트의 치아모양 변화 비교
따라서 환자분께서 원하는 치아 모양의 변화가 단지 길이와 모양만 조금 다듬는 것인지,
아니면 획기적인 모양의 변화가 필요한 것인지 고민해보신 후 치료 여부를 결정하시기 바랍니다.
물론 모든 치아 치료는 전문의와의 심도있는 상담이 필수적이라는 사실 알고 계시죠?
환자분께서 원하는 바를 정확하게 파악하고 치과에 내원해주신다면
담당 치과의사는 환자분의 의사와 치아 상태에 맞춘 합리적인 치료 방법을 제시해 드릴 준비가 되어있으니 편하게 방문해주세요 ^^
그럼 지금까지 디데이치과 김무진 대표원장이었습니다. 감사합니다!
| 빠르고 간편한 예약을 원한다면디데이치과 네이버 예약 ✔ |
| 서울 디데이치과 진료 문의 |
|---|
| 진료 문의 : 02-568-2877 (바로가기)네이버 톡톡 문의 (바로 가기) |
▲ 모바일에서 전화번호를 누르시면 병원으로 연결됩니다 ▲

| 본 게시물은 의료광고법 제56조 1항을 준수하여, 의료 정보 제공 및 병원 홍보를 목적으로 디데이치과의원에서 직접 작성하였습니다.다만, 블로그에서 제공해 드리는 정보는 참조용으로만 활용하시고, 정확한 개인의 증상 파악은 의료기관에 직접 내방하시어 의료진을 통해 확인하실 것을 권유 드립니다.치과에서 진행되는 모든 시술 및 수술은 개인에 따라 부작용 (염증, 출혈, 부기, 신경 손상 등) 가능성이 있습니다. 따라서 사전에 의료진과 충분한 상담을 통해 결정하시길 바랍니다.게시물의 치료 사진은 실제 본원에서 모든 치료 과정을 마친 환자분의 동의하에 촬영되었습니다. 전후 사진은 동일인이며, 동일 조건하에 촬영되었음을 밝힙니다. |