안녕하세요. 디데이치과 오태훈 대표원장입니다.


무슨 일을 하든 기초와 기본이 가장 중요하듯,
치과 치료에도 가장 기본적인 치료인 스케일링의 중요성은 여러 번 강조해도 지나치지 않습니다.

그래서 스케일링은 1년에 한 번 국민건강보험 적용으로 저렴하게 받을 수 있도록 해놓은 것인데요.
이렇게 중요한 스케일링에 대해 가끔 오해하시고 저희 치과로 문의를 해주시는 분들이 있어
오늘은 스케일링에 대한 오해와 진실이라는 주제로 이야기드려볼까 합니다.
“원장님. 얼마 전에 스케일링을 했는데
스케일링 후에 오히려 치아가 닳은 것 같아요.
잇몸이 더 내려간 것 같기도 하고…
스케일링이 잘못된 것 아닐까요?”
아마 이런 생각 해보신 분들 꽤 많으실겁니다.
스케일링을 주기적으로 해주어야 잇몸질환을 예방할 수 있다고 해서 스케일링을 했는데
스케일링 후 오히려 치아가 더 닳아보인다거나, 잇몸이 내려앉은 것 같다거나,
혹은 기존에 치료해두었던 보철물이 깨지거나 금이 간 것 같다고 하시는 분들도 계십니다.
하지만 이는 스케일링에 대한 오해로 인해 그렇게 생각하실 가능성이 높습니다.

스케일링(치석제거)은 스케일러라는 기구에서 발생하는 미세한 진동을 이용해
치아와 잇몸의 경계와 잇몸 아래 1mm까지 붙어있는 치석과 치태를 제거하는 것이고,
이 스케일러는 치아를 삭제하거나 보철물을 깨뜨릴 수 있는 힘이 존재하지 않기 때문입니다.
물론 깊은 충치가 있었다거나, 기존에 치료한 보철물이 오래되었거나, 치아에 이미 미세한 금이 존재했을 경우
스케일러의 영향으로 치아나 보철물이 파절될 수는 있습니다.
다만, 스케일링때문에 이런 문제가 발생했다고 단언하기는 어려운 부분입니다.
“그럼 스케일링을 하고 나서 잇몸이 내려앉은 것 같아보인다거나
치아가 흔들리는 것처럼 느껴지는건 왜 그런건가요?”

만약 스케일링 후 잇몸이 내려앉은 것처럼 보인다면
원래 건강한 잇몸뼈와 잇몸이 있던 자리에 치석이 생겨 잇몸이 내려앉았는데, 치석을 제거하고 나니 잇몸이 내려앉은 것이 더 잘 눈에 띄는 것입니다.
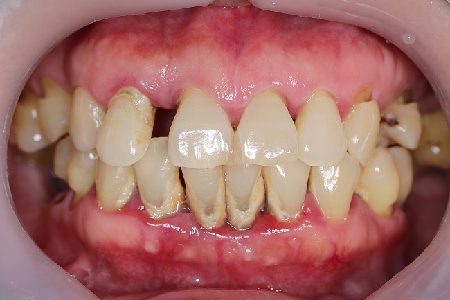
위 예시 이미지를 보시면 이해가 잘 되실거라 생각하는데요.
만약 저렇게 잇몸과 치아 경계면에 있는 치석들을 모두 제거했다고 가정한다면,
그 이후엔 잇몸 경계가 좀 더 뚜렷하게 육안으로 확인되면서 더 내려앉은 것처럼 보일 수 있습니다.

많이 쌓여있는 치석 예시사진
출처: 구글검색
마찬가지로 스케일링 후 치아가 흔들리는 것처럼 느껴진다면
그동안 치석이 치아를 지지하고 있다가 치석이 제거되고나니 지지해주는 기반이 사라지면서 그렇게 느껴지는 것입니다.
위 예시사진을 보시면 아랫니의 치아와 잇몸 사이에 많은 양의 치석이 쌓여있는 것을 확인하실 수 있는데요.
만약 이 치석이 스케일링을 통해 제거된다면 치아를 잡아주고 있던 치석이 사라지면서 치아가 흔들리는 것처럼 충분히 느껴질 수 있겠죠?
만약 이런 증상이 일시적으로 끝나는 것이 아니라 지속적으로 느껴진다면 다시 한번 치과에 내원하셔서 체크해보시는 것이 좋습니다.
스케일링은 치주질환을 예방하고 잇몸과 치아 건강을 지키기 위해 가장 필수적이고 또 중요한 치료입니다.
그동안 스케일링에 대해 오해하고 계셨거나 아플까봐 걱정되어 스케일링을 미루셨다면
하루라도 빨리 근처 치과에 내원하셔서 검진과 함께 스케일링 하실 것을 꼭! 권장해 드립니다.
치석이 많이 쌓이게 되면 스케일링 시 이가 시리거나 통증이 느껴질 가능성이 커지니까요.
만약 저희 디데이치과로 오셔서 스케일링하실 때 아플까봐 걱정되신다면 '가글마취'를 요청해주세요!
마취액으로 가볍게 감각을 둔하게 해 덜 아프게 스케일링하실 수 있도록 조치해드리겠습니다.
그럼 지금까지 디데이치과 오태훈 대표원장이었습니다. 감사합니다!
| 빠르고 간편한 예약을 원한다면디데이치과 네이버 예약 ✔ |
| 서울 디데이치과 진료 문의 |
|---|
| 진료 문의 : 02-568-2877 (바로가기)네이버 톡톡 문의 (바로 가기) |
▲ 모바일에서 전화번호를 누르시면 병원으로 연결됩니다 ▲

| 본 게시물은 의료광고법 제56조 1항을 준수하여, 의료 정보 제공 및 병원 홍보를 목적으로 디데이치과의원에서 직접 작성하였습니다.다만, 블로그에서 제공해 드리는 정보는 참조용으로만 활용하시고, 정확한 개인의 증상 파악은 의료기관에 직접 내방하시어 의료진을 통해 확인하실 것을 권유 드립니다.치과에서 진행되는 모든 시술 및 수술은 개인에 따라 부작용 (염증, 출혈, 부기, 신경 손상 등) 가능성이 있습니다. 따라서 사전에 의료진과 충분한 상담을 통해 결정하시길 바랍니다.게시물의 치료 사진은 실제 본원에서 모든 치료 과정을 마친 환자분의 동의하에 촬영되었습니다. 전후 사진은 동일인이며, 동일 조건하에 촬영되었음을 밝힙니다. |