반갑습니다. 디데이치과 김무진 대표원장입니다.
저와 오태훈 원장님, 그리고 디데이치과를 믿고 찾아주시는 분들께서
자연치아를 최대한 오래 보존하며 아프지 않게, 보기 좋게 사용하실 수 있도록 해드리는데
큰 보람을 느끼며 진료에 임하고 있는 현직 치과의사이자 한 치과의 대표원장입니다.

앞니에 대해 심미적인 불만도 있지만, 앞니가 상실되거나 파절되는 등의 이유로
본래의 기능을 회복해야 할 필요가 있는 환자분들도 많으실겁니다.
이런 경우 심미적인 목적의 라미네이트와 치료 목적인 크라운 또는 브릿지를 함께 시술해도
과연 자연스러울지에 대해 걱정이 많으실 것 같습니다.

오늘은 저희 디데이치과에서 앞니브릿지와 라미네이트, 잇몸성형, 치아미백까지 진행하신 환자분의 사례를 살펴보며
이 모든 치료에 대해 종합적으로 알아보도록 하겠습니다.

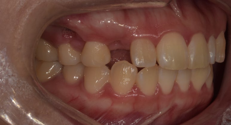
치료 전 사진
2023-03-02
처음 내원하셨을 때 환자분의 치아 사진입니다.
#13 치아가 결손된 상태였고, #22 치아는 다른 치아에 비해 크기가 작은 왜소치였습니다.
환자분의 의견은 상악 중절치인 #11, 21 치아는 그대로 둔 채 양 옆 치아의 보철치료를 통해
최대한 대칭을 맞추고 자연스럽게 치료하고 싶다는 것이었습니다.
#11, 21을 제외하고 옆 치아의 대칭을 맞추는 것이기 때문에 심미적, 구조적으로 고려할 사항이 많은 까다로운 치료였죠.

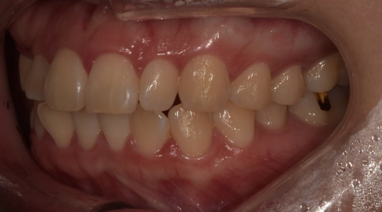
치료 전 오른쪽 치아 사진
2023-03-02
우선은 오른쪽 10번대 치아는 #12~14를 브릿지로 연결해 #13 치아를 만들어주기로 했습니다.
치아 하나만 결손되었으니 임플란트로 치료할 수는 없는지 궁금하실텐데요.
임플란트도 가능은 하지만 현재 빈 공간이 좁은 만큼 크라운의 사이즈 역시 작아질 수밖에 없고,
뼈 구조물로 인해 뻐드러지거나 튀어나와보일 수 있는 점을 고려해 브릿지로 치료하기로 했습니다.

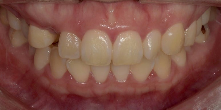
치료 전 왼쪽 치아 사진
2023-03-02
20번대 치아는 #22가 왜소치인 점을 고려해 라미네이트로 치아 사이즈를 키우기로 했고,
#23 치아는 브릿지로 만들어질 #13 치아와 대칭을 맞추기 위해 치아를 약간 다듬어 라미네이트로 치료하기로 했습니다.
아울러 잇몸성형을 통해 전체적으로 잇몸의 높이를 맞추고 라인을 둥글게 만들어 고르고 자연스러운 느낌을 주기로 했으며
다른 치아보다 다소 길이가 긴 #11, 21 치아는 길이를 짧게 조정하는 것이 보다 보기 좋을 것이라고 판단해 살짝 다듬었습니다.
환자분께서 앞으로도 주기적으로 치아미백을 진행하실 의사가 있다고 하셔서 보철물 색상은 밝게 만들어드리기로 했습니다.
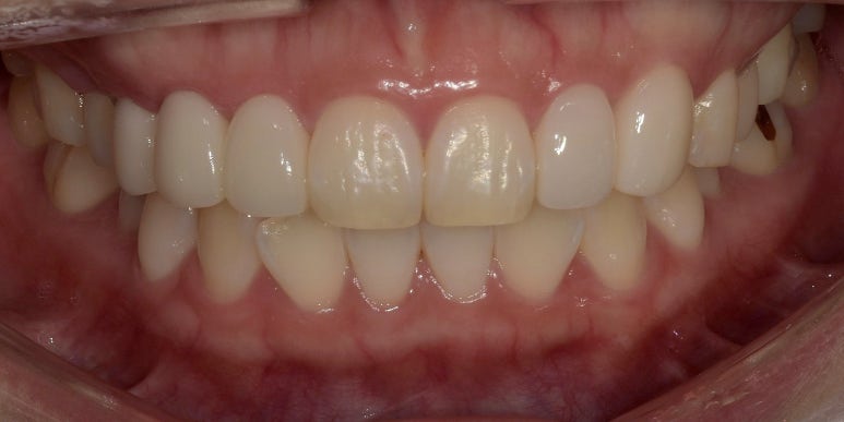
이제 후 사진을 보여드리겠습니다.

치료 후 사진
2023-04-14


치료전후사진
(전) 2023-03-02 (후) 2023-04-14
어떤가요? 결손되었던 치아는 브릿지로 완벽하게 메워졌고, 왜소치도 다른 치아와 유사하게
그리고 10번대 치아와 대칭이 잘 맞는 모습이 보이실 겁니다.
치아 색상도 전체적으로 밝아졌고, 잇몸라인도 둥글고 고르게 변한 것을 확인하실 수 있습니다.
이처럼 앞니치료, 특히 심미적인 목적의 치료는 정말 다양하게 고려해야 할 부분이 많은데요.
특히 가장 잘 보이는 부분이기 때문에 환자분들마다 제각각의 니즈가 있어 이를 잘 파악해 치료하는 것이 가장 중요합니다.
블로그를 통해 여러번 말씀드렸듯이 특히 심미치료의 경우 환자분께서 원하는 바가 명확해야
치과의사와의 커뮤니케이션을 통해 가능한 부분, 그렇지 않은 부분을 조율해나가며
서로의 만족도를 극대화할 수 있는 치료를 진행할 수 있는데요.

지금 환자분의 사례처럼 임플란트도 가능하지만 좀 더 심미적으로 좋은 브릿지를 권해드리는 것,
환자분께서 원하는 바를 최대한 반영하면서 이를 실제로 구현되도록 만드는 일은 치과의사의 역량이자 노하우의 집약체입니다.
따라서 심미치료는 물론, 보철치료와 임플란트에 있어서도
꼭 대화가 잘 통하는, 환자분의 의견을 적극적으로 반영하면서 필요한 치료와 대안을 제시하는 치과의사를 선택하셔서
합리적으로 치료받으시고 그동안의 스트레스에서 벗어나 삶의 질을 높이실 수 있기를 바랍니다.
그리고 오늘 이 글이 여러분의 치과 선택에 조금이나마 도움이 되었다면 저는 더 바랄 것이 없습니다 ^^
제가 특히 심미보철치료에 강점이 있는 만큼 저희 디데이치과와 저를 믿고 선택해주신다면
환자분의 만족도를 높일 수 있도록 최선을 다해 치료해드릴 자신이 있습니다.
하지만 그렇지 않더라도 혹시 치료와 관련해 궁금한 점이 있으시다면 언제든지 편하게 문의해주세요.
저희 디데이치과는 환자분들을 향해 활짝 열려있습니다!
그럼 지금까지 디데이치과 김무진 대표원장이었습니다. 감사합니다 ^^
| 빠르고 간편한 예약을 원한다면디데이치과 네이버 예약 ✔ |
| 서울 디데이치과 진료 문의 |
|---|
| 진료 문의 : 02-568-2877 (바로가기)네이버 톡톡 문의 (바로 가기) |
▲ 모바일에서 전화번호를 누르시면 병원으로 연결됩니다 ▲

| 본 게시물은 의료광고법 제56조 1항을 준수하여, 의료 정보 제공 및 병원 홍보를 목적으로 디데이치과의원에서 직접 작성하였습니다.다만, 블로그에서 제공해 드리는 정보는 참조용으로만 활용하시고, 정확한 개인의 증상 파악은 의료기관에 직접 내방하시어 의료진을 통해 확인하실 것을 권유 드립니다.치과에서 진행되는 모든 시술 및 수술은 개인에 따라 부작용 (염증, 출혈, 부기, 신경 손상 등) 가능성이 있습니다. 따라서 사전에 의료진과 충분한 상담을 통해 결정하시길 바랍니다.게시물의 치료 사진은 실제 본원에서 모든 치료 과정을 마친 환자분의 동의하에 촬영되었습니다. 전후 사진은 동일인이며, 동일 조건하에 촬영되었음을 밝힙니다. |