안녕하세요. 디데이치과 오태훈 대표원장입니다.
언제나 그렇듯이 진심을 다하는 진료로 환자분들께서 저와 김무진 원장님,
그리고 디데이치과에 대한 믿음을 가질 수 있도록 노력하며 치아가 불편하신 환자분들을 친절하고 따뜻하게 맞아드리려 하고 있습니다 ^^

지금 이 글을 읽고 계신 분들이라면 아마 크라운 치료가 필요하다는 말을 듣고 크라운재료에 대해 알아보고 계실텐데요.
특히 심미적으로 보여지는 부분이 중요한 요즘, 치아색상과 유사한 크라운인 PFM과 지르코니아 크라운에 대한 정보를 찾고 계시리라 생각됩니다.
환자분들을 대면하며 직접적으로 치료를 해드리는 것은 물론 저희 치과의사들이 해야 할 일이지만
직접 만나뵙지 못하더라도 이렇게 인터넷 공간을 통해 올바른 치과관련 정보를 솔직하고 진실되게 말씀드리는 것 또한 저희의 의무이기에
오늘은 치아색상과 유사한 크라운인 PFM과 지르코니아 크라운에 대해 자세히 설명드려보도록 하겠습니다.
그리고 가장 중요한 비용과 치료 기간에 대해서도 빠짐없이 말씀드릴테니 놓치지 말고 잘 따라와주세요 ^^
PFM크라운은 무엇이고 어떤 장단점이 있나요?


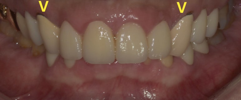
(좌) PFM 크라운 (우) 지르코니아 크라운
PFM 크라운이란 금속으로 만들어진 크라운 위에 치아색상이 나는 재료를 덮어씌워
겉으로 보기에 치아색상처럼 보이는 크라운을 의미합니다. 위의 좌측 사진을 보시면 바로 이해가 되실겁니다.
지르코니아 크라운이나 골드크라운보다 비용이 저렴하기 때문에 널리 사용되지만,
요즘들어서는 선호도가 다소 떨어지고 있는 추세인데요. 왜 그럴까요?

오래된 PFM 크라운 예시
2023-01-31
말씀드렸듯이 PFM 크라운은 금속 재질의 크라운 위에 포세린이라는 재료를 덮어씌운 것이기 때문에
시간이 오래 지나면 표면의 재료들이 벗겨져나가 안쪽의 금속이 노출되는 경우가 많습니다.
또한 해당 PFM 크라운의 잇몸 경계부분이 푸르거나 검게 변색되어 멍든 것처럼 보이기도 하죠.
즉, PFM 크라운은 지르코니아나 골드크라운보다 저렴하게 치료할 수 있지만
시간이 오래 지나면 안쪽의 금속이 노출되거나 잇몸 경계부분이 변색될 수 있다는 점을 고려해야 합니다.
지르코니아와 PFM의 차이는 뭔가요?
PFM은 금속 위에 치아색상의 재료를 덮어씌워 안과 밖이 서로 다른 재료라면,
지르코니아는 안과 밖이 모두 같은 치아색상의 재료인 점이 가장 큰 차이점입니다.
PFM 크라운은 안쪽에 있는 금속의 색상이 밖으로 다소 비추어 보이거나, 투명도가 떨어질 가능성이 높습니다.
반면 지르코니아 크라운은 투명도가 높아 자연 치아와 거의 유사하다는 장점이 있습니다.
무엇보다 가장 큰 차이는 치료비용입니다.

평균적인 PFM크라운의 가격은 약 40만원 정도이며, 지르코니아 크라운은 50만원선으로 알려져 있습니다.
저희 디데이치과에서는 아쉽게도 지르코니아 크라운으로만 치료하고 있기 때문에
지르코니아크라운 기준 개당 40~45만원이라고 말씀드릴 수 있겠습니다 ^^
크라운치료 기간이 어느 정도 걸리나요?
사실 크라운의 종류에 따라 치료기간이 달라지는 것은 아닙니다.
신경치료를 동반하지 않는 단순 크라운 치료라면 약 2~3주에 걸쳐서 3회정도 내원해주시면 되는데요.

첫 날 크라운 치료가 필요한 치아에 있는 충치를 제거하고 크라운을 씌울 수 있도록 치아를 다듬은 후
일주일 후에 크라운이 다 만들어지면 임시로 부착해 일주일정도 적응하는 기간을 가지면서
해당 치아에 계속해서 증상이 남아있는지 관찰하게 됩니다.
만약 이 기간 내에 별다른 증상이 없었다면 그대로 최종적으로 부착하며 치료가 종료되죠.

그러나 충치가 깊어 신경까지 침범해 이를 제거하는 신경치료를 동반해야 한다면 기간은 더 길어집니다.
보통 한달 정도 기간을 잡고 일주일에 한 번 정도는 꾸준히 내원해주셔야 합니다.
신경치료까지 진행할 때에도 신경치료 마지막 단계에 크라운을 씌우기 위한 준비를 해두고
임시로 부착해 증상이 있는지 관찰한 후, 증상이 없다면 완전히 부착하면서 치료를 끝내게 됩니다.
오늘은 치아색상 나는 크라운인 PFM과 지르코니아에 대해 설명드렸습니다.
치아색상이 나는 두 종류의 크라운은 보시다시피 각각 장점과 단점이 뚜렷합니다.
따라서 환자분께서도 개인적으로 어떤 재료로 치료하고 싶으신지 생각해보시는 것은 물론,
담당 전문의의 소견을 고려하셔서 장기적으로 환자분께 도움이 되는 치료 방법을 선택하셨으면 합니다.
치과 치료는 미룰수록 기간과 비용이 커진다는 것, 항상 드리는 말씀이지만 다시 한번 말씀드리면서 오늘 글 마무리하겠습니다.
지금까지 읽어주셔서 감사드립니다. 디데이치과 오태훈 대표원장이었습니다 ^^
< 함께 읽으면 좋은 글 >
| 빠르고 간편한 예약을 원한다면디데이치과 네이버 예약 ✔ |
| 서울 디데이치과 진료 문의 |
|---|
| 진료 문의 : 02-568-2877 (바로가기)네이버 톡톡 문의 (바로 가기) |
▲ 모바일에서 전화번호를 누르시면 병원으로 연결됩니다 ▲

| 본 게시물은 의료광고법 제56조 1항을 준수하여, 의료 정보 제공 및 병원 홍보를 목적으로 디데이치과의원에서 직접 작성하였습니다.다만, 블로그에서 제공해 드리는 정보는 참조용으로만 활용하시고, 정확한 개인의 증상 파악은 의료기관에 직접 내방하시어 의료진을 통해 확인하실 것을 권유 드립니다.치과에서 진행되는 모든 시술 및 수술은 개인에 따라 부작용 (염증, 출혈, 부기, 신경 손상 등) 가능성이 있습니다. 따라서 사전에 의료진과 충분한 상담을 통해 결정하시길 바랍니다.게시물의 치료 사진은 실제 본원에서 모든 치료 과정을 마친 환자분의 동의하에 촬영되었습니다. 전후 사진은 동일인이며, 동일 조건하에 촬영되었음을 밝힙니다. |