“원장님, 앞니 옆에 있는 치아가 다른 치아보다 유난히 작아서 스트레스였는데
이걸 왜소치라고 한다더라구요..
저도 남들처럼 치아모양이 비슷하고 고르게 바뀔 수 있을까요?”
반갑습니다. 디데이치과 김무진 대표원장입니다.
전문의로서 의학적인 소견에 따라 치료하는 것은 당연하지만, 환자분의 의견을 최대한 반영하여
환자분과 제가 모두 만족할 수 있는 치료를 하기 위해 노력하고 있는 현직 치과의사입니다.

저는 환자와 의사와의 원활한 소통과 그에 따른 신뢰를 굉장히 중요하게 생각하는데요.
환자분께서 전문가를 믿고 따라와주신다면 치료에 대한 만족도가 높아지는 경우가 대부분이기 때문입니다.
그래서인지 환자분들께서 설명을 알기 쉽게 자세히 해주고 꼼꼼하다고 좋아해주시는 것 같아 보람차고 뿌듯합니다 ^^

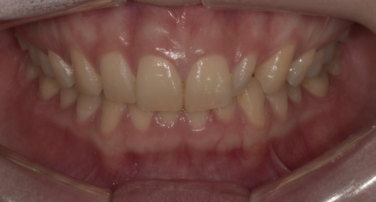
왜소치 예시
2023-03-31
지금 이 글을 보고 계시다면 아마 위 사진 환자분과 같은 왜소치(작은치아)로 인해 스트레스 받다가 치료를 알아보고 계실 것 같습니다.
왜소치는 사실 살아가는데 큰 지장을 주는 것은 아니기 때문에 치료를 하지 않아도 무방하지만,
다른 치아보다 다소 작은 치아로 인해 치아의 전체적인 모양과 밸런스가 예뻐보이지 않아
심미적인 만족도 개선을 위해 라미네이트, 레진, 크라운 등으로 치료하는 분들이 많습니다.
따라서 오늘은 최근 왜소치라미네이트 시술했던 사례를 보면서 어떻게 개선될 수 있는지 자세히 설명드리도록 하겠습니다.
왜소치 꼭 치료해야 하나요?
앞서 말씀드렸듯이 왜소치는 반드시 치료해야하는 것은 아닙니다.


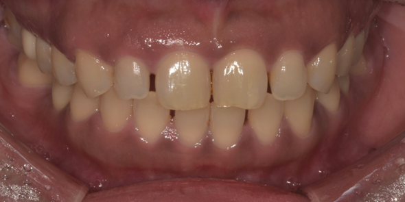
왜소치 예시
다만 왜소치는 위 사진에서 보시는 바와 같이 위 앞니 바로 양 옆에 주로 많이 생기기 때문에
전체적으로 치아크기의 밸런스가 맞지 않아 보기에 고르지 않아보이고 꼭 유치같아 보이기도 합니다.
치아의 사이즈가 작기 때문에 사이에 공간이 생기는 등 심미적으로 불만족을 느끼시는 분들이 많아
이를 개선하고 보완하기를 원한다면 치료할 수 있습니다.
왜소치는 어떻게 치료하나요?
왜소치를 치료할 수 있는 방법은 대표적으로 레진, 라미네이트, 크라운이 있는데요.
각각 치료방법에 따라 어떤 장단점이 있는지 간단하게 설명드려보도록 하겠습니다.

우선 레진의 경우에는 비교적 저렴한 가격으로 치료할 수 있다는 장점이 있습니다.
하루만에 시술이 끝나기 때문에 여러번 방문할 필요가 없다는 것도 큰 장점이죠.
하지만 레진은 탈락이나 변색 가능성이 다른 재료보다 높고,
잘 만든다 하더라도 라미네이트나 크라운같은 보철물보다는 심미적인 만족도가 떨어질 수 있습니다.

라미네이트의 경우에는 레진보다 훨씬 비싼 가격이지만 보다 수명이 긴 편이어서 관리만 잘 한다면 5~10년 이상 사용할 수 있습니다.
치아의 겉 표면을 0.1~0.2mm 정도로 아주 살짝 다듬어 얇은 세라믹 판을 부착하는 방식이기 때문에 자연치아와의 이질감도 덜합니다.
왜소치는 다른 치아보다 사이즈가 작은 편이기 때문에 치아 삭제량도 많지 않은 편이라
치아 삭제때문에 라미네이트를 해도 될지 망설이셨던 분들은 너무 걱정하지 않으셔도 괜찮을 것 같습니다.

마지막으로 크라운의 경우 탈락 가능성이 적고 보다 안정적으로 치아를 사용할 수 있지만,
치아를 전체적으로 삭제해야한다는 단점이 있습니다.
따라서 왜소치 커버를 위해서 치료를 하고 싶지만 가격이 저렴한 방법으로 치료하고 싶다면 레진,
가격은 좀 있더라도 좀 더 예쁘게, 심미적인 만족도를 높이고 싶다면 라미네이트,
치아 삭제를 감수하더라도 좀 더 오래 사용하고 싶다면 크라운 치료를 고려해볼 수 있습니다.
물론, 모든 치료 방법은 개인의 치아 상태나 배열 등에 따라 달라진다는 점 다시 한번 말씀드립니다 ^^
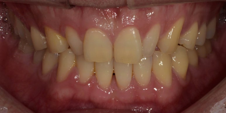
왜소치라미네이트 치료사례

왜소치 라미네이트 치료 전
2023-03-23
위 환자분은 보시는 것처럼 #12, 22 (상악 측절치)의 왜소치로 인해 전체적인 치아 모양과
스마일라인의 밸런스가 맞지 않는 점이 불만이셔서 라미네이트를 통해 개선을 원하셨습니다.
다른 치아까지 함께 진행하셨다면 심미적인 만족도가 조금 더 높으셨을 것 같지만,
환자분께서 다른 치아는 건드리고 싶지 않고 왜소치만 커버해서 다른 치아와 유사하게 만들기를 원하셔서 그렇게 진행했습니다.
이런 경우 치아모양은 물론, 색상 역시 다른 치아와 이질감이 없도록 제작해야 하기 때문에
까다로운 작업이었지만 환자분께서 잘 따라와주신 덕분에 일주일만에 치료를 끝낼 수 있었습니다.


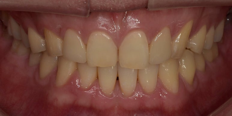
왜소치 라미네이트 치료전후사진
(전) 2023-03-23 (후) 2023-03-30
라미네이트 부착 후 모습을 보시면 전보다 치아 사이즈가 훨씬 더 커져서
인접한 다른 치아와의 사이즈 밸런스가 잘 맞아 더 고르게 보이는 것을 느끼실 수 있습니다.
색상도 자연스럽게 제작되어 마치 내 치아인듯한 착각도 드네요 ^^
오늘은 왜소치 라미네이트에 대해 말씀드려 보았는데요.
반드시 치료해야 하는 것은 아니지만, 이로 인해 스트레스를 받고 있다면 치료를 통한 개선도 생각해볼 수 있습니다.
아픈 부분을 고치기 위한 치료도 필요하지만 자신의 만족과 자신감 상승을 위한 치료도 필요하니까요 ^^
혹시 오늘 글을 읽으시고 왜소치라미네이트에 대해 더 궁금한 점이 있으시거나
다른 치과 치료에 대해 문의사항이 있으시다면 언제든지 저희 디데이치과의 문을 두드려주세요!
저와 오태훈 원장님, 그리고 저희 의료진들은 언제나 여기서 환자 여러분들을 기다리고 있겠습니다.
감사합니다! 지금까지 디데이치과 김무진 대표원장이었습니다 ^^
| 빠르고 간편한 예약을 원한다면디데이치과 네이버 예약 ✔ |
| 서울 디데이치과 진료 문의 |
|---|
| 진료 문의 : 02-568-2877 (바로가기)네이버 톡톡 문의 (바로 가기) |
▲ 모바일에서 전화번호를 누르시면 병원으로 연결됩니다 ▲

| 본 게시물은 의료광고법 제56조 1항을 준수하여, 의료 정보 제공 및 병원 홍보를 목적으로 디데이치과의원에서 직접 작성하였습니다.다만, 블로그에서 제공해 드리는 정보는 참조용으로만 활용하시고, 정확한 개인의 증상 파악은 의료기관에 직접 내방하시어 의료진을 통해 확인하실 것을 권유 드립니다.치과에서 진행되는 모든 시술 및 수술은 개인에 따라 부작용 (염증, 출혈, 부기, 신경 손상 등) 가능성이 있습니다. 따라서 사전에 의료진과 충분한 상담을 통해 결정하시길 바랍니다.게시물의 치료 사진은 실제 본원에서 모든 치료 과정을 마친 환자분의 동의하에 촬영되었습니다. 전후 사진은 동일인이며, 동일 조건하에 촬영되었음을 밝힙니다. |