반갑습니다. 디데이치과 김무진 대표원장입니다.
치아의 기능적인 문제나 심미적인 문제로 인해 스트레스 받고 계신 분들의 문제를 해결해드리고
더 나은 삶을 살아갈 수 있도록 도와드리며 보람을 느끼고 있는 현직 치과의사입니다 ^^

아마 지금 이 글을 보고 계시다면 치아 모양이나 색상, 배열이 마음에 들지 않아 라미네이트로 치료하고 싶지만
자연치아를 삭제해야한다는 부담감때문에 혹은 무삭제라미네이트비용이 더 비쌀 것 같아 고민하고 계실 것 같습니다.
이런 분들께 결론부터 말씀드리면 무삭제라미네이트라고 해서 비용이 더 비쌀 이유는 없다고 말씀드리고 싶습니다.

저희 디데이치과를 기준으로 비용을 말씀드리면
삭제량이 많든 적든 관계 없이 라미네이트라면 개당 40~45만원의 비용이 발생하기 때문에
무삭제라고 해서 더 비용이 비쌀 것이라는 걱정은 접어두셔도 좋을 것 같습니다 ^^
그러면 이제 비용에 대한 설명은 대략적으로 드렸으니 무삭제 라미네이트는 어떤 분들이 가능한지,
정말 치아를 하나도 삭제하지 않고 시술할 수 있는지 등 여러분들께서 궁금해하실 내용들에 대해 자세히 설명드리도록 하겠습니다.
다소 긴 글이 될 수도 있겠지만 꼼꼼히 설명드릴 예정이니 잘 따라와주시고
혹시 궁금한 점이 있으시다면 저희 디데이치과로 문의해주세요 ^^
“원장님. 저도 무삭제 라미네이트 가능한가요?”
라는 문의를 정말 많이 받습니다. 하루에도 몇 번씩 이런 문의가 들어오곤 하는데요.
저는 이렇게 말씀드립니다. 무삭제라미네이트가 가능한 대상은 굉장히 한정적이라고요.


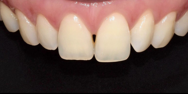
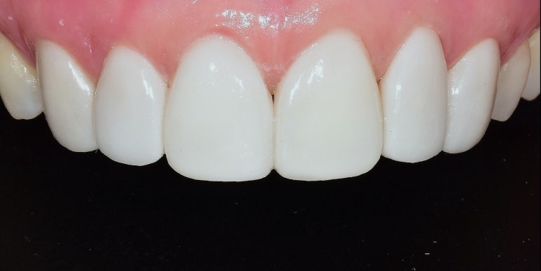
무삭제라미네이트 시술 사례
(전) 2021-11-04 (후) 2021-12-14
그리고 환자분의 치아 상태를 제가 눈으로, 그리고 엑스레이 등의 데이터로 확인하지 않는 이상
비대면 문의를 통해서는 무삭제 라미네이트가 가능한지, 삭제량이 얼마나 되는지 파악할 수 없다고 말입니다.
물론 블로그를 통해서 누구나 무삭제 라미네이트 가능하니 일단 병원으로 오시라고 한다면
많은 분들이 방문해주실 수 있고, 그러면 병원 경영에는 도움이 될 수도 있을겁니다.
하지만 그런 환자분들이 오셔서 막상 무삭제로는 불가능하다는 말을 들으면 어떨까요?
마치 속은 느낌도 들고, 오히려 저와 저희 디데이치과에 대한 신뢰는 더 떨어질겁니다.
제가 가장 경계하는 부분이기도 하고요.


무삭제라미네이트 시술사례
(전) 2021-10-07 (후) 2022-04-20
만약 무삭제를 원하셨는데, 의학적인 관점에서 봤을 때 삭제량이 있을 수 밖에 없는 경우라면
환자분께 그 이유에 대해 상세하게 설명드리고 다른 치료방법을 권해드리기도 합니다.
무삭제 라미네이트는 교정 치료를 마친 후 혹은 선천적으로 치아 배열이 고른 상태인 경우에
제한적으로 시술이 가능합니다.
즉, 무삭제 라미네이트는 원래 치아 배열이 고른 편이신 분들이 치아 모양을 예쁘게 개선하기 위해서,
색상을 조금 더 밝게 하거나 치아 위의 반점(반상치)을 커버하기 위해서와 같은
심미적인 목적을 충족시키기 위해 진행되는 시술이라고 이해하시면 좋을 것 같습니다.
“무삭제 라미네이트는 뭔가 더 어려울 것 같고
노력이 많이 들어가서 비용이 비쌀 거라고 생각했는데 그렇지 않나요?”
앞서 말씀드렸던 바와 같이 치아삭제가 아예 없는 라미네이트라고 해서
무언가 특별한 제작 방법 또는 부착 방법이 있는 것이 아니라 일반 라미네이트와 같은 방법으로 치료하게 됩니다.
따라서 ‘무삭제’라고 해서 더 비싼 비용을 받는 것은 맞지 않다고 생각해
저희 디데이치과에서는 치아의 삭제량에 관계 없이 ‘라미네이트’라는 동일한 치료 카테고리 는 동일한 비용을 책정하고 있습니다.

사실 라미네이트는 비급여 진료 항목이기 때문에 해당 치료에 얼마의 비용을 책정하느냐는
각 치과의사의 재량이기 때문에 어떤 비용이 맞다, 틀리다라고 말씀드리기는 어렵습니다.
하지만 제가 이 글을 통해 확실히 말씀드리고 싶은 것은
치아 삭제량이 적거나 없기 때문에 더 비용이 비쌀 것이라는 편견이나 선입견을 갖지 않으셨으면 한다는 점입니다.
따라서 그 동안 치아 삭제량과 그에 따른 비용적인 문제때문에 고민이셨거나
라미네이트 치료를 알아보시다가 왜 금액 차이가 나는지 궁금하셨던 분들은 오늘 이 글을 참고하시면 도움이 되실거라 생각합니다.
그럼 지금까지 긴 글 읽어주셔서 감사드립니다. 디데이치과 김무진 대표원장이었습니다!
< 무삭제라미네이트 대상이 궁금하다면? >
| 빠르고 간편한 예약을 원한다면디데이치과 네이버 예약 ✔ |
| 서울 디데이치과 진료 문의 |
|---|
| 진료 문의 : 02-568-2877 (바로가기)네이버 톡톡 문의 (바로 가기) |
▲ 모바일에서 전화번호를 누르시면 병원으로 연결됩니다 ▲

| 본 게시물은 의료광고법 제56조 1항을 준수하여, 의료 정보 제공 및 병원 홍보를 목적으로 디데이치과의원에서 직접 작성하였습니다.다만, 블로그에서 제공해 드리는 정보는 참조용으로만 활용하시고, 정확한 개인의 증상 파악은 의료기관에 직접 내방하시어 의료진을 통해 확인하실 것을 권유 드립니다.치과에서 진행되는 모든 시술 및 수술은 개인에 따라 부작용 (염증, 출혈, 부기, 신경 손상 등) 가능성이 있습니다. 따라서 사전에 의료진과 충분한 상담을 통해 결정하시길 바랍니다.게시물의 치료 사진은 실제 본원에서 모든 치료 과정을 마친 환자분의 동의하에 촬영되었습니다. 전후 사진은 동일인이며, 동일 조건하에 촬영되었음을 밝힙니다. |