안녕하세요. 디데이치과 오태훈 대표원장입니다.
밝고 환하게, 자신있게 웃는 미소는 사람의 인상에 큰 영향을 미친다고 해도 과언이 아닙니다.
변색된 치아, 웃을 때 많이 보이는 잇몸 등으로 인해 자신감이 떨어지고 위축된다면
이를 해소해 자신감과 활기를 되찾아드리며 보람을 느끼는 현직 치과의사입니다 ^^


지금 이 글을 보고 계시다면 거미스마일 등으로 인해 잇몸성형 관련 정보를 찾던 중
잇몸성형이 나을지, 잇몸보톡스가 나을지 고민하시다가 저희 블로그까지 오게 되셨을텐데요.
오늘 저희 글을 발견하신 것을 다행이라고 느끼실 수 있도록 관련 정보를 가감없이 전달드리도록 하겠습니다.
잇몸보톡스와 잇몸성형은 어떤 차이가 있나요?
잇몸보톡스는 입술이 위로 많이 올라가면서 잇몸이 노출되는 경우
윗입술을 위로 올려주는 근육의 힘을 줄이기 위해 주사하는 치료 방법입니다.
근육의 힘이 줄어들면서 자연스럽게 입술이 위로 덜 올라가 잇몸이 덜 노출되는 것이죠.

반면 잇몸성형은 많이 자라 내려온 잇몸 자체를 다듬는 시술입니다.
칼로 절제하는 것은 아니지만 외과적인 처치가 들어가는 것이죠.
즉, 잇몸 자체가 많이 내려와 잇몸이 많이 노출되는 분이라면 잇몸성형이,
윗입술을 올리는 근육의 힘이 세 잇몸이 많이 노출되는 분이라면 잇몸보톡스가 적합할 수 있습니다.
다만 잇몸보톡스는 일시적으로 효과를 볼 수 있어 주기적으로 시술해야 하기 때문에 이 점을 고려해 선택하시면 좋을 것 같습니다.
잇몸성형가격은 얼마인가요?
여러분께서 가장 궁금해하실 잇몸성형가격에 대해 먼저 말씀드리면 저희 디데이치과를 기준으로 33만원입니다.
부가세가 포함된 금액이며 윗니 혹은 아랫니 중 선택하셔서 치아 6개 기준으로 진행됩니다.

제가 한번 검색해보니 잇몸성형비용이 정말 천차만별이더라구요…
환자분들 입장에서 정보를 찾아보시면서 얼마나 혼란이 많으실지… 저 역시 너무나 이해가 되는 순간이었습니다.
잇몸성형 역시 각 치과마다 비용을 책정하기 나름이기 때문에 어떤 가격이 맞고, 틀리다고 할 순 없습니다.
따라서 환자분들께서는 여러 치과의 시술 가격과 해당 치과의 시술 경험, 시술받은 사람의 후기 등
다양한 정보를 취합해 분석해보시고 환자분께 가장 잘 맞을 것이라 판단되는 곳을 선택하시기 바랍니다.
잇몸성형은 아무나 다 할 수 있는건가요?
보통 잇몸성형을 고민하시는 분들은 이런 분들입니다.
-
잇몸이 많이 자라 내려와 치아를 덮고 있어 치아 사이즈가 작아보이는 분
-
웃을 때 잇몸이 많이 보이는 분
-
잇몸라인이 서로 비대칭을 이루고 있어 삐뚤빼뚤, 울퉁불퉁해 보이는 분
-
잇몸라인이 둥근 모양이 아닌 평평한 모양을 가지고 계신 분


하지만 이런 고민을 가지고 있다고 해서 모두가 잇몸성형이 가능한 것은 아닌데요.
원래 잇몸뼈의 구조나 높이로 인해 이런 문제가 나타나는 것이라면
교정이나 양악수술 등 다른 방법으로 치료가 진행되어야 할 수도 있기 때문에
시술 전 반드시 전문의와의 대면 상담이 필요합니다.
아래는 최근 저희 디데이치과에서 잇몸성형 시술하신 분들의 전후사진을 보여드리니
참고해주시기 바랍니다.


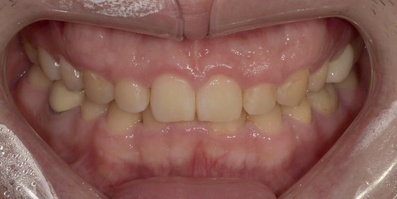
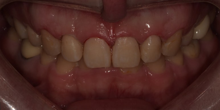
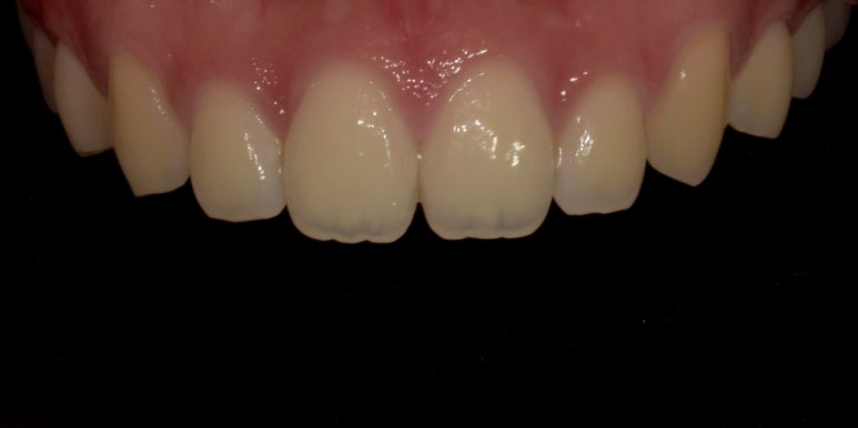
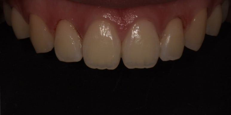
잇몸성형 전후 사진
(전) 2023-05-22 (후) 2023-06-05
위 환자분은 전체적으로 잇몸이 많이 내려와 있는데, 특히 상악 측절치 #12, 22쪽 잇몸이 많이 내려와
이를 개선하면서 전체적인 라인까지 위로 올려주는데 중점을 두었습니다.


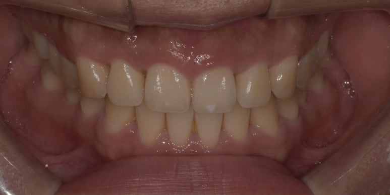
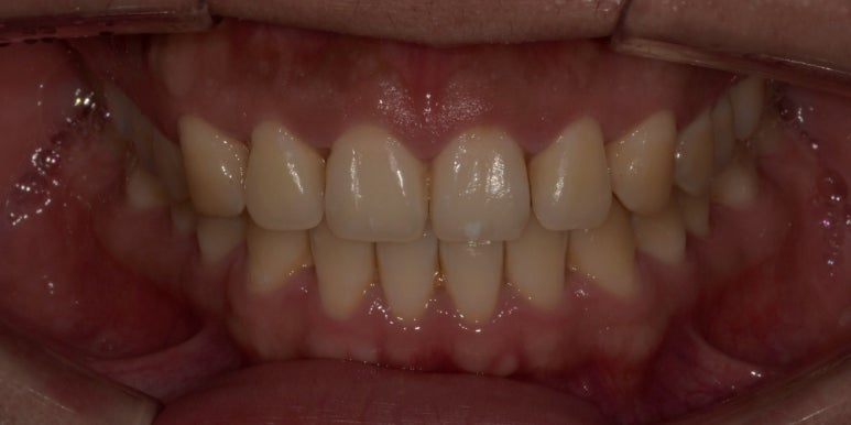
잇몸성형 전후 사진
(전) 2023-05-13 (후) 2023-05-26
위 환자분은 잇몸라인이 다소 평평해보여 라운드하고 고른 라인을 만드는데 중점을 두었습니다.


잇몸성형 전후 사진
(전) 2023-05-04 (후) 2023-05-17
위 환자분은 상악 측절치 #12, 22만 다른 치아보다 잇몸이 많이 내려와 있어 다른 치아와의 밸런스를 맞춰주었습니다.
다른 사례들도 정말 많은데 지면의 한계로 다 보여드릴 수 없어 아쉬울 따름이네요..
내일은 이어서 디데이치과에서 잇몸성형 하신 300여명의 환자분들에 대해 소개해 올리겠습니다.
잇몸성형에 대해 더 궁금한 점 있으시다면 문의주시고, 저는 이만 물러가겠습니다.
지금까지 디데이치과 오태훈 대표원장이었습니다. 감사합니다!