| 임플란트 해야하는데 상악동거상술 또는 뼈이식이 필요하다는 말을 듣고 당황하셨을 여러분의 마음, 충분히 이해합니다.그냥 임플란트 하는 것만으로도 무섭고 겁나는데생전 처음 들어본 수술까지 해야한다니 막막하고 걱정되실텐데요.지금부터 실제 사례를 보여드리면서상악동거상술과 뼈이식이 무엇인지 자세히 설명드리고가장 궁금해하실 비용도 함께 안내해 드리겠습니다. |
제 소개부터 해야겠네요. 반갑습니다. 디데이치과 김무진 대표원장입니다.
치아가 더 예뻐보일 수 있도록 치아미백, 잇몸성형, 라미네이트와 같은 심미치료부터
치아의 제 기능을 회복해드리는 충치치료, 잇몸치료, 임플란트 등의 치료까지
치과 치료의 전 부분을 아우르며 노하우와 경험을 쌓아가고 있는 현직 치과의사입니다.

지금 이 글을 읽고 계시다면 임플란트와 함께 상악동거상술이나 뼈이식이 필요하다는 말을 듣고
관련 정보를 찾다가 저희 블로그까지 오게 되셨을 것이라 생각합니다.
가뜩이나 잇몸에 금속으로 된 기둥을 심는 것도 무서운데, 처음 들어보는 수술까지 필요하다니
겁나고 두려운 마음이 드실 것 같은데요.
그래서 오늘은 저희 디데이치과에서 임플란트와 함께 상악동거상술, 뼈이식까지 진행하신
환자분의 사례를 보며 치료 과정과 결과, 그리고 비용에 대해서도 상세하게 설명드리겠습니다.


임플란트 치료 사례
2022-04-28
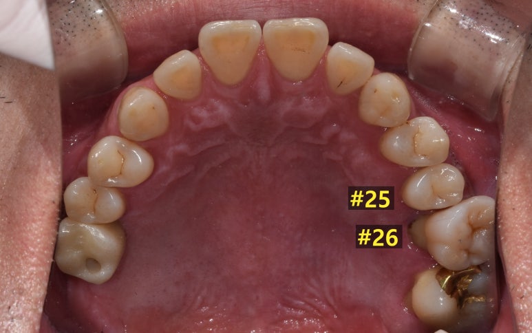
환자분의 첫 내원 시 사진입니다.
거주하고 계시는 동네 치과에서 #25, 26 치아 발치 후 임플란트 치료가 필요하다는 말을 들었는데
저희 디데이치과가 위치한 선릉역 근처에서 근무하고 계셔서 내원해주셨다고 합니다.
아무래도 저희가 선릉역 치과이다보니 이렇게 근처 직장인 분들께서 정말 많이 찾아주십니다 ^^

우선 살펴보면 임플란트가 필요한 치아는 왼쪽 위 어금니 2개였는데요.
#25 치아는 임플란트를 식립하기에 잇몸뼈의 양이 부족하고 뼈의 상태도 좋지 않아
뼈이식을 진행한 후 잇몸뼈가 단단하게 자리잡힐 때까지 기다렸다가 임플란트를 식립하는
지연식립이 필요한 것으로 진단했습니다.

옆에 있는 #26 치아는 염증이 심해 잇몸뼈가 상당히 녹아 치아 뿌리 일부가 노출되어 있는 상태였습니다.
하루 빨리 발치 후 임플란트를 식립해야 하는 상태였는데,
상악동이라고 하는 공기주머니가 많이 내려와 있어 이를 올려주는 상악동거상술까지 진행해야 하는 것으로 진단했습니다.
뼈이식과 상악동거상술까지 동반한 케이스라 발치한 당일 임플란트 식립은 어려워
일단 내원 당일 발치와 뼈이식까지만 진행하고 약 3개월 후 임플란트 수술 일자를 잡기로 했습니다.

임플란트 1차 수술 후
2022-09-16
발치 4개월 후 임플란트 1차 수술을 진행해 픽스처를 식립했습니다.
이렇게 임플란트 수술을 마치고 환자분 잇몸 상태를 고려해 지속적인 잇몸치료도 권유 드렸습니다.
이제 잇몸뼈와 임플란트가 잘 유착되었는지 확인 후 수치가 잘 나왔다면
치아 역할을 하는 크라운 본을 뜨고 크라운을 제작해 얹어주는 작업만 남았는데요.

임플란트 수술 후
2023-03-30
다행히 수치가 잘 나와 본을 뜨고 크라운까지 올라가면서 임플란트 치료가 완료되었습니다.
환자분께서 중도에 일이 바쁘셔서 내원을 할 수 없는 상황이라 완료까지 기간이 길어졌지만
약 6~8개월 정도에 모든 과정이 완료되는 치료라고 생각해주시면 될 것 같습니다 ^^
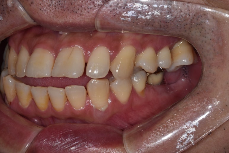
실제 구내 사진을 함께 보실까요?


임플란트 수술 전후
(전) 2022-04-28 (후) 2023-04-06


임플란트 수술 전후
(전) 2022-04-28 (후) 2023-04-06
사진을 보시면 특히 #26 같은 경우는 육안으로 보기에도 치아 뿌리가 노출되는 등
임플란트가 시급한 상태였는데, 치료 후에는 제자리에 치아가 잘 자리잡고 있는 것을 확인할 수 있습니다.
아마 여러분께서 가장 궁금하신 부분 중 하나가 뼈이식과 상악동거상술 비용일 것 같습니다.
임플란트가 치과 치료 중 치료비가 가장 높은 치료 중 하나라 비용에 대한 부담이 있으실 것 같은데요.
저희 디데이치과는 치료비용때문에 고민하다가 치료 시기를 놓치는 일이 없도록 최대한 합리적인 비용을 책정하고 있습니다.
임플란트는 개당 6979만원, 뼈이식은 개당 30만원, 상악동거상술은 개당 50100만원의 금액인데요.
사실 가장 당부드리고 싶은 말씀은 치료비용만 보고 치과와 치료 여부를 선택하실 것이 아니라
환자분께 가장 적합한 치료 계획을 수립하고, 또 상황에 맞게 적절한 치료를 권유하는 치과를 선택하시라는 것입니다.

무조건 치료를 적게 권유한다고 해서 과잉진료를 하지 않는 좋은 치과라고 할 수 있을까요?
치료 시기를 놓치지 않도록 꼭 지금 필요한 치료를 솔직하게 권유하는 것 역시 좋은 치과의 덕목이라 할 수 있습니다.
따라서 치료 여부를 결정하실 때는 여러 군데 치과를 비교, 상담해보시고 당장 모든 치료를 다 해야한다고 강권하는 것이 아니라
나의 상황에 맞게, 지금 필요한 치료와 그렇지 않은 치료를 세부적으로 나눠 치료 계획을 세워주는 곳을 선택하시면
장기적으로 환자분께 유리하도록 치료하실 수 있을 것이라 생각합니다.
그럼 지금까지 긴 글 읽어주셔서 감사드립니다. 디데이치과 김무진 대표원장이었습니다!
| 전화할 필요없이 10초만에 예약 가능한디데이치과 네이버 예약 ✔ |
| 서울 디데이치과 진료 문의 |
|---|
| 진료 문의 : 02-568-2877 (바로가기)네이버 톡톡 문의 (바로 가기) |
▲ 모바일에서 전화번호를 누르시면 병원으로 연결됩니다 ▲

| 본 게시물은 의료광고법 제56조 1항을 준수하여, 의료 정보 제공 및 병원 홍보를 목적으로 디데이치과의원에서 직접 작성하였습니다.다만, 블로그에서 제공해 드리는 정보는 참조용으로만 활용하시고, 정확한 개인의 증상 파악은 의료기관에 직접 내방하시어 의료진을 통해 확인하실 것을 권유 드립니다.치과에서 진행되는 모든 시술 및 수술은 개인에 따라 부작용 (염증, 출혈, 부기, 신경 손상 등) 가능성이 있습니다. 따라서 사전에 의료진과 충분한 상담을 통해 결정하시길 바랍니다.게시물의 치료 사진은 실제 본원에서 모든 치료 과정을 마친 환자분의 동의하에 촬영되었습니다. 전후 사진은 동일인이며, 동일 조건하에 촬영되었음을 밝힙니다. |