앞니깨짐으로 인해 당황하다가 어떻게 치료해야 할지, 비용은 얼마일지 궁금하셔서
관련 정보를 찾아보고 계셨다면 저희 블로그에 잘 오셨다고 말씀드리고 싶습니다.
흔한 광고글이 아니라 정말 앞니깨짐 레진치료를 원하는 환자분들께 필요한 정보만을
솔직하고 진실되게 전달해 드릴 것을 약속드립니다 ^^
반갑습니다. 디데이치과 김무진 대표원장입니다.

제가 치과에서 진료를 하다보면 치아, 특히 앞니가 깨져서 치료하러 오시는 분들이 종종 계십니다.
살다보면 생각지도 못한 정말 다양한 이유로 인해 앞니가 깨지는 경우가 있는데요.
넘어져서 다치거나, 식사하다가 젓가락을 앞니로 잘못 깨물거나,
심지어 아이 어머님들 같은 경우는 아이 머리를 묶어주다가 머리 방울에 치아가 부딪혀 앞니가 깨지는 경우도 있습니다.
이처럼 미리 예방할 수 없는 불가항력적인 사고(?)로 인해
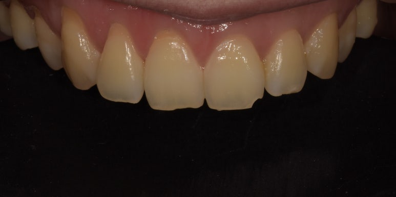
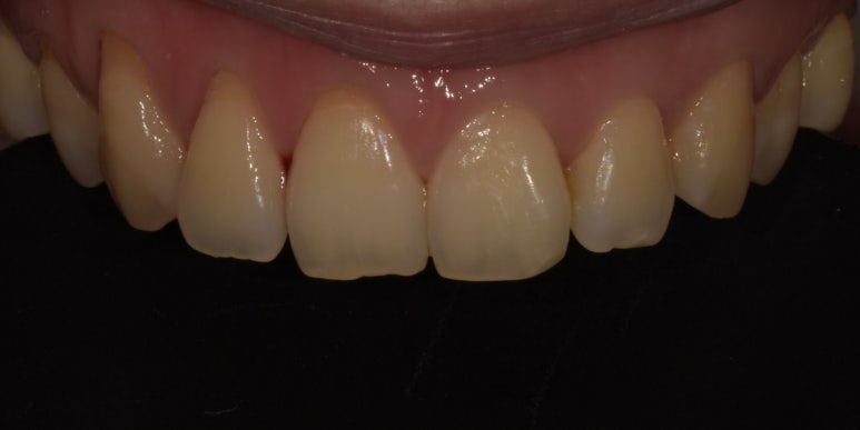
앞니가 살짝 깨진 경우에는 레진으로 간단하게 치료할 수 있는데요.


앞니깨짐레진치료 전후사진
2023-05-11
레진은 내원 당일 치료가 완료되어 여러 번 치과에 내원할 필요가 없다는 장점이 있습니다.
치료 비용도 저희 디데이치과 기준 앞니레진은 면당 10만원 정도로 비교적 저렴합니다.
아울러 치아 색상과 유사한 재료이기 때문에 치료한 티가 나지 않고 원래 앞니와 유사하게 보이도록 할 수 있습니다.
이렇게 장점이 많은 레진이지만 단점도 분명 존재하는데요.
레진은 재료의 특성상 탈락할 가능성이 높은 편이기도 하고, 또 착색이나 변색에 취약합니다.

아무래도 앞니가 살짝 깨진 부분을 레진으로 치료하게 된다면
재료가 부착되어 있는 면이 협소하기 때문에 떨어질 확률이 좀 더 높습니다.
또한 레드와인이나 카레, 마라탕이나 마라샹궈같이 착색이 잘 되는 음식을 자주 섭취하신다면
레진치료한 부분이 변색되어 나중에 얼룩덜룩하게 보일 가능성도 있기 때문에 염두에 두는 것이 좋습니다.
앞서 보여드린 치료 사례처럼 앞니가 살짝 깨진 경우는 레진으로 간단하게 치료할 수 있는데요.
만약 깨진 범위가 넓다면 레진으로는 치료가 어려울 수도 있습니다.
며칠 전에 저를 찾아온 환자분 중에 넘어지셔서 왼쪽 위 송곳니가 깨진 환자분이 계셨는데요.

살짝 깨진 정도가 아니라 꽤 많이 깨져있었고, 바람이 닿을 때 시린 증상을 느끼고 계셨습니다.
이런 경우는 레진으로는 치료가 불가능해 어쩔 수 없이 크라운으로 치료를 해야합니다.
치아가 깨지면서 상아질이나 신경 쪽이 노출되면 치아가 시린 증상을 느낄 수 있고,
이는 치아를 빙 둘러 완전히 씌워주는 크라운으로 감싸주어야 치아를 살리고 보호할 수 있기 때문입니다.
만약 이 상태로 방치하거나 치료를 미루게 된다면 치아 안에 있는 신경이 점차 괴사되어
결국 신경치료 후 크라운을 해야할 뿐만 아니라 크라운 안쪽에 보강재인 코어까지 추가해야 합니다.
즉, 신경치료로 인해 치료 기간이 약 1.5개월 정도로 길어지고
일주일에 한번 정도 간격으로 약 3~4번 정도 치과에 더 와주셔야 합니다.
뿐만 아니라 치료 비용도 더 들어가게 되는 것이죠.
따라서 외상으로 인해 상당 부분 치아가 깨졌다면 앞 뒤 가릴 것 없이 얼른 치과로 오셔서 치료하실 것을 당부드립니다.
예기치 못한 일로 인해 치아가 깨졌다면 당황스러울 수밖에 없을텐데요.
약간의 치아깨짐은 레진으로도 당일 치료가 가능하니 놀라지 마시고 빠르게 치료해주시면 됩니다.
만약 치아가 생각보다 많이 깨졌다면 최대한 빨리 치과로 내원해주셔야 자연치아를 살릴 수 있는 가능성이 높아지니
주저하지 마시고 꼭 치과로 내원해주셔서 치료받으시기 바랍니다.
그럼 지금까지 디데이치과 김무진 대표원장이었습니다. 감사합니다!
| 빠르고 간편한 예약을 원한다면디데이치과 네이버 예약 ✔ |
| 서울 디데이치과 진료 문의 |
|---|
| 진료 문의 : 02-568-2877 (바로가기)네이버 톡톡 문의 (바로 가기) |
▲ 모바일에서 전화번호를 누르시면 병원으로 연결됩니다 ▲

| 본 게시물은 의료광고법 제56조 1항을 준수하여, 의료 정보 제공 및 병원 홍보를 목적으로 디데이치과의원에서 직접 작성하였습니다.다만, 블로그에서 제공해 드리는 정보는 참조용으로만 활용하시고, 정확한 개인의 증상 파악은 의료기관에 직접 내방하시어 의료진을 통해 확인하실 것을 권유 드립니다.치과에서 진행되는 모든 시술 및 수술은 개인에 따라 부작용 (염증, 출혈, 부기, 신경 손상 등) 가능성이 있습니다. 따라서 사전에 의료진과 충분한 상담을 통해 결정하시길 바랍니다.게시물의 치료 사진은 실제 본원에서 모든 치료 과정을 마친 환자분의 동의하에 촬영되었습니다. 전후 사진은 동일인이며, 동일 조건하에 촬영되었음을 밝힙니다. |